Советы экспертов: Щель между зубами – что делать?

Советы экспертов: Щель между зубами – что делать?
Советы экспертов: Щель между зубами – что делать?

Эксперт: Др. Кристоф Т. Сливовски (58 лет), заведующий клиникой дентальной имплантации в Дюссельдорфе больницы Св. Винценца

Перед каждым лечением всегда проводится подробная консультация, во время которой мы не только заглядываем в рот, но и учитываем определенные анатомические и медицинские требования для установки протезов. Если есть разрыв, челюстная кость больше не выполняет никакой работы и со временем деградирует. Потому что в норме челюстная кость испытывает нагрузку при раздавливании пищи, которую ей приходится выдерживать.

Если это равномерное давление отсутствует, то не только кость, но и десна в соответствующих местах медленно отступают. По этой причине щели в зубах желательно лечить своевременно, иначе пострадавшие окажутся в замкнутом круге: в какой-то момент соседние зубы также будут лишены необходимой поддержки. Это часто приводит к смещению или дальнейшей потере зубов, что, в свою очередь, приводит к снижению силы давления», - говорит доктор. Сливовский.

изображение
изображение

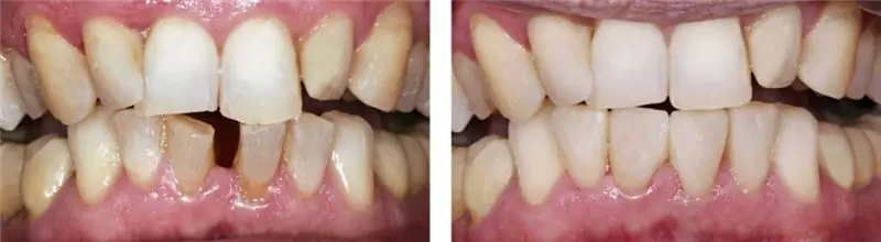
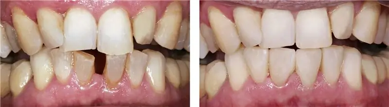
Не должно быть зазора между зубами. Изображение: artepicturas -fotolia

Лучшие заполнители пробелов

«Поскольку имплантаты прочно и надежно сидят в челюсти, они считаются лучшим решением для замены отсутствующих зубов. Но мосты также приносят улучшение. Если у вас аллергия на металл, беспокойный пациент или у вас есть особые пожелания - в настоящее время стоматология предлагает множество вариантов замены зубов. Даже пациенты, у которых челюстная кость уже значительно уменьшилась, не должны обходиться без имплантата. Костнопластический материал, изготовленный из искусственного материала, бычьей или человеческой бедренной кости, восстанавливает челюсть в соответствующих местах и обеспечивает надежную фиксацию зубных протезов. Сейчас также есть простые и доступные решения для полной адентии нижней и верхней челюсти: метод SOS, All-on-4 и SOS-4-Maxilla, три системы для немедленной реставрации на нескольких имплантатах. С помощью специальной техники на них можно прочно зафиксировать собственный протез и в любой момент снова снять его для чистки», - подчеркивает доктор. Сливовский заключает.