Абляционная лучевая терапия при местно-распространенном раке поджелудочной железы: методика и результаты

Абляционная лучевая терапия при местно-распространенном раке поджелудочной железы: методика и результаты
Абляционная лучевая терапия при местно-распространенном раке поджелудочной железы: методика и результаты

Стандартные дозы фракционированного облучения оказывали минимальное влияние на продолжительность жизни пациентов с местно-распространенным неоперабельным раком поджелудочной железы (LAPC) или вообще не влияли на него. Использование низких доз стереотаксического излучения тела (SBRT) в 3-5 фракциях до настоящего времени приводило к умеренному улучшению средней выживаемости с минимальной токсичностью и более короткой продолжительностью лечения, но не вызывало значимой разницы через 2 года и более. Вероятно, для достижения абляции опухоли необходима значительно более высокая биологически эффективная доза (BED). Задача заключается в доставке абляционных доз вблизи очень чувствительного желудочно-кишечного тракта. Усовершенствованные методы управления движением органов, наведения изображений и адаптивного планирования позволяют доставлять абляционные дозы радиации (> = 100 Гр / ч), когда используются более длительные режимы с гипофракцией или усовершенствованное наведение изображений и адаптивное планирование. Этот подход привел к поощрению улучшения выживаемости в нескольких исследованиях. В этом обзоре будет обобщено развитие радиационной техники с течением времени от обычного к аблятивному и описаны практические аспекты доставки абляционных доз вблизи желудочно-кишечного тракта с использованием КТ-изображения с коническим лучом (CBCT) и интерактивного адаптивного МРТ-наведения.

Фон

Неоперабельный местно-распространенный рак поджелудочной железы продолжает иметь мрачный прогноз со средней выживаемостью 10-16 месяцев даже в контексте значительного улучшения вариантов химиотерапии, наблюдаемого в последние два десятилетия (1). По меньшей мере треть пациентов умирает от осложнений, связанных с местным прогрессированием с или без каких-либо признаков метастазирования (2), и местное прогрессирование может преобладать в качестве причины смерти для пациентов, выживших более 15 месяцев, независимо от их метастатического статуса (2, 3). Это подчеркивает важность местного контроля и предполагает, что улучшение местного контроля может привести к улучшению выживаемости, по крайней мере, для подгруппы пациентов. В качестве локального метода лучевая терапия была тщательно протестирована в этих условиях.

Уроки обычного опыта лучевой терапии

Стандартные варианты лучевой терапии, обычно доставляющие от 40 до 60 Гр при 1, 8-2, 0 Гр на фракцию, добавляют минимальные преимущества к выживанию для пациентов с местно-распространенным неоперабельным раком поджелудочной железы (LAPC), которые получали химиотерапию. Эти дозы были основаны на переносимости излучения большого поля на желудок и двенадцатиперстную кишку в 2D и 3-D эру, и было показано, что они обеспечивают только скромную локальную пользу от контроля опухоли. В пяти рандомизированных исследованиях III фазы была оценена роль стандартных доз облучения, вводимого с одновременной химиотерапией только для химиотерапии, в лечении локально распространенного рака поджелудочной железы со смешанными результатами (4, 5, 6, 7, 8). Непоследовательные результаты были получены при рассмотрении трех исследований, проведенных в 2000-х годах на пациентах, получавших (нео) адъювантный гемцитабин (таблица 1) (5, 7, 8). Федерация франкоязычных стран Канцерологии пищеварения и Общества французской онкологии (FFCD-SFRO) рандомизировала 119 пациентов с химиотерапией 60 Гр в 2 Гр на фракцию с еженедельными 5 ФУ и цисплатином на 1-й и 5-й неделях только с гемцитабином. Большое поле было обработано до 60 Гр без конуса вниз. Это сочеталось с ранее не тестировавшимися при одновременном назначении усиленной дозой химиотерапии. Не удивительно, что только 42% пациентов смогли получить 75% или более от запланированной параллельной дозы облучения и химиотерапии по сравнению с 73% в группе, получавшей только химиотерапию. Обе группы продолжали получать гемцитабин после этого до токсичности или прогрессирования. Медиана ОС была лучше в группе, принимавшей только один гемцитабин (13 против 8, 6 месяцев, р = 0, 03), что подрывало роль ОТ в лечении LAPC в эру гемцитабина. Следует отметить, что особенно интенсивный режим ЭЛТ, который привел к плохому соблюдению, затруднил интерпретацию. Другое недавнее исследование по сравнению химиотерапии с химиотерапией было проведено Восточной кооперативной онкологической группой (ECOG 4201). В этом исследовании сравнивалось химиолучевое лечение на основе гемцитабина с общей дозой 50, 4 Гр в 28 фракциях с последующим еженедельным приемом гемцитабина и только одного гемцитабина. Поля были уменьшены после 39, 6 Гр. Было рандомизировано 74 пациента до того, как их остановили из-за плохого начисления. Скромная средняя выживаемость была отмечена в группе химиолучевого облучения (11, 1 против 9, 2 месяцев) (8). Более высокая степень токсичности 4 была отмечена в группе ОТ, хотя комбинированные уровни токсичности 3-4 степени были сходными.

Таблица 1 Современные рандомизированные исследования традиционной фракционной лучевой терапии

Таблица в натуральную величину

Наибольшее влияние на клиническую практику оказывает исследование LAP 07 (7). После приема гемцитабина +/- эрлотиниба в течение 4 месяцев 269 пациентов были рандомизированы до 54 Гр при 1, 8 Гр на фракцию с одновременным введением капецитабина или еще 2 месяца гемцитабина. В отличие от исследований, упомянутых выше, поля были ограничены грубым заболеванием с запасом без дополнительного профилактического охвата лимфатических узлов. Медиана общей выживаемости не была улучшена путем добавления химиолучевой терапии (16, 5 против 15, 2 месяцев, р = 0, 083). Тем не менее, использование химиолучевой терапии было связано со снижением частоты локального прогрессирования заболевания (32% против 46%, р = 0, 03), более продолжительным интервалом до повторного начала терапии (6, 1 против 3, 7 месяцев, р = 0, 02) и тенденцией к улучшению выживаемость без прогрессирования (ЧСС = 0, 78, р = 0, 06). Это было достигнуто с приемлемой дополнительной токсичностью, главным образом тошнотой. В совокупности эти результаты показывают, что традиционное фракционированное химиолучевое излучение до 60 Гр может давать умеренную пользу от местного контроля, но только минимальное, если таковое вообще имеется, влияние на выживаемость. Причина, по которой польза от местного контроля не превращается в пользу для выживания, вероятно, многофакторна и, вероятно, в значительной степени зависит от высокого уровня метастазирования, наблюдаемого при этом заболевании. Однако другая возможность состоит в том, что, по крайней мере, для подгруппы пациентов с преимущественно прогрессирующим локорегиальным заболеванием, успехи в местном контроле не были достаточно значительными, чтобы изменить выживаемость. Это подчеркивает необходимость дальнейшего повышения дозы.

Отсутствие существенной пользы в сочетании с введением более активных системных схем, таких как FOLFIRINOX (9) (5-фторурацил, оксалиплатин, лейковорин, иринотекан) и гемцитабин и наб-паклитаксел (10), привели к сдвигу в большинстве академических делает упор на гораздо более избирательном применении химиотерапии со стандартной дозой, предпочитая более удобную радиотерапию с низкой дозой стереотаксической терапии (SBRT).

Уроки от 1 до 5 фракций опыта стереотаксической радиотерапии тела

Стереотаксическая радиотерапия тела (SBRT) позволяет с высокой точностью доставлять большие дозы радиации на небольшие объемы опухоли с помощью наведения изображения. Повышенная точность в сочетании с доказательством того, что более высокая доза на фракцию связана с лучшим местным контролем, привели к появлению схем с 1-5 фракциями. Данные по нескольким типам опухолей показывают, что для абляционного эффекта или> 90% длительного местного контроля необходимо вводить дозы по меньшей мере 100 Гр. SBRT получил широкое признание для целей с небольшой неопределенностью движения, таких как опухоли позвоночника или головного мозга. Это также привлекательный вариант для опухолей, возникающих в движущихся органах с параллельными функциональными субъединицами, таких как легкие или печень, где небольшое количество окружающих нормальных тканей печени или легких не имеет значительных клинических последствий. Напротив, абляционные дозы, доставляемые рядом с органом с последовательными функциональными субъединицами, такими как желудочно-кишечный тракт, невозможны без риска воздействия на функцию органа. Это особенно актуально для мест, где движение органов создает большую степень неопределенности относительно местоположения цели и чувствительных структур в любой момент времени. Для опухолей поджелудочной железы доставка дозы ограничена близостью радиочувствительных органов ЖКТ, прежде всего двенадцатиперстной кишки, тощей кишки и желудка, а также неопределенностью, создаваемой дыхательными движениями и повседневными различиями в форме органа просвета.

Неудивительно, что ранние исследования с использованием абляционных или почти аблятивных доз в 1-3 фракциях были связаны со значительными ранними и / или поздними побочными эффектами со стороны ЖКТ (Таблица 2). Фаза II исследования оценила SBRT одной фракции 25 Гр (BED 87, 5 Гр для альфа / бета = 10) у 16 пациентов, получавших гемцитабин в течение 1 цикла до и до прогрессирования в дальнейшем (11). Доза была назначена до планируемого объема лечения (PTV) с максимальными центральными дозами в диапазоне от 32 до 40 Гр (BED 134, 4 до 200 Гр). Лечение проводилось с помощью Cyberknife с использованием Synchrony для отслеживания в течение всего дыхательного цикла. Однолетняя свобода от местного прогрессирования (FFLP) составила 100%, но за счет поздней токсичности для желудочно-кишечного тракта. У 7 из 15 пациентов, выживших> через 4 месяца после SBRT (47%), развились осложнения со стороны желудка или двенадцатиперстной кишки 2-4 степени, включая 2 пациентов (13%) с явлениями 3-4 степени, причем все они произошли через 4-10 месяцев после SBRT.

Таблица 2 Репрезентативные исследования SBRT

Таблица в натуральную величину

В другом раннем сообщении о SBRT использовалось 45 Гр в 3 фракциях (BED 112, 5 Гр для альфа / бета = 10) у 22 пациентов (12). Здесь доза была назначена центру, при этом PTV покрывался линией изодозы 67%, получая 10 Гр × 3. Дыхательное движение контролировалось при сжатии брюшной полости. РТ доставляли с использованием стандартного линейного ускорителя (LINAC) с костной анатомией, используемой для проверки выравнивания. Размер PTV был значительно больше, чем в исследовании с одной фракцией, хотя размеры опухолей в обоих исследованиях были схожими. Разница в размере PTV, вероятно, была, по крайней мере частично, из-за остаточного движения, связанного с брюшной компрессией для управления движением. Локальный контроль составил 57% через 6 месяцев. Острая и поздняя токсичность была высокой у 79 и 94% соответственно, у 5 из 22 пациентов с тяжелым мукозитом или язвой желудка или двенадцатиперстной кишки, включая одну нефатальную перфорацию.

Хотя сравнение гипофракционированных схем с использованием линейной квадратичной модели может быть несколько неточным, в совокупности эти ранние опыты показали, что повышение дозы с использованием очень гипофракционированных схем (1-3 фракции) связано с избыточной токсичностью, которая в этом случае может еще более усугубляться любым неопределенности установки, включая остаточное дыхательное движение или использование больших расширений GTV в PTV для учета таких неопределенностей.

Для обеспечения безопасности клиницисты приняли схемы фракционирования 25-33 Гр за 3-5 фракций, что составляет всего 54, 78 Гр за ночь при использовании стандартного линейно-квадратичного преобразования. Проспективное мультиинституциональное исследование с использованием 33 Гр в 5 фракциях у 49 пациентов, получавших гемцитабин до (до 3 недель) и после SBRT, привело к минимальной острой и поздней токсичности для ЖКТ, 2 и 10% соответственно. К сожалению, 1-летний FFLP был только 78% со средним OS 13, 9 месяцев, что незначительно отличается от результатов, наблюдаемых при фракционированном химиолучевом облучении (13). Наш недавний ретроспективный анализ в одиночном учреждении показал сходные результаты с 33 Гр в 5 фракциях по сравнению с традиционными методами лечения 50, 4-56 Гр при 1, 8-2, 0 Гр на фракцию (14). Тем не менее, исследование с использованием базы данных Национального онкологического центра, в которую вошли 8450 пациентов с LAPC, показало умеренное улучшение ОС - 13, 9 против 11, 6 месяцев с SBRT, что привело к более скромному абсолютному эффекту через 2 года (21, 7% против 16, 5%, p. = 0, 0014), достигая статистической значимости из-за больших чисел (15). С преимуществом удобства для пациентов, SBRT с низкой дозой в 5 фракций является приемлемым стандартом сообщества. Тем не менее, он не соответствует цели длительного локального контроля опухоли, что может привести к значительному эффекту выживания.

Абляционная гипофракция: движение к новому стандарту

Любая надежда на улучшение результатов в LAPC требует увеличения дозы свыше 33 Гр за 5 фракций. Однако безопасная доставка более высокой дозы на фракцию как часть схемы с 5 фракциями при соблюдении нормальных ограничений ткани возможна только для немногих избранных пациентов с опухолями, удаленными от просвета желудочно-кишечного тракта. Опираясь на первые принципы радиобиологии, одним из способов достижения более высокой эффективной общей дозы при сохранении приемлемого риска токсичности является увеличение количества фракций. Следовательно, включение точности метода SBRT в более длительный курс является одним из способов продолжения усиления дозы в LAPC. Фракционирование также имеет дополнительное преимущество, заключающееся в «рандомизации» внутреннего ежедневного движения органов, что снижает вероятность того, что непреднамеренная высокая доза будет доставлена к нормальной структуре, которая может приблизиться к цели в любой день.

Другим концептуальным изменением, которое способствовало бы увеличению дозы, является отказ от цели однородности дозы с объемом лечения при планировании опухоли (PTV). Однородность дозы в качестве цели планирования в значительной степени перенесена из более традиционных подходов планирования. Когда на больших полях лечения находились как мишень, так и органы, подверженные риску, горячие точки в облученном объеме были нежелательны. Однако, когда планируемый объем лечения мал и ограничен опухолью, исключая все чувствительные нормальные структуры, горячая точка в этом объеме лечения не оказывает вредного воздействия. Напротив, наличие горячей точки может улучшить конформность распределения высокой дозы, что позволит увеличить дозу. Важно отметить, что центр опухоли обычно более гипоксичен, чем периферия, и, следовательно, более радиорезистентен. Горячая точка в более радиорезистентной части опухоли будет только полезна. Таким образом, наша новая стратегия планирования лечения представляет собой трехэтапный подход: (1) охватить как можно большую часть опухоли абляционной дозой, (2) расположить супраабляционные горячие точки в центре и (3) ограничить области, непосредственно прилегающие к Желудочно-кишечный тракт в безопасных дозах применяется при обычной лучевой терапии (рис. 1).

фигура 1
фигура 1

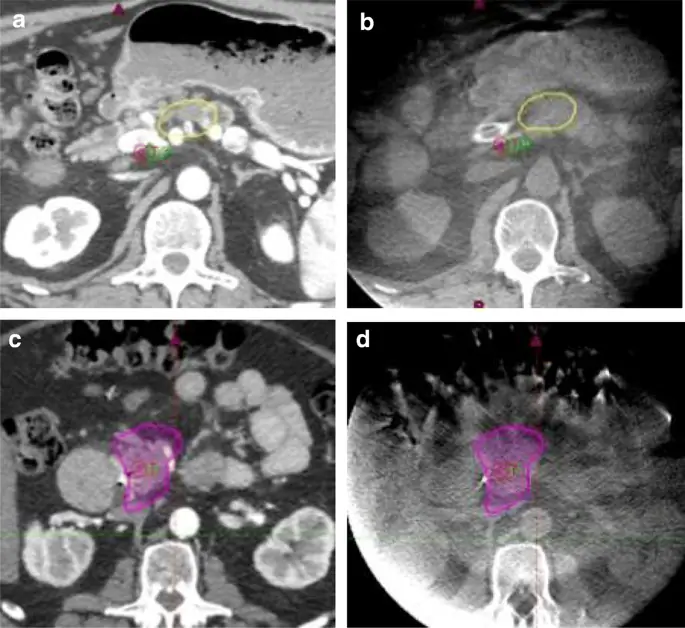
Контурирование и оценка плана. a и c Имитационные КТ, показывающие микроскопическую дозу GTV (голубой), высокой дозы PTV (красный) и PTV (желтый), а также желудок (оранжевый) с вырезанной структурой (коричневый), используемый для обеспечения исключения желудка из высокой дозы PTV как показывает белая стрелка. b и d Распределение дозы с наименьшей отображаемой дозой, установленной на критическую максимальную дозу дозы для желудка (60 Гр). Белая стрелка указывает на то, что линия изодозы 60Gy удалена от поверхности желудка, что было достигнуто путем создания PRV (не показано). c и d Пример, который включает дополнительную сверхвысокую дозу PTV (пурпурный)

Изображение в полном размере

Оригинальная серия, объединяющая эти концепции со стереотаксическими методами, предписывала 63-70 Гр в 28 фракциях или 67, 5 Гр в 15 фракциях; КРОВАТЬ 77, 2-97, 9 Гр. Умеренное дыхание с задержкой дыхания. Дыхательные врата с ежедневной задержкой дыхания. Для управления движением и наведения изображений использовалась бесплатная регистрация 3D-изображений CT-on-Rails. Беспрецедентная 3-летняя ОС 35% и 5-летняя ОС 18% значительно превышают исторический контроль, при этом <5% у нерезецированных пациентов выжили в течение последних 5 лет (16). Эти результаты выгодно отличаются от хирургической резекции у пациентов с менее распространенным местным заболеванием и являются принципиальным доказательством того, что определенные дозы облучения могут привести к значимой долгосрочной выживаемости. Продолжающееся клиническое испытание фазы II (NCT03523312) оценивает эти дозы перспективным способом.

Ежедневное адаптивное планирование с использованием новых линейных ускорителей MR является еще одним способом преодоления ограничений, связанных с движением желудочно-кишечного тракта. Эта технология позволяет визуализировать опухоль и критические структуры желудочно-кишечного тракта, а также дает возможность составить план дня, который максимизирует дозу для поджелудочной железы и соответствует ее органам желудочно-кишечного тракта, подвергающимся риску, по доле за долей (17) Этот метод, стереотаксическая адаптивная лучевая терапия под МР-контролем (18), использовался для доставки абляционных доз радиации (67, 5 Гр / 15 фракций; 50 Гр / 5 фракций) на основе оригинальных многообещающих результатов, полученных от доктора Андерсона, перечисленных выше (16). Когда их сравнивали с пациентами, получавшими неабляционные дозы облучения под МРТ, наблюдалось значительное преимущество в выживаемости: общая выживаемость с диагнозом 71% через 2 года у пациентов с SMART и 25% у пациентов со стандартной дозой (19). Кроме того, у пациентов с СМАРТ не было токсичности 3-й или более высокой степени, тогда как у 3 пациентов в стандартной неадаптивной группе токсичность 3-й или более высокой степени. Открытое проспективное мультиинституциональное исследование II фазы (NCT03621644), в котором исследуется 50 Гр в 5 фракциях с помощью SMART, и мы будем ждать этих результатов, чтобы увидеть, показывают ли они аналогичную эффективность.

Эта технология обеспечивает полезную платформу для дозирования эскалации опухолей поджелудочной железы без увеличения фракционирования. Проблемы с точки зрения населения - ограниченная доступность технологии и трудоемкость рабочего процесса, требующая времени врача / физика для каждой фракции. Для пациентов и учреждений, которые не имеют доступа к этой технологии, оптимизированное наведение конусного луча с 15-25 фракциями с адаптивным планированием по мере необходимости является более дружественным подходом к рабочему процессу.

Практические соображения

Методика абляционной гипофракции с использованием конус-луча

Наш текущий подход заключается в использовании IMRT с одновременным интегрированным повышением дозы (SIB), как правило, с 2 или 3 различными плановыми целевыми объемами (PTV) (микроскопическая доза, SIB для GTV и, если возможно, вторая SIB для более высокая доза до гипоксического очага). Мы преимущественно используем 15 или 25 фракций, основанные на близости к просвету желудочно-кишечного тракта. Для опухолей, расположенных в пределах 1 см от желудочно-кишечного тракта, мы используем режим с 25 фракциями, для опухолей, находящихся на расстоянии более 1 см от нас, мы используем режим с 15 фракциями, причем режим с 5 фракциями зарезервирован для очень избранных пациентов без близлежащих структур ЖКТ., Типичные схемы приведены в таблице 3. Ограничения дозы в кишечнике основаны на предыдущем анализе и перечислены в таблице 3 (20). С этими ограничениями на сегодняшний день не произошло ни одного случая кровотечения 4-й степени или более.

Таблица 3 Абсолютные определения рецепта лучевой терапии и ограничения нормальной ткани

Таблица в натуральную величину

моделирование

Мы моделируем пациентов в положении лежа на спине с индивидуальной иммобилизацией и поднятыми руками. Используя систему Varian RPM, мы получаем сканы глубокого вдоха с задержкой вдоха (DIBH) с диагностическим протоколом КТ поджелудочной железы (150 мл йодированного контраста при 5 мл / с) с визуализацией через 45 с после начала введения контраста и вторым изображением, полученным между Через 1 мин 30 с и через 2 мин после начала введения контрастного болюса. Этот метод позволяет максимально усилить контраст окружающей паренхимы вокруг опухоли, а также артериальное и портальное венозное усиление при первом сканировании, которое обычно используется в качестве плановой компьютерной томографии.

Контурная

Наиболее важным аспектом контурирования является исключение всех органов, подверженных риску (OAR) с дополнительным запасом прочности из PTV с высокой и сверхвысокой дозой (рис. 1, таблица 3). Для этого мы очерчиваем три органа желудочно-кишечного тракта, подверженных риску, которые имеют различные ограничения в процессе планирования: (1) желудок с первыми двумя сегментами двенадцатиперстной кишки, (2) остальная часть тонкой кишки и (3) толстая кишка. Поля от 3 до 5 мм добавляются для создания соответствующих плановых объемов OAR (PRV), которые будут использоваться в качестве структур предотвращения во время планирования. Чтобы создать высокую дозу PTV, к валовому объему опухоли (GTV) первичной опухоли добавляется поле 0-5 мм, затем исключаются все группы риска (OAR) с дополнительным запасом прочности 5-7 мм. Точный запас зависит от длины границы между опухолью и OAR, при этом большие поля используются для случаев с более обширным абатментом. В этом процессе край высокой дозы PTV будет отделен от PRV как минимум на 2 мм, что эффективно предотвратит падение градиента высокой дозы непосредственно рядом с чувствительным органом, где небольшая неопределенность может поставить орган под угрозу в пределах область очень высокой дозы (рис. 1б, г). Чтобы создать микроскопическую дозу PTV, мы сначала создаем CTV, расширяя GTV первичной опухоли и вовлеченных узлов на 1 см, включая чревную ось и верхние узловые бассейны брыжеечной артерии в CTV. и затем добавление 5-миллиметрового запаса неопределенности установки. В соответствующем клиническом контексте также могут быть включены узловые раковины porta hepatis и hilum. В некоторых случаях, когда опухоль достаточно велика и GTV не включает желчные протоки или аорту, очень высокая доза PTV создается путем сокращения высокой дозы PTV на 1 см.

Двойная цель DIBH

Управление как дыхательным, так и повседневным движением внутренних органов имеет первостепенное значение. В MSK в настоящее время мы используем дыхательный строб DIBH с использованием системы RPM Varian с ежедневной регистрацией изображений конусно-лучевой КТ (CBCT) DIBH. Наличие фидуциальных маркеров или металлического желчного стента не требуется. DIBH является решением для внутрифракционного движения и позволяет получать высококачественные ежедневные снимки CBCT за счет устранения артефактов движения. КЛКТ используются для проверки целевого положения, а также ежедневных изменений в положении соседнего просвета желудочно-кишечного тракта. Последний используется для выбора случаев для адаптивного планирования, как описано ниже.

Следует отметить, что, несмотря на использование DIBH, некоторые CBCT обеспечивают плохую визуализацию просвета желудочно-кишечного тракта из-за других источников артефактов, таких как просветной газ и перистальтика. Тем не менее, дополнительное преимущество мультифракционного режима заключается в том, что небольшое количество фракций, при которых дозы в желудочно-кишечном тракте являются неопределенными, не изменяют профиль риска общего плана лечения. Таким образом, такие сканирования не обязательно будут вызывать задержки лечения, пока можно проверить положение цели. Процесс использования КЛКТ для оценки положения органа ЖКТ описан в следующем разделе.

Другие методы управления движением и наведения изображения могут быть использованы в зависимости от наличия технологии и квалификации конкретного центра. К ним относятся стробирование, отслеживание опухоли или сжатие живота для управления дыхательными движениями. В дополнение к CBCT, CT-on-Rails или MRI могут использоваться для наведения изображения. Для всех методов наведения изображения управление движением уменьшит артефакт.

Выборочное адаптивное планирование

Адаптивное планирование используется как решение для неслучайного движения желудочно-кишечного тракта. Мы оцениваем ежедневное движение органа, используя ежедневный CBCT, спроецировав линию изодозной максимальной дозы (Таблица 3) как структуру наших ежедневных CBCT (Рис. 2). Положение желудка, двенадцатиперстной кишки, тощей кишки и толстой кишки относительно прогнозируемых IDL легко заметить. Адаптивное планирование запускается, когда одна и та же часть органа пересекает линию изодозы более трети времени. Такое избирательное адаптивное планирование было подтверждено опытом последних 10 лет. Такой подход минимизирует количество адаптивных планов и повышает операционную эффективность. Наиболее распространенные причины адаптивного планирования связаны с газом в желудке, неслучайным движением тощей кишки и газом в луковице двенадцатиперстной кишки. Когда необходим адаптивный план, CBCT, слитый с CT моделирования, может использоваться для изменения контуров OAR на CT моделирования и перепланировки без повторения моделирования.

фигура 2
фигура 2

CBCT используются для проверки целевого положения, а также ежедневных изменений в положении соседнего просвета желудочно-кишечного тракта. Симуляционные КТ двух пациентов, отображающие критическую максимальную дозу для желудка (желтый) (а) и тонкой кишки (пурпурный) (в). Соответствующие изображения DIBH CBCT с одинаковыми линиями изодозы (b и d) показаны справа. На положение желудка может повлиять наполнение пищей и воздухом (а и б), в то время как двенадцатиперстная кишка очень воспроизводима (в и г)

Изображение в полном размере

Параллельная химиотерапия

До настоящего времени большинство пациентов, получавших абляционную гипофракционную технику, получали одновременную радиосенсибилизирующую химиотерапию. Текущий стандарт MSKCC - пероральный капецитабин два раза в день в дни облучения. Основные токсические эффекты включают тошноту, усталость, диарею и симптомы кистей и стоп. Точный вклад радиосенсибилизации в аблятивную лучевую терапию не известен, но есть возможные преимущества как для контроля над местными заболеваниями, так и для системного заболевания.

Современные методы стереотаксической МР-направленной адаптивной лучевой терапии

Важные аспекты симуляции

Пациенты моделируются с удерживанием дыхания под контролем, лежа на спине, одной рукой вверх или обеими руками вниз, чтобы обеспечить комфорт во время лечения. IV контраст используется так же, как и выше.

Контурирование / GI OARs

Наиболее важным аспектом контурирования является выявление желудка, двенадцатиперстной кишки, тонкой и толстой кишки в пределах 3 см от CTV. CTV включает грубую опухоль, щедро очерченную для включения верхней брыжеечной артерии и чревной артерии, когда это возможно. CTV увеличивается на 3 мм для создания PTV.

Роль управления движением МРТ

Управление движением и точность доставки лечения важны в этих высоких дозах лечения. Используемый линейный ускоритель MRI автоматически обрабатывает 4 изображения в секунду, что позволяет пациенту лечиться с помощью управляемых задержек дыхания или стробирования на свободном дыхании, основываясь на комфорте пациента.

Ежедневное адаптивное планирование

Ежедневное адаптивное планирование является отличительной чертой этой техники. На каждой фракции пациент подвергается смене кушетки, чтобы выровнять CTV на основе симуляции. В это время GI OAR перенастраиваются в пределах 3 мм от PTV. Новый план генерируется всякий раз, когда объем каждой OI GI превышает 1 куб. См выше 33 Гр для обработки с 5 фракциями. Каждая фракция оценивается отдельно, поскольку еще не существует технологии, позволяющей деформируемо отобразить дозу между различными петлями кишечника.

Выводы

Парадигмы лечения местно-распространенной аденокарциномы поджелудочной железы значительно изменились за последние несколько лет, в основном благодаря расширенным возможностям химиотерапии. Аналогичным образом, с появлением SBRT произошли значительные улучшения в методах проведения лучевой терапии. Однако потенциал, предлагаемый этими методами, не был полностью использован с обычно используемыми схемами SBRT 1-5 фракций. Эти технологические достижения позволяют вводить дозы радиотерапии, которые по меньшей мере в 1, 5 раза более эффективны, чем схемы с обычным фракционированием или обычно используемые схемы SBRT с малой дозой 1-5 фракций, и, по прогнозам, являются абляционными. Множественные серии исследований в одном учреждении показывают многообещающие ранние результаты, и существуют продолжающиеся исследования фазы II, в которых исследуется абляционная радиация с использованием подходов, основанных на CBCT и MR.

Доступность данных и материалов

Непригодный.

Сокращения

ПОСТЕЛЬ:
Биологически эффективная доза
CBCT:
Конус луч КТ
CTV:
Объем клинического лечения
DIBH:
Задержка дыхания глубокое вдохновение
ECOG:
Восточная кооперативная онкологическая группа
FFCD-SFRO:
Федерация франкоязычных стран Канцерологии Пищеварительная и Французская радиологическая терапия Онкология
FFLP:
Свобода от местной прогрессии
FOLFIRINO ×:
5-фторурацил, оксалиплатин, лейковорин, иринотекан
GTV:
Общий объем опухоли
LAPC:
Местно распространенный неоперабельный рак поджелудочной железы
LINAC:
Линейный ускоритель
ВЕСЛО:
Орган в опасности
ОПЕРАЦИОННЫЕ СИСТЕМЫ:
Общая выживаемость
PRV:
Планирование органов в объемах риска
PTV:
Планирование объема лечения
SBRT:
Стереотаксическая радиация тела
SIB:
Одновременно встроенный буст
УМНЫЙ:
Адаптивная лучевая терапия стереотаксической МР-терапии