Где находится дистальный радиус лучевой кости?

Где находится дистальный радиус лучевой кости?
Где находится дистальный радиус лучевой кости?

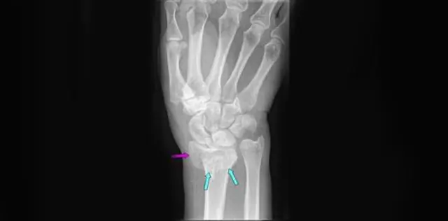
В радиус один из двух кости предплечья и находится на стороне большого пальца. Часть радиус, связанный с лучезапястным суставом, называется дистальным радиусом. Когда лучевые разрывы возле запястья, это называется перелом дистального отдела лучевой кости.

Также знаете, как узнать, есть ли у вас перелом дистального отдела лучевой кости?

Симптомы перелома дистального отдела лучевой кости

  1. Немедленная острая боль в запястье в момент падения или несчастного случая, иногда сопровождающаяся звуком или ощущением щелчка.
  2. Отек и болезненность запястья, которые начинаются сразу и продолжают ухудшаться.
  3. Деформация предплечья или запястья.
  4. Онемение и / или невозможность пошевелить запястьем или рукой.

Во-вторых, как долго заживает перелом дистального отдела лучевой кости? Переломы принадлежащий дистальный радиус обычно требуется около 4-6 недель для клиническая кость выздоровление, хотя иногда может брать дольше. Это может брать еще 6-12 месяцев, чтобы восстановить движение, силу и функции.

Люди также спрашивают, где дистальный отдел лучевой кости больше или меньше?

В радиус является большей из двух костей предплечья. Конец к запястью называется дистальный конец. Перелом дистальный радиус возникает, когда область радиус возле разрывов запястья. Дистальный радиус переломы очень распространены.

Как лечится перелом дистального отдела лучевой кости?

Лечение перелома дистального отдела лучевой кости

  1. Обездвиживайте запястье с помощью шины или бандажа.
  2. Поднимите запястье над уровнем сердца.
  3. Используйте ледяную терапию в течение 5-10 минут каждый час, чтобы облегчить отек и притупить болевые сигналы.