Лечение болезненной клиторальной невромы после калечения женских половых органов

Лечение болезненной клиторальной невромы после калечения женских половых органов
Лечение болезненной клиторальной невромы после калечения женских половых органов

Фон

Травматические невромы являются результатом регенеративной неорганизованной пролиферации проксимальной части пораженных нервов. Они могут существовать в любом анатомическом месте и ответственны за невропатическую боль. Посттравматические невромы клитора были описаны как необычное следствие калечащих операций на женских половых органах (FGM / C). FGM / C включает частичное или полное удаление женских половых органов по нетерапевтическим причинам. Это может включать в себя резку клитора и может вызвать психологические, сексуальные и физические осложнения. Мы стремились оценить симптомы и лечение женщин с клиторальной невромой после калечащих операций на женских половых органах (FGM / C).

методы

Мы определили женщин, которые посещали нашу специализированную клинику для женщин с FGM / C, у которых была диагностирована травматическая неврома клитора в период с 1 апреля 2010 г. по 30 июня 2016 г. Мы изучили их медицинские документы и собрали социально-демографические, клинические, хирургические, и гистопатологическая информация.

Результаты

Семь женщин были диагностированы с клиторальной невромой. Шесть человек посетили нашу клинику, чтобы пройти реконструкцию клитора, и три из них страдали от боли клитора. Периклиторальный фиброз был удален во время реконструкции клитора, что выявило неврому клитора у всех шести субъектов. Боль уменьшилась после операции.

У седьмой женщины была видимая и ощутимая болезненная клиторальная масса, диагностированная как неврома. Удаление массы уменьшило боль.

Сексуальная функция улучшилась у пяти женщин. Один не был сексуально активен, а другой еще не возобновил секс.

Вывод

Посттравматическая клиторальная неврома может быть следствием FGM / C. Это может вызвать боль клитора или быть бессимптомным. В случае болевых симптомов эффективным лечением является хирургическое иссечение невромы, которое может быть выполнено во время реконструкции клитора. Хирургия должна рассматриваться как часть междисциплинарной помощи. Эффективность удаления невромы в одиночку или во время реконструкции клитора для лечения боли в клиторе должна быть дополнительно оценена среди женщин с симптомами.

Отчеты о рецензировании

Простой английский резюме

Посттравматические невромы - это доброкачественные опухоли, возникающие после операции или повреждения нерва. Невромы являются результатом неорганизованного роста и могут возникнуть в любом месте тела. Генитальные травматические невромы редки; в литературе имеется немного сообщений о случаях заболевания, и в основном это постобрезание.

Калечащие операции на женских половых органах (FGM / C) включают частичное или полное удаление женских половых органов по нетерапевтическим причинам. Это может включать в себя резку клитора и может вызвать психологические, сексуальные и физические осложнения. Посттравматические невромы клитора были описаны как необычное последствие FGM / C, но существует очень мало доказательств по этому вопросу. В этой статье мы изучаем симптомы и ведение семи женщин с невромой клитора после FGM / C и обсуждаем, как реконструкция клитора может лечить симптомы боли клитора. Клиторальная реконструкция - это хирургическая техника, которая заключается в удалении рубца из FGM / C вокруг клитора и обнажении оставшегося клитора, похороненного под рубцом, в более доступном месте. Эта операция является относительно недавней, и отсутствуют убедительные доказательства ее безопасности и эффективности. Наши результаты показывают, что посттравматическая клиторальная неврома может быть следствием FGM / C. Это может вызвать боль клитора или быть бессимптомным. В случае болевых симптомов эффективное лечение - хирургическое удаление невромы, которое может быть выполнено во время реконструкции клитора. Эта операция должна быть связана с комплексной психосексуальной помощью. Кроме того, его результаты в лечении клиторальной боли у женщин требуют дальнейшего изучения.

Фон

Посттравматические невромы - это доброкачественные опухоли, возникающие после резекции или повреждения нерва. Невромы являются результатом регенеративной неорганизованной пролиферации проксимального отдела поврежденного нерва, и это может существовать в любом анатомическом месте (1). Генитальные травматические невромы редки; в литературе доступно только одно исследование с 17 случаями травматических невром полового члена и несколькими сообщениями о случаях полового члена и клитора, и это в основном постобрезание (2). Калечащие операции на женских половых органах (FGM / C) включают частичное или полное удаление женских половых органов по нетерапевтическим причинам. Это может включать в себя резку клитора и может вызвать психологические, сексуальные и физические осложнения (3). Посттравматические невромы клитора были описаны как необычное последствие FGM / C (3). В литературе сообщалось о трех случаях (4-6), и в этих отчетах обсуждаются случаи женщин с FGM / C, у которых была болезненная клиторальная масса, которую успешно лечили хирургическим удалением. В каждом из этих случаев результаты показали, что масса была посттравматической невромой клитора (4-6). Авторы этих исследований выдвинули гипотезу о том, что клиторальные невромы после FGM / C, вероятно, являются распространенным состоянием, о котором сообщают недостаточно и недостаточно диагностируют (4, 5). В самом деле, мы недавно опубликовали исследование двух случаев по реконструкции клитора, где мы обнаружили, что периклиторальный фиброз, удаленный во время операции, выявил посттравматическую неврому клитора у обоих субъектов (7). Тем не менее, при обследовании двух женщин не было болезненной массы клитора, и только одна из них страдала от хронической боли в клиторе (7).

Клиторальная реконструкция представляет собой хирургическую технику, которая заключается в удалении периклиторального рубца из FGM / C и повторном обнажении культи клитора в виде неогланса после рассечения суспензионной связки клитора. Было показано, что это улучшает боль в клиторах, сексуальное удовольствие и образ тела (8). В связи с этим в настоящее время показано / проводится эта операция для лечения боли в клиторах, сексуальной дисфункции или улучшения образа тела (8). Тем не менее, имеется очень мало данных о его безопасности и эффективности (9). Механизмы того, как восстановление клитора приводит к уменьшению болевых симптомов, остаются недостаточно понятными.

Нашей целью было ретроспективно оценить симптомы и лечение женщин, страдающих невромой клитора после FGM / C, и обсудить, как реконструкция клитора может лечить симптомы боли клитора.

методы

Мы выявили все случаи клиторальной невромы у женщин, которые посещали нашу специализированную клинику для женщин с FGM / C на кафедре гинекологии Женевских университетских больниц в период с 1 апреля 2010 года по 30 июня 2016 года. С апреля 2010 года наша клиника посетила около 15 женщин в месяц по разным причинам, включая хирургическое лечение, такое как дефибляция и реконструкция клитора. Реконструкция клитора, согласно методике, описанной Foldès (8), доступна с января 2013 года. Техника Foldès заключается в резекции FGM / C кожного рубца, покрывающего культю клитора; рассекают клитор до локтя и удаляют подкожный периклиторальный фиброз. Затем срезанную связку клитора разрезают, избегая любых повреждений сосудисто-нервного пучка клитора. Как только тело клитора высвобождается, оно прикрепляется к двум бульбокавернозным мышцам для создания здоровых и более доступных неогланов (8). Иссечение возможных клиторальных невром в пределах рубца FGM / C происходит во время резекции кожного и подкожного периклиторального рубца и выполняется с помощью холодного лезвия, ножниц или электрохирургии.

Женщины, которые запрашивают эту процедуру, получают междисциплинарную помощь и контрольные осмотры, включающие санитарное просвещение по вопросам сексуальной анатомии, физиологии и функции, а также FGM / C и реконструкцию клитора. Предоставляется подробная информация о хирургической технике, ее результатах и текущем отсутствии убедительных доказательств. Женщины также проходят предоперационную и послеоперационную психосексуальную терапию у психиатра или психолога, который специализируется на сексологии. Это включает психотерапию, когнитивно-поведенческие вмешательства, вмешательства системы / пары и возможные психодинамические вмешательства, направленные на восстановление длительной и удовлетворяющей сексуальной функции и сексуального здоровья. Прошлые травматические события, кроме FGM / C, которые могут негативно повлиять на сексуальное здоровье, также подвергаются скринингу и лечению. В большинстве случаев информация, консультации и психосексуальная терапия являются достаточными для женщин, и лишь немногие пациенты наконец идут на операцию. Женщины будут подвергаться операции на клиторах, если они страдают от боли в клиторах или все еще рассматривают операцию как реабилитацию и улучшение образа тела или полноты женщины.

Мы ретроспективно просмотрели медицинские карты всех женщин, которые посещали нашу специализированную клинику для женщин, живущих с FGM / C, и у которых была диагностирована травматическая неврома клитора. Мы собрали социально-демографическую, клиническую, хирургическую и гистопатологическую информацию. Информация включала возраст, страну происхождения, возраст, в котором была проведена FGM / C, причины обращения в нашу клинику, долгосрочные осложнения FGM / C (например, боль в области вульвы или диспареуния), половая функция, клинические данные (например, FGM / Тип С), проведенное хирургическое лечение (например, дефибуляция, реконструкция клитора, удаление болезненной массы), результат лечения и гистологические данные.

Весь резецированный материал фиксировали в 4% формалине в течение 24 часов, затем погружали в парафин. Ткань разрезали на срезы толщиной 4 мкм, которые окрашивали гематоксилин-эозином. В одном случае нам пришлось провести иммуногистохимическое окрашивание антителом против белка S100, чтобы очертить структуру нервной системы.

Наше исследование было одобрено Швейцарским комитетом по этике в исследованиях с участием людей (Протокол № 13-133 R). Информированное согласие на ретроспективный просмотр медицинских карт было отменено, поскольку контакт с женщинами был бы затруднен из-за частой смены контактных данных.

Во время операции шесть из семи женщин согласились подписать информированное согласие, разрешающее научную публикацию их анонимных медицинских изображений.

Результаты

С 2010 года мы определили семь женщин, которые были диагностированы с невромой клитора после FGM / C. Шесть из них прошли реконструкцию клитора. В период с 1 января 2013 года (когда мы начали проводить реконструкцию клитора) и 30 июня 2016 года в общей сложности 25 женщин первоначально обратились за операцией на клитор. После нашего междисциплинарного ухода и консультирования только шесть (24%) женщин по-прежнему желали пройти процедуру.

Краткое изложение социально-демографических, клинических и гистопатологических особенностей семи женщин, страдающих посттравматической невромой клитора, приведено в таблице 1. Женщины были в среднем 34, 14 ± 3, 47 года. Пять пациентов прибыли из стран Западной Африки и двое из Сомали. Все они проходили FGM / C на родине в детстве, в возрасте от 1 месяца до 12 лет.

Таблица 1 Клинические особенности семи случаев клиторальной невромы после FGM / C

Таблица в натуральную величину

Четыре женщины получили ФГМ / С типа III (инфибуляция) в соответствии с классификацией ВОЗ (3), что повлекло за собой сокращение клитора. Две женщины имели FGM / C типа II (иссечение половых губ и клитора). Один имел FGM / C, который был классифицирован как II-III. Клиторальная боль присутствовала у четырех из семи женщин.

Только у одной женщины была видимая и ощутимая болезненная клиторальная масса, которая была диагностирована как клиторальная неврома (рис. 1). У каждой из шести женщин, пришедших на операцию клитора, был шрам FGM / C, который казался несложным и был мягким и тонким при осмотре (рис. 2). Среди них двое страдали диспареунией в области клитора. Боль была очевидна во время полового акта, сразу после полового акта или в обоих случаях. Одна женщина страдала от хронических клиторальных болей (когда сидел, трогал, стирал и носил обтягивающую одежду) и диспареунии в области клитора. Эти четыре женщины описали свою боль как сильное жжение и жжение, а также болезненные электрические разряды. Их боль негативно влияла на их сексуальную жизнь, как физическую, так и психологическую, и негативно влияла на их отношения с партнерами. У остальных трех женщин не было болей в области вульвы. Два из них испытали оргазм и сексуальное удовольствие. Один испытывал сексуальное удовольствие, но не оргазм.

фигура 1
фигура 1

FGM / C тип II - III с разрезанием клитора, осложненного болезненной клиторальной невромой (стрелка). Предоставлено JSM

Изображение в полном размере

фигура 2
фигура 2

Клиторальная реконструкция в FGM / C тип II. Посттравматическая неврома клитора была обнаружена в периклиторальной фиброзной ткани (стрелка), удаленной вокруг культи клитора

Изображение в полном размере

Из шести женщин, перенесших реконструкцию клитора, трое хотели перенести операцию, чтобы улучшить болевые симптомы и сексуальную функцию. Остальные трое не страдали от боли, но считали, что реконструкция клитора способ улучшить их внешний вид и половые признаки, восстановить то, что было удалено без их разрешения, и в конечном итоге улучшить их глобальную сексуальную функцию.

Пациент с болезненной массой клитора обратился за лечением боли в области вульвы. После получения информации она не желала подвергаться реконструкции клитора. Она согласилась пройти дефибуляцию одновременно с удалением массы. Через 2 недели после удаления клиторальной боли боль в области вульвы прекратилась.

Женщины, перенесшие боль и перенесшие психосексуальную терапию и реконструкцию клитора, почувствовали улучшение своей боли в клиторе самое позднее через 3 месяца после операции - период времени, когда реэпителизация клиторальных неогланов была завершена, а послеоперационная боль утихла. Сексуальная функция улучшилась у пяти женщин. Один субъект не был сексуально активным, а другой еще не возобновил половой акт (реконструкция клитора была проведена менее чем за 3 месяца до этого).

Женщины, которые обращались за клиторальной хирургией для лечения проблем с изображением тела и гендерной идентичностью, испытывали чувство полноты и женственности, а также улучшали общую сексуальную функцию (Таблица 1).

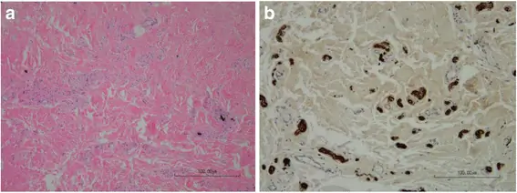
Гистопатологический анализ выявил посттравматическую неврому клитора во всех семи случаях (рис. 3). Как показано в Таблице 1, у некоторых субъектов была реакция инородного тела на предыдущие швы. Количество невромов не коррелировало с наличием болевых симптомов. Краткосрочные и среднесрочные периоды наблюдения не выявили рецидива или стойкости боли после операции у наших пациентов.

Рисунок 3
Рисунок 3

Клиторальная неврома. окрашивание гематоксилин-эозином показывает дезорганизованную пролиферацию мелких нервов в волокнистой ткани. Черные точки остаются инородным материалом. b Антибелковая иммуногистохимия S100 выделяет мелкие нервные структуры (увеличение в 100 раз)

Изображение в полном размере

обсуждение

Наши результаты в этом небольшом ретроспективном исследовании показали, что травматические клиторальные невромы были общими находками, связанными с рубцеванием FGM / C. Все женщины, которые перенесли клиторальную реконструкцию в нашей клинике, имели по крайней мере неврому клитора в ткани периклиторального рубца, которая была удалена во время операции, хотя неврома не всегда была связана с болью или сексуальными симптомами. Четыре из семи женщин испытывали невропатические клиторальные боли.

Боль после повреждения нерва называется нейропатической болью и определяется Международной ассоциацией по изучению боли как «боль, непосредственно возникающая в результате повреждения или заболевания, влияющего на соматосенсорную систему» (9). Невропатическая боль может сохраняться еще долго после заживления травмы. Как испытывали наши пациенты, это может включать аллодинию (боль, вызванную безвредными стимулами, такими как прикосновение) и гипералгезию (сильную боль, вызванную болевыми раздражителями), и она часто описывается как ощущение жжения, укола или ощущения электрического типа (10). Следовательно, болезненные невромы могут серьезно влиять на качество жизни и вызывать функциональные нарушения и психологические расстройства (11). Психосексуальное благополучие и повседневная жизнь четырех женщин, страдающих от боли в клиторах, сильно пострадали. Поставщики, которые ухаживают за женщинами с FGM / C, должны рассмотреть диагноз клиторальной невромы у пациентов с нейропатической болью в клиторах, даже когда ощутимая или видимая болезненная масса не видна. Комплексная междисциплинарная помощь должна включать консультирование, психосексуальную терапию и хирургическое лечение.

В нашем исследовании женщин с болевыми симптомами лечили хирургическим путем, чтобы удалить клинически видимую или невидимую неврому. Реконструкция клитора предусматривает удаление фиброза, окружающего клитор, как показано на рис. 2 (8). Этот метод позволяет устранить болезненную неврому. До настоящего времени реконструктивная хирургия клитора изучалась в смешанной популяции женщин с симптомами и без симптомов (9). Дальнейшие исследования должны отдельно оценить результаты реконструкции клитора у женщин, страдающих от боли в клиторе, и выполнить гистологию на удаленной фиброзной ткани. Эти результаты могут помочь обеспечить лучшее понимание лучших кандидатов для этой хирургической техники, а также оценить ее результаты с точки зрения эффективности уменьшения боли, улучшения половой функции и послеоперационных осложнений. Нет никаких доказательств относительно риска клиторальных невром после клиторальной реконструктивной хирургии. В предыдущих исследованиях было рекомендовано выполнять технику, близкую к лобковому симфизу, во время рассечения подвязочной связки клитора перед воссозданием неоглана. Это позволяет избежать повреждения дорсальной нервно-сосудистой ножки клитора (12, 13). Действительно, одно исследование было сфокусировано на течении дорсального нерва клитора (DNC) у шести взрослых женщин-трупов, показав, что расстояние DNC от средней точки лобкового симфиза составляет от 1, 6 до 4, 8 см, и при 12-часовая позиция. DNC является сенсорным нервом, который разделяется на два шнура в 1 час и 11 часов вдоль тела клитора и заканчивается на среднем расстоянии 1 см от кончика головки (14), не доходя до кончик неповрежденного клитора (14-16).

Хроническая боль в клиторе сильно влияет на отношения, а также на повседневные и психосексуальные переживания, и, по нашему опыту, может также вспомнить воспоминания и ощущения из прошлого опыта FGM / C. Соответствующее психосексуальное наблюдение должно всегда сопровождать хирургическое вмешательство, чтобы обеспечить лучший скрининг и уход за дополнительными травмирующими событиями в прошлом (например, принудительный брак, война, изнасилование), которые часто встречаются у мигрантов и уязвимых групп населения (17, 18). Непосредственное послеоперационное обезболивание должно быть адекватным (17), а хирургическое и психосексуальное наблюдение должно быть частью обычной рутины. Мультидисциплинарная помощь включает в себя санитарное просвещение и сексуальную терапию, которая позволяет практикующим врачам удовлетворять потребности многих женщин без проведения клиторальных операций. Наши данные аналогичны предыдущим данным, показывающим, что после психосексуальной помощи лишь немногие женщины все еще обращаются за восстановлением клитора (17).

Одним из ограничений нашего исследования был небольшой размер выборки, что не позволяет обобщать результаты. Мы также ретроспективно просмотрели медицинские документы, но не использовали проверенные весы для оценки половой функции. Тем не менее, гинеколог, который посещает, оперирует и проводит последующие обследования всех женщин в клинике, изучил медицинские документы. Кроме того, хотя утвержденные весы не использовались, медицинские документы были задокументированы с подробной информацией о сексуальной функции (например, изображение тела, половая идентичность, сексуальное удовольствие, смазка, боль и оргазм), независимо собранной хирургом и секс-терапевтом. Дальнейшие исследования могут быть сосредоточены на проверке и разработке вопросников и шкал для оценки сексуальной функции среди женщин с FGM / C, которые будут использоваться также среди тех пациентов, которые подвергаются хирургическому вмешательству.

Наши выводы являются новыми и важными. Во-первых, они улучшают имеющиеся скудные данные об эффективных методах лечения боли в клиторах после FGM / C. Во-вторых, они дают вклад в дальнейшие исследования результатов реконструкции клитора у женщин, страдающих от боли в клиторе. Наше исследование впервые объясняет, почему клиторальная реконструкция может улучшить симптомы боли в клиторах после FGM / C с патофизиологической точки зрения. Мы можем сделать вывод, что посттравматическая клиторальная неврома является следствием FGM / C и, скорее всего, связана с перерезанием спинного нерва клитора. Резекция нерва может вызвать хроническую или сексуальную боль клитора или быть бессимптомной. Предыдущая работа показала, что невромы других анатомических участков симптоматичны в 3-5% случаев (19). Патофизиологические механизмы боли, связанной с невромой, остаются недостаточно изученными, и было предложено несколько теорий, таких как модификация фиброзной стромы, механическое раздражение или постоянная стимуляция (20). Сообщалось, что хирургическое удаление было более успешным лечением, чем фармакологическое лечение (19). В нашем примере хирургическое иссечение, являющееся частью комплексной междисциплинарной парадигмы лечения, обеспечило эффективное лечение боли в клиторах вследствие посттравматической невромы.

Наконец, эти результаты предоставляют дополнительные научные доказательства возможных осложнений из-за FGM / C, увеличивая аргументы для предотвращения этой практики в будущих поколениях.

Выводы

Посттравматическая клиторальная неврома может быть следствием FGM / C. Это может вызвать боль клитора или быть бессимптомным. В случае болевых симптомов эффективным лечением является хирургическое иссечение невромы, которое может быть выполнено во время реконструкции клитора. Хирургия должна рассматриваться как часть междисциплинарной помощи. Эффективность реконструкции клитора для лечения боли в клиторе должна быть дополнительно оценена среди женщин с симптомами.

Сокращения

КОЖПО / С:
Калечение женских половых органов / резка
КТО:
Всемирная организация здравоохранения