Аутосомно-рецессивная мутация в SCL24A4, вызывающая гипоплазию эмали у самоедов и ее связь с генетическим разнообразием всей породы

Аутосомно-рецессивная мутация в SCL24A4, вызывающая гипоплазию эмали у самоедов и ее связь с генетическим разнообразием всей породы
Аутосомно-рецессивная мутация в SCL24A4, вызывающая гипоплазию эмали у самоедов и ее связь с генетическим разнообразием всей породы

Фон

Чистое разведение собак привело к более чем 700 наследственным расстройствам, из которых почти 300 имеют менделевский характер. Семьдесят процентов охарактеризованных мутаций имеют аутосомно-рецессивный тип наследования, что свидетельствует о положительном отборе во время приступов инбридинга, прежде всего, для новых желательных конформационных признаков. Самоеды страдают от нескольких общих сложных генетических нарушений, но до этого времени было идентифицировано только два Х-связанных и одно аутосомно-доминантное расстройство. Предыдущие исследования, основанные на родословных и массивах SNP, показали, что селекционеры самоедов проделали хорошую работу по поддержанию генетического разнообразия и избеганию чрезмерного инбридинга. Это может объяснить, почему аутосомно-рецессивные расстройства не встречались в той степени, которая наблюдается у многих других пород. Однако гиперплазия эмали, аналогичная форме несовершенного аутосомно-рецессивного амелогенеза (ARAI) у людей, была недавно охарактеризована у самоедов, хотя причинная мутация, по-видимому, существовала в течение трех или более десятилетий. Рост такой мутации указывает на то, что приступы инбридинга для желательных конформационных признаков все еще происходят, несмотря на старый и четко определенный стандарт породы. Поэтому настоящее исследование преследует две цели: 1) измерить генетическое разнообразие в породе, используя ДНК и короткие тандемные повторы (STR), и 2) определить точную мутацию, ответственную за гипоплазию эмали в породе, возможные объяснения ее недавнего распространения и эффект устранения мутации на существующее генетическое разнообразие.

Результаты

Недавнее открытие аутосомно-рецессивного несовершенного амелогенеза (ARAI) в самоеде дает возможность изучить мутацию, а также генетические факторы, которые способствовали ее возникновению и последующему распространению. Первым этапом в этом исследовании было использование 33 коротких тандемных повторных (STR) локусов на 25/38 аутосомах и семи STR по районам I и II класса антигенов лейкоцитов (DLA) собаки на CFA12 для определения основанного на ДНК генетического профиля 182 люди из Северной Америки, Европы и Австралии. Самоеды с трех континентов представляли собой единую породу с небольшими генетическими различиями. Породное генетическое разнообразие было низким, скорее всего, из-за небольшой популяции основателей и последующих искусственных генетических узких мест. Два аллеля в каждом аутосомном локусе встречались у 70-95% собак и 54% аллелей были гомозиготными. Число DLA гаплотипов I и II классов также было низким, а три гаплотипа I и II класса встречались у 80-90% людей. Следовательно, большинство самоедов принадлежат к двум линиям, причем большинство собак обладают меньшим количеством существующего генетического разнообразия, а меньшинство собак - большей частью разнообразия. Хотя современным самоедам не хватает генетического разнообразия, основная масса родителей настолько не связана, насколько это возможно, с более мелкими субпопуляциями, более инбредными или беспородными, чем общая популяция. Семейное расстройство, проявляющееся гипокальцификацией эмали, было недавно идентифицировано. Общегеномное исследование ассоциации (GWAS) на семи затронутых и пяти неродственных здоровых собаках указало на область расширенной гомозиготности на аутосоме 8 Canis acquisis (CFA8). Область содержала ген семейства растворенных носителей 24 (SCL24A4), который кодирует белок, участвующий в калий-зависимом обмене и транспорте натрия / кальция. Недавно было обнаружено, что мутации в этом гене вызывают у людей подобный тип гипоплазии эмали. Секвенирование этого гена-кандидата выявило дупликацию в 21 п.н. в экзоне 17. Тест на дупликацию соответствовал фенотипу заболевания. Точная частота пораженных собак неизвестна, но 12% из 168 протестированных здоровых собак были гетерозиготными по мутации. Эта популяция была склонна к близким родственникам, поэтому либеральная оценка заболеваемости собак в породе будет около 3, 6 / 1000. Теоретические расчеты, основанные на сравнении всей популяции с популяцией, лишенной носителей, показали, что устранение этого признака не повлияет на существующее генетическое разнообразие в настоящее время.

Выводы

Современный самоед, как и многие другие породы, сохранил лишь небольшую часть генетического разнообразия, которое существует среди всех собак. Это ограниченное генетическое разнообразие наряду с положительным генетическим отбором по желательным признакам привело к по меньшей мере трем простым не рецессивным генетическим нарушениям и низкой частоте возникновения сложных генетических признаков, таких как аутоиммунное заболевание и дисплазия тазобедренного сустава. В отличие от многих других чистых пород, самоеды избавлены от потока вредных аутосомно-рецессивных признаков, которые преследуют многие другие чистые породы. Тем не менее, ARAI из-за мутации в гене SCL24A4, по-видимому, существует в породе в течение нескольких десятилетий, но все чаще диагностируется. Увеличение заболевших собак, скорее всего, связано с периодом усиленного положительного отбора для некоторого желаемого конформационного признака. Был разработан генетический тест для выявления носителей мутаций, которые позволят селекционерам устранить гипоплазию эмали у самоедов путем селективного размножения, и кажется, что эту мутацию можно устранить сейчас без потери генетического разнообразия.

Простой английский резюме

Самоед развилась в конце 19- го века из-за интереса и заботы о собаках, которые сопровождали экспедиции в Арктику и Антарктику. Их происхождение происходит от коренной лайки Сибири и России. Самоеды в настоящее время имеют среднюю популярность, но во время Первой мировой войны наблюдалось значительное сокращение населения, а в Великобритании в 1980-х и 1990-х годах наблюдалось заметное увеличение численности населения, за которым последовало еще более резкое сокращение численности. Хотя предыдущие родословные и SNP-тестирование показывают, что порода не находится в непосредственной опасности, настоящее исследование показывает, что генетическое разнообразие может быть не таким большим, как предполагалось, и что инбридинг все еще вызывает беспокойство. Недостаток генетического разнообразия в сочетании с приступами инбридинга привел к высокой частоте сложных генетических нарушений и высокой доле вредных мутаций с рецессивным типом наследования у большинства пород собак. Самоеды страдают от нескольких сложных генетических нарушений и двух простых Х-связанных и одного доминантного состояния, но самоеды были удивительно избавлены от аутосомно-рецессивных расстройств, которые изводят другие породы. Тем не менее, стоматологическое заболевание, известное как гипоплазия эмали, недавно было выявлено в породе, и хотя причинная мутация, по-видимому, существовала в течение многих поколений, заболевание диагностируется с возрастающей частотой. Число носителей мутации, по-видимому, низкое, что должно позволить селекционерам исключить признак из общей популяции без дальнейшей потери генетического разнообразия. Тем не менее, селекционеры самоедов должны позаботиться о том, чтобы никакое дальнейшее генетическое разнообразие не было потеряно, и быть готовыми к другим вредным аутосомно-рецессивным признакам, которые могут возникнуть в результате вызванных конформацией приступов сильного направленного человеком позитивного отбора. Информация о племенном происхождении также должна быть подтверждена и дополнена ДНК-тестированием.

Фон

История самоедской породы

Самоеды считаются одной из основных пород, разработанных в конце викторианской эпохи из аборигенной лайки, используемой ненцами (кобелями) на северо-западе России и в Сибири. Как и у многих чистокровных пород, самоед имеет запутанную историю с несколькими версиями (1). Сноска 1, Сноска 2, Сноска 3, Сноска 4, Сноска 5, Сноска 6 Самоеды относятся к так называемой арктической или скандинавской группе, в которую входят аляскинский маламут, чау-чау, немецкая овчарка и несколько других пород шпиц. Народы арктических регионов держали собак на протяжении тысячелетий и выборочно разводили собак, которые были для них наиболее полезны для охоты, охраны лагерей и деревень, вывоза санок и переноски ран, общения и даже совместного проживания в камине и постели. Собаки этого утилитарного типа впервые появились на русских выставках в конце 19 века. Сноска 7 Роберт Пири был первым жителем Запада, который использовал собачки, чтобы тянуть санки во время своих экспедиций в Гренландию в 1891-92. Сноска 8 Санки были впервые доведены до сведения западного мира норвежским исследователем Фритьофом Нансеном, который использовал команды «кобелей» в качестве саней во время своей экспедиции 1894 года на Северный полюс (2) 8 Рис. 1.

фигура 1
фигура 1

Роберт Пири-старший в Гренландии с некоторыми из ездовых собак, используемых в Гренландии. Источник: Willy Ley The Poles, Нью-Йорк, Нью-Йорк: Time Incorporated, 1962. Эти собаки были типа кобелей. Однако также использовались крупные собаки с тяжелым покрытием различной внешности. Предки таких собак (кобели или самоеды) стали более известны своим нежным поведением вокруг людей, бдительными и активными личностями, яркими двойными слоями и примечательными однотонными или узорчатыми белыми, бисквитными или кремовыми цветами, чем за сани.

Изображение в полном размере

Подъему самоедов в Америке и других странах в Великобритании предшествовала деятельность сэра Эрнеста Килберна-Скотта и его жены Клары. 1-5, сноска 9 Первой собакой породы для породы в Англии была коричнево-белая собака по имени Сабарка, которая была куплена Эрнестом в Архангельске, Россия, в 1889 году в качестве подарка для Клары. 9 Однако именно белые собаки, с которыми он сталкивался в своих путешествиях, привлекли его внимание и заставили их купить суку кремового цвета по имени Белая Петчора (1). Потомки этих двух собак были выведены Килберн-Скоттом и другими и помогли популяризации породы. Во время своего пребывания в Австралии с 1907 по 1910 год Килберн-Скотт участвовал в тяжелом положении бывших ездовых собак, возвращающихся из антарктических исследований. Возвращающихся собак иногда возвращали в питомники для разведения собак в Южной Новой Зеландии, но большинство подвергалось строгим, долговременным, дорогостоящим и поэтому смертельным карантинам в Новой Зеландии, а некоторые выставлялись в зоопарках в Новой Зеландии и Австралии. Собаки, спасенные от таких условий и окружающей среды, были обычным источником племенного поголовья для эволюционирующих пород арктического типа в конце 19 и начале 20 веков. Эрнест и Клара привезли несколько таких собак с собой из Австралии в 1910 году, в том числе большую белую собаку по имени Антарктик Бак, которую они приобрели в зоопарке Сиднея (1). Антарктический Бак умер от чумы собак после приезда в Великобританию, но, по крайней мере, пять его потомков выжили и были интегрированы в кобелей в Великобритании.

Kilburn-Scott's показали своих собак на уроках иностранных собак в Великобритании в течение нескольких лет, и порода получила условную регистрацию в 1902 году и официальное признание под оригинальным названием кобелей в 1912 году в британском клубе питомников. Позже название было изменено на самоедов как AKC, так и UKC. Американская связь была стимулирована, когда член известной европейской королевской семьи, Роза де Мерси-Аржанто (Принцесса де Монтглион), была сражена с большим белым чемпионом, русским самоедом по имени Мустан, который был представлен в Санкт-Петербурге в 1902 году выставкой великого князя Михаила. России 7 Мустан был подарен графине в качестве подарка и привез вместе с тремя другими самоедами в США в 1904 году. Мустан был широко показан в Америке, а порода была признана АКС в 1906 году.

Изменения в численности самоедов с течением времени

Порода самоедов сохранила среднюю популярность по сравнению с другими породами в течение столетия, и регистрационные номера были относительно стабильными как в Великобритании, так и в США, за исключением краткого спада во время Первой мировой войны и резкого роста после 1980 года до пика в 1200 владельцев регистрации в Великобритании. в 1995 году и к 2014 году снизится до предпикового уровня 300. Сноска 10 Самоед в настоящее время занимает 64-е место по популярности в США с устойчивой 1500 новых регистраций в год по записям AKC. 4

Известные или предполагаемые наследственные заболевания самоедов

Несколько заболеваний, которые, по-видимому, являются наследственными, но не определены генетически, встречаются в породе с низкой частотой. Сноска 11, Сноска 12, Сноска 13 Многие из этих расстройств развивались у домашней собаки с течением времени и наследовались по происхождению по мере создания пород (3). За исключением дисплазии тазобедренного сустава, которая считается одним из наиболее серьезных расстройств самоеда, наиболее наследственные и потенциально наследуемые признаки заболевания этой породы имели незначительное значение. 11 У Самоеда есть только три простых вредных генетических нарушения с определенными причинами: Х-сцепленная гломерулопатия (4), Х-сцепленная прогрессирующая атрофия сетчатки (5) и неполный доминантный дефект коротких конечностей с глазными аномалиями (6, 7).

За исключением двух простых Х-связанных и доминантных генетических нарушений, самоеды были удивительно свободны от вредных аутосомно-рецессивных признаков, которые являются частыми признаками искусственных генетических узких мест и популярных эффектов сиры и проклятия многих других пород. По состоянию на 2010 г. более трехсот наследственных расстройств, не связанных с каким-либо стандартом породы, были выявлены среди 50 самых чистых пород собак (8), и с тех пор сообщалось о многих других. Восемьдесят из этих расстройств имеют генетические причины, и 71% из них связаны с аутосомно-рецессивными мутациями, причем у немецкой овчарки и золотистого ретривера наибольшее число (8). Вредные признаки, связанные с аутосомно-рецессивными мутациями, часто не распознаются до тех пор, пока заболеваемость собак не достигнет уровня беспокойства (то есть, пригодности для жизни и / или излечимости) и возраста в начале. Двадцать процентов собак будут иметь вредную аутосомно-рецессивную особенность к тому времени, когда заболеваемость фактическим заболеванием достигнет 1%.

Вредные аутосомно-рецессивные мутации встречаются с большой частотой в больших популяциях в природе, но они либо остаются с низкой частотой, либо в конечном итоге исчезают. Однако простые аутосомно-рецессивные мутации могут быстро усиливаться в небольших популяциях (таких как породы собак), если дефектный аллель связан с участками генома при сильном положительном отборе. В случае многих чистых пород собак этот сильный положительный отбор человека направлен на конформационные признаки, которые превозносятся шоу-рингом (9, 10). Быстрое распространение таких вредных признаков у чистой породы собак часто объясняется их рецессивным характером, поздним возрастом появления, небольшим размером популяции и отсутствием генетического разнообразия из-за небольших популяций основателей и других искусственных генетических узких мест. Хотя самоеды избежали проблем с вредными аутосомно-рецессивными заболеваниями, с которыми сталкиваются многие другие породы, недавно в породе появился тип ARAI, и его заболеваемость, по-видимому, увеличивается. Признание вредного аутосомно-рецессивного заболевания в породе ставит под сомнение статус генетического разнообразия, которое все еще существует, и то, как это разнообразие распространяется.

Как генетическое разнообразие связано с вредными генетическими нарушениями

Количество генетического разнообразия в современных породах собак отражает несколько факторов. Одним из факторов является количество животных-основателей, которые вошли в создание прототипа самоедов до того, как порода была признана и ее реестр был закрыт для посторонних собак. Если популяция основателей большая и генетически разнообразная, прототипные собаки, выбранные в качестве основателей породы, будут отражать это разнообразие. Как только реестр закрыт для посторонних собак, количество генетического разнообразия новой чистой породы теоретически не может увеличиться, за исключением редких естественных мутаций. Следовательно, цель правильного чистого разведения состоит в том, чтобы отбирать только самых здоровых собак и сохранять первоначальное генетическое разнообразие и здоровье на протяжении всего существования породы. Это требует случайного или тщательного отбора производителей и плотин. Второй фактор связан с потерей генетического разнообразия после закрытия реестра. Было подсчитано, что средняя чистая порода собак сохраняет только 87% своего первоначального разнообразия (11), что, вероятно, является щедрой оценкой. Определенное количество генетического разнообразия теряется в результате направленного человеком отбора конкретных желательных признаков, что часто происходит на ранних этапах так называемой «утонченности породы». Уточнение породы - это процесс закрепления целей стандарта породы и обеспечения того, чтобы желаемые черты размножались правдоподобно независимо от выбранных производителей и плотин. Дальнейшая потеря генетического разнообразия происходит от нескольких сил, таких как географическая изоляция, катастрофические события, такие как мировые войны или голод, и, что наиболее важно, медленные или быстрые преднамеренные изменения во внешнем виде породы (12, 13, 14, 15, 16).

Положительный отбор по признакам конформации оказывает гораздо большее влияние на генетическое разнообразие, чем селекция по признакам результативности (9). Черты продуктивности имеют более низкую наследуемость, чем черты конформации, и гораздо менее подвержены изменениям в интерпретации стандарта породы. Производительность требует, чтобы базовая форма и структура ранней собаки поддерживались в максимально возможной степени, в то время как конформационные изменения более эстетичны, чем функциональны. Тем не менее, если бы стандарты и фенотип породы никогда не менялись, у инбридинга не было бы причин усиливать и укреплять новые признаки. Производители чистокровных собак в Великобритании столкнулись с критикой по поводу отклонений от стандартов породы Британского Кеннел Клуба, которые оказали пагубное влияние на здоровье. Это беспокойство послужило стимулом для исследования нарушений, связанных с конформацией, среди 50 лучших зарегистрированных в Британском Кеннел Клубе пород с использованием нового индекса для оценки того, как конформационные изменения связаны со здоровьем (10). Было обнаружено, что каждая из 50 пород имеет по крайней мере один аспект своего внешнего вида, который влияет на здоровье, и 84 расстройства были прямо или косвенно связаны с конформацией. У миниатюрного пуделя, бульдога, мопса и бассета была самая высокая частота заболеваний, связанных с конформацией. Более подробное исследование влияния серьезных фенотипических изменений на генетическое разнообразие и здоровье было зарегистрировано для бульдога (13).

Нет сомнений в том, что интерпретация идеальной конформации выставочного судьи влияет на то, как заводчики выбирают родителей для последующих поколений щенков (9). Однако есть и другие факторы, которые могут повлиять на уровень инбридинга и потенциальную потерю генетического разнообразия. Если популяция доступных сук и племенных собак небольшая, и / или если заводчики также должны выбирать из множества проблем со здоровьем, возможность найти наиболее здоровых и наименее не родственных родителей в непосредственной близости может быть затруднена (16). Одно из самых сильных влияний на инбридинг и генетическое разнообразие известно как «популярный эффект сир». Победившая в шоу племенная собака обладает способностью через своих собственных детей и внуков сыновей и внуков производить гораздо больше потомков, чем сука, выигравшая шоу (16). Эти различные ситуации часто требуют инбридинга как самого быстрого средства для достижения генетической цели. Однако инбридинг и потеря генетического разнообразия не являются синонимами. Инбридинг может привести к высокой степени родства между особями в популяции и может привести к потере генетической изменчивости, если сосредоточиться на определенных линиях, но если сделать это с осторожностью, большинство генетических вариаций, присутствующих в породе в ее происхождении, могут быть сохранены (11). Уровень инбридинга можно определить по точным родословным, но генетическое разнообразие лучше всего определить по фактическому анализу ДНК. Примером является стандартный пудель, который, по общему признанию, был инбреден по известной родословной середины столетия как основанный на родословных, но все еще сохраняет большое генетическое разнообразие при тестировании ДНК (14). Это связано с тем, что большая часть генетического разнообразия, основанного на анализе ДНК, содержалась у меньшинства менее желательных беспородных собак, в то время как меньшая часть генетического разнообразия содержалась у большинства более желательных инбредных собак (14).

Семейная гипоплазия эмали, недавно признанная в самоеде

Самоеды до этого времени не распознавали каких-либо вредных признаков, вызванных аутосомно-рецессивными мутациями, что обнадеживает, так как большинство пород страдают от нескольких рецессивных расстройств (8, 10). Тем не менее, самоедов в последнее время все чаще замечают ветеринары и специалисты по ветеринарной стоматологии в отношении аномальных и плохо обесцвеченных зубов, неправильной поверхности зубов, накопления тяжелых деготь, заболеваний десен, кариеса и потери зубов. Первоначально это было отклонено, как и аналогичные расстройства у некоторых других пород, поскольку они были вызваны каким-то оскорблением окружающей среды, происходящим во время вынашивания щенка, когда формировался зубной ряд у взрослых. Один из авторов (BS) обратил внимание на расстройство других авторов (NCP и HL) из-за их работы с семейной гипоплазией эмали у итальянской борзой (17). Это взаимодействие привело к настоящему исследованию, которое идентифицировало генетическую причину этого расстройства и разработало тест для выявления носителей признака. Обнаружение ранее нехарактерного аутосомно-рецессивного заболевания в породе подчеркивает склонность чистого разведения к усилению аутосомно-рецессивных мутаций. Основанное на ДНК знание генетического разнообразия в их породе может объяснить, как происходят такие мутации, и как они усиливаются в популяции. ДНК-тестирование может также использоваться для принятия решения о том, следует ли сохранить мутацию, но выбрать против гомозигот или устранить признак путем выявления и удаления пораженных собак и носителей из племенного фонда. Если рецессивная мутация чрезвычайно распространена и генетическое разнообразие низкое, устранение этого признака может привести к потере ценных генетических вариаций.

методы

Сбор образцов

182 самоеда в исследовании были из Северной Америки (Северная Америка = 144), Европы (n = 32) и Австралии (n = 6). Клинически пострадали 14 собак, в том числе 11 из США и три из Европы. Образцы были запрошены через веб-сообщения, и владельцы / заводчики, желающие представить ДНК для тестирования, попросили связаться с ней и запросить набор для анализа ДНК, который содержал 2-3 цитологических щетки для каждой собаки. В некоторых случаях для проведения дополнительных исследований требовалась дополнительная ДНК, поэтому ветеринар собирал образцы крови, которые следили за этими случаями. Владельцам было рекомендовано перечислить регистрационный номер каждой собаки, зарегистрированное имя, фамилию отца и матери, возраст, пол (нетронутый, стерилизованный, кастрированный), цвет шерсти, независимо от того, затронуты или нет, наличие других состояний здоровья и родственные связи, если они известны. для пострадавших собак. Цифровые фотографии зубов и родословных также запрашивались по мере возможности.

Выделение ДНК

ДНК выделяли из одной цитологической щетки путем нагревания при 95 ° С в 400 мкл 50 мМ NaOH в течение 10 мин и рН нейтрализовали 140 мкл 1 М трис-HCl (рН 8, 0) (18). Образцы крови (200 мкл) экстрагировали с использованием мини-и миди-наборов QIAGEN QIAamp®DNA для крови (QIAGEN Inc., Valencia CA, USA).

Тестирование генетического разнообразия

Тридцать три STR-локуса по всему геному собаки были мультиплексированы в две панели, одна из которых состояла из 20/21 ди-STR, рекомендованных Международным обществом по генетике животных (ISAG) 13 для проверки происхождения собак, а вторая состояла из двух ди-STR и 10/15 тетра-STR, утвержденных для судебно-медицинской экспертизы (19). Праймеры гена амелогенина для определения пола также были включены (20). Праймеры, метки красителя, повторный мотив, диапазон размеров аллелей и известные аллели для этого набора маркеров можно найти в Pedersen et al. (21). Генотипирование проводилось Лабораторией ветеринарной генетики (VGL), UC Davis, а данные анализировались с использованием программного обеспечения STRand (22). Примеры профилирования генетического разнообразия различных пород с использованием этих маркеров можно найти на веб-сайте VGL. Сноска 14

Определение DLA класса I и II гаплотипов

Четыре динуклеотидных STR из областей, фланкирующих DLA класса I (DLA88), и три STR, связанных с DLA класса II (DLA-DRB1, -DQA1, -DQB1), были идентифицированы на Dogset. Сноска 15 Обозначения локусов, последовательности праймеров, количество аллелей и диапазоны размеров аллелей были ранее опубликованы (14).

Статистический анализ

Оценки генетического разнообразия были рассчитаны на основе данных о частоте аллелей и аллелей из 33 геномных локусов STR с использованием GenAIEX 6.5 (23). Анализ основных координат был также выполнен с использованием GenAIEX 6.5.

Внутренняя родственность (IR) отражает отношения родителей человека, как описано Amos et al. (24) и основанные на более ранних расчетах Квеллера и Гуднайта (25). IR является мерой гетерозиготности, которая оценивает распределение аллелей по частоте аллелей и тесно коррелирует со стандартизированной гетерозиготностью и с гетерозиготностью, взвешенной по локусу (26). На основании внутреннего тестирования было установлено, что значение IR ≥0, 25 приравнивается к потомству родителей, состоящих в полном брате. Значения IR были построены двумя способами: 1) сравнение отдельных самоедов с другими самоедами в популяции, и 2) сравнение значений IR всех самоедов со значениями IR большой популяции случайно размножающихся и генетически разнообразных деревенских (местных) собак из Ближний Восток, ЮВ Азии и Тихоокеанского региона (27). Частота аллелей в каждом локусе STR сравнивается с частотой тех же аллелей в тех же локусах в популяции деревенских собак. Корректировка называется IR-деревенская собака или IRVD и приблизительно соответствует количеству разнообразия, которое было потеряно из-за генетических узких мест, возникших с тех пор, как были выбраны первые основатели самоеда, и реестр был закрыт для внешних вторжений.

Исследование геномной ассоциации (GWAS)

Из 182 выборок самоедов 7 собак с гипоплазией эмали и 5 здоровых собак были отобраны для исследования ассоциации всего генома (GWAS) на основе клинических критериев, описанных здесь. Генотипирование SNP было выполнено в GeneSeek (Линкольн, NE) с использованием CanineHD генотипирования BeadChip Illumina (Сан-Диего, Калифорния), содержащего 230 K маркеров, помещенных в эталонную последовательность CanFam3, и результаты были проанализированы с использованием PLINK (Purcell et al. 2007). Данные из GWAS были проанализированы с учетом поправки Бонферрони для учета множественных сравнений. Самый сильный сигнал из нескорректированного анализа ассоциации был назван P raw. Пороговые значения для конечной значимости для всего генома были определены с помощью теста перестановки MaxT с использованием 100 000 перестановок с использованием PLINK.

Секвенирование SLC24A4

Генетический анализ SLC24A4 проводили на геномной ДНК от 4 собак самоеда (2 пораженные и 2 контрольные). Полная последовательность SLC24A4 общедоступна и может быть найдена на хромосоме 8 в положениях 1, 507, 274-1, 679, 208. Сноска 16 В этом исследовании была проанализирована полная последовательность ДНК. Праймеры были разработаны в интронных областях, фланкирующих экзоны, и оценены с помощью Netprimer. Праймеры сноски 17 были протестированы на эффективную амплификацию продукта на 2720 Thermal Cycler (Applied Biosystem). Последовательности и размер ампликона каждой пары праймеров показаны в таблице 1. ПЦР для всех экзонов проводили следующим образом: начальную денатурацию при 94 ° С в течение 3 минут с последующими 30 циклами следующим образом: 94 ° С × 30 с, 61 ° С. × 30 с, 68 ° С × 3 мин. Продукты ПЦР очищали с помощью ExoSap (USB, Cleveland, OH) в соответствии с рекомендациями производителя и проводили прямое секвенирование с использованием набора для определения терминаторов BigDye v3.1 (Applied Biosystem / Life Technologies, Carlsbad, CA). Продукты секвенирования очищали с использованием набора для 96-луночных планшетов Performa DTR Ultra (EdgeBio, США) в соответствии с рекомендациями производителя и электрофоретически разделяли на анализаторе ДНК ABI 3730 (Applied Biosystems / Life Technologies, Carlsbad, CA). Последовательности были проверены и выровнены с использованием программного обеспечения Sequencer версии 4.9.1 (Gene Codes Corp., Ann Arbor, MI).

Таблица 1 Праймеры, предназначенные для амплификации и секвенирования гена SLC24A4

Таблица в натуральную величину

Чтобы подтвердить идентифицированную мутацию как причинную, все 182 самоеда, включая те, которые использовались для GWAS, были генотипированы для дупликации в 21 п.н. в экзоне 17. Реакция ПЦР с праймерами SLC24A4-F (помеченными FAM) SLC24A4-R (таблица 1) была проводят с использованием 2 мМ Mg 2+ при 95 ° С в течение 5 минут и 85 ° С в течение 5 минут с последующими 5 циклами: 94 ° С × 1 мин, 60 ° С × 30 с, 72 ° С × 30 с и другие. 28 циклов: 94 ° C × 45 с, 60 ° C × 30 с, 72 ° C × 30 с, затем 72 ° C в течение 30 минут с использованием ДНК-полимеразы Taq (Denville Scientific) и электрофоретическое разделение на анализаторе ДНК ABI (Applied Biosystems). Предсказанный размер аллеля дикого типа составлял 92 п.н. и 113 п.н. для инсерционного мутанта, что было проверено с использованием программного обеспечения STRand (22).

Результаты

Оценка генетического разнообразия на основе 33 геномных STR-маркеров

Стандартная генетическая оценка

Целью данного исследования было использование 33 STR локусов на 25 собачьих аутосомах для изучения генетического фона популяции 182 самоедов из разных частей мира в рамках исследования гипоплазии семейной эмали. Предполагалось, что эта популяция идентифицирует более 95% существующего генетического разнообразия и гетерогенности в самоеде на основе опыта с другими породами. 14 В таблице 2 перечислены аллели и частота аллелей, выявленные в каждом из 33 геномных локусов STR. Эти данные затем использовались для стандартной генетической оценки (индексы фиксации) общей популяции 182 собак (таблица 3). Среднее количество аллелей (Na), обнаруженных в каждом локусе, составило 6, 09 (SE 0, 357), в то время как среднее количество эффективных аллелей (Ne) в каждом локусе было 3, 24. Na был похож на ряд чистокровных, которые были изучены, но он был самым низким из всех других пород, изученных нашей группой на сегодняшний день. 14 Эти значения указывают на то, что генетическое разнообразие находилось под сильным влиянием небольшого числа основателей.

Таблица 2 Аллельные обозначения и частота в каждом из 33 аутосомных локусов STR для 182 самоедов

Таблица в натуральную величину

Таблица 3 Генетическая оценка самоеда на основе 33 геномных STR-маркеров

Таблица в натуральную величину

Наблюдаемая гетерозиготность (Ho) для 182 собак составляла 0, 615, что было несколько ниже, чем ожидаемая гетерозиготность (He) в 0, 641, которая была бы ожидаемой для популяции, находящейся в равновесии Харди-Вайнберга (т.е. общего случайного отбора родителей). Разница в Ho и He привела к индексу фиксации (F) (мера инбридинга) +0, 041. Это указывало на то, что небольшая субпопуляция из 182 собак была более инбредной (менее гетерогенной), чем общая популяция.

Анализ главных координат (PCoA)

Анализ основных координат был использован для аппроксимации взаимосвязи отдельных лиц в популяции с использованием данных о частоте аллелей, полученных из 33 аутосомных СПО (таблица 2). Фактические результаты находятся в нескольких измерениях, образующих сферу, но достаточно отобразить результаты в двух измерениях, которые наиболее точно отражают фактическую связь людей друг с другом. Рисунок 2 - PCoA 182 Самоедов, которые были изучены и разделены по географическому происхождению. Собаки из Северной Америки (NA) были распределены по всему участку, в то время как собаки из Европы (EU) имели тенденцию выделяться выше центра оси X и собаки из Австралии справа от центра оси Y как генетические выбросы. Несмотря на некоторую географическую дифференциацию, самоеды по всему миру выглядят относительно однородными в отличие от таких пород, как итальянская борзая (16), но, как и стандартные пудели (14).

фигура 2
фигура 2

График PCoA для 182 самоедов из Северной Америки (116 США + 28 Канада), Европы (n = 32) и Австралии (n = 6) на основе аллелей и частот аллелей в 33 геномных локусах STR

Изображение в полном размере

Внутреннее родство среди 182 самоедов

Внутреннее родство (IR) также рассчитывали по частотам аллелей и аллелей 182 самоедов, полученным из анализа 33 аутосомных STR. Внутреннее родство - это косвенное измерение того, насколько родители собаки связаны друг с другом. Отдельные значения IR можно затем представить в виде графика, чтобы показать средние значения IR для населения (рис. 3). Значение IR -1, 00 будет означать, что родители были полностью не связаны в каждом из 33 геномных локусов STRI, в то время как значение +1, 00 будет указывать на генетически идентичных родителей. Среднее значение 0, 25 было бы равносильно тому, чтобы быть потомком брака к сестре спаривания.

Рисунок 3
Рисунок 3

Внутренняя родственность (IR) для 182 самоедов из разных регионов мира (сплошная линия). Оценки IR также были скорректированы (пунктирная линия), чтобы отразить количество генетического разнообразия, присутствующего у деревенских собак мира, которое все еще сохраняется у современных самоедов. Эти два графика были бы наложены, если самоеды и деревенские собаки были полностью родственными и совершенно раздельными, если бы не было генетических отношений. Заштрихованная светлая область отражает степень генетической связанности самоедов с сельскими собаками, основанную на совместном использовании аллелей в 33 аутосомных локусах STR (43%), в то время как заштрихованная темная область является мерой несвязанности (57%) или потенциальной генетической разнообразие теряется в процессе эволюции породы

Изображение в полном размере

У самой беспородной (наименее родственные родители) особи из 182 собак показатель IR составлял -0, 252, а у самой инбредной (наиболее родственных родителей) собаки показатель IR составлял +0, 502 (таблица 4). Средний Самоедская собака среди 182 протестированных собак имела оценку IR 0, 056. График значений IR достаточно симметричен: половина собак получила оценку ниже +0, 056, а половина - +0, 056. Это указывает на то, что популяция содержала больше инбредных, чем беспородных собак, что отражает положительный коэффициент инбридинга (F), полученный из стандартных генетических индексов (Таблица 3). Тем не менее, ИК оценки предоставили более точную оценку степени, в которой отдельные собаки были инбредными или инбредными, чем стандартные показатели фиксации. У четверти самоедов баллы по шкале IR от 0, 132 до 0, 502, что указывает на значительную степень родственной связи, учитывая, что значение +0, 250 будет эквивалентно потомству спаривания полных братьев и сестер, которое произошло случайно из большой случайной размножающейся популяции. Напротив, в одной четверти баллы по шкале IR составляли от -0, 042 до -0, 252, и родители имели бы меньше родственных связей, чем большинство собак в популяции.

Таблица 4 Сравнение IR и IRVD для самоедов (n = 182)

Таблица в натуральную величину

Внутренние оценки родства можно использовать для приблизительного определения того, сколько генетического разнообразия было утрачено в ходе эволюции породы, путем сравнения частоты их аллелей с частотой появления таких же аллелей у современных деревенских (местных, местных) собак. Предполагается, что современные свободно перемещающиеся собаки и случайно размножающиеся деревни из Ливана, Ирана, Тайваня, Таиланда, Филиппин, Брунея, Островов Кука и Бали (27) будут обладать всем генетическим разнообразием, существующим в основателях самоедов. Результирующие значения ИК деревенской собаки (IRVD) могут быть представлены в графической (Рис. 3) или статистической форме (Таблица 4). Менее родственный (наиболее генетически разнообразный) особь среди самоедов имел показатель IRVD -0, 120, а наиболее родственная (наименее генетически разнообразная) собака получила +0, 677 (Таблица 4). Среднее значение IRVD на пике графика составляет +0, 268, поэтому более половины самоедов имели родителей, которые были генетически сопоставимы с полноценными братьями и сестрами из популяции случайных племенных деревенских собак (IRVD = +0, 250). Такие высокие значения, как +0, 677, имели бы место только в том случае, если бы братья и сестры сами были потомками близкородственных собак. Основываясь на графическом изображении (рис. 3), современные самоеды обладают примерно 43% разнообразия, присутствующего у современных деревенских собак.

Гаплотипы DLA I и II класса среди 182 самоедов, определенные по сцепленным локусам STR

Тринадцать связанных с STR гаплотипов DLA класса I были идентифицированы среди 182 самоедов (Таблица 5). Девять из этих гаплотипов были обнаружены в других чистых породах собак, в то время как четыре гаплотипа не были идентифицированы ни в одной другой породе до настоящего времени (Таблица 5). Два из этих гаплотипов DLA класса I, 1011 (общий) и 1152 (уникальный), были обнаружены у 77% собак. Если включить гаплотип 1009, 89% самоедов делят те же три гаплотипа. Основной 1011 гаплотип, идентифицированный на сегодняшний день нашей лабораторией, также обнаружен у стандартного и миниатюрного пуделя, золотистого ретривера и аляскинского кли-кая. 14

Таблица 5 Гаплотипы DLA класса I и II, обнаруженные в самоеде с уникальными гаплотипами, выделенными жирным шрифтом

Таблица в натуральную величину

Двенадцать гаплотипов класса II были идентифицированы у самоедов, а три из них еще не идентифицированы ни у одной другой породы (таблица 5). Доминирующий гаплотип DLA класса II 2053 был обнаружен у 56% самоедов и у миниатюрных пуделей, гаванцев, биверов, золотистых ретриверов и ретриверов с плоским покрытием. 14 Семьдесят два процента самоедов имеют 2053 (общие) или 2095 (уникальные) DLA класса II гаплотипы.

Количество гаплотипов I и II классов примерно среднее для чистых пород, которые были изучены нашей группой на сегодняшний день. 14 Общее количество различных гаплотипов DLA класса I и II различалось среди североамериканских, европейских и австралийских самоедов как отражение численности популяции. Однако наиболее распространенные гаплотипы были общими во всех трех популяциях, в то время как незначительные гаплотипы отсутствовали в меньших популяциях (данные не показаны).

Хотя выяснилось, что самоедов специально отбирают для определенных классов DLA I и гаплотипов, сравнительная частота гаплотипов не отражает, насколько случайно эти специфические гаплотипы сегрегировали в популяции. Поэтому была проведена стандартная генетическая оценка частот аллелей и аллелей семи локусов, связанных с областями I и II класса DLA (таблица 6). Na для семи локусов был 6, 14, а Ne - 2, 09. Низкое Ne отражает высокую распространенность небольшого числа гаплотипов; однако Ho составил 0, 462 и He 0, 485 с коэффициентом инбридинга F +0, 045. Несмотря на заметный дисбаланс в частоте возникновения гаплотипов DLA класса I и II, значение F для семи локусов STR DLA класса I и II было идентично значению F для 33 геномных маркеров STR. Эти результаты еще раз подтверждают вывод о том, что большинство из 182 самоедов были продуктами особей, которые были как можно более не связаны, учитывая ограниченное генетическое разнообразие, сбалансированное небольшим числом более инбредных и более беспородных особей.

Таблица 6 F-статистика для самоедов (n = 180-182) с использованием 7 STR в регионах I и II класса DLA

Таблица в натуральную величину

Исследования ARAI в самоеде

Клиническая характеристика расстройства

Для этого исследования были определены 14 пораженных собак, 11 из США и 3 из Европы. Болезнь была охарактеризована одним из авторов (БС) и с фотографиями, предоставленными некоторыми заводчиками и владельцами.

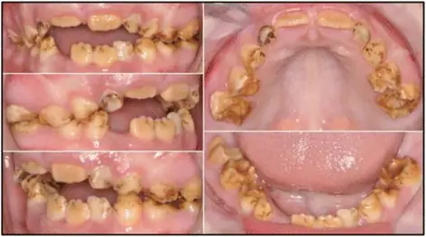
Лиственные зубы при гипоплазии эмали самоеда являются нормальными, но аномалии появляются у взрослых зубов сразу после прорезывания. Ранним признаком расстройства является неприятный запах изо рта. На рисунке 4 показан типичный вид зубов самоеда с наследственной гипоплазией эмали у собаки, которая регулярно получала стоматологическую помощь. Зубы обесцвечиваются, а поверхности в тех местах, где эмаль либо отсутствует, либо тонкие. Зубы часто притупляются, а промежутки между зубами увеличиваются из-за истончения слоя эмали. Тартер и зубной камень имеют тенденцию быстро накапливаться на нерегулярных поверхностях зубов при отсутствии обычной стоматологической помощи (рис. 5). Гингивит и припухлость десен является распространенной сопутствующей проблемой (рис. 5) и часто прогрессирует до более прогрессирующего заболевания пародонта. Может возникнуть кариес, который может распространяться на пульпу зуба. Потеря зубов может произойти из-за серьезных ссадин, переломов и сопутствующих инфекций корня зуба.

figure4
figure4

Самоеды с типичными поражениями наследственной эмали, гипоплазией. Зубы заметно обесцвечены; меньше, притуплено и дальше друг от друга; поверхности зубов нерегулярны. Эта собака регулярно получает стоматологическую помощь и, следовательно, зубной дегустатор практически отсутствует, а десны остаются здоровыми

Изображение в полном размере

figure5
figure5

Самоеды с гипоплазией эмали и обесцвечиванием зубов, чрезмерным скоплением дегтя и опухшими деснами вследствие заболевания десен

Изображение в полном размере

Исследование геномной ассоциации и идентификация причинной мутации в SCL24A4

GWAS была проведена на семи самоедах с аномальными зубами, совместимыми с гипоплазией эмали, и на пяти собаках со здоровыми зубами. GWAS показал пик, составленный из последовательности SNP в 12-мегабайтной области хромосомы 8 со значением Praw 4, 15 × 10 -5, однако скорректированная ассоциация была ниже значимости (Pgenome = 0, 256) (рис. 6 вверху). График частоты аллелей для области 12 Мб CFA8 показал расширенную область гомозиготности (селективная развертка) в гене (SCL24A4), который, как известно, вызывает гипоплазию эмали у людей (рис. 6 ниже). Праймеры были разработаны для амплификации и секвенирования кодирующих последовательностей собачьего SLC24A4 (таблица 1).

figure6
figure6

(Верхний) Манхэттенский график GWAS с использованием семи Самоедов с гипоплазией эмали и пяти неродственных здоровых контролей, показывающих общегеномную связь по CFA 8. (Нижняя) частота аллелей в 12-мегабайтной области CFA 8 для гипоплазии эмали (сплошной ромб) и контроля (незакрашенный кружок) и местоположение известного кандидата SLC24A4 для формы несовершенного аутосомно-рецессивного амелогенеза у людей

Изображение в полном размере

Затем продукты ПЦР секвенировали и идентифицировали два синонимических нуклеотидных изменения (указаны в скобках), асинонимное изменение (С на Т) в экзоне 12, заменяющем аминокислоту в экзоне 12 с пролина на лейцин, и вставку в 21 п.н. в экзоне 17 (Рис. 7). Хроматограммы собаки, пораженной гипоплазией эмали (SM01), ее здорового родного брата (SM03) и плотины (SM02) для вставки 21 нуклеотида в экзон 17 представлены на рис. 8.

figure7
figure7

Кодирующая последовательность SCL24A4 от собаки, страдающей гипоплазией эмали. Имеются два синонимических нуклеотидных изменения (обозначены в скобках), асинонимное изменение (С на Т) в экзоне 12, меняющее аминокислоту с пролина на лейцин, и вставка в 21 п.н. в экзоне 17

Изображение в полном размере

figure8
figure8

SLC24A4 хроматограммы пораженного ARAI (SM01) и его здорового родного брата (SM03) и его плотины (SM02). В 17 экзоне SM01 есть дублирование в 21 п.н., которое не соответствует его здоровому брату. SM01 также имеет С-Т SNP, вызывающий аминокислотное изменение в экзоне 12, которое не происходит у его родного брата. Дамба гетерозиготна по обоим участкам

Изображение в полном размере

Частота возникновения мутации SCL24A4 у самоедов

Был разработан тест для выявления дупликации в 21 п.н. в 17 экзоне SCL24A4 с помощью электрофореза в капиллярном геле, который позволил бы включить его в те же панели, которые использовались для определения аллелей в 33 аутосомных и семи DLA-классах I и II, связанных с STR локусами и амелогенином., Тест мог точно определить собак, у которых не было мутации, и собак, которые были гетерозиготными или гомозиготными по мутации. 14/182 (7, 8%) собак, у которых предположительно была гипоплазия эмали на основании физического осмотра и анализа ДНК, были гомозиготными по мутации. Двадцать из 168 (12%) вересковых собак оказались гетерологичными по мутации, и большинство из них были родителями или известными близкими родственниками пораженных собак.

Генетические отношения пораженных собак от PCoA

Пораженные гипоплазией эмали и собаки-носители сравнивали со здоровыми самоедами с помощью PCoA (фиг. 9). Анализ показал, что пораженные собаки и собаки-носители были распределены случайным образом по всей популяции. Это было еще одним свидетельством того, что дефект был в популяции в течение некоторого времени - самой старой больной собаке было 11 лет.

figure9
figure9

График PCoA 148 нормальных, 11 пораженных ARAI и 20 носителей ARAI на основе данных из 33 геномных STR

Изображение в полном размере

Влияние устранения пораженных собак и собак-носителей на генетическое разнообразие в общей популяции

У селекционеров есть три варианта, когда они сталкиваются с вредной аутосомно-рецессивной мутацией: 1) ничего не делать, 2) устранить мутацию из всей размножающейся популяции посредством тестирования, и 3) избегать выращивания гомозиготных щенков путем тестирования и разведения пораженных и несущих собак только для нормальных собак, Первый вариант применим только к большой и генетически разнообразной популяции с очень низким уровнем заболеваемости носителей, которая подвергается строгому случайному размножению, таким образом сохраняя количество пораженных собак низким. Второй вариант предпочтителен, когда доступен тест на мутацию, частота носителей не высока, и существует достаточное генетическое разнообразие, чтобы избежать потери разнообразия в процессе. Третий вариант предпочтителен, когда генетическое разнообразие низкое, численность популяции мала, частота мутаций высока и потеря разнообразия будет большой. Лучший подход может быть легко определен путем измерения изменений в основных генетических параметрах, когда пострадавшие и носители удалены из расчета. В таблице 7 показано влияние на генетическое разнообразие среди 168 здоровых самоедов до и после удаления 20 носителей, при условии, что заболеваемость носителей составляет 12%. Не было значительного изменения среднего числа аллелей на локус (Na), эффективных аллелей (Ne) на локус, наблюдаемой и ожидаемой гетерозиготности (Ho и He) или коэффициента инбридинга F. Следовательно, если фактическая частота носителей была 12% или менее в популяции, мутация может быть безопасно устранена, не затрагивая существующее генетическое разнообразие. Таблица 8 показывает тот же тип расчета, но для частот класса I и II DLA. Частоты гаплотипа также не изменились после удаления собак-носителей.

Таблица 7 Генетическая оценка удаления собак-носителей из здоровой популяции самоедов, если не более 12% собак являются носителями. Среднее ± стандартная ошибка

Таблица в натуральную величину

Таблица 8 Изменение относительной частоты гаплотипов DLA класса I и II до и после удаления 12% собак, являющихся носителями мутации гипоплазии эмали

Таблица в натуральную величину

обсуждение

Генетическое разнообразие в современном самоеде

Цель этого исследования состояла в том, чтобы охарактеризовать аутосомно-рецессивную мутацию, появившуюся в самоеде, и определить, как генетическое разнообразие и инбридинг могли способствовать его происхождению, распространению и потенциальному влиянию на существующее разнообразие. Поэтому генетическое разнообразие у современных самоедов было впервые оценено. Генетическое разнообразие можно измерить по родословным, но если спаривание неслучайное, их точность и количество должны быть высокими (28). Родословные, используемые для генетического разнообразия, должны также включать всех основателей, которые внесли вклад в породу (29). Поэтому все чаще и чаще включают глубокий родословный анализ и анализ ДНК в исследования, связанные с генетическим разнообразием. Обширные родословные и большие массивы SNP были использованы для определения генетического разнообразия и субструктуры генома у пород собак, таких как Бульмастиф (30). Одна проблема с большими массивами SNP состоит в том, чтобы найти способы представления сложных наборов данных простым способом (31). Данные из STR (микросателлиты, повторы с одной последовательностью) легко понять и использовали в сочетании с родословными в генетических анализах таких пород, как Standard Poodles (14) и Italian Greyhound (16). STR также считаются все еще информативными в генетике растений (32), а исследования по определенным мясным породам крупного рогатого скота показали, что STR эквивалентны родословным (33). STR использовались вместо родословных в генетических исследованиях бульдога (13) и нескольких других пород. 14 STR также экономичны и могут работать с ограниченным количеством ДНК и даже с ДНК низкого качества. В отличие от STR, SNP не могут опрашивать высокополиморфные области, такие как DLA. Таким образом, генетическое разнообразие в настоящем исследовании было определено с помощью небольших панелей из 33 STR локусов на 25/38 аутосом и 7 STR, определяющих области DLA класса I и II на CFA12.

Неясно, сколько собак составляло основную популяцию для самоедов, хотя анализ родословных собак, зарегистрированных в США с 1990 по 1999 год в Bell (2002) Footnote 18, показал увеличение числа таких же особей в более ранних поколениях. Это предполагало небольшое основание населения. Тем не менее, анализ большого количества родословных в рамках этого же исследования показал, что средний коэффициент инбридинга современных самоедов составил 9, 94% +/- 7, 64, и был сделан вывод, что «самоеды обладают приемлемым общим разнообразием по породе». 18 Сорса, сноска 19 с использованием массивов SNP (экспериментальный анализ MyDogDNA), обнаружил, что генетическое разнообразие самоедов (также известное как Bjelkier в Европе) было выше медианы 3000 собак всех пород в их базе данных, и пришел к выводу, что «хотя популяция размер менее 50 собак (использованных в исследовании) очень мал, это дает начальное указание на то, что активные заводчики и владельцы самоедов преуспели бы в своих систематических усилиях по сохранению разнообразия ».

Наиболее обширное популяционное и генетическое исследование самоеда было зарегистрировано британским клубом питомников за период с 1980 по 2014 год. 10 В 1980 году в Великобритании было зарегистрировано около 200 самоедов, но этот показатель быстро увеличился до пика более 1200 собак. 1995. Похоже, что порода утратила популярность после этого времени, и в 2014 году было зарегистрировано только около 300 самоедов. Увеличение популяции было тесно связано с количеством щенков, выращиваемых каждый год одним родом. 10 В 1980 году на одного отца приходилось в среднем 2, 32 щенка, в 1994 году - 10, 56, а в 2014 году этот показатель снизился до 7, 05. Рассчитанный и ожидаемый коэффициент инбридинга был рассчитан и рассчитан для периода 1980-2014 годов. 10 Коэффициент инбридинга - это вероятность того, что два аллеля в данном локусе гена у случайных членов популяции идентичны. В 1980 году наблюдаемый коэффициент инбридинга составлял 0, 022, а ожидаемый коэффициент инбридинга составлял около 0, 015. 10 Разница составляла 0, 007, или 0, 7% роста идентичных аллелей в популяции до начала популяционного пузыря, начиная с 1980 года. Напротив, наблюдаемый коэффициент инбридинга на пике населения в 2001 году составлял 0, 11, а ожидаемый коэффициент инбридинга - 0, 06. Расчетная разница 0, 05. Таким образом, доля аллелей, основанная на этих цифрах, увеличилась на 4, 3% (0, 05-0, 007) с 1989 по 2001 год, в то время как наблюдаемый коэффициент инбридинга снизился до 0, 08 в 2014 году по мере сокращения численности населения. Используя цифры этого исследования 10, ожидаемый коэффициент инбридинга в 2014 году составлял около 0, 06, разница 0, 02, что указывает на тенденцию к более случайному размножению. В целом, доля аллелей среди самоедов Великобритании увеличилась с 0, 7% в 1980 году до 5% в 2001 году и обратно до 0, 2% в 2014 году. Автор опроса британского клуба питомниководства заключил: «Как и в случае большинства пород, показатель инбридинга был самым высоким в эта порода в 1980-х и 1990-х годах. Это представляет собой «генетическое узкое место» с генетическим изменением, утраченным в популяции. Однако с 2000 года уровень инбридинга замедлился и даже немного снизился, что подразумевает сохранение и даже некоторое пополнение генетического разнообразия (возможно, за счет использования импортных животных) ». 10 С этим выводом связаны две проблемы. Инбридинг и генетическая изменчивость (разнообразие) - это разные вещи. Можно расширить часть популяции путем быстрого инбридинга без потери какого-либо первоначального генетического разнообразия. Инбридинг можно обратить вспять, если выживут даже остатки первоначального разнообразия, но генетическое разнообразие, которое навсегда утрачено в результате инбридинга, никогда не сможет быть заменено изнутри популяции. Заключение исследования Британского Кеннел Клуба также вводит в заблуждение, поскольку подразумевает, что совместное использование аллелей в каждом локусе не является проблемой для породы. На основании анализа ДНК, средний процент гомозиготных аллелей по 33 аутосомным локусам STR в современном самоеде составил 39% (SD = 9, 5%), в то время как средний процент гомозиготных аллелей составил 54% (SD = 38%) для 7 STR локусы в областях I и II класса DLA. Таким образом, доля аллелей в самоеде превышает процент, указанный в этом популяционном исследовании 1980-2014 гг., Проведенном Британским клубом собаководов. Учитывая высокий уровень ранее существовавшего совместного использования аллелей, потеря даже небольших количеств гетерозиготности в таких популяционных пузырьках может иметь драматический эффект. Такие приступы инбридинга также являются временами, когда возникают новые мутации и / или когда существующие вредные мутации усиливаются до клинических уровней. Это возможно, учитывая сроки, когда причинная мутация ARAI у самоеда произошла во время этого популяционного пузыря.

Увеличение инбридинга, наблюдаемое в 1980-х и 1990-х годах, типично для того, что происходит, когда порода становится популярной, а потребность в щенках и их ценность значительно возрастают. Профессиональные заводчики обычно обвиняют коммерческих заводчиков в большом увеличении количества инбредных собак в такие периоды, и в этом убеждении есть доля правды. Это подтверждается тем, что происходит, когда популярность падает. Коммерческие заводчики уходят с рынка, а профессиональные заводчики, как правило, возвращаются к более случайным методам селекции.

В том же опросе, проведенном в британском клубе собаководов, была также дана оценка эффективного размера популяции самоедов в 64, 7 собаки. 10 Эффективный размер популяции, эквиваленты основателей и эквиваленты генома основателей являются родственными терминами, которые обычно относятся к «числу одинаково способствующих (случайным образом размножающихся) основателей, которые, как ожидается, будут производить (поддерживать) то же генетическое разнообразие, что и в изучаемой популяции (29».) «. Вопрос в том, будет ли 64, 7 самоедов, обладающих существующим спектром генетического разнообразия и свободно размножающихся, достаточным для поддержания нынешнего уровня генетического разнообразия. Минимальное число исходит из правила 50/500, предложенного Франклином в 1980 году (34). Часть «50» правила 50/500 гласит, что инбредные популяции с эффективным размером населения менее 50 подвергаются немедленному риску исчезновения, если численность популяции упадет ниже 500 особей. Селекция внутри такой небольшой инбредной популяции, будь то случайная или неслучайная, может быстро вынудить небольшую популяцию в нисходящую спираль утраченного разнообразия (то есть вихрь вымирания). С точки зрения чистокровных собак, генетическое узкое место, такое как популярный эффект сир, может привести к уменьшению эффективного размера популяции, в то время как катастрофическое событие, такое как мировая война или потеря популярности, может уменьшить численность популяции до менее чем 500 собак. Правило 50/500 имеет большее применение к диким популяциям, подверженным выживанию наиболее приспособленных, в то время как большинство пород собак могут поддерживаться значительным вмешательством человека и сложной ветеринарной помощью, например, бульдог (13). Тем не менее, во всем мире число самоедов превышает 500 собак, и, по-видимому, этого достаточно для поддержания существующего генетического разнообразия, если при правильном управлении избежать дальнейших циклов интенсивного инбридинга.

Настоящие исследования подтверждают и расширяют выводы других, касающиеся генетического разнообразия самоедов. Сто восемьдесят две собаки из разных географических регионов мира должны обеспечить надежную оценку, основанную на других породах, изученных нашей группой, частоты всех основных и самых незначительных аллелей, присутствующих в каждом из 33 аутосомных локусов STR, и сравнительной заболеваемости. гаплотипов DLA класса I и II. 14 Количество генетического разнообразия, обнаруженного у современных самоедов, было больше, чем у нашей группы, обнаруженной у таких пород, как ретриверы с плоским покрытием, доберман и бульдог; похож на аляскинского кли-кая, бивера и черного русского терьера; и меньше, чем у стандартного и миниатюрного пуделя, гаванского, акиты, золотистого ретривера и итальянской борзой. 14 Существовали доказательства некоторой географической дифференциации европейских и австралийских собак, но численность, особенно австралийских собак, была слишком мала, чтобы подтвердить этот вывод. Тем не менее, это различие было лишь незначительным и гораздо менее идентифицируемым, чем между японской и американской акитой, что было проверено нашей лабораторией Footnote 20 или американской и европейской итальянской борзой (16). Географическая дифференциация была больше похожа на ту, что продемонстрирована для английского и американского стандартного пуделя (15). Генетическая однородность самоедов из разных частей света была несколько удивительной, учитывая тот факт, что порода началась в нескольких разных странах примерно в одно и то же время. Это говорит о том, что за последний век произошло много международных обменов самоедов.

Частоты аллелей в каждом из 33 аутосомных локусов STR указывали, что 70-90% населения были тесно связаны друг с другом. Без точной информации об основателях породы невозможно сказать, мало ли было основателей в начале или что многие основатели были потеряны, поскольку порода развивалась в течение прошлого столетия. Гаплотипы DLA подтвердили, что современный самоед был сильно отобран для двух линий. Область DLA находится в сильном неравновесном сцеплении, и каждый гаплотип класса I и II наследуется в значительной степени неизменным в течение длительного периода времени от отца и матери. Около 90% всех протестированных самоедов имели три гаплотипа класса I и четыре класса II. Один класс I (1152) и один класс II (2053) гаплотипы были обнаружены у более 50% собак. Основной 1152 гаплотип, наряду с тремя менее распространенными гаплотипами, были уникальными для породы среди тех, которые на сегодняшний день определены нашей группой. 14 Основной гаплотип 2053 года был также обнаружен у других пород, в то время как самоеды обладают тремя уникальными гаплотипами класса II. Эти уникальные и / или основные гаплотипы, скорее всего, принадлежат к собакам-основателям, у которых были черты, глубоко укоренившиеся в стандарте породы, и которые были тщательно сохранены. Стандартная генетическая оценка локусов 7 STR, связанных с этими гаплотипами, указывает на то, что эти гаплотипы, хотя и сильно разбалансированы в пропорции, в значительной степени находятся в равновесии по всей породе.

Частота мутаций, ответственных за ARAI

Неизвестно, когда в породе произошел первый случай гипоплазии эмали, хотя некоторые вспоминают возможные случаи еще в 1985 году. Исходя из самого старого возраста пораженных собак, причинная мутация присутствовала в течение нескольких поколений; самой старой больной собаке было 11 лет, и предполагалось, что родителям было 4-5 лет на момент ее рождения. Оба родителя также должны были быть либо гетерозиготными, либо гомозиготными по мутации, отодвигая временную шкалу на несколько поколений назад. Хотя мутация может быть старой, заболеваемость собак в последнее время явно увеличивается. Это говорит о том, что мутация прошла недавний положительный отбор, скорее всего, в связи с желаемым признаком. Ходят слухи, что в этом может быть задействован пострадавший народный отец, но в настоящем исследовании этого не было. Однако именно здесь родословные, связанные с тестированием ДНК, могут быть весьма информативными в отношении точного происхождения мутации и причины ее недавнего распространения. Детективная работа такого типа была использована для отслеживания происхождения сального аденита и болезни Аддисона у стандартного пуделя (14). Точная частота пораженных собак также не известна. Заболеваемость носителей среди здоровых собак, которые были протестированы, составляла около 12%, что делало заболеваемость собак с аутосомно-рецессивным заболеванием 0, 12 × 0, 12 × 0, 25 = 0, 0036 или 3, 6 / 1000. Если эта цифра верна, частота заболеваемости собак ниже 1-2% или выше, когда вредные аутосомно-рецессивные признаки вызывают озабоченность у других пород.

Генетическая основа АРАИ в самоеде

Образование эмали - сложный процесс, в котором участвуют многие гены, работающие в унисон и на разных стадиях развития зубов. Райт и его коллеги (35) перечислили 91 состояние в онлайн-менделевском наследовании в Ма, как имеющее фенотип эмали, и 71 из них имеют известную молекулярную этиологию или связанные генетические локусы. Сложность образования эмали позволяет мутациям во многих различных генах вызывать сходный дефект. Поэтому неудивительно, что гипоплазия эмали наблюдалась во многих породах, хотя на сегодняшний день была охарактеризована только одна другая мутация, вызывающая наследственную гипоплазию эмали, ARAI, включающую ген эмалина (ENAM) у итальянских борзых (17). Одной из причин этого был относительно недавний рост специальности ветеринарной стоматологии и предыдущая тенденция игнорировать такие случаи, как из-за наследственных причин, таких как чумы собак, высокая температура, наркотики или травмы, возникающие во время вынашивания щенка (36)., Дисплазия эмали, описанная до этого времени, также была относительно мягкой и ее легко спутать с образованием зубного налета и обесцвечиванием зубов у собак. Гипоплазия эмали у итальянской борзой встречается гораздо чаще, но также и менее тяжело (17). Еще более умеренная гипоплазия эмали, которая, по-видимому, является наследственной, была описана у стандартного пуделя (37). Сложность генов, участвующих в образовании эмали, и большое количество возможных мутаций, влияющих на эмаль, напоминают большое количество генов, связанных со зрением, и многие генетические причины прогрессирующей атрофии сетчатки (38).

Две потенциальные вредные мутации в SCL24A на CFA8 и в сильном неравновесном сцеплении были в конечном итоге выявлены у собак, пораженных ARAI, асинонимное изменение (C к T) в экзоне 12, заменяющее аминокислотный пролин на лейцин, и дупликация в 21 п.н. в экзоне 17. Лейцин в Об изменении пролина в экзоне 12 сообщалось в GenBank у золотой курносой обезьяны (XP_010382802, XP_010382799, XP_010382800) и верблюда (XP_006184249, XP_006184251) и предполагалось, что это полиморфизм, присутствующий у нормальных животных и не вредный. Инсерция в экзоне 17, которая вызывала инсерцию в 21 п.н., была в терминальной трансмембранной области SLC24A4 и с большей вероятностью будет ингибировать функцию белка 4SCL24A4, который транспортирует один ион Ca + и K + в обмен на четыре иона Na + (41). Дублирование этого размера в концевом экзоне 17 предположительно изменит размер части внутренней мембраны белка.

Большое количество гомозиготности (селективная развертка), содержащее эти мутации SCL24A4, было высоко консервативным среди всех исследованных пораженных самоедов, что указывает на то, что в регионе имеется много генов и полиморфизмов генов, которые определенным образом определяют фенотип породы. Также вероятно, что полиморфизм, который считался благоприятным для породы, скорее всего, включающий конформационный признак, также имел место в этой же области или вблизи нее, и что он также усиливался. Количество этих выборочных различий сильно различается по количеству и размеру между породами. Тем не менее, развертки становятся все более и более многочисленными, поскольку фенотип все больше и больше отклоняется от исконной собаки. Таким образом, бульдог и бычий мастиф имеют многочисленные крупные выборочные развертки (13, 39), в то время как у стандартного пуделя с одинаковым уровнем гомозиготности по SNP в его геноме все меньше и меньше выборочных разверток (13, 40). Наличие многочисленных селективных исследований, в сочетании с частыми изменениями желаемых признаков, и искусственным положительным отбором для этих фенотипов являются важными факторами, стоящими за высокой частотой возникновения генетических нарушений у чистых пород животных. Породы собак претерпели и продолжают подвергаться наиболее фенотипическим изменениям, а также имеют один из самых высоких показателей наследственных заболеваний (13). Если самоеды будут продолжать терять генетическое разнообразие и подвергаться постоянным приступам конформационных изменений, возникнут другие простые генетические заболевания. По мере того как порода собак становится все более инбредной, частота сложных генетических признаков также возрастает (13, 14, 16).

Сравнение самоедской ARAI с SLC24A4 ARAI у людей

SLC24A4 был только недавно идентифицирован как причина несовершенного амелогенеза (AI) у людей. Parry и коллеги (41) идентифицировали миссенс-мутацию в сайте связывания ионов SLC24A4 в семье с гипокальцинированными зубами. Сейман и соавт. (42) описали делецию 10 кб в покрывающих экзонах 15, 16 и большинстве из 17 в семье с коричневым обесцвечиванием зубов. Третья мутация была также идентифицирована как миссенс-мутация T> G в SLC24A4, вызывающая переключение лейцина на аргинин в положении 436, и очень похожа на клиническую картину гипоплазии эмали в самоеде (43) (рис. 10).

figure10
figure10

ARAI у шестилетней девочки, вызванная ошибочной мутацией в SLC24A4. Перепечатано с разрешения Herzog CR et al. Несовершенный гипематурационный амелогенез, вызванный новой мутацией SLC24A4. Фотографии из: Орал Сург Орал Мед Ораль Патол Ораль Радиол. 2015 фев; 119 (2): e77-e81

Изображение в полном размере

Стратегия контроля ARAI в Самоеде

Что должны делать заводчики, когда такая генетическая мутация возникает в их породе? Ответ зависит от того, сколько генетического разнообразия будет потеряно при попытке устранить его из породы. В случае энцефалита у собак мопса рецессивные наследственные связи с риском заболевания присутствовали у одной трети собак, и порода была ограничена в разнообразии (44). Поэтому было принято решение о размножении от гомозигот, сохраняя при этом признак в гетерозиготном состоянии. Результат устранения аллеля SCL24A был протестирован в настоящем исследовании путем создания тестовых популяций, содержащих известную долю собак-носителей, и последующего измерения генетического разнообразия до и после удаления популяции носителей. Результаты такого тестирования показали, что заводчики самоедов могут легко устранить признак без потери генетического разнообразия из-за низкой частоты мутаций в настоящее время.

Выводы

Основываясь на анализе аутосомных и связанных с DLA STR, самоеды имеют более низкий уровень генетического разнообразия, чем предполагалось в предыдущих исследованиях по родословной или SNP. Восемьдесят процентов из 182 протестированных собак имели два аллеля в каждом из 33 аутосомных локусов и от трех до четырех гаплотипов DLA класса I и II. Это отсутствие генетического разнообразия в сочетании с приступами искусственного отбора человека по благоприятным фенотипическим признакам, возможно, способствовало появлению вредного генетического расстройства. У Самоеда все чаще выявляется новая форма наследственной гипоплазии эмали, и отмечается причинно-следственная аутосомно-рецессивная мутация. Мутация, по-видимому, имеет возраст многих поколений, но в последнее время она усиливается положительным отбором по желаемому признаку. Был разработан генетический тест для идентификации носителей, который позволит заводчикам устранить заболевание путем селекции.

Примечания

  1. 1. Wikipedia. Самоедская собака (собака). На https://en.wikipedia.org/wiki/Samoyed_(dog). Получено 04 апреля 2017
  2. 2. Габб Х. Мифы и мистика, окружающие ранних самоедов и их владельцев. На https://www.thesamoyedclub.org.nz/i6/i6-5r.htm. Доступ 04 апреля 2017 г.
  3. 3. Клуб самоедов Америки. На https://www.samoyedclubofamerica.org/the-samoyed/in-depth/breed-origin-and-history/. Доступ 04 апреля 2017 г.
  4. 4. Американский Кеннел Клуб. Познакомьтесь с самоедами. На https://www.akc.org/dog-breeds/samoyed/detail/. Доступ 04 апреля 2017 г.
  5. 5. Американский Кеннел Клуб, познакомьтесь с САМОЙЕДОМ. По адресу: https://www.akc.org/dog-breeds/samoyed/detail/. Доступ 04 апреля 2017 г.
  6. 6. Что такое самоед? На https://retrieverman.net/2013/04/13/what-is-a-samoyed/. Доступ 20 марта 2017 г.
  7. 7. Самоедский герой Арктики. На https://cooldogbreeds.blogspot.com/search?q=samoyed. Доступ 22 сентября 2017 г.
  8. 8. Фотографии экспедиций Роберта Пири в Гренландию. На https://www.bing.com/images/search?q=pictures+of+peary%19s+expedition+to+greeland&qpvt=pictures+of+Peary%27s+expedition+to+greenland. Доступ 3 апреля 2017 г.
  9. 9. Самоеды На https://www.samoyed.org/sambook.html?samoyed + history. Доступ 04 марта 2017 г.
  10. 10. Кеннел Клуб Делать разницу для собак. Популяционный анализ самоедской породы. Сентябрь 2015 г. На сайте https://www.thekennelclub.org.uk/media/686468/samoyed.pdf. Доступ 3 марта 2017 года. И Льюис Т. В., Абхайаратне Б. М., Блотт С. К. Тенденции в области генетического разнообразия для всех зарегистрированных пород собак в Кеннел Клубе. Генетика и эпидемиология собак 2015; 2:13.
  11. 11. Университет острова Принца Эдуарда, База данных о наследственных заболеваниях собак (CIDD), самоед: at https://discoveryspace.upei.ca/cidd/breed/samoyed. Доступ 04 апреля 2017 г.
  12. 12. Собака породы здоровье. Самоед. На https://www.dogbreedhealth.com/samoyed. Доступ 20 сентября 2017 г.
  13. 13. 2005 ISAG собачьей панели для проверки происхождения. На https://www.isag.us/Docs/consignmentforms/2005ISAGPanelDOG.pdf. Доступ 04 апреля 2017 г.
  14. 14. Лаборатория ветеринарной генетики, UC Davis. На https://www.vgl.ucdavis.edu/services/dog/CanineGeneticDiversity.php. Доступ 04 апреля 2017 г.
  15. 15. Dogset: предварительно разработанные наборы праймеров для точного картирования и исследования последовательности ДНК у собаки. На https://www.vgl.ucdavis.edu/dogset/. Доступ 04 апреля 2017 г.
  16. 16. е! Ensembl. На https://www.ensembl.org/index.html?redirect = нет. Дата доступа 05 апреля 2017 г.
  17. 17. Чистая Primer. Premier Biosoft Intl., Пало-Альто, Калифорния, США. На https://www.premierbiosoft.com/netprimer/index.html. Дата доступа 05 апреля 2017 г.
  18. 18. Bell JS. Семинар «Практическая генетика для самоедов и их владельцев», представленный Американскому клубу самоедов, 15 октября 2002 года. 20lecture. Дата доступа 05 апреля 2017 г.
  19. 19. Сорса С. 2013. English, Samoyed, Bjelkier, генетическое разнообразие, генетическое происхождение, анализ ДНК. На https://www.mydogdna.com/blog/exploring-genetic-diversity-samoyeds-genome-wide-dna-analysis. Получено 09 апреля 2017 г.
  20. 20. Тестирование генетического разнообразия для Акитас. На https://www.vgl.ucdavis.edu/services/dog/GeneticDiversityInAkitas.php. Доступ 10 апреля 2017 г.

Сокращения

АКС:
Американский Кеннел Клуб
ARAI:
Аутосомно-рецессивный несовершенный амелогенез
DLA:
Собачий лейкоцитарный антиген
F:
Коэффициент инбридинга
ИК:
Внутреннее родство
IRVD:
IR с поправкой на разнообразие, потерянное с момента появления деревенской собаки
SCL24A4:
Растворитель 24
STR:
Короткий тандемный повтор
UKC:
Объединенный Кеннел Клуб
VGL:
Лаборатория ветеринарной генетики, UC Davis