Декомпрессивная краниэктомия при остром ишемическом инсульте

Декомпрессивная краниэктомия при остром ишемическом инсульте
Декомпрессивная краниэктомия при остром ишемическом инсульте

Злокачественный инсульт возникает в подгруппе пациентов, страдающих ишемическим инфарктом головного мозга, и характеризуется неврологическим ухудшением вследствие прогрессирующего отека, повышенного внутричерепного давления и церебральной грыжи. Декомпрессивная краниэктомия (ДК) - это хирургическая методика, направленная на то, чтобы открыть «закрытую коробку», представленную нерасширяющимся черепом, в случаях рефрактерной внутричерепной гипертензии. В армаментарии это ценный метод лечения пациентов со злокачественным инсультом: спасительный эффект был доказан как для супратенториального, так и для инфратенториального ДК практически во всех возрастных группах. Это оставляет врачей с трудной задачей, чтобы решить, кому потребуется ранняя или упреждающая операция и кому может быть полезно отложить операцию до тех пор, пока не появятся явные признаки ухудшения состояния. Вместе с родственниками пациента врачи также должны выяснить, будет ли у пациента приемлемая инвалидность и качество жизни в его или ее предполагаемом восприятии, основываясь на предоперационных прогнозах. Этот сложный процесс принятия решений может управляться только междисциплинарными усилиями и должен поддерживаться постоянными исследованиями в эпоху персонализированной медицины.

Фон

Вступление

Первичные поражения головного мозга могут привести к отеку мозга и внутричерепной гипертонии, которые являются основными механизмами вторичного повреждения головного мозга и, следовательно, значительными детерминантами смертности и плохого исхода. С появлением современной нейрохирургии и интенсивной терапии старая методика декомпрессивной краниэктомии (ДК), то есть хирургическое вскрытие черепа для снятия повышенного внутричерепного давления (ВЧД), была усовершенствована и поставлена в центр клинических исследований, особенно в областях черепно-мозговая травма (ЧМТ) и ишемический инфаркт головного мозга. Этот обзор предоставит детальное понимание истории и доказательной базы DC для острого ишемического инсульта, статус-кво этого варианта лечения в современной междисциплинарной помощи при инсульте, и стимулирующую перспективу на будущее.

история

Трепанация является самой ранней техникой вскрытия черепа, и ее можно проследить, по крайней мере, до 12000 лет до нашей эры, о чем свидетельствуют открытие примитивных хирургических инструментов, соответствующих дефектов черепа, свидетельство заживления кости или даже краниопластика на человеческих черепах (1). Были ли такие древние операции по лечению ЧМТ или частью религиозных ритуалов, остается исторической загадкой. Однако самые ранние патофизиологические концепции и хирургические методы, напоминающие наше современное понимание ДК, были опубликованы в начале двадцатого века. В 1901 году Теодор Кохер заявил, что «снижение давления с помощью хирургической трепанации четко показано во всех случаях внутричерепной гипертонии» (2). Хотя он прежде всего ссылался на ЧМТ, он далее уточняет, что «пришло время действовать в любом случае повреждения головного мозга, приводящего к прогрессирующим и тяжелым неврологическим нарушениям». В 1908 году Харви Кушинг точно описал первичное и вторичное повреждение головного мозга и, таким образом, проложил путь к своей концепции субвременного ДК для ЧМТ (3): «(…) симптомы большинства из этих случаев вызваны повышением внутричерепного давления, будь то немедленная от свободной экстравазации из-за разрыва корковых сосудов, промежуточная, часто со «свободным интервалом» сознания, когда экстравазация вне твердой мозговой оболочки медленно увеличивается в размерах, или поздняя, часто за несколько дней, когда церебральный возникает отек. Действительно, во многих случаях симптомы этих различных состояний незаметно переходят друг в друга. Явления сжатия настолько хорошо понятны, что их не нужно детализировать; замедленный пульс, повышение артериального давления, головная боль, рвота и удушье диска являются наиболее типичным видом в этих случаях. (…)». Хотя эти первоначальные трактаты по декомпрессионным операциям в основном касались ЧМТ, знания об ишемическом инсульте и последующих отеках увеличились в последующие десятилетия, и первые сообщения о ДК в этой области начали появляться в 1950-х годах (4, 5). В 1974 году Энрике С. Ивамото и его коллеги опубликовали подробный отчет о случаях декомпрессивной гемикраниэктомии при инфаркте злокачественной средней мозговой артерии (MCA) (6). Они предоставили измерения ICP до, во время и после операции, указывая на значительное облегчающее влияние DC на внутричерепную гипертензию (рис. 1). Кроме того, авторы представили первый систематический обзор DC для 17 случаев церебрального и 4 случаев инфаркта мозжечка, заключив, что обширный ишемический инсульт может вызывать значительный отек головного мозга и, следовательно, серьезные эффекты давления. Тем не менее, они подчеркнули, что в отсутствие контролируемого исследования преимущества DC для инфарктов головного мозга или мозжечка не являются окончательными. По крайней мере, для переднего кровообращения такие рандомизированные контролируемые исследования (РКИ) были наконец проведены в 2000-х годах.

фигура 1
фигура 1

Постепенное снижение ICP во время DC. Репрезентативные измерения ICP, полученные во время ДК, выполнены для 11-летнего мальчика, страдающего рефрактерной внутричерепной гипертензией. Удаление костного лоскута снижает ICP на 66% с 30 до 10 мм рт.ст., после чего следует дальнейшее снижение на 50% до 5 мм рт.ст. после открытия твердой мозговой оболочки

Изображение в полном размере

Хотя сущность ишемического инсульта мозжечка впервые была описана в конце 1930-х годов (7), первые сообщения о случаях субокципитальной декомпрессии были опубликованы в 1956 году (8, 9). В 1970 г. Джеймс Р. Лерих и его коллеги опубликовали подробную серию случаев пациентов со сдавлением ствола мозга, вторичным по отношению к ишемическому инсульту мозжечка, вместе с обзором литературы, выступая за раннюю диагностику и хирургическое лечение этого опасного для жизни состояния (10).

Определения злокачественного инфаркта головного мозга

Окклюзия внутренней сонной артерии (ICA) или MCA приводит к значительному ишемическому инфаркту головного мозга, что составляет примерно 10% случаев супратенториального ишемического инсульта (11). Повышенная плотность более 50-75% территории MCA, включая базальные ганглии, вовлечение дополнительных сосудистых территорий и смещение средней линии головного мозга более чем на 4 мм на уровне шишковидной железы в первые 48 ч указывают на опасный для жизни объем инфаркта злокачественный инфаркт головного мозга (12, 13). Неврологическое ухудшение наступает в течение 5 дней, с наибольшей частотой смертей из-за траненториальной грыжи и последующей смерти мозга на 3-й день после иктуса (14). Смертность от злокачественного инфаркта МКА составляет около 80% без нейрохирургического вмешательства (15).

Характер артериальной окклюзии, обнаруженный при ишемическом инсульте мозжечка, является более вариабельным. Тем не менее, 20% пациентов страдают от злокачественного инсульта мозжечка с клиническим ухудшением из-за отека, сдавления ствола мозга, грыжи вверх и вниз и окклюзионной гидроцефалии (16). В тяжелых случаях, как правило, обнаруживаются двусторонний инфаркт мозжечка, окклюзия задней нижней мозжечковой артерии (PICA) и дополнительный инфаркт ствола мозга (17).

Технические аспекты DC

Хирургическая техника для супратенториального ДК

В отличие от черепно-мозговой травмы, ишемический инсульт, как правило, поражает одно полушарие головного мозга, и, таким образом, целью операции является декомпрессия соответствующей области (рис. 2). Поэтому типичной операцией, выполняемой у таких пациентов, является лобно-височно-теменная декомпрессивная гемикраниэктомия. Хотя технические детали, конечно, различаются у отдельных хирургов или центров, этот краткий план описывает типичную операцию: процедура выполняется в положении лежа на спине, голова повернута в противоположную сторону. Широкий изогнутый разрез выполняется либо за ухом, либо перед ним (рис. 3а). Лоскут скальпа и височная мышца затем отклоняются, чтобы обнажить череп. Отверстия для заусенцев создаются и впоследствии соединяются для достижения передне-заднего диаметра области краниэктомии не менее 12 см, при этом рекомендуемый диаметр у взрослых пациентов с ЧМТ составляет 15 см (рис. 3b) (18). Наконец, DC расширяется, чтобы обнажить дно средней черепной ямки (Fig. 3c). Краниэктомия подходящего размера необходима для достижения желаемого декомпрессивного эффекта. Более того, неоптимальный ДК приведет к обострению внешней грыжи головного мозга и сдвиговых сил на краях кости, что может вызвать внутрипаренхиматозное кровоизлияние и излом мозговых вен (19).

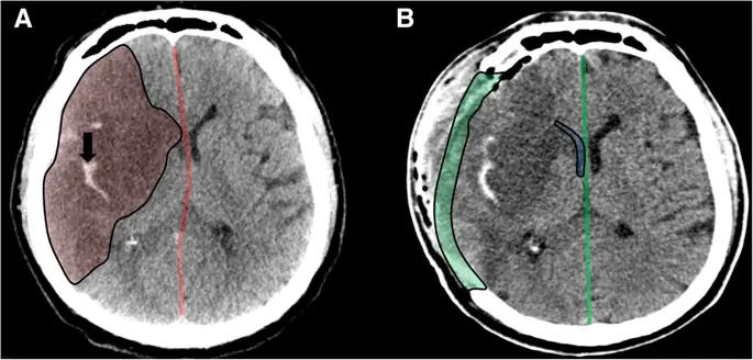
фигура 2
фигура 2

Декомпрессивная гемикраниэктомия при злокачественном ишемическом инсульте. Аксиальная компьютерная томография перед операцией (а), демонстрирующая четко выраженный правосторонний инфаркт MCA (выделено красным) с геморрагическим преобразованием (черная стрелка) и смещением средней линии влево (красная линия). Аксиальная компьютерная томография после операции (b), показывающая дефект краниэктомии (выделено зеленым цветом) с декомпрессированным боковым желудочком (выделено синим цветом) и реверсирование сдвига средней линии (зеленая линия)

Изображение в полном размере

Рисунок 3
Рисунок 3

Оперативная техника супратенториального округа Колумбия. Исполнение художника человеческой головы (а) с типичной линией разреза для DC (серая линия). Трехмерная реконструкция человеческого черепа (б) с демонстрацией заусенцев (серые круги), краниэктомии (серая область) и дополнительной остеокластической декомпрессии дна средней черепной ямки (заштрихованная область), а также типичного разреза дурала (красные линии). Трехмерная реконструкция человеческого черепа (с) с типичным дефектом черепа при гемикраниэктомии. Интраоперационная фотография мозга человека после ДК (г)

Изображение в полном размере

После достижения достаточной костной декомпрессии твердая мозговая оболочка разрезается для создания большого дурального отверстия (рис. 3б, г). Для покрытия обнаженного мозга могут быть использованы аллогенные или аутологичные дуральные трансплантаты.

Хирургическая техника для инфратенториального ДК

По сравнению с супратенториальным ДК технические детали субокципитального или инфратенториального ДК установлены менее четко. Важные аспекты, такие как общий размер краниэктомии, латеральность декомпрессии и необходимость резекции задней дуги атласа, различаются в опубликованной литературе. Однако основной хирургической целью является декомпрессия над опухшим мозжечком (рис. 4).

figure4
figure4

Субокципитальная декомпрессивная краниэктомия при злокачественном инсульте мозжечка. Аксиальная компьютерная томография перед операцией (а), показывающая большой демаркационный инфаркт мозжечка (выделено красным). Осевая КТ после операции (b), демонстрирующая дефект краниэктомии (выделено зеленым) и декомпрессированный четвертый желудочек (выделено синим)

Изображение в полном размере

Как правило, эта процедура выполняется с пациентом в положении лежа или полулежа / боковой. Линейный срединный разрез сделан от иона к верхнему шейному отделу позвоночника, и мышечные слои впоследствии разделены в срединной аваскулярной плоскости (рис. 5а), обнажая субокципитальный череп, атланто-затылочную мембрану и задний свод атласа. Выполняется широкая краниэктомия, распространяющаяся на большое отверстие (рис. 5б). В качестве следующего шага, чтобы избежать грыжи миндалин, мы обычно удаляем заднюю арку атласа (рис. 5б). Твердая мозговая оболочка затем обычно открывается Y-образным способом, и выполняется дуропластика расширения (Fig. 5c).

figure5
figure5

Оперативная техника инфратенториального ДК. Исполнение художника человеческой головы (а) с типичной линией разреза для субокципитального DC (серая линия). Трехмерная реконструкция человеческого черепа (б) с демонстрацией заусенцев (серые круги), краниэктомии и удалением задней дуги атласа (серые области), а также типичного разреза дурала (красные линии). 3D реконструкция человеческого черепа (с) с типичным субокципитальным дефектом черепа DC

Изображение в полном размере

Хранение костных лоскутов и краниопластика

После супратенториального ДК костные лоскуты сохраняются в стерильных условиях для аутологичной краниопластики на более поздней стадии. Двумя наиболее распространенными вариантами сохранения костного лоскута являются хранение при низкой температуре (обычно - 80 ° C или ниже) или имплантация в брюшную полость подкожной клетчатки пациента. Поскольку оба метода осуществимы и безопасны, никакие рекомендации, основанные на фактических данных, не могут быть предоставлены (20).

У пациентов, перенесших субокципитальный ДК, костные лоскуты не сохраняются, поскольку краниопластика обычно не выполняется, поскольку дефект краниэктомии покрывается мышцами шеи и не возникает косметической деформации или риска внешних повреждений.

Хотя краниопластика не является основной целью данного обзора, она является неотъемлемой частью хирургического лечения супратенториального инсульта и должна приниматься во внимание при принятии решений о лечении и консультировании пациентов и их родственников. Процедура имеет соответствующую частоту осложнений 30%, при этом примерно каждый четвертый больной нуждается в ревизионной операции (21). Наиболее распространенными осложнениями являются инфекция, разрушение раны и послеоперационное кровотечение. Ранняя краниопластика (т.е. через 2 месяца после ДК), по-видимому, связана с более высокой частотой осложнений (22). Еще одним важным фактором, определяющим частоту повторных операций, является тип краниопластики: аутологичная краниопластика имеет значительную частоту резорбции кости (особенно у детей) и, следовательно, недостаточность имплантата, часто требующую ревизионной операции с имплантацией аллопластического специфического для пациента имплантата (рис. 6).) (23, 24). В настоящее время нет основанных на фактических данных рекомендаций относительно использования аутологичных костных лоскутов по сравнению с аллопластическими имплантатами, а сложные взаимосвязи между основным заболеванием, возрастом пациента, типом имплантата и методом консервации, а также сроками краниопластики до конца не поняты.

figure6
figure6

Краниопластика и резорбция аутологичного костного лоскута. Трехмерная реконструкция черепа 57-летнего пациента мужского пола после аутологичной краниопластики после ДК для левостороннего злокачественного инфаркта МКА (а). Через год (б) произошли значительные участки резорбции костного лоскута (выделены красным). Объясненный аутологичный костный лоскут (с) показывает общее истончение и явные отверстия из-за резорбции. Типичный пример аллопластического имплантата (d) после правостороннего ДК у другого пациента (11-летний мальчик после ЧМТ)

Изображение в полном размере

Супратенториальный злокачественный ишемический инсульт у взрослых

Лучшее доступное доказательство: рандомизированные контролируемые исследования

До сегодняшнего дня, насколько нам известно, результаты восьми РКИ, исследующих роль DC в злокачественном инсульте MCA, доступны для анализа, которые суммированы в таблице 1 (25, 26, 27, 28, 29, 30, 31, 32). В период с 2007 по 2009 год были опубликованы результаты первых трех РКИ (DESTINY, DECIMAL и HAMLET) (25, 26, 27), а объединенный анализ пациентов в возрасте от 18 до 60 лет, перенесших ДК, в течение 48 ч после начала инсульта был выполнено (33). Этот объединенный анализ выявил значительное преимущество во всех предопределенных подгруппах (например, возраст выше и ниже 50 лет, время до рандомизации выше и ниже 24 ч и доминантное по сравнению с недоминантным полушарием) с количеством, необходимым для лечения 4 для предотвращения плохой результат (т. е. mRS 4-6) и 2 для выживания. В хирургическом отделе вероятность выживания увеличилась с 30 до 80%, хотя вероятность выживания увеличилась в 10 раз с модифицированной оценкой по шкале Ранкина (mRS), равной 4, что означает инвалидность средней тяжести, требующую помощи со стороны лиц, осуществляющих уход. Однако вероятность выживания с mRS ≤ 3 (т. Е. С легкой или умеренной инвалидностью) удваивалась, и риск выживания с mRS 5 (т. Е. С тяжелой инвалидностью) оставался стабильным по сравнению с консервативным лечением. Объединенный анализ всех РКИ, предоставляющих информацию о смертности через 12 месяцев наблюдения, показывает постоянное и значительное преимущество ДК (рис. 7) при снижении риска почти на 50%.

Таблица 1 Обзор РКИ, исследующих роль DC в злокачественном инфаркте MCA. Основные характеристики исследования были взяты из соответствующих публикаций. Возраст пациента и время рандомизации или время DC после начала инсульта сравниваются между протоколом и фактическими результатами. Информация о лечении рук и первичной конечной точки предоставляется

Таблица в натуральную величину

figure7
figure7

Смертность через 12 месяцев после инфаркта ЗКА. Лесной участок, представляющий разницу риска и 95% доверительный интервал (ДИ) для объединенного анализа смертности через 12 месяцев от РКИ, сравнивающих ДК и лучшую медицинскую помощь

Изображение в полном размере

Возраст пациента

Основным ограничением обобщения результатов РКИ оказалось возраст. В 2012 году Rahme и его коллеги проанализировали большую группу из эпидемиологического исследования в Северной Америке, касающегося населения, в отношении соответствия критериям вышеупомянутых РКИ (34). Среди более чем 2000 случаев ишемического инсульта менее 1% соответствовали критериям включения, при этом почти 80% пациентов были выше предельного возраста. Следовательно, в последующих РКИ возрастной предел был увеличен до 80 лет, или в исследованиях вообще не было возрастных ограничений (28, 29, 30, 31). В исследование DESTINY II были включены пациенты со средним возрастом 70 лет, и оно было прекращено на ранней стадии, поскольку стало очевидным значительное преимущество DC (31). Подобно предыдущим РКИ, у оставшихся в живых имелось соответствующее бремя инвалидности: 32% пациентов имели mRS 4 и 19% mRS 5 через 12 месяцев наблюдения. Однако, если принять во внимание данные нерандомизированных исследований, результаты пациентов в возрасте 60 лет и старше оказываются хуже, чем у более молодых пациентов (35). Напротив, анализ большой базы данных о японских пациентах с ДК показывает отсутствие возрастных различий в исходе, причем 80% старше 60 лет в этой группе (36).

Доминантное и недоминантное полушарие головного мозга

Как упомянуто выше, объединенный анализ DESTINY, DECIMAL и HAMLET выявил значительное преимущество независимо от наличия афазии (33). Тем не менее, грубые результаты оценки, такие как mRS, могут оказаться недостаточными для детальной оценки воздействия афазии и ее последствий для качества жизни. Кастрау и его коллеги опубликовали тщательную оценку афазных синдромов после ДК для злокачественного инфаркта МКА в доминантном полушарии (37). Они обнаружили переменное, но существенное улучшение у более чем 90% пациентов, причем у более молодых пациентов и тех, кто лечился раньше, лучше.

Сроки DC

Целью HAMLET было оценить влияние DC в течение 4 дней после начала инсульта, в отличие от большинства других РКИ с гораздо более короткими временными рамками (Таблица 1) (27). У пациентов, рандомизированных спустя более 48 ч после появления симптомов, не было обнаружено значительного эффекта в отношении смерти или плохого исхода: абсолютное снижение риска составило только 8%, соответственно, по сравнению с 59% и 30% для пациентов, рандомизированных в течение 48 лет. час Объединенный анализ DESTINY, DECIMAL и HAMLET включал только пациентов, получавших лечение в течение 48 часов, и сравнивал подгруппы, рандомизированные в течение и после 24 часов (33). DC был полезен в обеих подгруппах, без существенных различий в результате.

Dasenbrock и коллеги проанализировали большую национальную базу данных о 1300 пациентах, проходящих ДК в рамках обычной медицинской помощи, то есть вне клинических испытаний (38). Они обнаружили, что 56% пациентов перенесли DC в течение 48 часов, но худшие результаты наблюдались только в том случае, если операция была выполнена через 72 часа после начала инсульта. Интересно отметить, что сроки не были значимым детерминантом исхода в подгруппе без признаков церебральной грыжи. Тем не менее, было обнаружено значительное взаимодействие между временем, грыжей и исходом, что позволяет предположить, что выполнение DC до грыжи является наиболее важным временным фактором. Эта клиническая парадигма подтверждается патофизиологическими концепциями, поскольку увеличение отека головного мозга и повышение ICP приводят к нарушению церебральной перфузии в неишемической паренхиме как части каскада, известного как вторичное повреждение головного мозга (39). Наша группа продемонстрировала, что ДК улучшает церебральную перфузию в полутени, в остаточной ипсилатеральной паренхиме и в контралатеральном полушарии (40).

Следует отметить, что Чо и его коллеги опубликовали небольшой ретроспективный анализ пациентов, перенесших ультра-раннее ДК в среднем за 4, 25 ч после начала инсульта (41). Смертность в этой ультраранней группе составила всего 8%, по сравнению с 38%, наблюдаемыми у тех, кто получал лечение позже, то есть в среднем за 68, 25 часа. Хотя это исследование демонстрирует техническую осуществимость выполнения таких ранних операций, результаты следует интерпретировать с осторожностью. Может быть трудно надежно идентифицировать кандидатов на ДК так рано после начала инсульта, подразумевая, что подгруппа может включать пациентов, которые не нуждались бы в ДК в соответствии с общепринятыми критериями.

Мониторинг ДЦП и вторичных вмешательств

Значение мониторинга ICP после DC для ишемического инсульта является предметом постоянных дискуссий. Протоколы лечения в РКИ расходятся по этому аспекту, например, DESTINY рекомендует и DECIMAL не рекомендует инвазивный мониторинг ICP. Совиньи и его коллеги проанализировали данные ДЦП после ДК на предмет злокачественного инфаркта МКА и продемонстрировали значительную разницу в средних значениях ДЦП между подгруппами с хорошим (mRS ≤ 4, среднее значение ICP 11, 7 мм рт.ст.) и плохим исходом (mRS 5 + 6, среднее значение ICP 18, 7 мм рт.ст.) (42). Терапевтические последствия повышенного ВЧД могут быть различными: Палдор и его коллеги сообщали о частых эпизодах внутричерепной гипертонии после ДК, которые лечились с помощью мер интенсивной терапии, таких как дренирование спинномозговой жидкости, модификация седации, гиперосмотическая терапия, охлаждение, повышение головы, и умеренная гипервентиляция (43). В исследованиях Schwake с соавторами, а также с Кюртеном и соавторами повышенный уровень ДЦП после ДК даже вызвал вторичную санацию инфарктной ткани, и было обнаружено, что это вмешательство, по крайней мере, снижает уровень летальности (44, 45).

Хирургические осложнения ДК

Хирургические осложнения ДК могут возникать на любой стадии, но обычно подразделяются на ранние (т. Е. При первоначальном поступлении при остром инсульте) и поздние осложнения (на подострой и восстановительной фазах). Их следует отличать от церебральной грыжи и смерти мозга, возникающих у пациентов после ДК, так как это обычно является результатом самого оскорбления, а не связано с лечением. С патофизиологической точки зрения хирургические осложнения после ДК в основном связаны с кровоизлиянием, инфекцией, нарушением спинномозговой жидкости и судорогами. Представленные показатели, по-видимому, ниже в РКИ (таблица 2) по сравнению с общей литературой, как резюмировал Курланд и его коллеги (46). По сравнению с хирургическими осложнениями, общие осложнения (такие как пневмония, инфекции мочевыводящих путей и венозный тромбоз) встречаются чаще (26).

Таблица 2 Хирургические осложнения после супратенториального ДК. Данные о хирургических осложнениях были получены из публикаций РКИ. Сопоставимая информация была найдена только в трех статьях, и были рассчитаны репрезентативные проценты для наиболее значимых осложнений.

Таблица в натуральную величину

Пациенты со злокачественным инсультом могут считаться группой высокого риска для геморрагических осложнений, так как 40% находятся на предшествующем антиагрегантном лечении и 45% получают внутривенную тромболитическую терапию (47). Приблизительно у 10% пациентов будут по крайней мере рентгенологические признаки эпидурального кровоизлияния после ДК, и лишь небольшая часть пациентов нуждается в ревизионной операции (46). Геморрагическая трансформация ишемического инсульта происходит от 30 до 60%, причем значительная часть присутствует уже до ДК (рис. 2) (47, 48). Антиагрегантная терапия, но не внутривенный тромболизис, по-видимому, является фактором риска периоперационного кровоизлияния (47). Внутриартериальный тромболизис и тромбэктомия до ДК, по-видимому, не увеличивают риск кровоизлияния (49).

Инфекции в месте операции или в центральной нервной системе наблюдаются менее чем у 10% пациентов после ДК, включая раневые инфекции, эмпиему и церебральный абсцесс (46). В РКИ такие инфекционные осложнения были редкими и включали поверхностную раневую инфекцию и абсцесс головного мозга (26, 32). Если для мониторинга ВЧД используется внешний желудочковый дренаж, потенциальный риск вентрикулита со временем возрастет, особенно при длительном дренировании, превышающем 1 неделю (50). Использование желудочковых катетеров, пропитанных антибиотиками, может минимизировать этот риск до уровня менее 5% (51).

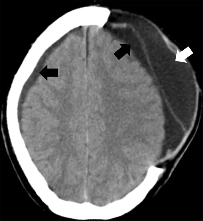
Нарушения спинномозговой жидкости (CSF) часто встречаются после ДК для инфаркта головного мозга: от 20 до 80% развиваются гигромы и от 30 до 40% внутренней сообщающейся гидроцефалии (рис. 8) (52, 53, 54). По крайней мере одна треть этих нарушений CSF, кажется, разрешается или спонтанно или после краниопластики. У остальных пациентов может потребоваться вентрикуло- и / или субдуро-перитонеальный шунт, чтобы избежать дальнейшего неврологического ухудшения.

figure8
figure8

Гигрома, возникающая после ДК. Осевая КТ показывает ипсилатеральную и контралатеральную субдуральную гигрому (черные стрелки), которая произошла после левосторонней гемикраниэктомии. Кроме того, наблюдается большой сбор эпидуральной жидкости (белая стрелка)

Изображение в полном размере

Популяционные исследования судорог у выживших после инсульта продемонстрировали 6-12% риска единичных или повторных приступов в течение 5 лет (55, 56). Инсульт передней циркуляции и тяжесть инсульта являются предикторами повышенного риска судорог. Таким образом, пациенты, имеющие право на ДК после злокачественного инфаркта головного мозга, сами по себе относятся к группе высокого риска: 50% страдают эпилепсией, а у 45% разовьется эпилепсия (57). Важно отметить, что авторы обнаружили кластеризацию первых припадков в течение нескольких недель после краниопластики, указывая на то, что краниопластика, а не сам ДК, является основным фактором риска.

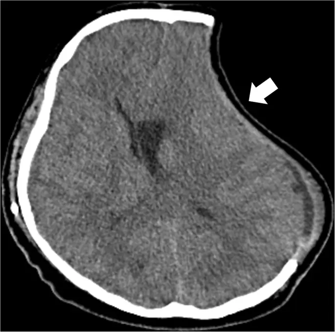
Долгосрочным осложнением после ДК является синдром синдрома трепанного или затонувшего кожного лоскута, который возникает от нескольких недель до месяцев после ДК и часто характеризуется неврологическим ухудшением после начальных реабилитационных улучшений (58). Очевидным результатом клинических и рентгенологических исследований больных пациентов является сильно утопленный клапан раковины, перекрывающий дефект краниэктомии (рис. 9), который еще более очевиден в вертикальном положении и может усугубляться диверсией CSF или значительной атрофией инфарктной территории., Патофизиология этого синдрома, по-видимому, представляет собой несоответствие между атмосферным давлением и внутричерепным давлением, что приводит к нарушению церебральной перфузии, венозного оттока и динамики CSF. Подавляющее большинство случаев значительно улучшится после краниопластики (58).

figure9
figure9

Затонувший кожный лоскут после ДК. Осевая компьютерная томография, показывающая затонувший кожный лоскут (белая стрелка) после левосторонней гемикраниэктомии

Изображение в полном размере

Качество жизни после ДК

В то время как в РКИ, упомянутых выше, основное внимание уделялось смертности и функциональным результатам (т. Е. МСР в течение первого года), данным о долгосрочном результате, качестве жизни, участии в повседневной жизни и работе, сообщенных пациентами результатах, мнении семья и уход, а депрессия и тревога ограничены. Для DESTINY II были опубликованы показатели ретроспективного согласия, полученные от оставшихся в живых, оценки качества жизни (вопросники EQ-5D и SF-36) и частоты большой депрессии (31). Кроме того, Rahme и сотрудники, а также Woertgen и сотрудники предоставляют аналогичную информацию (59, 60). Таким образом, 60-80% выживших и / или лиц, обеспечивающих уход, дали ретроспективное согласие на ДК, что указывает на по крайней мере приемлемый результат. Качество жизни было ухудшено (среднее общее снижение почти на 50%), и часто возникала серьезная депрессия (почти на 60%), но оба в известной степени выжившие после других значительных церебральных инсультов. В небольшой серии, опубликованной Вахеди и его коллегами, ни один пациент (средний возраст 41 год) не вернулся на предыдущую работу (61). Качество жизни после ДК для супратенториального злокачественного инсульта представляется приемлемым для большинства пациентов, и большинство из них не сожалеют о том, что перенесли ДК, несмотря на соответствующие показатели нарушений и депрессии. Тем не менее, хотя Вертген и его коллеги указывают, что при сравнении пациентов с инсультом в доминантном и недоминантном полушарии не наблюдается различий в качестве жизни, пациенты с афазией могут быть недостаточно представлены, особенно в отчетах о пациентах, и могут подвергаться более высокому риску психосоциальных нарушений (31, 60).

Инфратенториальный злокачественный ишемический инсульт у взрослых

По сравнению с супратенториальным инсультом, существует мало качественных клинических исследований роли DC для мозжечкового инсульта. Наилучшие имеющиеся данные получены из одного проспективного обсервационного исследования, одного ретроспективного сопоставленного исследования случай-контроль и нескольких серий случаев или отчетов о случаях.

Яусс и его коллеги провели проспективное многоцентровое обсервационное исследование с целью изучения наилучшей медицинской помощи, внешнего желудочкового дренажа и субокципитального ДК (62). Дизайн исследования не позволяет проводить прямое сравнение вариантов лечения, поскольку группы не сбалансированы в отношении тяжести инфаркта мозжечка. В группе DC 50% пациентов были в коме, хирургическое вмешательство проводилось в среднем через 62 часа после поступления, а плохой результат (mRS> 2) был отмечен у 35%. Клиническое ухудшение чаще всего возникало на 3-й день после начала инсульта. Никто из коматозных пациентов не был зачислен в группу медицинского лечения, что исключало возможность прямого сравнения Единственными разумно сопоставимыми подгруппами в этом исследовании являются пациенты, классифицированные как сонливые / ступорные, но при сравнении медицинской помощи и DC не наблюдается никакой разницы в исходе.

Ким и его коллеги опубликовали результаты ретроспективного сопоставленного исследования случай-контроль (63). Хирургических пациентов лечили субокципитальным ДК, и дополнительно 50% получали дренаж наружного желудочка (EVD) и 57% - повторную обработку инфарктной ткани. Плохой исход (mRS> 2) был зарегистрирован у 49% в медицинской и 33% в хирургической когорте, что указывает на значительную пользу DC.

Самый большой ряд случаев был опубликован Pfefferkorn и сотрудниками (17). Они включили 57 пациентов в свой моноцентрический ретроспективный анализ, из которых 82% получили EVD и 56% перенесли инфаркт миокарда в дополнение к DC. Плохой исход (mRS> 2) наблюдался у 60% пациентов и у 76% в подгруппе с дополнительным инфарктом ствола мозга. Смертность составила 40% и 58% соответственно. Хирургические осложнения возникли в 18% случаев, включая утечки CSF и менингит / вентрикулит. Стоит упомянуть два аспекта этого исследования: возраст старше 60 лет, а также время DC не влияли на результат. Качество жизни (опросник SF-36) было умеренно ухудшено, и 96% выживших ретроспективно согласились на субокципитальный ДК.

Без нейрохирургического вмешательства смертность 80% отмечается у пациентов с инфарктом мозжечка, у которых развивается сдавление ствола мозга (64). Учитывая этот мрачный прогноз, DC является приемлемым вариантом лечения. Значительный объем инфаркта, как определено выше, первые клинические признаки сдавления ствола мозга или рентгенологическое доказательство прогрессирующего занимающего пространство эффекта считаются показаниями для DC.

Супра- и инфратенториальный злокачественный ишемический инсульт у детей

Ишемический инсульт у детей очень редкий, с зарегистрированной частотой от 1, 2 до 3, 6 случаев на 100 000 в год, и менее 2% - злокачественные ишемические инсульты (65). Данные о роли ДК у детей с ишемическим инсультом ограничиваются сообщениями о случаях и небольшими сериями случаев, как показано в Таблице 3 (65, 66, 67, 68, 69, 70, 71, 72, 73, 74, 75, 76, 77, 78, 79, 80). В отсутствие основанных на фактических данных рекомендаций большинство авторов приводят результаты исследований, проведенных на взрослых, в качестве ориентира для принятия решений о лечении у детей. Тем не менее, при рассмотрении зарегистрированных случаев (N = 28), кажется, что DC для супратенториального инсульта выполняется довольно поздно, так как у высокой доли (84%) детей был предоперационный мидриаз, указывающий на грыжу. Тем не менее, результат, по-видимому, лучше, чем у взрослых (хороший результат зарегистрирован у 96%), что может быть либо связано с пластичностью мозга и более высоким потенциалом восстановления в детстве, либо объяснено смещением в отчетах. В большинстве зарегистрированных случаев у детей (68%) была выявлена причина инфаркта головного мозга, например, сердечные, гематологические или инфекционные заболевания.

Таблица 3 Исследования супра- и инфратенториального ДК у детей. Обзор литературы по DC для злокачественного ишемического инсульта у детей, с важными характеристиками каждого исследования или случая

Таблица в натуральную величину

Хирургические методы гемикраниэктомии и субокципитального ДК у детей аналогичны взрослым пациентам (рис. 10). Поскольку рост головы ускоряется в основном на первом году жизни, адаптацией размера краниэктомии к возрасту можно пренебречь после младенчества, и декомпрессия адекватного размера должна быть достигнута у детей старшего возраста, как описано выше. В нашей моноцентрической когорте детей, перенесших ДК в среднем возрасте 13 лет, средний передний задний диаметр области краниэктомии составил 11, 7 см (неопубликованные данные). Важно отметить, что ДК у детей может привести к значительной интраоперационной кровопотере, составляющей до 50% от предполагаемого объема крови, и, следовательно, требует адекватной подготовки со стороны команды нейрохирургов и анестезиологов (81).

figure10
figure10

Педиатрический ишемический инсульт. Типичный пример педиатрического ишемического инсульта у 6-летнего мальчика с серповидно-клеточной анемией: осевая диффузионно-взвешенная последовательность МРТ (а) с повышенным сигналом на правой территории MCA, что указывает на ишемический инфаркт. Осевая компьютерная томография, полученная на 1-й день после начала инсульта (b), показывает демарктированный инфаркт со смещением средней линии 3, 2 мм. Осевая КТ, полученная на 2-й день после начала инсульта (с), выявляет прогрессирующее смещение средней линии на 6, 3 мм, что коррелирует с неврологическим ухудшением. Аксиальная компьютерная томография после гемикраниэктомии и имплантации правого лобного интрапаренхимального зонда ICP (d) с изменением смещения средней линии

Изображение в полном размере

Статус-кво DC для ишемического инсульта: рекомендации клинического руководства

Наиболее полное на сегодняшний день руководство по ведению пациентов с ишемическим инсультом было опубликовано в 2018 году Американской кардиологической ассоциацией и Американской ассоциацией инсульта (82). В руководстве рекомендуется раннее перемещение пациентов с риском развития злокачественного отека мозга в центр с нейрохирургическим опытом. Ориентированные на пациента предпочтения в совместном принятии решений относительно вмешательств и ограничений медицинской помощи должны быть установлены на ранней стадии. Что касается нейрохирургического лечения, то в руководстве указывается, что у пациентов в возрасте ≤ 60 лет, которые ухудшаются неврологически (определяется как снижение уровня сознания, связанного с отеком мозга, несмотря на медикаментозную терапию) в течение 48 ч после инфаркта MCA, ДК с расширением дуропластики разумно У пациентов старше 60 лет может применяться тот же подход. Для пациентов со злокачественным инсультом мозжечка, руководство рекомендует субокципитальный ДК с расширением дуропластика при неврологическом ухудшении, несмотря на медикаментозную терапию, с одновременным введением EVD для лечения обструктивной гидроцефалии.

Будущие перспективы

Преимущество DC для супратенториального злокачественного ишемического инсульта у взрослых было продемонстрировано РКИ, как указано выше. Тем не менее, остаются открытые вопросы в отношении долгосрочных последствий хронической инвалидности, сообщаемых пациентами результатов, депрессии и психосоциальных нарушений, а также определения подгрупп или конкретных характеристик пациентов, которые могут быть связаны с большей или меньшей выгодой от ОКРУГ КОЛУМБИЯ. Такая информация может улучшить предоперационное консультирование, поскольку позволит врачам более точно прогнозировать ожидаемую инвалидность отдельных пациентов. Во времена персонализированной медицины лучшее прогнозирование, основанное на высококачественных клинических данных, улучшенной визуализации, биомаркерах и генетических маркерах, помогло бы идентифицировать людей, которые больше всего выигрывают от раннего ДК. Поэтому необходимо поощрять текущие исследования в этой области, хотя на будущую роль и частоту возникновения ДК будут влиять другие методы лечения: наша группа продемонстрировала, что публикация положительных РКИ на ДК от инсульта увеличила ежегодные значения ДК в в прошлом, но эта публикация РКИ по механической тромбэктомии и последующее клиническое внедрение этого революционного нового метода уже полностью изменила эту тенденцию (83). Несмотря на множество негативных результатов от специфического нацеливания на вторичное повреждение головного мозга, в этой области могут быть предложены дополнительные полезные варианты медицинской и критической помощи в будущем (84).

Хотя эффективность субокципитального ДК в снижении компрессии ствола мозга и, следовательно, в снижении смертности, является общепризнанной, данные ограничены по оптимальному времени и пользе для подгрупп пациентов. Такие конкретные аспекты должны быть проанализированы с помощью проспективных исследований или реестров. То же самое относится и к детям, где доказательная база еще более ограничена.

Однако при извлечении текущих записей из базы данных ClinicalTrials.gov, касающихся «декомпрессивной краниэктомии», очевидный сдвиг в фокусе клинических исследований становится очевидным: современные проспективные исследования анализируют синдром трепана (NCT03186157) и резорбцию аутологичных костных лоскутов (NCT02320955). Подобные проспективные исследования также проводятся в других местах, таких как Немецкий регистр черепно-мозговой реконструкции (Немецкий регистр клинических испытаний, номер DRKS00007931) (85). Мы надеемся, что это смещение акцента на краниопластику предоставит ценные данные для оптимизации лечения после ДК.

Выводы

ДК является важным вариантом лечения злокачественного инсульта во всех возрастных группах. РКИ ДК при супратенториальном злокачественном инсульте подтвердили значительное снижение смертности. Этот эффект также очевиден в исследованиях DC для инфратенториального инсульта. Тем не менее, ДК оказывает значительную долю пациентов с инвалидностью средней тяжести. Поэтому точное знание соответствующих данных имеет решающее значение в процессе принятия решений для отдельных пациентов. Решение о том, кто является кандидатом на раннюю или упреждающую операцию, и кому может быть выгодно отложить операцию до появления явных признаков ухудшения состояния, может быть проблематичным. Еще более сложная задача может заключаться в том, чтобы установить, будет ли у пациента приемлемая инвалидность и качество жизни в его или ее предполагаемом восприятии на основе предоперационных прогнозов. Для злокачественного инсульта мозжечка, для злокачественного инсульта у детей и для краниопластики после ДК уровень доказательности в целом ниже. Поскольку РКИ могут не подходить для определенных хирургических вопросов, мы подчеркиваем ценность хорошо спланированных когортных или контрольных исследований, а также проспективных многоцентровых реестров. Будущие исследования должны быть направлены на совершенствование нашей базы знаний и фактических данных о ДК и должны адаптироваться к парадигме персонализированной медицины путем более точного прогнозирования, когда и как проводить ДК у конкретных пациентов для достижения оптимальных результатов.

Доступность данных и материалов

Непригодный.

Сокращения

АС:
Передняя мозговая артерия
AICA:
Передняя нижняя мозжечковая артерия
AVM:
Артериовенозная мальформация
CSF:
Спинномозговая жидкость
КТ:
Компьютерная томография
ОКРУГ КОЛУМБИЯ:
Декомпрессивная краниэктомия
EVD:
Наружный желудочковый дренаж
ICA:
Внутренняя сонная артерия
ICP:
Внутричерепное давление
MCA:
Средняя мозговая артерия
МРТ:
Магнитно-резонансная томография
Миссис:
Модифицированная шкала Ранкина
PCA:
Задняя мозговая артерия
PICA:
Задняя нижняя мозжечковая артерия
RCT:
Рандомизированные контролируемые испытания
SCA:
Верхняя мозжечковая артерия
TBI:
Травматическое повреждение мозга