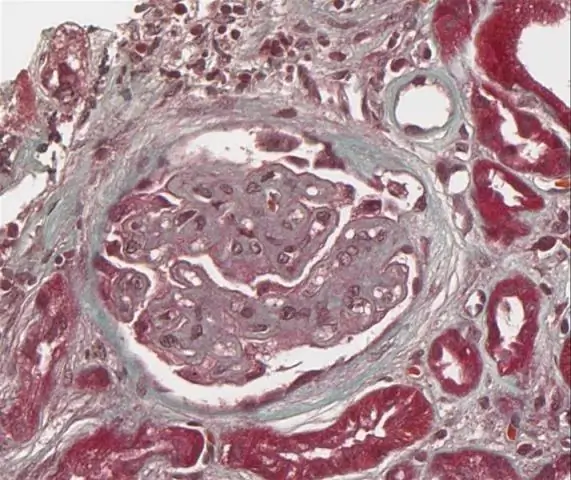
IgA-нефропатия - нефритическая или нефротическая?

IgA-нефропатия - нефритическая или нефротическая?
IgA-нефропатия - нефритическая или нефротическая?

IgA нефропатия (IgAN), также известная как болезнь Бергера (/ b?? r? E? /) (И варианты), или синфарингитный гломерулонефрит, представляет собой заболевание почек (или нефропатия ) и иммунная система; в частности, это форма гломерулонефрита или воспаления клубочков почек.

Впоследствии можно также спросить, является ли гломерулонефрит нефритическим или нефротическим?

Гломерулонефрит относится к воспалению клубочка, который является единицей, участвующей в фильтрации в почках. Это воспаление обычно приводит к одному или обоим нефротический или нефритический синдромы.

Также знайте, вы родились с нефропатией IgA? IgA нефропатия является одним из наиболее распространенных заболеваний почек, кроме тех, которые вызваны диабетом или высоким кровяным давлением. IgA нефропатия может возникнуть в любом возрасте, хотя первые свидетельства болезнь почек чаще всего появляется, когда люди находятся в подростковом возрасте до 30 лет.

Кроме того, является ли нефропатия IgA нефротическим синдромом?

IgA нефропатия является наиболее частой формой гломерулонефрита. Нефротический синдром встречается в 5-10% случаев IgA нефропатия, (5) хотя в двух исследованиях из Китая сообщается, что у детей частота составляет более 30%. Кроме того, в нескольких исследованиях было показано, что протеинурия является предиктором исхода в Нефропатия IGA.

Какой анализ крови подтвердит гломерулонефрит?

Биопсия почек. Тесты для оценки функции почек и постановки диагноза гломерулонефрита включают: Анализ мочи. А анализ мочи может показать красные кровяные тельца и цилиндры красных кровяных телец в моче, что является индикатором возможного повреждения клубочков.