Что такое гранулема легких?

Что такое гранулема легких?
Что такое гранулема легких?

Гранулемы легких представляют собой зернеобразные узелки иммунных клеток, которые образуются в частях легкого, где есть инфекция, токсическое воздействие или воспалительное состояние. Гранулемы часто образуются, когда иммунная система пытается обуздать распространение болезнетворных организмов, таких как бактерии или грибки, создавая вокруг них капсулу.

Гранулемы легких могут вызывать или не вызывать симптомы и часто обнаруживаются случайно при рентгенографии грудной клетки. Гранулемы легких могут быть вызваны тяжелым заболеванием, но обычно не являются злокачественными.

Гранулемы легких также могут называться гранулематозными заболеваниями легких.

Эта статья объясняет, что такое гранулемы легких, включая их возможные симптомы и причины. В нем также описывается, что необходимо для диагностики этого отличительного легочного симптома.

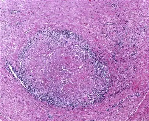
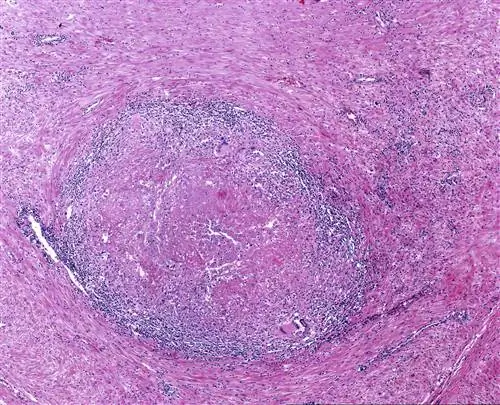
туберкулезная гранулема, один из многих типов гранулем, обнаруживаемых в легких
туберкулезная гранулема, один из многих типов гранулем, обнаруживаемых в легких

Что такое гранулемы легких?

Гранулему легкого часто впервые выявляют на рентгенограмме грудной клетки в виде узла в легком. В легких может быть одиночная гранулема или множественные гранулемы.

Они, как правило, являются результатом нормального процесса в организме, при котором иммунная система пытается удержать что-то чужеродное в легких. Инородный материал может быть микроорганизмом, кусочками вдыхаемых металлов или токсинов, или поврежденными тканями, вызванными воспалительными или аутоиммунными заболеваниями.

Под микроскопом гранулема состоит из иммунных клеток, называемых макрофагами, которые окружают и нейтрализуют чужеродный агент на переднем крае иммунной защиты. Могут быть вовлечены и другие иммунные клетки, включая лимфоциты и клетки Лангерганса.

Гранулемы могут присутствовать только в легких, но могут поражать и другие части тела, такие как кожа и лимфатические узлы, в зависимости от основной причины.

Существуют также гранулемы, известные как «некротические гранулемы», при которых происходит некроз (гибель клеток) вокруг области воспаления. Некротические гранулемы обычно связаны с легочными инфекциями.

Симптомы гранулемы легких

Признаки и симптомы гранулем легких могут варьироваться от полного отсутствия симптомов до широко распространенных симптомов, связанных с основной причиной гранулемы.

Бессимптомные и симптоматические гранулемы

Многие гранулемы легких обнаруживаются случайно во время рентгенографии грудной клетки по поводу другого заболевания. В таких случаях состояние может протекать совершенно бессимптомно (без симптомов), но, тем не менее, требует лечения.

На самом деле гранулемы сами по себе часто не вызывают никаких симптомов. Однако могут быть исключения, если гранулемы располагаются рядом с крупными дыхательными путями легких или если гранулем много. Кроме того, гранулематозная болезнь легких может быть связана с другими заболеваниями легких (такими как интерстициальная пневмония), которые вызывают респираторные симптомы.

Симптомы могут включать кашель, свистящее дыхание, одышку или рецидивирующие респираторные инфекции.

Симптомы, связанные с основной причиной

При наличии симптомов они часто связаны с основной причиной гранулемы. Например:

  • Туберкулез (ТБ) может вызывать такие симптомы, как лихорадка, ночная потливость, хронический кашель и непреднамеренная потеря веса.
  • Грибковая пневмония может вызывать симптомы, сходные с симптомами туберкулеза.
  • Васкулит (воспаление кровеносных сосудов) может вызывать различные симптомы, включая лихорадку, ночную потливость, головные боли, сыпь, неврологические симптомы и многое другое.

При рассмотрении основных причин гранулемы важно, чтобы люди говорили со своим лечащим врачом о любых симптомах, которые они испытывают, включая неясные, такие как усталость.

Причины

Большинство гранулем легких являются доброкачественными (не раковыми). Возможные причины можно разделить на следующие широкие категории:

Легочные инфекции

Инфекции являются наиболее распространенной причиной гранулем и включают:

Туберкулез

Во всем мире туберкулез является наиболее распространенной причиной легочных гранулем, хотя в последнее время заболеваемость в Соединенных Штатах увеличилась.

Нетуберкулезные микобактерии

Микобактериальные инфекции, такие как комплекс Mycobacterium avium и Mycobacterium kansasii, являются важными причинами гранулематозной болезни легких.

Грибковые инфекции

Существует более 140 видов грибковых инфекций, которые могут привести к гранулемам легких, наиболее распространенными из которых являются:

  • Криптококкоз
  • Кокцидиоидомикоз (Долинная лихорадка)
  • Гистоплазмоз
  • Бластомикоз
  • Аспергиллез

Паразитарные инфекции

Паразитарные инфекции как причина менее распространены в Соединенных Штатах, наиболее распространенными из которых являются:

  • Токсоплазмоз
  • Дилофиляриоз (собачий сердечный червь)
  • Аскаридоз (круглые черви)

Бактериальные инфекции

Бактериальные инфекции являются менее распространенными причинами, но могут включать:

  • Аспирационная пневмония
  • Бруцеллез
  • Нокардия

Воспалительные состояния

Следующие условия могут вызывать гранулемы легких, подвергая организм сильному или постоянному воспалению:

Саркоидоз

Саркоидоз - это воспалительное заболевание, которое может поражать многие области тела и часто начинается с опухания желез, изменений кожи, усталости, болей и припухлости суставов.

Бронхоцентрический гранулематоз

Это воспалительное заболевание, которое поражает более мелкие дыхательные пути легких, называемые бронхиолами, и считается реакцией на какое-либо повреждение легких.

Воспалительное заболевание кишечника

При воспалительных заболеваниях кишечника (ВЗК), таких как болезнь Крона и язвенный колит, гранулемы могут возникать не только в желудочно-кишечном тракте (ЖКТ), но и в других частях тела, таких как легкие. В одном исследовании от 21% до 36% людей были обнаружены гранулемы легких за пределами желудочно-кишечного тракта.

Воздействие на окружающую среду

Существует ряд различных воздействий окружающей среды, которые могут привести к гранулемам легких:

Гиперчувствительный пневмонит

Гиперчувствительный пневмонит или воспаление легких вследствие аллергической реакции может возникнуть при различных воздействиях. К ним относятся грибки и промышленные химикаты, такие как красители.

Воздействие токсичных металлов

Воздействие металлического бериллия (используемого в промышленном производстве керамики) может привести к бериллиозу. Ряд других воздействий металлической пыли может привести к симптомам, сходным с бериллиозом. Некоторые из них включают алюминий, титан, диоксид кремния, цирконий, кобальт и диоксид кремния.

Тальковые гранулемы чаще всего связаны с употреблением запрещенных наркотиков. В первую очередь это наблюдается при введении растолченных таблеток (таких как опиаты, барбитураты и метилфенидат), которые выделяют излишки талька в кровоток.

Лекарства

Побочные реакции на ряд различных лекарств связаны с развитием гранулем легких. Это может сбивать с толку, поскольку некоторые из этих препаратов используются для лечения заболеваний, связанных с легочными гранулемами.

Некоторые из них включают:

  • Метотрексат
  • Интерферон
  • Вакцина против бациллы Кальметта-Герена (БЦЖ)
  • Ремикейд (инфликсимаб)
  • Энбрел (этанерцепт)
  • Рапамун (сиролимус)
  • Арава (лефлуномид)
  • Симзия (цертолизумаб)
  • Хумира (адалимумаб)
  • Энтивио (ведолизумаб)
  • Имуран (азатиоприн)

Аутоиммунные заболевания

Гранулемы легких могут возникать при ряде различных аутоиммунных состояний.

Ревматоидный артрит

Некротизирующие гранулемы относительно часто встречаются у людей с ревматоидным артритом и могут возникать как в легких, так и под кожей (подкожно). Они могут возникать в связи с основным заболеванием или как побочная реакция на лекарства, используемые для лечения заболевания.

Синдром Шегрена

Ряд заболеваний легких, включая гранулемы легких, связаны с синдромом Шегрена, аутоиммунным заболеванием, поражающим влагообразующие ткани организма.

Васкулит

Васкулит - это термин, который относится к хроническому воспалению кровеносных сосудов и может возникать в кровеносных сосудах в любом месте тела. Однако наиболее распространенными локализациями являются легкие и почки.

Типы васкулита, связанные с гранулемами, включают:

  • Гранулематоз с полиангитом (ранее называвшийся гранулематозом Вегенера)
  • Эозинофильный гранулематоз с полиангитом (ранее называвшийся синдромом Чарга-Стросса)

Гранулематозная лимфоцитарная интерстициальная болезнь легких

Гранулематозная лимфоцитарная интерстициальная болезнь легких (ГЛИЛЛ) - редкое и потенциально тяжелое осложнение легких, связанное с иммунодефицитом. Он поражает ткани вокруг альвеол (воздушных мешочков) легких, вызывая рубцевание и утолщение тканей.

GLILD может быть вторичным по отношению к аутоиммунному заболеванию или в результате определенного типа пневмонии, поражающей эти ткани.

Рак

Гранулемы обычно связаны с доброкачественными состояниями, но иногда могут наблюдаться при:

  • Лимфоматоидный гранулематоз (связанный с лейкемией или лимфомой)
  • Саркоидподобный гранулематоз (вызванный некоторыми видами рака крови или противораковыми препаратами)

Диагноз

Из-за широкого спектра потенциальных причин диагностика гранулем легких может быть сложной задачей. В дополнение к тщательному сбору анамнеза и физикальному обследованию могут потребоваться лабораторные анализы, визуализирующие исследования, проверка функции легких и биопсия легкого.

История и медицинский осмотр

Диагноз гранулемы начинается с тщательного сбора анамнеза симптомов, в том числе тех, которые могут не иметь отношения к легким. При наличии симптомов важно отметить, возникли ли они недавно (острые) или продолжаются (хронические).

Место проживания человека может помочь сузить круг возможных грибковых причин, а история путешествий может повысить вероятность туберкулеза. Следует также отметить воздействие на рабочем месте (например, бериллия).

У людей с иммунодефицитом могут отмечаться повторные инфекции (например, синусит) в анамнезе. Поскольку синдромы иммунодефицита являются причиной повторных инфекций как у взрослых, так и у детей, важно сообщить своему лечащему врачу, если у вас были повторные инфекции носовых пазух или другие инфекции дыхательных путей.

Визуальные исследования

Гранулему легкого или гранулемы часто впервые обнаруживают, когда рентгенографию грудной клетки или компьютерную томографию (КТ) грудной клетки проводят по другой причине.

Компьютерная томография органов грудной клетки с высоким разрешением является очень важным шагом в диагностике и оценке гранулемы легкого, поскольку отложения кальция в гранулемах часто делают их видимыми.

Людям, у которых есть компьютерная томография с более низким разрешением, например, для скрининга рака легких, следует выполнить сканирование с высоким разрешением. В некоторых случаях может помочь магнитно-резонансная томография грудной клетки (МРТ).

Позитронно-эмиссионная томография (ПЭТ) часто проводится при подозрении на рак, васкулит и воспалительные заболевания, хотя частота ложноположительных результатов высока.

Лабораторные испытания

Ряд лабораторных исследований может помочь в определении причин гранулем легких:

  • CBC: общий анализ крови (CBC) может помочь выявить инфекцию на основании повышенного уровня лейкоцитов.
  • Серология: Грибковые причины гранулем легких в первую очередь выявляются с помощью серологии (анализы крови). Серология также может обнаруживать антитела, вырабатываемые в ответ на определенные инфекции или аутоиммунные состояния.
  • Тестирование на туберкулез: Тестирование на туберкулез важно для всех, у кого есть гранулема легких, хотя бы для того, чтобы исключить ее как причину.

Процедуры

Существуют неинвазивные и инвазивные процедуры, используемые для косвенной или непрямой визуализации легких:

Бронхоскопия

Бронхоскопия часто проводится для прямой визуализации дыхательных путей. При бронхоскопии через рот вводится гибкая трубка, которая вводится в крупные дыхательные пути легких.

Эндобронхиальное УЗИ

К бронхоскопу можно присоединить ультразвуковой датчик, чтобы врачи могли визуализировать участки легких вблизи дыхательных путей. С помощью специальных инструментов можно провести биопсию для извлечения гранулематозных тканей вблизи дыхательных путей.

Бронхоальвеолярный лаваж

Бронхоальвеолярный лаваж - это процедура, проводимая во время бронхоскопии, которая может помочь в диагностике гиперчувствительного пневмонита.

Во время процедуры стерильный физиологический раствор вводят в легкие через бронхоскоп, а затем отсасывают. Извлеченные клетки затем можно исследовать под микроскопом.

Биопсия

Очень часто биопсия необходима для определения или подтверждения точной причины гранулемы легкого. Образец биопсии легкого можно получить несколькими способами:

Тонкоигольная аспирационная биопсия

Тонкоигольную аспирационную биопсию (ТАБ) можно выполнить, введя длинную тонкую иглу через стенку грудной клетки в гранулему. Это делается под контролем УЗИ или КТ.

Трансбронхиальная биопсия

Биопсия может быть выполнена во время эндобронхиального УЗИ, называемого трансбронхиальной биопсией. При саркоидозе трансбронхиальная биопсия в сочетании с ПЭТ в значительной степени заменила более инвазивную процедуру, известную как медиастиноскопия, которая требует доступа через разрез в грудной стенке.

Хирургическая биопсия легкого

Если FNA или трансбронхиальная биопсия не дают достаточно большого образца, может потребоваться хирургическое вмешательство. Это может быть либо торакоскопическая хирургия с видеоассистированием (VATS) с использованием нескольких небольших разрезов с помощью специальных инструментов, либо открытая операция на легких (торакотомия).

Лечение

Лечение гранулем легких будет зависеть от основной причины. Как правило, большинство гранулем не нужно удалять хирургическим путем. Исключения могут быть, если гранулема или гранулемы вызывают симптомы или если диагноз неясен.

Некоторые возможные методы лечения включают:

  • Многие грибковые инфекции (например, гистоплазмоз) не требуют лечения, так как организм уже справился с инфекцией.
  • Лечение туберкулеза зависит от многих факторов, в том числе от того, считается ли штамм полирезистентным. Лечение часто длительное и может включать комбинацию препаратов.
  • При гиперчувствительном пневмоните и воздействии металлов устранение воздействия является ключевым.
  • Когда гранулемы связаны с аутоиммунным заболеванием, ключевое значение имеет лечение основного заболевания.