Роль неинвазивных и инвазивных методов диагностической визуализации для выявления аномалий экстракраниальной венозной системы и вариантов развития

Роль неинвазивных и инвазивных методов диагностической визуализации для выявления аномалий экстракраниальной венозной системы и вариантов развития
Роль неинвазивных и инвазивных методов диагностической визуализации для выявления аномалий экстракраниальной венозной системы и вариантов развития

Экстракраниальная венозная система сложна и недостаточно изучена по сравнению с периферической венозной системой. Недавно предложенное сосудистое состояние, названное хронической цереброспинальной венозной недостаточностью (CCSVI), первоначально описанное у пациентов с рассеянным склерозом (MS), вызвало большой интерес к лучшему пониманию роли экстракраниальных венозных аномалий и вариантов развития. До настоящего времени не существует установленного метода диагностической визуализации, неинвазивного или инвазивного, который может служить «золотым стандартом» для выявления этих венозных аномалий. Тем не менее, появляются согласованные рекомендации и стандартизированные протоколы визуализации. Скорее всего, мультимодальный подход к визуализации в конечном итоге станет наиболее полным средством для целей скрининга, диагностики и мониторинга. Необходимы дальнейшие исследования для определения спектра экстракраниальной венозной патологии и сравнения результатов визуализации с патологическими исследованиями. Способность неинвазивно определять и надежно обнаруживать эти аномалии является важным шагом к установлению их распространенности и распространенности. Роль этих аномалий в возникновении значительных гемодинамических последствий для внутричерепного венозного дренажа у пациентов с РС и других неврологических расстройств, а также при старении остается бездоказательной.

Отчеты о рецензировании

Вступление

Венозная система представляет собой сложную, свободно сообщающуюся сеть сосудов низкого давления, которая содержит 75% объема циркулирующей крови в организме. Основная функция венозной системы - возвращать кровь к сердцу с периферии и поддерживать сердечный выброс. Патология в периферической венозной системе часто встречается и хорошо характеризуется, например, варикозным расширением вен и тромбозом глубоких вен (1, 2).

Экстракраниальная венозная система сложна по сравнению с периферической венозной системой, недостаточно изучена и понятна лишь частично (3, 4). Это сложная трехмерная (3D) структура, которая часто асимметрична и представляет значительно большую вариабельность, чем анатомия внекраниальной артерии. Например, в отличие от сонной артерии, сосудистая стенка внутренних яремных вен (IJVs) гораздо более гибкая с переменным диаметром просвета, на который могут влиять изменение позы, дыхание, сердечная функция, гиповолемия и состояние гидратации даже при пульсации близлежащие артерии (5-10). Еще меньше известно об основных путях дренирования позвоночника, а именно об азигозной венозной системе и ее патофизиологии. При выполнении визуализации внекраниальной венозной системы практически невозможно принять во внимание все вышеперечисленные факторы, независимо от используемого метода визуализации. Кроме того, из-за различных форм и асимметрии IJV правильное определение размера является сложным с общей заниженной или завышенной оценкой диаметра сосуда в отношении наличия стеноза (11).

В настоящее время литературы относительно мало в плане изучения экстракраниальной венозной системы по сравнению с цереброваскулярной артериальной или периферической венозной системой. В течение почти двух десятилетий отмечался односторонний или двусторонний рефлюкс яремной вены (JVR), связанный с несколькими неврологическими расстройствами, такими как преходящая глобальная амнезия, преходящая монокулярная слепота, головная боль от кашля и первичная головная боль при нагрузке (12-17). Однако только недавно вновь предложенное сосудистое заболевание, названное хронической цереброспинальной венозной недостаточностью (CCSVI) (18), вызвало повышенный интерес к лучшему пониманию роли внекраниальных венозных аномалий и вариантов развития, особенно в связи с развитие патологии центральной нервной системы (ЦНС) (10, 19-26). CCSVI был описан как сосудистое состояние, характеризующееся аномалиями основных внекраниальных путей цереброспинального венозного оттока, которые мешают нормальному венозному оттоку у пациентов с рассеянным склерозом (РС) (18, 27, 28).

Наличие CCSVI подразумевает патологическое состояние, для которого диагноз основывается, главным образом, на результатах цветной допплерографии (DS) в экстракраниальных (шейных) и внутричерепных венах путем оценки пяти критериев венозной гемодинамики (VH) (с отсечением ≥ 2 положительных критерия, использованных для диагностики CCSVI) (18, 27). Надежность использования DS в диагностике CCSVI сомнительна без надлежащей подготовки (29-31) и была в центре внимания недавних заявлений различных обществ (32, 33).

Дополнительные неинвазивные методы, такие как магнитно-резонансная венография (MRV) (30, 31, 34-44) или компьютерная томографическая венография (CTV), могут способствовать большему исследованию внутричерепной и внечерепной вены, в том числе при исследовании азигозной вены в грудной клетки, что привело к улучшению знаний в этой области, в частности, анатомии нормального спинномозгового венозного оттока.

Хотя катетерная венография (CV) широко считается «золотым стандартом» для оценки сосудистых аномалий, включая CCSVI (28, 34, 42, 43, 45-51), отсутствует стандартный протокол CV или не установлены руководящие принципы для оптимальной диагностическая оценка диагноза CCSVI. Существуют значительные различия между методиками CV и их интерпретацией среди ангиографов, при этом нет научных доказательств, подтверждающих конкретный метод ангиографии. Более того, правила, подразумеваемые при визуализации артерий, не могут использоваться для визуализации экстракраниальных вен.

Венозные аномалии против вариантов развития

Постепенное развитие венозной системы может быть связано с рядом вариантов развития, которые не обязательно представляют патологические результаты (52-54). Сообщалось, что экстракраниальными венозными аномалиями, вероятно, являются пороки развития стволовой вены (53), характеризующиеся внутрипросветными дефектами (такими как клапаны, перепонки, перегородки, мембраны и уродливые клапаны) (18, 31, 45) или внепросветными аномалиями, представленными стенозами венозной стенки (18, 28, 31, 45, 46, 48, 49, 51). Патологические исследования, направленные на определение характера этих венозных аномалий / вариантов развития, ограничены, и необходимы дополнительные исследования (55, 56). Diaconu et al. исследовали IJV, брахиоцефальные вены и азигозную вену от 20 трупов (10 контрольных и 10 пациентов с РС) и пришли к выводу, что анатомия внекраниальной венозной системы имеет значительную вариабельность, включая различное количество клапанов в разных регионах и различные характеристики клапанов (56). Коен и соавт. исследовали образцы от IJVs пациентов с MS, которые перенесли хирургическую реконструкцию IJV, образцы большой подкожной вены, использованной для хирургической реконструкции, и образцы от пациентов без MS (55). Они обнаружили, что экстракраниальные вены пациентов с РС имели очаговые утолщения стенки, связанные с более высокой экспрессией коллагена типа III в адвентиции. Необходимы дальнейшие исследования для определения экстракраниальных венозных аномалий / вариантов развития, которые вызывают значительные гемодинамические изменения в дренаже внутричерепной венозной системы, и для определения их частоты и распространенности при старении, рассеянном склерозе и других нарушениях ЦНС.

Споры и дебаты, которые вызвали необходимость стандартизации и разработки процедур визуализации

Хотя гипотеза CCSVI вызвала большую полемику и споры в исследовательском сообществе РС с тех пор, как она была впервые представлена (20, 23, 24, 57-61), она приобрела популярность среди пациентов с РС из-за предполагаемой возможности коррекции венозной недостаточности с использованием эндоваскулярных процедур. (28). До настоящего времени было опубликовано несколько противоречивых исследований (28, 46, 49, 62-68), и нет подтвержденных научных доказательств, подтверждающих причинную связь между CCSVI и РС (10, 69). Как и во многих многообещающих, но еще не проверенных методах лечения, многие пациенты с РС перенесли эндоваскулярное лечение CCSVI (70-74). Пациенты проходили эти эндоваскулярные процедуры в открытых или частных учреждениях, но в основном в нерандомизированных, не слепых и плохо контролируемых клинических условиях (69). Некоторые из центральных противоречий в обсуждении CCSVI связаны с тем фактом, что безопасность и эффективность эндоваскулярного лечения не были исследованы и доказали свою эффективность в рандомизированных, контролируемых слепых исследованиях. До настоящего времени было несколько сообщений о пациентах, которые имели серьезные побочные эффекты после ангиопластики по поводу CCSVI, такие как тромбоз стента IJV, требующий открытой тромбэктомии, миграции стента, дилатации вен аневризмы, невропатии черепных нервов, а также сообщения о смертельных случаях (48, 49, 63, 75). Поскольку пациенты с другими неврологическими заболеваниями (OND) и здоровые люди могут присутствовать с CCSVI, неясно, необходима ли коррекция CCSVI и может ли это привести к объективно измеренным улучшениям (76).

Существует растущий интерес к визуализации внекраниальной венозной системы и большая потребность в определении «золотого стандарта» визуализации для выявления внекраниальных венозных аномалий и вариантов развития (76, 77). На наш взгляд, необходимы дополнительные исследования и усилия, пока не будут найдены четкие и единообразные ответы (76).

В этой статье обобщены современные знания о преимуществах и недостатках как неинвазивных, так и инвазивных методов визуализации для выявления этих экстракраниальных венозных аномалий и вариантов развития, которые были связаны с CCSVI (таблицы 1 и 2). В этой статье также описывается необходимость стандартизации и разработки руководящих принципов.

Таблица 1 Преимущества и недостатки неинвазивных методов диагностики для диагностики хронической цереброспинальной венозной недостаточности

Таблица в натуральную величину

Таблица 2 Преимущества и недостатки инвазивных методов диагностики для диагностики хронической цереброспинальной венозной недостаточности

Таблица в натуральную величину

Неинвазивные методы визуализации

Допплерография

преимущества

DS является клинически наиболее полезным методом выявления, локализации и оценки периферической венозной обструкции и венозной недостаточности клапана (33, 109). Чувствительность и специфичность венозной DS при симптоматическом проксимальном тромбозе глубоких вен превышает 90% (110, 111). Спектральный анализ сигнала DS используется для подтверждения наличия или отсутствия потока и указывает его направление и характер. Спектральный анализ сигнала DS и цвета DS используются для подтверждения наличия рефлюкса. Он обладает преимуществом среди других методов диагностики, поскольку он неинвазивен, обеспечивает изображения с высоким разрешением с динамической информацией в реальном времени, такой как поток и скорость, показывая внутрипросветные (рис. 1А), а также внепросветные аномалии и варианты развития (рис. 1В).) и значительно дешевле, чем другие неинвазивные методы визуализации. DS-визуализация также может быть легко применена в период наблюдения за субъектами, проходящими эндоваскулярное лечение, поскольку она может распознавать связанные с этим осложнения (остаточный стеноз, рестеноз или венозный тромбоз) (рис. 1C) (28, 67, 68).

фигура 1
фигура 1

Примеры хронической цереброспинальной венозной недостаточности, критерии венозной гемодинамики по допплерографии. (A) Аномалии лоскута, отмеченные в просвете внутренней яремной вены (IJV); (B) кольцевое пространство в левом IJV: утолщенная по окружности стенка вены, которая ограничивает полное расширение вены при дыхательных или позиционных изменениях; (C) тромб, отмеченный в IJV; (D) тяжелый стеноз левого IJV: измерение CSA ≤3 мм 2; (E и F) Рефлюкс / двунаправленный поток, направленный к мозгу в течение> 0, 88 секунд в правом IJV в положении лежа на спине (E демонстрирует рефлюкс с использованием цветового потока, в то время как F демонстрирует рефлюкс с использованием спектрального анализа - форма волны, отмеченная выше базовой линии для более чем 0, 88 секунды).

Изображение в полном размере

Последние данные свидетельствуют о том, что большая часть патологии CCSVI ограничивается внутрипросветной частью экстракраниальных вен, что требует визуализации этих изображений с высоким разрешением в B-режиме (31, 47). Видимые «стенозы» (рис. 1D) или внепросветные венозные аномалии, скорее всего, развиваются чаще, просто с прогрессированием заболевания или возраста (10).

Из-за преимуществ DS в обнаружении внутрипросветной венозной патологии, он был первоначально продвинут в качестве метода выбора для скрининга экстракраниальных венозных аномалий и вариантов развития, показательных для CCSVI (18, 27). Диагноз CCSVI основан на результатах гемодинамики и визуализации, которые используют DS для изучения глубоких мозговых вен, IJV и позвоночных вен (VV) как в прямом, так и в положении лежа на спине. DS также может оценивать гемодинамические последствия нарушения оттока, в то время как ультразвук в B-режиме обнаруживает структурные венозные внутрипросветные аномалии (Figure 1E, F) (18, 27, 31, 33, 109, 112). Zamboni et al. создали набор из пяти критериев DS VH, по которым пациенты с MS отличались от здоровых контролей со 100% специфичностью и чувствительностью (18, 27) (рис. 1). Однако в своей первоначальной публикации (18) они не рекомендовали точные технические процедуры для применения протокола ни в исследовательских, ни в обычных клинических условиях. Первая попытка определить стандартизированный протокол сканирования CCSVI была недавно представлена (98). Совсем недавно Международное общество нейроваскулярных заболеваний (ISNVD) разработало более всеобъемлющий согласованный документ, в котором приняли участие более 40 международных экспертов в области визуализации DS. DS был предложен как стандартизированный инструмент скрининга для определения статуса CCSVI (33). Протокол предлагает использовать количественные измерения для определения функциональных аномалий, таких как скорость и объем кровотока (рис. 2), которые могут быть потенциально более надежными при оценке степени обструкции венозного оттока в IJVs. Он также уточняет первоначально предложенные критерии VH. Еще недавно Европейское общество нейросонологии и церебральной гемодинамики (ESNCH) выразило серьезные опасения относительно точности предложенных критериев для CCSVI при MS (32), и предложило центральное слепое чтение DS как часть недавнего многоцентрового итальянского CoSMo исследование, изучающее распространенность CCSVI у пациентов с РС, контрольной группы и пациентов с ОНД (113).

фигура 2
фигура 2

Пример измерения скорости (A) и объема (B) в течение четырехсекундной фазы во внутренней яремной вене (IJV)

Изображение в полном размере

Недостатки

Основная критика рекомендованного протокола DS заключается в том, что его воспроизводимость зависит от уровня подготовки и навыков оператора, и его нелегко ослепить и стандартизировать ни в исследовательской, ни в клинической практике (29-33, 87). Кроме того, значение критериев CCSVI VH является спорным, поскольку они объединяют функциональные и структурные внутри- и экстракраниальные венозные аномалии / варианты развития в одном бинарном композите. Zamboni et al. использовал ≥2 ненормальных критериев DS VH в качестве порога для классификации диагнозов CCSVI (18, 27). Дихотомическая переменная конструкция диагноза CCSVI, основанная на произвольном решении, смещенном в сторону характеристик первоначально изученной популяции и полученных результатов без дальнейшего тестирования и валидации наборов данных (18, 27), может способствовать объяснению основных несоответствий в распространенных результатах CCSVI между различными исследованиями колеблется от 0 до 100% (18, 27, 34, 78-98, 100, 101, 114). Оценка второго критерия CCSVI (рефлюкс в глубоких мозговых венах) (рис. 3) особенно противоречива, поскольку направление кровотока в венах, соединяющих кортикальные и глубокие вены, может значительно различаться вследствие физиологического межиндивидуального изменения венозная анатомия головного мозга (30, 32, 33, 87).

Рисунок 3
Рисунок 3

Пример рефлюкса в глубоких мозговых венах с использованием качественного допплеровского профиля (QDP). Допплеровский профиль на противоположных сторонах базовой линии.

Изображение в полном размере

DS также имеет ограничения, касающиеся характеристики экстракраниальной вены, поскольку на результаты может влиять состояние гидратации (10). DS - очень трудоемкий метод, и визуализация центральных вен, особенно в грудной клетке и брюшной полости, часто ограничена и не может дать общее представление об анатомии вен. Хотя он может обнаруживать экстракраниальные коллатеральные вены, которые, вероятно, связаны с CCSVI, технически невозможно проследить полный ход коллатеральных вен, который можно легче визуализировать с использованием MRV, CTV или CV (10). Другие подводные камни в томографии DS включают неправильную идентификацию вен. Кроме того, перекрывающие кости и мышцы могут препятствовать непрерывной визуализации (не могут надлежащим образом визуализировать слияние IJV и подключичной вены, потому что ключица обычно блокирует прямую визуализацию). Точно так же шейная часть IJV и яремная луковица не могут быть визуализированы DS из-за ограниченного акустического окна, возникающего из-за позвоночника, нижней челюсти и черепа (10, 112, 114).

Распространенность данных CCSVI

До настоящего времени ни одно из недавно опубликованных исследований DS (30-32, 34, 78-101) не воспроизвело первоначально сообщенную распространенность CCSVI (18, 27), независимо от используемого метода диагностики DS. Даже те исследования DS, которые выявили значительную разницу в диагнозе CCSVI между пациентами с РС и контрольной группой, показали значительно более низкую распространенность, чем первоначально сообщалось (30, 31, 83, 88, 90, 92-94, 98, 99).

Самая большая когорта, опубликованная на сегодняшний день среди пациентов с РС и контролей с DS, осмотренных слепым способом, сообщила, что показатели распространенности составляют 56, 1% у пациентов с РС, 42, 3% у пациентов с ОНД, 38, 1% при клинически изолированном синдроме и 22, 7% у здоровых контролей (98), Было проведено множество дополнительных исследований DS, которые показали значительные различия в распространенности CCSVI между пациентами с РС и контрольной группой (30, 31, 78, 83, 88, 90, 92-95, 99). Тем не менее, еще большее количество исследований DS не смогли показать различия в распространенности CCSVI между пациентами с РС и контрольной группой (34, 80-82, 84-87, 89, 91, 96, 97, 100), (101).

Используя контрастную DS для оценки времени мозгового кровообращения (CCT) у пациентов с РС и контрольных пациентов, Mancini et al. показали, что пациенты с РС имели значительно более длительную ЧМТ и более частое ретроградное течение в IJVs (90).

Рефлюкс яремной вены

Несколько исследований показали связь между дренажными аномалиями IJV, характеризующимися JVR, и специфическими неврологическими заболеваниями неопределенной этиологии, такими как преходящая глобальная амнезия (14), преходящая монокулярная слепота (17), кашляющая головная боль (13), первичная головная боль при нагрузке (16) идиопатическая внутричерепная гипертензия (115) наряду с более высокой распространенностью гиперинтенсивности белого вещества у пожилых людей (15). JVR также исследовали в большой группе пожилых людей. Повышенная распространенность JVR, расширенный просвет сосуда и замедленная скорость кровотока в левом IJV, а также средняя усредненная по времени скорость двустороннего IJV были обнаружены у лиц старше 70 лет (116).

Дальнейшие соображения

Распространенность CCSVI и JVR, а также их связь с клиническими данными при нарушениях ЦНС подчеркивают необходимость более количественных и воспроизводимых мер для интеграции морфологических и функциональных аномалий. К ним относятся кровоток, а также скорость и объем крови, которые могут быть потенциально более надежными при оценке степени обструкции венозного оттока в IJVs и азиготной вене (рис. 2). Экзамены с контрастным усилением потенциально могут увеличить значение DS (90). Как сообщалось недавно, существует потребность в обучении и использовании стандартизированных критериев VH для диагностики CCSVI (33, 98). Хотя значение этих критериев VH при обнаружении венозных аномалий или вариантов развития является неопределенным (32), в настоящее время не было предложено никаких других подтвержденных критериев. Мы надеемся, что быстро растущая литература будет способствовать совершенствованию протоколов и процедур, которые будут использоваться при исследовании внечерепной венозной системы (113).

Магнитно-резонансная венография

MRV - часто пропускаемый и недооцениваемый неинвазивный и безопасный метод для оценки вен и шейных вен. Академические и клинические применения MRV относительно скудны по сравнению с CV или DS (117). Что касается DS, преимущества обусловлены тем, что MRV является неинвазивным методом, менее трудоемким и менее зависимым от оператора. MRV также может легко и глобально изобразить анатомию и морфологию головы, внутри- и внечерепной венозной системы. MRV представляет собой комплексную, неинвазивную и относительно независимую от оператора методику, которая обеспечивает трехмерную структурную оценку интра- и экстракраниальной сосудистой сети для потенциальной идентификации стеноза и количественного определения кровотока по основным венам (41).

Недавние исследования использовали MRV для оценки различий между популяцией РС и контролем с различной степенью успеха. MRV был протестирован против других методов визуализации, таких как CV и DS, при обнаружении венозных аномалий (30, 31, 34, 42, 43, 102). Wattjes et al. Провели МРТ у 20 пациентов с РС и 20 по возрасту и полу контрольных групп и не обнаружили существенных различий в частоте венозных аномалий (40). Авторы пришли к выводу, что аномалии венозного оттока, вероятно, отражали нормальные анатомические варианты развития. Другое исследование также сообщило об отсутствии различий между 21 пациентом с РС и 20 контрольными пациентами в отношении оттока IJV и потока спинномозговой жидкости в акведуке с использованием фазово-контрастных последовательностей и MRV с контрастным усилением (37). Зивадинов и соавт. не обнаружили различий в морфологических характеристиках кровотока между пациентами с РС и контрольной группой (44). Однако Долич и соавт. обнаружили, что у прогрессирующих пациентов с РС было больше морфологических аномалий, чем у пациентов с рецидивирующими стадиями заболевания (31). До настоящего времени только одно исследование MRV, которое включало 19 пациентов с РС и 20 здоровых контролей, показало существенную разницу в морфологии потока IJV между двумя группами (36). Пациенты с РС имели большее сглаживание IJV, чем здоровые контроли, без различий в коллатеральных показателях. Результаты этих исследований позволяют предположить, что морфологическая информация MRV сама по себе может быть недостаточной, чтобы сделать выводы о наличии венозных аномалий и их связи с CCSVI при MS.

MRV чрезвычайно полезен для выявления коллатеральных вен, которые, вероятно, представляют собой физиологические изменения венозной системы, которые могут играть компенсаторную роль, когда присутствуют больше венозных экстракраниальных аномалий (30, 31). Внекраниальная венозная коллатеральная циркуляция, вероятно, представляет собой компенсаторный механизм нарушения венозного оттока, потому что он обходит заблокированные вены и тем самым снижает сопротивление дренажу (10). Оценка возможного выпячивания или коллатерализации экстракраниальных вен шеи с помощью MRV является важным диагностическим этапом при изучении состояния венозной системы.

Время полета

В течение последнего десятилетия цифровая вычитающая ангиография на основе катетера, как предпочтительный метод для визуализации внутричерепной венозной анатомии, все чаще вытесняется MRV, обычно выполняемой с двумерной импульсной последовательностью времени полета (TOF) (118).). В отсутствие лучших неинвазивных методов для визуализации дуральных венозных пазух, хорошо известные и документированные ловушки, связанные с чувствительными к потоку методами МР, были допущены.

Кроме того, простые протоколы, которые включают в себя приобретения 2D-TOF, уже улучшили их точность для диагностики тромбоза глубоких вен, вовлекающего бедренную, подколенную или подвздошную вены (119); Однако опыт применения этих методов в шейных венах все еще ограничен. Центральные вены грудной клетки в основном недоступны для DS, и MRV является отличным методом для оценки подмышечной, яремной, подключичной, верхней полой вены и легочных вен. Преимущество венографии в TOF состоит в том, что не требуется никаких специальных последовательностей импульсов, и этот метод доступен практически для каждой системы МРТ. Последовательности импульсов TOF являются испорченными захватами градиентного эха или градиентного эха, выполняемыми последовательно, то есть все этапы фазового кодирования воспроизводятся в одном слайсе перед переходом к следующему слайсу, что приводит к гораздо большему подавлению стационарной ткани. Он также имеет преимущество в том, что избегает необходимости использования контрастных веществ и остается предпочтительным методом при оценке состояния беременной пациентки с подозрением на тромбоз дурального синуса. Кроме того, сопутствующее традиционное исследование МР более чувствительно с точки зрения выявления кортикального венозного инфаркта, чем КТ (120). Кроме того, CTV всегда требует использования внутривенного контраста, в то время как MRV предлагает множество неконтрастных методов, что делает MRV предпочтительным методом у пациентов, которые также страдают от почечной недостаточности или контрастной аллергии. CTV может также потребовать двух или более приобретений для адекватного захвата контрастного помутнения вен, тем самым увеличивая дозу облучения (103).

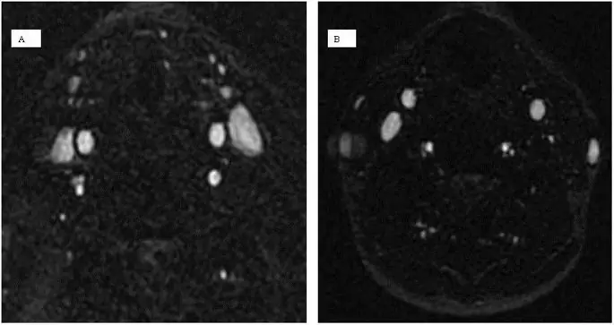
Аксиальная ориентация захвата обеспечивает высокое плоскостное разрешение, которое идеально подходит для измерений площади поперечного сечения (CSA) вен. Однако на последовательность TOF легко влияют артефакты движения, особенно от дыхания, глотания, храпа или движения головы пациента (38, 41) (рис. 4). Относительная нечувствительность к потоку в плоскости - еще одно ограничение метода TOF. Что касается направления потока, оптимальная плоскость сбора данных является ортогональной, что неэффективно с точки зрения времени получения и не всегда достижимо. Хотя он имеет более высокое пространственное разрешение, 2D-TOF может переоценивать стеноз в условиях турбулентного или медленного потока (42).

figure4
figure4

Пример нормального и аномального кровотока во внутренней яремной вене при магнитно-резонансной венографии. Нормальный кровоток в обеих внутренних яремных венах (A) и ненормальный кровоток в левой внутренней яремной вене на осевом 2D времени пролета (B).

Изображение в полном размере

В общем, стандартные традиционные методы MRV более подвержены артефактам, чем фазово-контрастная MRV и 3D-TOF ангиография (10, 44). Эти методы могут потенциально облегчить некоторые из обычных артефактов MRV и предоставить более подробную информацию о потоке. Одним очевидным улучшением является изображение при более высокой напряженности поля, например 3T, потому что это увеличивает отношение сигнал / шум и лучше характеризует медленный поток.

Фазоконтрастное изображение

В отличие от методов TOF, которые основаны главным образом на связанном с потоком улучшении для получения сосудистых изображений, фазово-контрастная МР-ангиография (PC-MRI) использует индуцированные скоростью сдвиги фаз, передаваемые движущимся спинам, чтобы отличать текущую кровь от окружающей неподвижной ткани, таким образом, предоставляя информацию, касающуюся как анатомии, так и кровотока (Рисунок 5). Основным преимуществом ангиографии с помощью PC-MRI является превосходное подавление фона, а также количественное определение скорости крови. Тем не менее, это требует длительного времени визуализации и предварительной оценки скорости кровотока. Кроме того, он также может быть более чувствительным к потере сигнала из-за турбулентности или внутривоксельной дефазировки (121, 122). На сегодняшний день, насколько нам известно, существует всего несколько исследований, в которых использовалась компьютерная МРТ для количественной оценки венозного кровотока у пациентов с РС. Сундстрем и др. изучали IJV-поток, нормализованный по общему артериальному потоку на уровне C2 / C3, у 21 пациента с РС и 20 контрольных пациентов и не обнаружили статистически значимой разницы между ними (37). С другой стороны, Feng et al. охарактеризовал и сравнил характеристики кровотока в большой когорте пациентов с нестенотической и стенотической МС и наблюдал значительное снижение потока IJV в стенозированной группе (41). Они пришли к выводу, что нормализованный общий поток IJV, составляющий менее 50% общего артериального потока, может быть потенциальным биомаркером для выявления значительных стенозов в IJV. Кроме того, Haacke et al. показали, что у пациентов, страдающих рассеянным склерозом со структурными венозными аномалиями на МРТ, наблюдается аномальное распределение потока IJVs (35). В отличие от PC-MRI, Hartel et al. использовал очень простой протокол MRV с последовательностями T2FatSat и 2D-TOF для оценки нарушений кровотока в IJVs и азиготной вене (123). Они обнаружили, что патологический паттерн кровотока у IJV у пациентов с РС чаще встречается на левой стороне.

figure5
figure5

Пример патологии внутренней яремной вены на контрасте с использованием кинофазы - МРТ. Области интереса (ROI) обозначены как внутренние яремные вены. Эти ROI были использованы для измерения потока через эти сосуды. Пример, показывающий изображение величины количественного определения потока в стенотическом (A) и нормальном IJV (B) и количественное определение потока на фазовых изображениях тех же IJV (C и D). График, показывающий различия в скорости между стенотической и нестенотической IJV (E).

Изображение в полном размере

Необходимы дополнительные исследования для проверки венозного кровотока на уровне верхней части шеи на адекватном количестве здоровых контролей, соответствующих возрасту и полу, с гетерогенными возрастными группами.

Техники с контрастным усилением

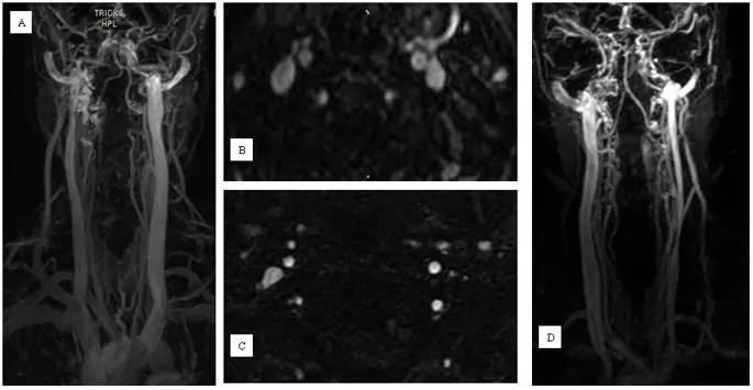
МРТ с контрастным усилением (CE), трехмерная ангиография с кинетикой контрастирования (TRICKS) с временным разрешением является неинвазивным и безопасным методом оценки вен головы и шеи, без сопутствующего риска обычной ангиографии. Это предпочтительнее ангиографии TOF, потому что контрастное вещество уменьшает время релаксации T1 крови и практически исключает эффект насыщения (124, 125) (рис. 6).

figure6
figure6

Пример морфологии нормального и аномального кровотока во внутренней яремной вене при магнитно-резонансной венографии. Морфология нормального (A и B) потока в обоих и аномального (C и D) потока в левой внутренней яремной вене при улучшенной трехмерной визуализации контрастной кинетики (TRICKS) с временным разрешением.

Изображение в полном размере

CE MRV, вероятно, является наиболее широко используемым методом и, по сути, идентичен 3D CE MR MR-ангиографии, в которой используется испорченная 3D-последовательность градиент-эхо в сочетании с болюсным контрастом на основе гадолиния. Контрастность сосудов обусловлена эффектами укорочения T1 гадолиния на соседние протоны воды и имеет относительно небольшую зависимость от эффектов притока. В отличие от MRA, ограничение CE MRV заключается в том, что максимальное усиление контраста, достигаемое в венах, обычно ниже, чем в артериях, потому что контрастный болюс более разбавлен к тому времени, когда он достигает венозной системы (126). Чтобы улучшить подавление фона и подчеркнуть сосудистый сигнал, насыщение жира может быть добавлено к трехмерной испорченной последовательности градиент-эхо с небольшим увеличением времени сбора. Трехмерная реконструкция данных MRV CE несколько менее прямолинейна, чем реконструкция ангиографии MR, поскольку контраст вены / фона ниже, и обычно наблюдается артериальное, а также венозное усиление.

Вены могут иметь различную интенсивность сигнала МР-изображения из-за явления среза входа, потока в плоскости, эффектов турбулентности потока и могут иметь переменное усиление. Максимальная интенсивность проекции (MIP) объемных реконструкций этих последовательностей часто недооценивает сосудистый калибр, особенно когда есть сегменты с уменьшенным потоком (скорость или объем) (120).

Недостатки CE MRV включают в себя расход контрастного вещества, а также контрастную токсичность и дискомфорт пациента при получении противотрубного венозного доступа. Однако в случае тромбоза дурального синуса достоверная ранняя диагностика этого распространенного и поддающегося лечению заболевания может значительно снизить заболеваемость пациентов.

4D визуализация потока

Другим многообещающим методом МР является фазово-контрастный 4-мерный поток с кодированием скорости вращения, который может позволить оценить не только анатомические стенозы, но и их влияние на венозные волны. Он основан на том принципе, что движущиеся протоны меняют фазу пропорционально их скорости. Обеспечивая качественную оценку наличия и направления коллатерального кровообращения, МРТ с кодированием скорости дает информацию о наличии и тяжести обструкции. Техника наиболее широко использовалась для оценки характера кровотока в грудной аорте, включая характеристику патологических течений, связанных с патологическими нарушениями, такими как аневризма восходящей аорты и диссекция (127). Недавние исследования изучали использование 4D визуализации потока для других областей сосудистой анатомии и патологии, включая внутричерепной артериальный и венозный кровоток (128). Благодаря детальной характеристике сложных, динамических паттернов кровотока и способности количественно определять кровоток, методика может дополнять как текущую неинвазивную, так и инвазивную визуализацию внутри- и внечерепных сосудистых патологических нарушений. Диагностическая и мониторинговая ценность 4D-визуализации аномалий венозного кровотока, указывающая на CCSVI, в настоящее время отсутствует.

Дальнейшие подводные камни и соображения

Наконец, MRV страдает от своего «снимка» природы. Точное изображение этих вен требует нескольких видов и маневров, таких как вдох и выдох, сгибание и разгибание, а также ротационная визуализация шеи. Его основными недостатками являются отсутствие динамичности MRV в реальном времени, более низкое разрешение по сравнению с DS и CV (невозможно оценить внутрипросветную патологию, такую как неподвижные клапаны, перепонки, перегородки, мембраны и дупликации), и это зависит от характера сами вены, которые склонны к разрушению в часто встречающихся условиях, в отличие от артерий. MRV часто обнаруживает ложные стенозы, которые не подтверждаются сердечно-сосудистыми заболеваниями, особенно в нижних отделах IJV (42, 123). Эти стенозы могут представлять собой преходящие фазовые сужения (функциональные) или могут быть результатом уменьшения потока над истинными стенозами, обычно расположенными в месте слияния вен (30, 31, 102, 123). Кроме того, он не может удовлетворительно оценить азиготные и гемиазиготные вены.

В отличие от DS, с большинством МР-сканеров данные можно собирать только в положении лежа на спине, хотя некоторые сканеры также могут выполнять сканирование в вертикальном положении. Ниггеман и соавт. использовали позиционную МРТ для описания влияния позиционных изменений на венозный отток головного мозга (129). Они обнаружили, что стриктуры IJV являются обычным явлением для здоровых людей в положении лежа на спине, не имеющих значения в вертикальном положении, что ставит под сомнение обоснованность критерия DS VH 5 (отсутствие коллапса IJV в вертикальном положении) для диагностики CCSVI. Очевидно, что этот критерий (для изучения изменения потока в IJVs от положения лежа на спине до положения сидя) не может быть изучен с обычной системой MR (130).

Компьютерная томография венография

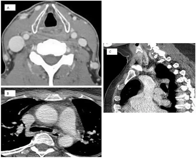
Развитие спиральной КТ значительно расширило диапазон венозной оценки. В предыдущих сообщениях отмечалось, что CTV обладает высокой чувствительностью для изображения внутримозгового венозного кровообращения по сравнению с цифровой ангиографией с вычитанием (103). Преимущества CTV по сравнению с CV включают снижение стоимости, неинвазивность и время на диагностику. Исходные изображения CTV также могут демонстрировать паренхиматозные аномалии, не обнаруживаемые с помощью CV, и он способен отображать изображения во вращающихся трехмерных кинопетлях (а также MRV), что обеспечивает практически неограниченное количество просмотров из одной инъекции (104)., Кроме того, CTV превосходит MRV в идентификации церебральных и экстракраниальных вен и дуральных пазух по скорости и пространственному разрешению, и по крайней мере эквивалентен в постановке диагноза тромбоза дурального синуса. Это также дешевле и требует меньше времени. Экзамен очень короткий; следовательно, качество изображения почти не ухудшается при движении пациента, что делает его первым выбором для критически больных пациентов (5). Многие пациенты, которые не являются кандидатами на MRV из-за кардиостимуляторов, других устройств, несовместимых с MRI, или клаустрофобии, могут быть обследованы с помощью CTV. С другой стороны, отношение венозного контраста к шуму почти всегда выше с MRV. CTV также, как и MRV, не может оценить патологию внутрипросветных вен, такую как неподвижные клапаны, перегородки, перегородки, мембраны и дупликации. Что касается CCSVI, некоторые из основных преимуществ CTV могут быть связаны с оценкой венозной многоплоскостной и глобальной венозной системы, возможностью прямой оценки вены азигуса (морфология, калибр, течение и возможные кальцификации) и использованием для планирования терапии (10). Тем не менее, у пациентов с РС нет никаких исследований типа CTV. Скорее всего, это связано с возможностью радиационного воздействия на контроли и необходимостью использования контрастного вещества. Наша группа получила предварительный опыт использования CTV как части мультимодального диагностического подхода в текущем исследовании «Проспективная рандомизированная эндоваскулярная терапия при рассеянном склерозе (PREMiSe)» (Рисунок 7).

figure7
figure7

Пример компьютерной томографии венография внутренних яремных и азигозных вен. Аксиальные (А) реконструкции внутренних яремных вен. Показаны осевые и сагиттальные реконструкции азигозной вены и С), но их диагностическая ценность сомнительна.

Изображение в полном размере

Инвазивные методы визуализации

Катетерная венография

CV обычно считается «золотым стандартом» для определения степени стеноза кровеносных сосудов, связанных с измененным кровотоком (28, 42, 45, 48). Однако было обнаружено, что он менее чувствителен в выявлении точной природы суженных сегментов внечерепных вен. Несмотря на то, что CV является люмингограммой, она дает мало или вообще никаких данных относительно внутрипросветных структур сосуда из-за плотного помутнения просвета с контрастом, который стирает тонкие внутрипросветные структуры. Несмотря на то, что он превосходно обнаруживает более крупные вторжения, такие как атеромы в просвет, он имеет ограниченный потенциал для обнаружения повреждений, таких как внутрисветовые пороки развития клапанов, перегородки и клапаны (10, 107). Несмотря на то, что можно использовать очень слабые контрастные и конусообразные изображения при высоких скоростях захвата, чтобы уловить некоторые из этих внутрипросветных особенностей, их обычно труднее обнаружить по CV, используя обычные параметры захвата и уровни контрастности. Следовательно, в случаях, когда присутствуют только внутрипросветные венозные аномалии или варианты развития, чрезвычайно трудно измерить степень обструкции кровотока с помощью CV. Кроме того, катетер может пересекать деформированные и / или обратные створки клапана и искусственно держать их открытыми, что предотвращает документирование стеноза. И наоборот, CV имеет несколько важных преимуществ, в том числе способность выполнять измерения градиента давления, а также предоставлять полезную «дорожную карту» для планирования эндоваскулярных процедур (28, 46, 107). Однако его инвазивность, использование контрастных веществ и радиационное облучение делают его неоптимальным в качестве рутинного инструмента скрининга в клинических условиях. Это также зависит от оператора, обычно получают только проекции AP, и оценка стеноза может зависеть от точного местоположения и скорости введения контраста.

Одна из основных критических замечаний в отношении концепции CCSVI возникла из-за использования эндоваскулярных процедур для разблокировки потенциально стенотических IJV и азигозных вен открытым способом без предварительного установления а) методов и протоколов диагностической визуализации, которые будут служить «золотым стандартом» для обнаружение и мониторинг этих экстракраниальных венозных аномалий и б) безопасность, а также эффективность эндоваскулярных процедур в рандомизированных двойных слепых контролируемых исследованиях (10, 28, 46, 49, 62-66, 69, 71, 131). Более того, классификация, существование и интерпретация венозных аномалий сомнительны, учитывая тот факт, что то же самое можно обнаружить среди здоровых популяций (40, 85, 88, 98). В настоящее время остается неясным, представляют ли экстракраниальные венозные аномалии приобретенную патологию или варианты развития. Будущие продольные исследования должны прояснить эти важные вопросы.

Задача на данный момент, учитывая раннюю стадию исследований, связанных с CCSVI, заключается в определении венозных аномалий и вариантов развития, выявляемых с помощью CV, и критериев, используемых для принятия последующих решений о лечении. Кроме того, есть вопросы по поводу лучшего сосудистого доступа. Эти вопросы включают в себя: использовать ли разбавленный или неразбавленный контраст? Следует ли оценивать эти вены независимо от их диаметра и анатомии венозной сети? Какие параметры должны определять патологический клапан и другие внутрипросветные структуры и должно ли обычное сердечно-сосудистое исследование этих вен всегда сопровождаться внутрисосудистым ультразвуком (IVUS) (48, 108)?

Очевидно, что инвазивные методы оценки гемодинамических стенозов в экстракраниальной венозной системе (в основном, ВПН и вены азигоз) не являются оптимальными. Первое, на что нужно обратить внимание при оценке состояния пациента с CCSVI, - это степень сужения вены, как видно на сердечно-сосудистых заболеваниях, и решение относительно того, что представляет собой значительный стеноз. IJV часто не является круглым объектом; часто овальный или сложный. Таким образом, определение диаметра вены с помощью CV часто бывает произвольным, и поэтому оно недооценивает или переоценивает правильный размер баллона для ангиопластики (108). Концепция существенного препятствия заключается в том, что когда сосуд был уменьшен до 50% от его диаметра (что соответствует 75% -ному снижению CSA), он получен в основном из наблюдений в артериальной системе. Однако эти критерии могут быть неприменимы в венозной системе, поскольку существуют некоторые принципиальные различия. Одна потенциальная проблема заключается в том, что IJV может значительно различаться как по размеру, так и по симметрии в зависимости от различных факторов, включая состояние гидратации, сердечный выброс, дыхательные отклонения, а также положение головы, которые могут составлять некоторые из отмеченных изменений (26). Используя DS на уровне крикоидного хряща, Lin et al. обнаружили, что нормальный венозный диаметр колебался от 9, 1 мм до 10, 2 мм, но небольшой IJV (5 мм в диаметре) можно увидеть у 13, 5% субъектов с правой стороны и у 10, 6% с левой стороны (132). В свете высокого давления, необходимого для расширения стеноза, правильное определение размера имеет решающее значение, чтобы избежать повреждения вены чрезмерно дилатационным или ранним рецидивирующим стенозом из-за недостаточной дилатации (Рисунок 8). Недавно были предложены более сложные категориальные критерии (от 1 до 4 класса) (46), но их необходимо протестировать и подтвердить. Кроме того, существует опасение, что внутрипросветная аномалия, такая как септы, может легко сместиться с пути надувным баллоном, но при дефляции упадет обратно в исходное положение и продолжит функционально препятствовать потоку.

figure8
figure8

Катетерная венография азигоз и внутренних яремных вен. Пример нормального открытого просвета азигозной вены (A) и левой внутренней яремной вены (IJV) (B). Значительный стеноз проксимального отдела правого IJV (C).

Изображение в полном размере

CV может показывать только коллатерали, которые дренируют конкретную инъецируемую вену, без возможности сразу показать глобальную экстракраниальную венозную систему, то есть, как с MRV или CTV (10, 43). Отображение внекраниальных венозных структур может быть улучшено с помощью дополнительного инъецированного контрастного вещества, более селективной катетеризации и дополнительных проекций.

Несмотря на то, что ряд открытых исследований оценивали экстракраниальные вены у пациентов с РС и показали высокую распространенность венозных аномалий (28, 43, 45-51, 107, 133), отсутствуют данные, сравнивающие результаты CV у пациентов с РС и контроль по возрасту и полу. Наличие таких исследований имеет важное значение для определения потенциальных преобладающих различий между венозными аномалиями или вариантами развития, свидетельствующих о CCSVI и их общем распределении среди здорового педиатрического и взрослого населения по возрасту и полу.

Будущие соображения

CV может быть дополнено использованием более сложных критериев, таких как время для удаления контраста из вены или потеря баллона через стеноз (134). Кроме того, благодаря возможности выполнять измерения градиента давления до и после эндоваскулярных процедур, он может косвенно предоставлять информацию о гемодинамической значимости венозной обструкции (28).

Внутрисосудистая сонография

Внутрисосудистая сонография (IVUS) - это методика УЗИ, основанная на эндолюминале, которая предлагает томографический 360-градусный обзор стенки сосуда изнутри. Это также позволяет проводить более полную и точную оценку, чем это возможно при использовании CV-обследования. Таким образом, визуализация IVUS может действительно отражать размер стенотических поражений. Он обеспечивает визуализацию в поперечном сечении in vivo и демонстрацию подвижности небольших внутрипросветных структур, которые не могут быть оптимально выявлены с помощью традиционных методов диагностики (135).

Наиболее распространенные показания для IVUS были в оценке и лечении артериальной болезни. Его превосходное разрешение по сравнению с ангиографией помогло понять патофизиологию и улучшить диагностику ишемической болезни сердца, достигнув новых рубежей в интервенционной кардиологии (136-138). Было показано, что IVUS обеспечивает более точную оценку окружности сосуда и площади поперечного сечения и, таким образом, полезна при обнаружении критических стенозов. Анализ размеров сосуда позволяет более точно выбрать размер баллона, что снижает риск травмы и обеспечивает более эффективную ангиопластику (139, 140). Аномальные клапаны, характеризующиеся высокоэхогенным нерегулярным утолщением, плохой подвижностью, выпуклыми бугорками, а также перегородкой и перепонками, легче увидеть при IVUS, поскольку они высокоэхогенные. Было показано, что такая венозная патология в подвздошной вене не распознается при CV и хорошо визуализируется при IVUS (141).

Хотя диагностический опыт растет с использованием IVUS для исследования как внутри-, так и экстракраниальных артерий (142), существует ограниченная литература относительно его использования для исследования венозной сосудистой сети в целом, а также конкретно в связи с исследованием венозных аномалий и вариантов развития, характерных для CCSVI (47, 107, 108) (рис. 9). По нашему опыту, IVUS является более точным в обнаружении внутрипросветных венозных аномалий в IJVs и azygos vein, более точным в измерении стеноза и толщины стенки и позволяет исследовать пульсацию в венах (134). Исследование клапанов IJV особенно хорошо видно на IVUS. Кроме того, тромб и расслоения хорошо видны при IVUS (108). IVUS также может показать степень эхогенности, как стенки сосуда, так и внутрисветового тромба, что может указывать на различную степень толщины стенки и может коррелировать с возрастом тромбоза, важным аспектом патологии сосуда, который не является можно определить с помощью CV (143).

figure9
figure9

Пример внутрисосудистого УЗИ во внутренней яремной вене. Нормальный открытый просвет (A) и стенотический просвет (B) с фиброзной стенкой.

Изображение в полном размере

В недавнем исследовании, в котором участвовали 45 пациентов с РС, Scalise et al. Установлено, что при выявлении внутрипросветных аномалий сердечно-сосудистые заболевания значительно уступают DS и IVUS. IJV CSA была недооценена DS по сравнению с IVUS (107). В другом исследовании Lugli et al. ретроспективно обследовано 167 пациентов с РС, которые имели ≥2 положительных критериев DS VH (47). В 37% случаев не было корреляции между предоперационной оценкой DS и данными CV. В случае несоответствия между двумя экзаменами была выполнена IVUS и подтверждены результаты DS в 42% случаев, а результаты CV - в 58%. Karmon et al. изучали распространенность экстракраниальных венозных аномалий у IJV и азиготных с использованием CV, а также IVUS у 30 пациентов с MS, у которых было выявлено ≥2 положительных критериев DS VH (132). CV считали ненормальным, когда обнаруживали ограничение просвета ≥50%, в то время как IVUS считали ненормальным, когда обнаруживали ограничение просвета ≥50% или внутрисветовые дефекты или пониженную пульсацию. Венозные аномалии, обнаруженные при IVUS, наблюдались в 85% азиготной вены, 50% правого IJV и 83, 3% левого IJV, тогда как CV показывал стеноз ≥50% в 50% азигозной вены, 55% правого IJV и 72% оставил IJVs. Чувствительность сердечно-сосудистой системы для выявления аномалий внутривенного вливания составляла 52, 9%, 73, 3% и 80% для азиготной вены, левого IJV и правого IJV соответственно. Это исследование показало, что оценка IJV и азигозной вены с помощью IVUS может выявить более высокую частоту венозных аномалий, чем сердечно-сосудистых, и это обеспечивает диагностическое преимущество по сравнению с «золотым стандартом» сердечно-сосудистых заболеваний при обнаружении экстракраниальных венозных аномалий и вариантов развития, указывающих на CCSVI.

преимущества

Преимущества IVUS по сравнению с DS, среди прочего, включают сонографическое проникновение изнутри сосуда, исключая внесосудистые мягкие ткани. Он также оценивает кровеносные сосуды, которые не легко доступны обычным DS, таким как нижняя часть IJV (позади ключицы), верхняя часть IJV, внутричерепные пазухи и венозная вена. Кроме того, он обеспечивает изображение с большим разрешением как просвета, так и стенки (с дополнительными 3D-функциями), обеспечивая более качественную информацию о стенке сосуда. IVUS лучше идентифицирует внутрипросветные венозные аномалии / варианты развития по сравнению с CV (107, 108, 134). Кроме того, CV неспособен контролировать пульсацию дыхательных путей, которая включает периоды с уменьшенным диаметром сосуда, которые могут быть исследованы с IVUS. В то время как значения для определения стеноза, используемые для CV (≥50%), зависят от соотношения между диаметром стенотического сегмента и пре- (не) стенозической веной, которое является более вариабельным, определение IVUS является более строгим (просвет, который охватывает IVUS зонд для критического стеноза) и не относится к нестенотическому сегменту (134). Остается неясным, на каком уровне и по каким критериям наблюдается значительный гемодинамический эффект стеноза по обоим методам. Венозный стеноз в настоящее время измеряется с использованием артериальных критериев, которые явно не оптимальны. Гемодинамика венозного кровотока остается основной областью исследования, и лучшее понимание, вероятно, приведет к пересмотру критериев стеноза.

Недостатки

Кольцевые артефакты, создаваемые акустическими колебаниями в пьезоэлектрическом преобразователе, которые затеняют ближнее поле, приводят к тому, что размер акустического катетера превышает его физический размер и может отрицательно влиять на изображения IVUS (144). Геометрическое искажение может быть результатом изображения в наклонной плоскости (не перпендикулярно длинной оси сосуда) (145). Кроме того, видимое искажение изображения может происходить из-за другого важного артефакта, «неравномерного искажения вращения», который возникает из-за неравномерного сопротивления на тросе привода катетеров механического типа, что приводит к циклическим колебаниям скорости вращения. Физический размер катетеров IVUS (в настоящее время приблизительно 1, 0 мм) является важным ограничением при визуализации тяжелых стенозов (146). Кроме того, в зависимости от зонда существует конечное ограничение разрешения IVUS, которое быстро ухудшается за пределами этого конкретного радиуса, обычно от 10 до 12 мм. Таким образом, частота преобразователя, настройки усиления, глубина проникновения и глубина фокусировки являются одними из факторов, которые влияют на чувствительность визуализации IVUS.

Дальнейшие соображения

Необходимы дальнейшие исследования, чтобы подтвердить роль IVUS в изображении экстракраниальных венозных аномалий и вариантов развития, свидетельствующих о CCSVI. Оптимизация и стандартизация протоколов необходимы для более широкого использования этого метода визуализации. Предварительные исследования IVUS, в которых изучались экстракраниальные венозные аномалии и варианты развития, были чрезвычайно важны для лучшего понимания этих структур (47, 107, 108, 134).

плетизмография

Плетизмография является единственной существующей практической неинвазивной модальностью для глобальной физиологической оценки вен конечностей. Как таковой, он предоставляет ценную информацию о влиянии рефлюкса и обструкции на общую венозную функцию и может служить мерой функции насосной мышцы икры (тензометрическая плетизмография) (147, 148). Идентификация и оценка венозной обструкции плетизмографией основана на оценке этих двух параметров: венозной емкости и венозного сопротивления.

Использование плетизмографии в качестве дополнительной модальности к DS целесообразно для количественной оценки рефлюкса или обструкции, для мониторинга динамики венозных заболеваний во времени и для оценки результатов лечения. Несмотря на их значение в анатомической локализации заболевания, методы визуализации, такие как DS и CV, не могут оценить общую тяжесть рефлюкса или обструкции. Более того, использование тензометрического или воздушного плетизмографа для диагностики венозного тромбоза нижних конечностей было хорошо документировано (148, 149). Раздавливая манжету на бедре, сужение вен вызывает увеличение венозного объема. Когда манжета высвобождается, датчик обнаруживает быстрый венозный отток и возврат к покоящемуся объему крови. При наличии тромбоза плетизмография обнаружит задержку в процессе опорожнения. К сожалению, как и в случае с инвазивными аналогами, большинство неинвазивных тестов демонстрируют фундаментальную дихотомию предоставления анатомической или гемодинамической информации. Плетизмография может быть подвержена более высокой частоте ложноположительных результатов из-за венозной компрессии, возникающей в результате неправильного позиционирования пациента или действия внешних масс. Это также трудоемкий метод (149).

Совсем недавно плетизмография использовалась для измерения функции эндотелия, а также сосудистого ответа на вазоактивные агенты (150). Техника редко используется в области шейки матки. Zamboni et al. Недавно было показано, что цервикальная плетизмография гораздо менее подвержена ошибкам оператора по сравнению с DS и имеет большой потенциал для использования в качестве недорогого диагностического инструмента для демонстрации экстракраниальных венозных аномалий и вариантов развития (105). Кроме того, Begss и соавт. провел исследование с 40 контрольными и 44 пациентами с CCSVI, которые перенесли шейную плетизмографию, которая включала размещение тензометрического воротника вокруг их шей и опрокидывания их от вертикального (90 °) до положения лежа на спине (0 °) в кресле и продемонстрировала, что гемодинамика Внекраниальной венозной системы сильно изменены у пациентов с CCSVI (106).

Дальнейшие соображения

Помимо этих ранних исследований, была проведена небольшая работа по применению цервикальной плетизмографии для выявления экстракраниальных венозных аномалий и вариантов развития. Необходимы дальнейшие исследования для определения предельных значений, воспроизводимости теста и оценки изменчивости внутри и между наблюдателями. Эта методология также показывает большой потенциал в мониторинге послеоперационных пациентов после восстановительных эндоваскулярных процедур.

Мультимодальный подход

Резкое различие в распространенных результатах между различными исследованиями с использованием неинвазивных и инвазивных методов визуализации (в диапазоне от 0% до 100%) подчеркивает настоятельную необходимость использования мультимодального подхода к визуализации для лучшего понимания рассматриваемых венозных аномалий и вариантов развития в CCSVI (10). В ряде недавних исследований применялись и сравнивались неинвазивные и инвазивные методы визуализации (18, 27, 30, 31, 34, 42, 43, 47), (50, 81, 82, 102, 107, 134). Результаты этих исследований чрезвычайно важны для понимания истинной распространенности CCSVI, и сравнение результатов инвазивной и неинвазивной визуализации особенно важно в этом начинании. Выясняется, что распространенность венозных аномалий и вариантов развития, характерных для CCSVI, еще выше, если исследовать их с помощью сложных методов инвазивной визуализации (47, 107, 108, 134). Основываясь на этих недавних результатах, рекомендуется использовать мультимодальный подход, чтобы определить, существует ли CCSVI как клиническая единица, а не как анатомический вариант, и в какой степени он присутствует в различных здоровых группах и группах заболеваний, а также подтипах РС (рис. 10).). Введение более количественных критериев для описания структурных и гемодинамических нарушений внекраниальной вены в будущих исследованиях по мультимодальному подходу будет значительным улучшением по сравнению с нынешним бинарным диагнозом CCSVI.

figure10
figure10

Пример мультимодальной визуализации экстракраниальных вен шеи в исследовании PREMiSe (проспективная рандомизированная эндоваскулярная терапия при РС). Осевое двухмерное время пролета (A), улучшенная трехмерная визуализация с контрастной кинетикой (B и C), доплеровская сонография (D), катетерная венография (E), внутрисосудистая сонография (F) и аксиальная компьютерная томография (G) все венозные аномалии левой внутренней яремной вены (сужение).

Изображение в полном размере

Выводы

Использование неинвазивных методов, таких как DS, для подтверждения диагноза CCSVI в настоящее время остается спорным. Консенсус по протоколам DS для обеспечения надлежащего контроля качества для определения венозных аномалий и вариантов развития, свидетельствующих о CCSVI, является существенным (32, 33, 113). Хотя ряд авторов предложили использовать МРВ в качестве альтернативного неинвазивного диагностического подхода, в настоящее время нет единого мнения. Таким образом, в настоящее время истинная распространенность CCSVI у пациентов с РС по сравнению с контролем не была адекватно оценена.

Диагностические исследования в больных и контрольных популяциях с использованием методов инвазивной визуализации, таких как CV и IVUS, для выявления венозных аномалий и вариантов развития, указывающих на CCSVI, важны для определения их истинной распространенности.

Из-за сложности и изменчивости экстракраниальной венозной системы практически невозможно принять во внимание все факторы, упомянутые выше, независимо от используемого метода визуализации. Каждый неинвазивный и инвазивный способ визуализации имеет свои собственные преимущества и недостатки (таблицы 1 и 2). Скорее всего, только мультимодальная визуализация в конечном итоге станет надежным средством скрининга, диагностики и мониторинга для оценки экстракраниальной венозной системы.

Необходимы дальнейшие исследования для определения спектра экстракраниальных венозных аномалий и вариантов развития и для сравнения результатов с патологическими исследованиями (55, 56). Несомненно, внимание, уделяемое CCSVI, значительно способствовало огромному всплеску исследований в области экстракраниальной венозной системы.

К сожалению, вследствие некритического использования эндоваскулярных процедур, после ангиопластических процедур по поводу CCSVI было зарегистрировано все больше нежелательных явлений. Способность диагностировать CCSVI неинвазивно будет важным шагом к лучшему пониманию его важности для населения в целом и болезненных состояний.

Сокращения

CCSVI:
Хроническая цереброспинальная венозная недостаточность
CCT:
Время мозгового кровообращения
CE:
Контрастное
Со стороны ЦНС:
Центральная нервная система
CSA:
Площадь поперечного сечения
CTV:
Компьютерная томография венография
РЕЗЮМЕ:
Катетерная венография
DS:
Допплерография
IJV:
Внутренняя яремная вена
ВСУЗИ:
Внутрисосудистое УЗИ
JVR:
Рефлюкс яремной вены
MIP:
Проекция максимальной интенсивности
MRA:
Магнитно-резонансная ангиография
MRV:
Магнитно-резонансная венография
МИЗ:
Рассеянный склероз
ПК:
Фазовый контраст
Предпосылка:
Проспективная рандомизированная эндоваскулярная терапия при рассеянном склерозе
TOF:
Время полета
ВХ:
Венозная гемодинамика
VV:
Позвоночные вены
3D:
Трехмерный
4D:
Четырехмерный.