Пародонтит - Симптомы, причины и лечение

Пародонтит - Симптомы, причины и лечение
Пародонтит - Симптомы, причины и лечение

Периодонтит - это инфекция десен, которая повреждает зубы, мягкие ткани и кости, поддерживающие зубы. Пародонтит необходимо лечить немедленно, так как он может привести к серьезным осложнениям

Пародонтит является одним из осложнений невылеченного воспаления десен (гингивита). Если это состояние возникает в течение длительного времени, ткань вокруг десен и зубов повреждается, что приводит к выпадению зубов. В тяжелых случаях пародонтит может привести к появлению абсцесса или скоплению гноя в зубе.

Пародонтит - Алодоктер
Пародонтит - Алодоктер

Причины пародонтита

Пародонтит начинается с накопления налета на зубах. Этот налет образуется из-за взаимодействия остатков пищи с бактериями, которые в норме живут во рту. Если его не очистить, налет затвердеет и образует зубной камень, который является средой для размножения бактерий.

Со временем бактерии на зубном камне будут производить токсины, которые могут вызвать воспаление и раздражение десен вокруг зубов (десны). Если не лечить немедленно, гингивит может привести к образованию щелей в деснах, которые отделяют ткань десны от зубов.

Этот зазор заставляет бактерии проникать глубже, повреждая ткань и кость в деснах. Помимо способности вызывать выпадение зубов, персистирующий гингивит также может ослабить иммунную систему.

Факторы риска пародонтита

Помимо невылеченного гингивита, существует несколько факторов, которые могут увеличить риск развития пародонтита у человека, а именно:

  • Ожирение
  • Генетический фактор
  • Дефицит питательных веществ, включая витамин С
  • Несоблюдение чистоты зубов и полости рта
  • Привычка курить или жевать табак
  • Употребление препаратов, снижающих выработку слюны
  • Изменения гормонов во время менструации, беременности или менопаузы
  • Некоторые заболевания, такие как синдром Дауна, болезнь Крона, диабет и ревматоидный артрит
  • Состояния, снижающие иммунную систему организма, такие как лейкемия, ВИЧ/СПИД или химиотерапия

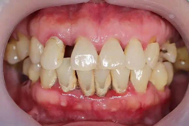
Симптомы пародонтита

Симптомы пародонтита могут различаться и зависят от развития воспаления, возникающего в деснах и зубах. Тем не менее, есть некоторые симптомы или жалобы, которые обычно возникают у людей с пародонтитом, а именно:

  • Боль при жевании
  • Налет и зубной камень на зубах
  • Расстояние между одним зубом и другим кажется незначительным
  • Уменьшает десны, делая зубы длиннее
  • Красные или пурпурные десны
  • Десны болезненны на ощупь
  • Опухание десен и легкое кровотечение
  • Точь выделения из зубов и десен
  • Зубы шатаются или дата
  • Чувствительные зубы
  • Неприятный запах изо рта

Когда обратиться к врачу

Проконсультируйтесь со своим стоматологом, если вы испытываете симптомы пародонтита, как упоминалось ранее, особенно если у вас есть факторы, повышающие риск развития пародонтита.

Проводите регулярные стоматологические осмотры и осмотры полости рта у стоматолога, чтобы предотвратить образование зубного налета и зубного камня. Если вы заметили, что образовался зубной камень, немедленно обратитесь к врачу, чтобы удалить зубной камень до того, как он перерастет в пародонтит.

Диагностика пародонтита

Для диагностики пародонтита врач задает вопросы относительно жалоб пациента и истории болезни. Затем врач проверит наличие кровотечения вокруг зубов из-за зубного налета и измерит глубину зазора между десной и зубом.

Глубина расщелины в здоровом рту составляет 1-3 мм. Тогда как при пародонтите глубина расщелины может достигать 4 мм и более.

Врачи также могут выполнять панорамные рентгенологические исследования, чтобы определить степень повреждения и утраты кости из-за периодонтита.

Лечение пародонтита

Лечение пародонтита направлено на уменьшение воспаления, устранение щелей, образующихся между деснами и зубами, и устранение причин воспаления десен. Метод лечения зависит от степени тяжести.

При нетяжелом пародонтите методы лечения врача следующие:

  • Масштабирование для удаления зубного камня и бактерий с поверхности зубов или под деснами
  • Выравнивание корней для очистки и предотвращения дальнейшего накопления бактерий и зубного камня, а также для выравнивания поверхности корней
  • Поральные антибиотики, жидкость для полоскания рта или гель для уничтожения бактерий, вызывающих инфекцию
  • Удаление пораженных зубов, чтобы бактерии не усугублялись и не атаковали окружающие зубы

При тяжелом пародонтите врач проведет хирургические процедуры, такие как:

  • Лоскутная операция для уменьшения отложений зубного камня в карманах или между деснами
  • Трансплантация мягких тканей или операция по пересадке мягких тканей для замены ткани, поврежденной пародонтитом
  • Костная пластика или операция по пересадке кости для восстановления костей вокруг корней разрушенных зубов
  • Управляемая регенерация тканей для стимуляции роста новой кости взамен кости, разрушенной инфекцией
  • Тканестимулирующие белки, стимулирующие рост новых тканей и костей

Осложнения пародонтита

При отсутствии лечения пародонтит может привести к следующим осложнениям:

  • переключение передач
  • Зубы шатаются или дата
  • Инфекция челюстной кости
  • Скопление гноя с болью в зубе (абсцесс зуба)
  • Инфекция или абсцесс мягких тканей полости рта
  • Повышенный риск сердечных заболеваний, респираторных заболеваний и диабета

В то же время у беременных пародонтит может увеличить риск осложнений беременности, таких как низкий вес при рождении и преэклампсия.

Профилактика пародонтита

Некоторые профилактические меры, которые можно предпринять для снижения риска пародонтита:

  • Чистите зубы регулярно, не менее двух раз в день, каждое утро и перед сном.
  • Почистите пространство между зубами с помощью зубной нити.
  • Избегайте курения и вейпинга.
  • Избегайте действий, которые могут вызвать стресс.
  • Придерживайтесь здоровой и сбалансированной диеты.
  • Проводите регулярный контроль и лечение, если у вас диабет.
  • Поддерживайте идеальную массу тела или похудейте, если у вас ожирение.

Кроме того, регулярно посещайте стоматолога каждые 6-12 месяцев. Однако, если вы принадлежите к группе людей, которые более подвержены риску развития пародонтита, например курению или приему лекарств, вызывающих сухость во рту, вам необходимо проходить более регулярные осмотры.