Глобулин Sin A 2 11S из семян желтой горчицы демонстрирует перекрестную реактивность IgE с гомологичными аналогами из орехов дерева и арахиса

Глобулин Sin A 2 11S из семян желтой горчицы демонстрирует перекрестную реактивность IgE с гомологичными аналогами из орехов дерева и арахиса
Глобулин Sin A 2 11S из семян желтой горчицы демонстрирует перекрестную реактивность IgE с гомологичными аналогами из орехов дерева и арахиса

Фон

Глобулин Sin a 2 11S является маркером для прогнозирования тяжести симптомов у пациентов с аллергией на горчицу. Потенциальное влияние Sin a 2 на перекрестную реактивность с орехами и арахисом до сих пор не исследовано. В этой работе мы изучали на уровне IgG и IgE участие 11S глобулина Sin a 2 в перекрестной реактивности горчицы, лесных орехов и арахиса.

методы

Одиннадцать хорошо охарактеризованных пациентов с аллергией на горчицу, сенсибилизированных к Sin a 2, были включены в исследование. Специфическая анти-Sin 2 сыворотка была получена у кролика. Тесты на укол кожи (SPT), иммуноферментный анализ (ИФА), иммуноблоттинг и эксперименты по иммуноблоттингу с ингибированием IgG или IgE с использованием очищенного Sin a 2, Sin a 1, Sin a 3, горчицы, миндаля, фундука, фисташки, грецкого ореха или арахиса выдержки были выполнены.

Результаты

Кроличья сыворотка против Sin a 2 показала высокую аффинность и специфичность к Sin a 2, что позволило нам продемонстрировать, что Sin a 2 разделяет эпитопы IgG с аллергенными глобулинами 11S из орехов дерева (миндаль, фундук, фисташка и грецкий орех), но не из арахиса, Все пациенты, включенные в исследование, имели положительный кожный укол на орехи и / или арахис, и мы разделили их на две разные группы в зависимости от их клинических симптомов после приема таких аллергенных источников. Мы показали, что 11S глобулины содержат консервативные эпитопы IgE, участвующие в перекрестной реактивности среди горчицы, лесных орехов и арахиса, а также видоспецифичные эпитопы IgE.

Выводы

Аллергенный 11S-глобулин Sin a 2 из горчицы участвует в перекрестной реактивности на уровне IgE с орехами и арахисом. Хотя клиническую значимость перекрестно-реактивных IgE-эпитопов, присутствующих в 11S глобулинах, необходимо исследовать более подробно, наши результаты способствуют улучшению диагностики и ведения пациентов с аллергией на горчицу, сенсибилизированных к Sin a 2.

Фон

Пищевая аллергия, опосредованная IgE, является важной проблемой здравоохранения во всем мире, связанной с увеличением распространенности, затрагивающей до 2-10% населения (1, 2). Сообщалось, что более 170 пищевых продуктов вызывают аллергические реакции, такие как арахис, лесные орехи, яйца, молоко, рыба, моллюски, пшеница и соя, ответственные за подавляющее большинство реакций. Горчица является одной из наиболее частых пряностей, вызывающих IgE-опосредованную пищевую аллергию, и вместе с сельдереем, кунжутом, люпином и моллюсками считается одним из наиболее значительных источников аллергенности в европейских странах (3). Употребление муки из семян горчицы или готовых продуктов, содержащих эту специю, часто ассоциируется с развитием тяжелых симптомов, таких как генерализованная крапивница, ангионевротический отек или анафилаксия у пациентов с гиперчувствительностью (4-7). Горчица по всему миру употребляется в домашних блюдах и добавляется в качестве скрытой приправы во многие соусы, заправки для салатов или в готовые и обработанные продукты, что затрудняет предотвращение употребления этой специи и увеличивает риск возникновения неожиданных опасных для жизни реакций (8). Поэтому содержание горчицы должно быть заявлено в соответствии с директивой Европейского Союза по маркировке пищевых продуктов (9). Желтая горчица (Sinapis alba L.) широко используется в Европе, тогда как восточная горчица (Brassica juncea) - это пряность, используемая в Соединенных Штатах и Азии.

К настоящему времени идентифицированы, очищены и охарактеризованы четыре аллергена из семян желтой горчицы: i) 2S альбумин Sin a 1 (14 кДа) (10, 11); ii) 11S глобулин Sin a 2 (51 кДа) (12, 13); iii) LTP Sin a 3 (12 кДа) (14); и iv) профилин Син а 4 (13-14 кДа) (14). Sin a 1 и Sin a 3, но не Sin a 4, могут действовать как настоящие пищевые аллергены, способные достигать кишечной иммунной системы благодаря их высокой структурной и иммунологической стабильности (15). Способность Sin a 2 действовать в качестве первичного сенсибилизатора на слизистой оболочке кишечника до сих пор не исследована. Мы также продемонстрировали, что Sin a 1 является диагностическим маркером для сенсибилизации к горчице, Sin a 2 является маркером для прогнозирования выраженности симптомов, а Sin a 3 и Sin a 4 являются аллергенами, связанными с сенсибилизацией к другим продуктам растительного происхождения из розоцветных. семья и пыльца (16). Сообщалось, что более 50% пациентов, страдающих аллергией на горчицу, имеют повышенную чувствительность к другим овощным продуктам, главным образом орехам и бобовым, но связано ли это с перекрестной реактивностью и аллергенами, участвующими в таких процессах, - это аспект, требующий дальнейшего изучения (16-18). В связи с этим, 11S глобулины могут быть хорошими кандидатами. Аллергенные члены этого семейства белков были охарактеризованы из миндаля (Pru du 6) (19), фундука (Cor a 9) (20, 21), арахиса (Ara h 3) (22), грецкого ореха (Jug r 4) (23), фисташка (Pis v 2) (24), соя (глицинины G1-G2) (25), бразильский орех (Ber e 2) (26), кешью (Ana o 2) (27), семена кунжута (Ses i 6) (28) или пекан (Car i 4) (29). Некоторые исследования ранее показали, что 11S глобулины участвуют в перекрестной реактивности между кокосом и грецким орехом (30), среди гречихи, мака и фундука (31) или между арахисом и другими специями различных семян (32). Кроме того, два более подробных исследования на молекулярном уровне, основанные на трехмерной (3D) структуре аллергенов и идентификации сайтов связывания IgE, позволили предположить, что Jug r 4 демонстрирует перекрестную реактивность с Car i 4 (29) или с Cor а 9 и другие 11S глобулины (33, 34). Несмотря на эти опубликованные данные, все еще мало доказательств реактивности IgE-кросс с участием 11S глобулинов, семейства белков с общей идентичностью последовательностей менее 40%.

В настоящем исследовании мы стремились исследовать потенциальное влияние 11S глобулина Sin a 2 на перекрестную реактивность с участием горчицы, орехов и арахиса. Наши результаты показывают, что аллергенный 11S глобулин Sin a 2 разделяет эпитопы IgG с гомологичными аналогами из миндаля, фундука, фисташки и грецкого ореха, но не из арахиса, и что Sin a 2 участвует в перекрестной реактивности IgE с орехами дерева и арахисом.

методы

Пациенты с аллергией на горчицу

Пациенты, включенные в это исследование, были подгруппой хорошо охарактеризованных пациентов с аллергией на горчицу (16), у которых были представлены специфические IgE-антитела против очищенного 11S-глобулина Sin a 2, как определено с помощью иммуноферментного анализа (ELISA) и кожного укола (SPT).). Аллергия на горчицу была диагностирована, как описано ранее (35). Во время консультации с пациентом аллерголог заполнил анкету для сбора клинической информации. Клинические особенности пациентов показаны в таблице 1. Хотя не у всех пациентов была аллергия на орехи и / или арахис, у всех из них был положительный SPT по крайней мере к одному из этих аллергенных источников. Мы объединили сыворотки пациентов в две разные группы: 1) группа 1, пациенты без клинических симптомов - орехи и / или арахис; ii) Группа 2, пациенты с клиническими симптомами некоторых из этих аллергенных источников (Таблица 1, Таблица 2). Образцы сыворотки от всех пациентов собирали и хранили при -20 ° C до использования. Сыворотки от не атопического субъекта и от пациента с аллергией на пыльцу оливы использовали в качестве контроля. Исследование было одобрено Этическим комитетом Fundación Jiménez Díaz (Мадрид), и письменное информированное согласие было получено от всех субъектов.

Таблица 1 Клинические характеристики пациентов с аллергией на горчицу, сенсибилизированных к греху 2

Таблица в натуральную величину

Таблица 2 Специфические IgE к экстракту горчицы и очищенные аллергены горчицы с помощью ИФА

Таблица в натуральную величину

Экстракт семян желтой горчицы, очищенная сыворотка Sin a 2 и кроличья анти-Sin a 2

Семена желтой горчицы, миндаля, фундука, фисташки, грецкого ореха и жареного арахиса были получены, как описано ранее для семян желтой горчицы (12). Аллергенный 11S глобулин Sin a 2 очищали от экстракта семян желтой горчицы, как описано (12).

Специфическую анти-Sin a 2 сыворотку получали путем иммунизации новозеландского белого кролика очищенным Sin a 2 путем еженедельной инъекции белка в полном адъюванте Фрейнда. После 21 дня лечения сыворотку крови получали путем центрифугирования крови.

Кожные уколы

ППП проводились у всех пациентов в соответствии со стандартными процедурами (36). Панель коммерческих пищевых экстрактов включала в себя персик, каштан, сою, семена подсолнечника, миндаль, фундук, арахис, грецкий орех, кедровый орех, фисташку, нут, чечевицу и фасоль. SPT с киви и яблоком проводили методом укола, как описано (37). SPT с домашним экстрактом горчицы (Sinapis alba L.) (50 мкг / мл) и очищенным натуральным Sin a 2 (10 мкг / мл). В качестве положительного и отрицательного контролей использовали дигидрохлорид гистамина (10 мг / мл) и физиологический раствор, соответственно. Ареальная площадь <7 мм 2 считалась отрицательной. Мы включили миндаль в качестве ореха (вместо плодов розовых) и отдельно рассматривали арахис.

Электрофорез и иммуноблоттинг

SDS-PAGE проводили в 15% полиакриламидных гелях. Белки (0, 5 мкг / полосу очищенных белков или 50 мкг / полоску белковых экстрактов) визуализировали с помощью кумасси блю или альтернативно переносили на нитроцеллюлозные мембраны (Amersham, Buckinghamshire, United Kingdom). Концентрацию белка определяли с использованием метода бицинхониновой кислоты (Pierce Chemical Co, Rockford, Ill, USA).

Иммунодетекция белков в мембранах была достигнута, как описано (14), с использованием различных пулов сывороток от пациентов с аллергией на горчицу, (разбавленная 1/5) или кроличья специфическая анти-Sin a 2 сыворотка (разбавленная 1/100000). Связывание человеческого IgE детектировали с помощью мышиных антител против человеческого IgE, предоставленных ALK-Abelló (Мадрид, Испания), разведенных 1/5000, за которыми следовал меченный пероксидазой хрена козий анти-мышиный IgG (разведенный 1/5000; Pierce), Реакция на анти-Sin 2 сыворотку была обнаружена с помощью меченного пероксидазой хрена козьего анти-кроличьего IgG (разведенного 1/3000; BioRad, Richmond, CA). Сигнал был разработан с использованием реагента для блоттинга ECL-Western (Amersham). Для экспериментов по ингибированию IgG и IgE при иммуноблоттинге пулы сывороток (разведенные 1/5) или кроличьей анти-Sin a 2 сыворотки (разбавленные 1/100000) предварительно адсорбировали 1 мг / мл семян желтой горчицы, миндаля, экстракты фундука, грецкого ореха, фисташки или арахиса или 20 мкг / мл очищенного Sin a 2 в течение 2 ч до мембранной инкубации, как описано (38). Бычий сывороточный альбумин (BSA) использовали в качестве отрицательного контроля ингибирования. Волюмограммы реактивных полос анализировали сканирующей денситометрией с использованием компьютерной программы Multigauge V3.0.

ИФА эксперименты

Количественное определение IgG проводили методом ELISA в микротитровальных планшетах (Costar, Corning, NY, USA), покрытых 100 мкл / лунку очищенного экстракта Sin a 2 (2 мкг / мл) или желтой горчицы (20 мкг / мл) (14). Планшеты инкубировали с увеличивающимися разведениями кроличьей анти-Sin 2 сыворотки для титрования. Затем планшеты инкубировали с меченным пероксидазой хрена козьим антимышиным IgG, как описано выше, и реакцию пероксидазы развивали, используя свежий ферментный субстрат и измеряя оптическую плотность (OD) при 492 нм. Каждое значение рассчитывалось как среднее из двух определений после вычитания.

Для ИФА-ингибирования ELISA после нанесения 100 мкл Sin a 2 (2 мкг / мл) или экстракта семян желтой горчицы (20 мкг / мл) планшеты инкубировали с кроличьей анти-Sin a 2 сывороткой (разведенной 1). / 100000), предварительно преадсорбированные с увеличением количества Sin a 2 и экстрактов горчицы в качестве ингибиторов в течение 2 ч (38). Затем планшеты инкубировали с меченым пероксидазой хрена козьим антимышиным IgG и реакцией пероксидазы, развившейся, как описано выше. Процент ингибирования определяли по формуле:% ингибирования = (1- (OD 492 нм с ингибитором / OD 492 нм без ингибитора)) x 100. Все определения были выполнены в виде дубликатов.

Выравнивание последовательностей и трехмерное моделирование

Несколько выравниваний последовательностей Sin a 2, Pru du 6, Cor a 9, Pis v 2, Jug r 4 и Ara h 3 (номера доступа Q2TLW0, E3SH28, Q8W1C2, B7P073, Q2TPW5 и O82580, соответственно) были выполнены с помощью Clustal Omega программа (39). Аминокислотные последовательности всех 11S глобулинов показаны без сигнального пептида. Расположение сайтов расщепления сигнального пептида было предсказано с использованием SignalP 4.0 Server (40). Трехмерная структура Sin a 2 была смоделирована с использованием служб сервера моделирования белка Swiss-Model (41) и структуры соевого бобового Gly m 6 (код PDB 1od5A) (42) в качестве шаблона. 3D структура Ara h 3 соответствует PDB: 3c3v. Графическая обработка трехмерных структур была выполнена с помощью программы просмотра PDB PyMOL.

результаты и обсуждение

Клинические особенности пациентов с аллергией на горчицу, сенсибилизированных к Sin a 2, позволяют предположить, что глобулины 11S могут быть вовлечены в перекрестную реактивность с орехами и / или арахисом

Связывая клинические особенности 34 пациентов с аллергической реакцией на горчицу с компонентно-разрешенными подходами, мы ранее показали, что 2S альбумин Sin a 1 является маркером подлинной сенсибилизации к горчице, 11S глобулин Sin a 2 связан с тяжелыми симптомами после приема горчицы и LTP Sin a 3 и profilin Sin a 4, два хорошо известных паналлергена, связаны с сенсибилизацией к другим продуктам растительного происхождения из семейства Rosaceae и пыльцы (16). Хотя более 50% пациентов с аллергией на горчицу также имеют повышенную чувствительность к орехам и / или арахису, в нашей когорте пациентов с аллергией на горчицу не было обнаружено значительных клинических связей между повышением чувствительности к Sin a 2 и аллергией на другие орехи или арахис (16).). Однако, учитывая, что недавние исследования показали, что глобулины 11S участвуют в перекрестной реактивности среди таксономически неродственных орехов и арахиса (30-33) и что разные члены этого семейства белков были описаны как соответствующие аллергены (19-24), мы исследовали на уровне IgG и IgE, может ли 11S глобулин Sin a 2 быть вовлечен в перекрестную реактивность у горчицы, орехов и арахиса у пациентов с аллергией на горчицу, особенно сенсибилизированных к Sin a 2. Мы включили в исследование 11 пациентов с аллергией на горчицу с общие клинические характеристики, обобщенные в таблице 1. У всех пациентов были аллергические реакции в течение первых 30 минут после потребления горчицы, и критерии включения были основаны на положительном специфическом IgE к экстракту семян желтой горчицы и Sin a 2, как определено с помощью SPT и ELISA (таблицы 1 и 2). В соответствии с нашими предыдущими данными, у 10 из 11 пациентов, сенсибилизированных к греху, у 2 развились немедленные системные реакции после приема горчицы, а у 7 - в отделение неотложной помощи, где вводили адреналин (16). Все пациенты, включенные в исследование, также имели положительный SPT для орехов дерева (миндаль или фундук или фисташка или грецкий орех) или арахиса, и у 6 из них (№ 6, 7, 8, 9, 10 и 11) наблюдались симптомы после проглатывания дерева орехи (3 из них также с арахисом, № 2, 4 и 5). Интересно, что только 3 пациента продемонстрировали положительный специфический IgE к ранее известным перекрестно-реактивным аллергенам горчицы Sin a 3 и 2 к Sin a 4 (Таблица 2), что указывает на потенциальную роль Sin a 2, по крайней мере, в наблюдаемом положительном SPT для дерева орехи и / или арахис. Для дальнейшего анализа влияния Sin a 2 на перекрестную реактивность на уровне IgG и IgE и определения потенциальной клинической значимости у пациентов с аллергией на горчицу, сенсибилизированных к Sin a 2, мы получили кроличью анти-Sin a 2 сыворотку и объединенные пациенты ». сыворотки на две разные группы: i) группа 1, пациенты с положительным SPT на орехи и / или экстракты арахиса без клинических симптомов этих аллергенных источников; ii) Группа 2, пациенты с положительным SPT на экстракты орехов и / или арахиса с клиническими симптомами на некоторые из этих аллергенных источников (Таблица 1).

Эпитопы IgG 11S глобулина Sin a 2 присутствуют в миндале, фундуке, фисташке и грецком орехе, но не в экстрактах арахиса

Убедительные экспериментальные данные показали, что использование четко определенных очищенных аллергенов очень полезно для улучшения диагностики и лечения аллергических заболеваний (43, 44). Наличие очищенных аллергенов позволяет получать специфические поликлональные антитела у мышей или кроликов, которые являются ключевыми инструментами в идентификации потенциальных перекрестно-реактивных гомологичных аллергенов в таксономически связанных и не связанных источниках аллергенов (14, 45). Мы использовали очищенный Sin a 2, чтобы получить кроличью анти-Sin a 2 сыворотку, как описано в разделе «Методы». Специфическую анти-Sin a 2 сыворотку титровали против очищенного Sin a 2 и экстракта семян желтой горчицы с помощью ELISA и иммуноблоттинга (фиг. 1A и B). Как показано на фиг.1А, сыворотка кролика против Sin a 2 проявляет одинаковую и очень высокую аффинность как к очищенному Sin a 2, так и к экстракту горчицы, демонстрируя, что очищенный Sin a 2 консервативен в эпитопах IgG и что используемый кроличий анти-Sin a 2 сыворотка специфична для этого аллергена. Сыворотка против Sin a 2 также распознавала полосу белка около 51 кДа, соответствующую Sin a 2, в экстракте горчицы и очищенном аллергене в зависимости от дозы при иммуноблоттинге (рис. 1B). Когда использовали кроличью анти-Sin a 2 сыворотку в самой высокой концентрации (разведение 1/50000), белковые полосы около 30-32 кДа были слегка обнаружены в обоих случаях. Эти белковые полосы, которые также распознаются сыворотками пациентов с аллергией на горчицу, ранее были идентифицированы как протеолитические фрагменты Sin a 2 в экстракте горчицы (13). Для дальнейшей проверки специфичности сыворотки против Sin a 2 мы провели эксперименты по ингибированию IgG в ELISA и иммуноблоттинге (рис. 1C и D). Как показано на этих фигурах, как очищенный Sin a 2, так и экстракт горчицы были способны блокировать связывание IgG с экстрактом цельной горчицы или с Sin a 2, покрытыми лунками, аналогичным образом (фиг. 1C). Полное ингибирование связывания анти-Sin a 2 сыворотки с экстрактом горчицы или с очищенным Sin a 2 было достигнуто, когда в качестве ингибиторов использовался очищенный Sin a 2 или целый экстракт горчицы (фиг. 1D). В совокупности все эти данные показали, что повышенная анти-Sin a 2 кроличья сыворотка проявляет высокую аффинность и специфичность к аллергенному 11S глобулину Sin a 2. Затем мы проверили наличие эпитопов IgG, общих для Sin a 2, у орехов дерева (миндаль, экстракты фундука, фисташки и грецкого ореха) и арахиса (рис. 2). Эти древесные орехи и экстракты арахиса были выбраны потому, что они были наиболее релевантными источниками аллергенов, на которые пациенты, включенные в исследование, имели аллергию или имели положительный SPT (Таблица 1). На фигуре 2А показано окрашивание кумасси синим после SDS-PAGE для визуализации содержания белка в различных экстрактах. Сыворотка против Sin a 2 (дорожки I), но не доиммунная (дорожки P), реагировала с белковыми полосами в пределах 48-52 кДа во всех протестированных экстрактах древесных орехов. При анализе экстракта арахиса не было обнаружено никакой реакции. Эти результаты показали, что ранее описанные аллергенные глобулины 11S из миндаля (Prudu 6), (19) фундука (Cor a 9) (20), фисташки (Pis v 2) (24) и грецкого ореха (Jug r 4) (23) но не из арахиса (Ara h 3) (22) имеют общие IgG-эпитопы с Sin a 2. Как показано на рисунке 3, несмотря на довольно низкий процент идентичности (в диапазоне от 28 до 39%) и сходства (между 46 и 56%), сравниваемые 11S глобулины представляют области с консервативными аминокислотными последовательностями, такими как, например, те, которые включают Gly 89 -Asp 96, His 155 -Asp 165 или Phe 420 -Ser 436 (подчеркнуты на фиг.3). Ara h 3 является глобулином 11S, демонстрирующим самую низкую идентичность (28%) и сходство (46%) с Sin a 2, и также наблюдаются значительные различия в аминокислотных последовательностях вышеупомянутых областей (фиг. 3). Следовательно, наличие сайтов связывания IgG в этих областях, которые не полностью перекрываются с ранее выявленными горячими точками (HS) IgE, вполне может оправдать отсутствие реактивности сыворотки против Sin a 2 против Ara h 3. В дополнение На этих данных мы провели эксперименты по ингибированию IgG при иммуноблоттинге с использованием BSA, очищенного Sin a 2 или горчицы в качестве контролей и миндаля, фундука, фисташки или грецкого ореха в качестве потенциальных ингибиторов связывания IgG с очищенным Sin a 2 (рис. 4A). Реакционная способность к Sin a 2 сыворотки против Sin a 2, предварительно адсорбированной очищенным экстрактом Sin a 2 или горчицей, была почти отменена (95 и 99% ингибирования, соответственно, количественно с помощью сканирующей денситометрии). Когда в качестве ингибиторов использовались экстракты лесных орехов, во всех случаях также достигалось значительное снижение связывания IgG с Sin a 2. Миндаль и грецкий орех были экстрактами, демонстрирующими наибольшую ингибирующую способность (77% и 60% ингибирования, соответственно), за которыми следовали фундук (53%) и фисташка (43%), как определено сканирующей денситометрией. Sin a 2 отображает регион, обогащенный Gln и Gly (позиции Gly 118 -Arg 152, рис. 3), который содержится исключительно в Pru du 6. Если этот сегмент имеет сайты связывания IgG, это может оправдать самый высокий процент ингибирования, достигнутый экстракт миндаля. Как и ожидалось, учитывая, что специфическая сыворотка кролика была выращена против очищенного Sin a 2, связывание IgG с миндалем, фундуком, фисташкой и грецким орехом было полностью отменено, когда очищенный Sin a 2, горчица или соответствующий экстракт древесного ореха использовались в качестве ингибиторов (рис. 4B).). В совокупности все эти результаты убедительно продемонстрировали, что Sin a 2 проявляет перекрестную реактивность с аллергенными глобулинами 11S из миндаля, фундука, фисташки и грецкого ореха на уровне IgG, что указывает на то, что, несмотря на низкий процент идентичности последовательностей, они имеют общие эпитопы IgG, вероятно, расположенные в наиболее консервативные области семейства белков.

фигура 1
фигура 1

Характеристика и проверка кроличьей анти-Sin 2 сыворотки. А) ELISA-титрование Sin a 2 (0, 2 мкг / лунку) и экстракта горчицы (20 мкг / лунку) с использованием кроличьей специфической анти-Sin a 2 сыворотки. B) Иммуноблоттинг экстракта горчицы (50 мкг / полосу) или очищенного Sin a 2 (0, 5 мкг / полоску) с использованием различных разведений сыворотки против Sin a 2. Маркеры молекулярной массы отображаются в левом поле. C) ELISA-эксперименты по ингибированию связывания IgG с Sin a 2 или лунками, покрытыми экстрактом горчицы, с увеличивающимися концентрациями Sin a 2 или иприта в качестве ингибиторов. D) Эксперименты по ингибированию иммуноблоттинга IgG-связывания с блоттинговым экстрактом горчицы с нитроцеллюлозой (50 мкг / полосу) или Sin a 2 (0, 5 мкг / полосу) с использованием в качестве ингибиторов BSA (20 мкг / мл), Sin a 2 (20 мкг / мл). мл) или горчица (1 мг / мл). Маркеры молекулярной массы отображаются в левом поле.

Изображение в полном размере

фигура 2
фигура 2

Идентификация IgG перекрестно-реактивных 11S глобулинов, гомологичных Sin a 2 в экстрактах древесных орехов. А) SDS-PAGE и окрашивание Кумасси синим (CBS) 40 мкг / полоса экстрактов белка горчицы, миндаля, фундука, грецкого ореха, фисташки и арахиса. B) Реакционная способность анти-Sin 2 сыворотки, разведенной 1/50000 (дорожки I), к экстрактам белков горчицы, миндаля, фундука, грецкого ореха, фисташки и арахиса (50 мкг / полоса). Предиммунную кроличью сыворотку (дорожки P) использовали в том же разведении, что и в отрицательном контроле. Маркеры молекулярной массы отображаются в левом поле.

Изображение в полном размере

Рисунок 3
Рисунок 3

Выравнивание последовательностей аллергенных 11S глобулинов. Семена желтой горчицы (Sin a 2), миндаля (Pru du 6), фундука (Cor a 9), фисташки (Pis v 2), грецкого ореха (Jug r 4) и арахиса (Ara h 3) (инвентарные номера UniProt Q2TLW0, E3SH28, Q8W1C2, B7P073, Q2TPW5 и O82580 соответственно). (-) для пробелов. Остатки, консервативные во всех белках, выделены черным, а остатки, по меньшей мере, в 4 последовательностях - серым. Подчеркнутые области соответствуют частично консервативным аминокислотным последовательностям в сравниваемых глобулинах 11S, за исключением Ara h 3. Последовательности, содержащиеся в белом квадрате, представляют дополнительный сегмент последовательности, обогащенный Gly и Gln, представленный только в Sin a 2 и Pru du 6. Цветные квадраты содержат пять областей последовательности, ранее описанных как горячие точки IgE в 11S глобулинах. % I и% S, процент идентичности и сходства, соответственно. Нумерация аминокислот для каждой последовательности приведена в правом поле.

Изображение в полном размере

figure4
figure4

Эксперименты по ингибированию IgG в иммуноблоттинге. Эксперименты по ингибированию IgG-связывания кроличьей анти-Sin a 2 сыворотки (1/100000 разведенной) с A) Sin a 2 и B) экстрактами белка миндаля, фундука, фисташки и грецкого ореха (50 мкг общего белка на линию). В качестве ингибиторов использовали экстракты BSA (20 мкг / мл), Sin a 2 (20 мкг / мл), горчицы, фундука, фисташки или грецкого ореха (1 мг / мл). Маркеры молекулярной массы отображаются в левом поле.

Изображение в полном размере

Перекрестная реактивность IgE среди аллергенных 11S глобулинов из горчицы, лесных орехов и арахиса

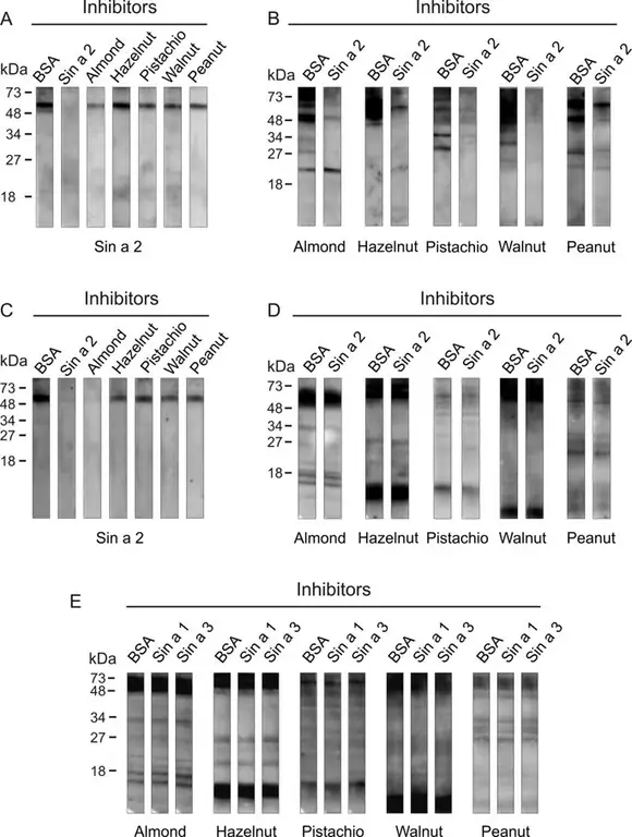
Чтобы понять потенциальную роль Sin a 2 в перекрестной реактивности с участием горчицы, орехов и арахиса на уровне IgE, мы провели эксперименты по ингибированию IgE при иммуноблоттинге с использованием очищенного экстракта Sin a 2 и аллергенного белка из горчицы, различных орехов дерева. (миндаль, фундук, фисташка и грецкий орех) и арахис. Мы объединили сыворотки пациентов в две разные группы. В группу 1 мы включили 5 пациентов без клинических симптомов на орехи и / или арахис на момент исследования, а в группу 2 - 6 пациентов с аллергией на орехи (3 из них также на арахис) (таблица 1).). Как показано на фиг.5А, реакционная способность очищенного Sin a 2 пула сывороток из группы 1, предварительно адсорбированных миндалем, фундуком, грецким орехом, фисташкой или арахисом, была ингибирована на различном уровне в зависимости от используемого экстракта. С помощью сканирующей денситометрии мы количественно оценили, что миндаль (63% ингибирования) был самым сильным ингибитором, за которым следовали грецкий орех, фисташка, арахис и фундук (49%, 34%, 32% и 15% соответственно). Интересно, что в пуле сывороток из группы 1 обнаружены аллергенные глобулины 11S, гомологичные Sin a 2 в миндале, фундуке, фисташке, грецком орехе и арахисе. Связывание IgE с этими белками было почти полностью отменено, когда пул сывороток был предварительно адсорбирован очищенным Sin a 2, за исключением фундука и арахиса (рис. 5B), что может быть связано с ко-сенсибилизацией к видоспецифическим эпитопам из содержащих 11S глобулинов. в этих аллергенных экстрактах - наличие различных аллергенных изоформ или наличие дополнительных аллергенов с одинаковой молекулярной массой в фундуке и арахисе. Эти результаты показывают, что для этих пациентов Sin a 2 является сенсибилизирующим аллергеном, который разделяет общие IgE-эпитопы с аллергенными 11S глобулинами из исследованных экстрактов, что может объяснить, почему эти пациенты, несмотря на отсутствие у них клинических симптомов, связанных с орехами или арахисом, демонстрируют положительные результаты in vivo. SPT к таким аллергенным источникам. Для дальнейшего изучения потенциальной клинической значимости 11S глобулина Sin a 2 в перекрестной реактивности мы провели такой же тип экспериментов с использованием пула сывороток от пациентов с аллергией на горчицу, сенсибилизированных к Sin a 2 с клиническими симптомами к орехам и / или арахису. (группа 2). Как показано на фиг. 5C, IgE-связывание с очищенным Sin a 2 было значительно ингибировано миндалем, фундуком, фисташкой, грецким орехом и арахисом (83%, 62%, 60%, 67%, 69% и 67% ингибирования соответственно, как определено сканирующей денситометрией). Этот результат убедительно подтверждает, что Sin a 2 имеют общие IgE-эпитопы с аллергенными 11S глобулинами из орехов и арахиса дерева. Этот пул сывороток (группа 2) также распознавал IgE-реактивные белковые полосы около 48-52 кДа, которые не ингибировались Sin a 2, за исключением миндаля (20% ингибирования сканирующей денситометрией) (рис. 5D). Эти результаты вместе с тем фактом, что ингибирование IgE-связывания с очищенным Sin a 2 экстрактами древесного ореха и арахиса было значительно выше для группы 2, чем для группы 1, показало, что пациенты с аллергией на горчицу сенсибилизированы к Sin a 2 и имеют аллергию на орехи дерева и / или арахис также может быть в первую очередь ко-сенсибилизирован к 11S-глобулинам из таких аллергенных источников. Кроме того, пул сывороток из группы 2 распознавал различные низкомолекулярные полосы IgE-реактивного белка (<18 кДа) или эпитопы из переваренной пищи, которых нет в группе пациентов 1 (Рисунки 5D и E), что может сделать Разница в клинических симптомах, связанных с употреблением орехов и / или арахиса. Интересно, что эти IgE-реактивные полосы не были ингибированы ни 2S альбумином Sin a 1, ни LTP Sin a 3 (фиг. 5E), что указывает на то, что эти семейства аллергенных белков не участвуют в наблюдаемой перекрестной реактивности. В совокупности наши данные свидетельствуют о том, что Sin a 2 и гомологичные аллергенные глобулины 11S из изученных орехов и арахиса могут содержать как консервативные перекрестно-реактивные, так и видоспецифичные эпитопы IgE. В связи с этим в нескольких исследованиях ранее было показано существование пяти областей, содержащих IgE-связывающий HS на 11S глобулинах из орехов дерева (миндаль, фундук, кешью или грецкий орех), арахиса и сои (19, 33). На рисунках 3 и 6 показано выравнивание аминокислотной последовательности таких областей, сравнивая Sin a 2, Pru du 6, Cor a 9, Pis v 2, Jug r 4 и Ara h 3, а также расположение пяти IgE-связывающих HS на 3D-моделирование Sin a 2 и 3D-структуры Ara h 3. Как показано на фиг.6А, ранее предложенные IgE-связывающие HS-2 и HS-4 довольно консервативны среди сравниваемых аллергенных 11S глобулинов с процентами идентичности по отношению к Sin a 2 в диапазоне от 40% (Pis v 2 и Ara h 3). в HS-4) до 66% (Pru du 6 и Cor a 9 в HS-4). Процент сходства в отношении Sin a 2 был даже значительно выше и варьировался от 66% (Jug r 4 в HS-2 и Pis v 2 в HS-4) до 86% (Pru du 6 в HS-2 и Pru du 6 и Cor a 9 в HS-4). Как визуализируется при трехмерном моделировании Sin a 2 и в трехмерной структуре Ara h 3, оба HS-2 и HS-4 расположены в областях воздействия мономера, подверженных воздействию растворителя, таким образом, представляя идеальные потенциальные перекрестно-реактивные эпитопы IgE у аллергенных 11S глобулины. При сравнении HS-1, HS-3 и HS-5 наблюдались более низкие проценты идентичности, поскольку HS-5 является наиболее разнородным. Кроме того, HS-1, HS-3 и HS-5 не были полностью подвержены воздействию растворителя при 3D-моделировании Sin a 2 или 3D-структуре Ara h 3, что позволяет предположить, что они вполне могут представлять собой потенциальные видоспецифичные эпитопы IgE. Выявление клинически значимых сайтов связывания IgE, к которым сенсибилизируют пациентов, будет способствовать улучшению диагностики и точного эндотипирования, что впоследствии может привести к разработке более эффективных и безопасных подходов к иммунотерапии с учетом потребностей пациента (46-48). В целом, наше исследование показывает, что у пациентов с аллергией на горчицу, сенсибилизированных к Sin a 2, может быть положительный SPT к орехам дерева и / или арахису без клинических проявлений в отношении этих источников аллергена из-за перекрестной реактивности IgE с участием 11S глобулинов. Это открытие особенно важно, поскольку оно может помочь избежать неправильного диагноза из-за перекрестной реактивности IgE без клинической значимости. Тот факт, что мы также продемонстрировали перекрестную реактивность IgE с участием Sin a 2 у пациентов с аллергией на горчицу, сенсибилизированных к этому аллергену с клиническими симптомами орехов дерева и / или арахиса, указывает на возможность того, что у пациентов, сенсибилизированных к Sin a 2, могут в конечном итоге развиться клинические эпизоды против этих аллергенов. источники. Хотя клиническое значение перекрестно-реактивных IgE-связывающих сайтов 11S глобулина Sin a 2 необходимо изучить более подробно, наши результаты способствуют улучшению диагностики и ведения пациентов, имеющих аллергию на горчицу, сенсибилизированных к этому аллергену.

figure5
figure5

Эксперименты по ингибированию IgE при иммуноблоттинге. А) Ингибирование IgE-связывания с очищенным Sin a 2 пула сывороток (1/5 разведенного) от группы 1 пациентов, использующих в качестве ингибиторов BSA (20 мкг / мл), Sin a 2 (20 мкг / мл) экстракты белков миндаля, фундука, фисташки, грецкого ореха и арахиса (1 мг / мл). Б) Ингибирование IgE-связывания с экстрактами миндаля, фундука, фисташки, грецкого ореха и арахиса (50 мкг общего белка на полосу) пула сывороток из группы 1 (1/5 разведенного) с использованием в качестве ингибиторов БСА (контроль) или очищенного Грех 2 (20 мкг / мл). C, D и E) Эксперименты по ингибированию IgE того же типа с использованием пула сывороток от группы 2 пациентов и указанных ингибиторов. Маркеры молекулярной массы отображаются в левом поле.

Изображение в полном размере

figure6
figure6

Сравнение IgE-связывающих горячих точек среди аллергенных глобулинов 11S и локализация на трехмерной структуре Sin a 2 и Ara h 3. A) Таблица, показывающая процент идентичности (% I) и сходства (% S) пяти горячих IgE пятна, описанные в 11S глобулинах из миндаля (Pru du 6), фундука (Cor a 9), фисташки (Pis v 2), грецкого ореха (Jug r 4) и арахиса (Ara h 3) по отношению к горчице (Sin a 2). B) Расположение горячих точек IgE на молекулярной поверхности моделируемой трехмерной структуры Sin a 2 и трехмерной структуры Ara h 3. Области горячих точек на трехмерных структурах окрашены в оранжевый цвет (горячая точка 1), зеленый (горячая точка 2), желтая (горячая точка 3), синяя (горячая точка 4) или красная (горячая точка 5).

Изображение в полном размере

Выводы

В этом исследовании мы продемонстрировали на молекулярном уровне, что 11S глобулин Sin a 2, который связан с тяжелыми реакциями у пациентов с аллергией на горчицу, участвует в перекрестной реактивности горчицы, лесных орехов и арахиса. Грех 2 разделяет IgG эпитопы с аллергенными глобулинами 11S из орехов дерева (миндаль, фундук, фисташка и грецкий орех), но не с арахисом. На уровне IgE мы показали, что 11S глобулины содержат консервативные эпитопы IgE, участвующие в перекрестной реактивности среди горчицы, орехов дерева и арахиса, а также специфичные для вида эпитопы IgE. Из-за серьезности симптомов, связанных с Sin a 2, окончательная демонстрация клинической значимости и участия перекрестно-реактивных эпитопов IgE 11S глобулинов в инициировании симптомов является важной проблемой, которая в будущем потребует углубленных клинических исследований.

Сокращения

ELISA:
Ферментно-связанный иммуносорбентный анализ
OD:
Оптическая плотность
SPT:
Кожный укол
3D:
Трехмерное моделирование
HS:
Горячие точки.