Повреждение кортикоспинального тракта при синдроме ХГЧ: метаболическая причина наследственной спастической параплегии

Повреждение кортикоспинального тракта при синдроме ХГЧ: метаболическая причина наследственной спастической параплегии
Повреждение кортикоспинального тракта при синдроме ХГЧ: метаболическая причина наследственной спастической параплегии

Фон

Синдром гиперорнитинемия-гипераммонемия-гомоцитруллинурия (ГГГ) является редким нарушением цикла мочевины, характеризующимся прогрессирующей пирамидной и мозжечковой дисфункцией, патофизиология которой до сих пор полностью не изучена. Здесь мы опишем спектр вовлечения длинных волокон в синдром HHH, пытаясь установить связь между клиническими, электрофизиологическими и нейрорадиологическими данными.

методы

Девять пациентов с ХГЧ были продольно оценены с помощью клинического обследования, нейрофизиологической оценки, включая двигательные (MEP), соматосенсорные вызванные потенциалы (PESS) и скорость нервной проводимости (NCV), МРТ головного и спинного мозга.

Результаты

У всех пациентов была пирамидная дисфункция и 3/9 явная спастическая параплегия. Легкие и умеренные признаки мозжечка были обнаружены в 7/9, умственная отсталость - в 8/9. На нижних конечностях MEPs были аномальными у 7/8 пациентов и PESS у 2/8; периферическая сенсорно-моторная невропатия была обнаружена в 1/9. МРТ документировала атрофические изменения в надтенториальных областях мозга у 6/9 пациентов, мозжечок у 6/9, спинной мозг у 3/7.

Выводы

Преобладающая кортикоспинальная дисфункция проявляется при синдроме HHH, наряду с более легкими мозжечковыми признаками, умственной отсталостью различной степени и редкой периферической невропатией. Фенотипические сходства с другими расстройствами, влияющими на цикл мочевины (аргининемия и дефицит пирролин-5-карбоксилат-синтетазы), указывают на возможные общие механизмы, способствующие поддержанию целостности кортикально-спинномозгового тракта. Фенотип синдрома HHH в значительной степени пересекается со сложными наследственными спастическими параплегиями (HSP), в список которых он должен быть включен, подчеркивая важность скрининга всех нерешенных случаев HSP на метаболические биомаркеры.

Фон

Синдром гиперорнитинемия-гипераммонемия-гомоцитруллинурия (HHH) (OMIM # 238970), вызванный мутациями в гене ORNT1 (SLC25A15), является редким аутосомно-рецессивным расстройством цикла мочевины (1, 2). Метаболическая триада гипераммонемии, гиперорнитинемии и гомоцитруллинурии устанавливает диагноз. Клинические проявления широко неоднородны, начиная от неонатальных угрожающих жизни гипераммонемических кризов и заканчивая более легкими формами с началом в разном возрасте. После начала лечения клиническое течение обычно стабилизируется, но в большинстве случаев появляются прогрессирующая спастичность нижних конечностей и дисфункция мозжечка, что приводит к легкому нарушению походки вплоть до потери деамбуляции (3, 4, 5, 6, 7). Интеллектуальные нарушения различной степени и, реже, очаговая дистония и миоклонус также могут возникать (3, 4, 5, 6). Патофизиология пирамидной и мозжечковой дисфункции еще предстоит выяснить. На сегодняшний день нейрофизиологические и нейровизуальные исследования были проведены только у нескольких пациентов. Соматосенсорные вызванные потенциалы (SSEP) и скорость проводимости периферических нервов (NCV) иногда оказывались аномальными (6). Моторные вызванные потенциалы (MEP) выполнялись редко, и, несмотря на то, что пирамидальная дисфункция считается прогрессирующей, до сих пор не было проведено продольных исследований (4, 5). Аналогичным образом, имеющиеся данные нейровизуализации в основном основаны на анекдотических описаниях (5, 8, 9, 10, 11, 12). Здесь мы описываем неврологические, нейрофизиологические и нейрорадиологические данные, полученные в течение 15 лет наблюдения у 9 пациентов с ДГГЖ. Мы стремились сопоставить длинные двигательные и чувствительные тракты и поражение периферической нервной системы с данными нейровизуализации и нейрофункционального исхода.

Пациенты и методы

Мы сообщаем о 9 пациентах (5 женщин, 4 мужчин; средний возраст при последнем осмотре 24, 4 ± 16, 3 года; диапазон 7-52, 6) с генетически подтвержденным синдромом HHH, регулярно наблюдаемых в отделе обмена веществ детской больницы Бамбино-Гезо в Риме. Раннее течение и молекулярные аномалии у 8/9 пациентов были описаны в предыдущих исследованиях (3, 5, 12, 13, 14, 15). Клинические особенности приведены в таблице 1. Средняя продолжительность наблюдения составила 15, 9 ± 12, 6 года (от 3 до 34 лет) и включала клинические, неврологические, нейрофизиологические и нейрорадиологические данные, ретроспективно анализируемые и проспективно интегрируемые при необходимости.

Таблица 1 Основные клинико-генетические особенности у девяти пациентов с синдромом ХГЧ

Таблица в натуральную величину

Неврологическая оценка

Спастический парапарез оценивали по Хардингу (16), а степень выраженности моторного фенотипа оценивали по шкале спастической параплегии (SPRS) (17). Центральные и периферические соматосенсорные признаки и мозжечковые признаки были также оценены.

Нейрофизиологическая оценка

Оценка путей длинных волокон включала MEP на верхних и нижних конечностях для кортикоспинального тракта и SSEP на нижних конечностях для афферентных соматосенсорных путей. Нейрофизиологические оценки были выполнены с помощью NCV на нижних конечностях.

Записи MEP выполнялись на мышце abductor pollicis brevis (APB) для верхних конечностей и на передней большеберцовой мышце (TA) или, в некоторых случаях, на мышце abductor hallucis (AH) для нижних конечностей. Оценки заключались в регистрации времени центральной моторной проводимости (CMCT) на мышце-мишени как в состоянии покоя, так и при небольшом тоническом произвольном сокращении (облегчение). Значения CMCT считались ненормальными, если> 20 мс или разность между сторонами> 2 мс (18). Нормативные значения CMCT были получены из литературных данных для взрослых пациентов (19) и из исследований, проведенных в нашей больнице на предметах здорового возраста для детей. SSEP измеряли в задней большеберцовой мышце по времени центральной сенсорной проводимости (CSCT). Моторное NCV регистрировалось в нервах popliteus sciaticus internus (PSI) или popliteus sciaticus externus (PSE), а сенсорное NCV - в суральном нерве. Во всех случаях были рассмотрены единичные оценки, относящиеся к параллельным записям, и средние значения между правой и левой сторонами.

Нейрорадиологическая оценка

МРТ исследования выполнялись на МР-сканере 1, 5 или 3 Тесла и включали сагиттальные T1w, аксиальные T2w, FLAIR и диффузионно-взвешенные изображения. В качестве полноты всех необходимых последовательностей были рассмотрены три оценки МРТ головного мозга, выполненные в других учреждениях. Изображения были оценены на наличие надтенториальной, субтенториальной, поражения спинного мозга и мозолистого тела. Для оценки тяжести атрофии в каждой области и ее прогрессирования по сравнению с периодом наблюдения был рассчитан показатель тяжести: - (отсутствует / нормальный), + (легкий), + (средний), ++ (тяжелый).

Результаты

Неврологическая оценка

Таблица 2 суммирует неврологические данные при последующем наблюдении. У всех пациентов наблюдались различные признаки пирамидной дисфункции, а у 3/9 пациентов была выявлена явная спастическая параплегия. У остальных были более легкие симптомы, такие как гиперрефлексия нижних конечностей или двусторонний клонус. Семь из 9 пациентов имели легкие или умеренные признаки мозжечка. Примечательно, что два пациента, у которых отсутствовали мозжечковые симптомы, были самыми молодыми в нашей группе. При последнем осмотре все пациенты могли ходить в одиночку, по крайней мере, несколько метров, за исключением пациента № 3, который был привязан к инвалидной коляске с 20 лет. Тест Ромберга был оценен у 8/9 пациентов и дал отрицательный результат. Периферическая невропатия была клинически очевидна только у пациента № 3. По оценкам SPRS, степень тяжести спастичности достигла медианного значения 17, 8 / 54 (SD ± 15, 4), и никакой корреляции не было обнаружено, когда оценки SPRS соответствовали возрасту при оценке (p => 0, 05). Восемь из 9 пациентов имели умственную отсталость различной степени.

Таблица 2 Основные неврологические, нейрофизиологические и нейрорадиологические данные при последнем наблюдении у девяти пациентов с синдромом ХГЧ

Таблица в натуральную величину

Клиническая оценка сомато-сенсорной системы (проведена у 8/9 пациентов) в результате неизменно отрицательна. Однако, помимо некоторых легко узнаваемых неврологических признаков (например, критерия Ромберга), результаты, которые зависят от восприятия пациента (например, различительный и протопатический контакт, чувство вибрации, боль, жар), часто трудно оценить из-за когнитивных нарушений самих пациентов.,

Нейрофизиологическая оценка

Один пациент (№ 3) был исключен из-за периферической невропатии, и нейрофизиологическая оценка была наконец выполнена у 8/9 пациентов.

Центральный автомобильный путь

MEP нижних конечностей были зарегистрированы на мышцах TA у 7/8 пациентов и на мышцах AH у 1/8 пациентов (# 6). Один пациент (№ 4) прошел регистрацию на обеих мышцах в течение всего периода наблюдения. Семь из восьми пациентов были протестированы как минимум дважды (средний интервал между первой и последней оценкой 8, 3 ± 6, 9 года). Записи мышц TA показали среднее значение CMCT 21, 2 ± 4, 8 мс для расслабленной мышцы (nv 15, 9 ± 1, 5) и 18, 0 ± 4, 4 мс для облегчения (nv12, 5 ± 1, 5 (19) для взрослых; 11, 5 ± 1, 6 для педиатрических больных). Продольные нейрофизиологические данные для каждого пациента показаны в Таблице 3. Средние значения CMCT TA по сравнению со здоровыми контролями показаны на фиг.1. Записи на мышце HA не вызывали вызываемого ответа на расслабленную мышцу и средние значения CMCT 21, 0 ± 1, 7 мс при облегчении (nv 16, 9 ± 0, 9 (20)). При последнем наблюдении МЭП приводили к патологическим (отсутствующим или отсроченным) у 7/8 пациентов (87, 5%) в покое и у 5/8 (62, 5%) при облегчении.

Таблица 3 Продольные значения MEPs у 9 пациентов с синдромом ХГЧ

Таблица в натуральную величину

фигура 1
фигура 1

Моторный вызванный потенциал нижних конечностей (MEP) у восьми пациентов с синдромом HHH. Среднее время центральной моторной проводимости (CMCT) в покое и во время облегчения мышц (передняя мышца большеберцовой кости) у пациентов с ДГГ (серые столбцы) по сравнению со здоровыми контролями (белые столбцы). Значения выражаются в миллисекундах (мс)

Изображение в полном размере

МЕР верхних конечностей были зарегистрированы у 3/8 пациентов, при этом один пациент проверялся дважды с интервалом в 5 лет. Значения приведены в пределах нормального диапазона со средним значением CMCT 9, 9 ± 1, 7 мс (nv 7, 9 ± 2, 1; + 3SD = 14, 2 (21)).

Центральные соматосенсорные пути

Все пациенты, кроме одного (№ 5), были протестированы как минимум дважды (средний интервал между первой и последней оценкой 7, 1 ± 6, 9 года). Среднее CSCT составило 19, 8 ± 3, 9 мс (nv 16, 4 ± 1, 4; + 3SD = 20, 6 (22, 23)). Пациент № 8 продемонстрировал прогрессирующую тенденцию к улучшению от младенчества до подросткового возраста, достигнув пограничных / нормальных значений в 9 лет. При последнем наблюдении у 2/9 пациентов отмечались аномальные реакции (№ 1, 9). Корреляции между значениями SSEP и клиническими данными не обнаружено.

Проводимость периферического нерва

Оценки включали 14 записей PSI, 10 PSE и 16 записей на нервы у 8/9 пациентов. Шесть пациентов были протестированы как минимум дважды (средний интервал между первой и последней оценкой 6, 7 ± 9, 6 года). Восемь из 9 пациентов показали нормальные результаты (24). Пациент № 3 продемонстрировал прогрессирующее ухудшение NCV без каких-либо вызванных реакций с 18 лет.

Нейрорадиологические данные

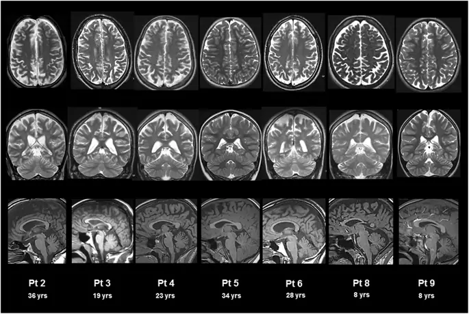
Оценки включали 14 МРТ головного и 7 спинного мозга. Все пациенты прошли как минимум одну МРТ головного мозга. Нейрорадиологические данные мозга при последующем наблюдении показаны на рис. 2. Атрофические изменения были обнаружены в супратенториальных и / или субтенториальных областях у 7/9 пациентов. Как показано в Таблице 4, атрофия включала супратенториальное белое вещество у 6/9 пациентов, легкое у 2 и умеренное у 4. Что касается субтенториальных областей, у 6/9 пациентов наблюдались умеренные атрофические изменения червя мозжечка. Нарушения мозолистого тела были обнаружены у 5/9 пациентов с легкой атрофией у 3 и умеренной у 2. У четырех из 9 пациентов (# 2, 4, 5, 6) было проведено два или более МРТ головного мозга (средний возраст в начале исследования 19, 4 ± 10, 0 лет). средний интервал между первой и последней оценкой 8, 7 ± 2, 9 года) у двух пациентов (№ 2 и 5) с годами наблюдается тенденция к ухудшению.

фигура 2
фигура 2

МРТ головного мозга у пациентов с синдромом ХГЧ. МРТ головного мозга, взвешенная по T2, осевая (верхняя панель), корональная (средняя панель), и взвешенная по сагиттальной (нижняя панель) T1. Атрофия различной степени выявляется в надтенториальной области (умеренная у пациентов № 2, 3, 5 и 6; легкая у пациента № 4; отсутствует у пациентов № 8 и 9), мозолистого тела (умеренная у пациентов № 3 и 5).; легкая у пациентов № 2, 4 и 6; отсутствует у пациентов № 8 и 9) и мозжечок (легкая у пациентов № 2, 4, 5, 6 и 9, отсутствует у пациентов № 3 и 8)

Изображение в полном размере

Таблица 4 Основные нейрорадиологические результаты наблюдения за 9 пациентами с синдромом ХГЧ

Таблица в натуральную величину

Нейрорадиологические результаты в спинном мозге показаны на рис. 3. Атрофия спинного мозга была обнаружена у 3/7 пациентов (таблица 4). У одного пациента (№ 3) нейрорадиологические особенности соответствовали особенно тяжелым клиническим и нейрофизиологическим результатам.

Рисунок 3
Рисунок 3

МРТ спинного мозга у пациентов с синдромом ХГЧ. МРТ спинного мозга, взвешенная по T1, показала атрофию различной степени (тяжелая у пациентов № 3, умеренная у пациента № 2, легкая у пациента № 4 и отсутствующая у пациентов № 5, 8 и 9)

Изображение в полном размере

обсуждение

Это исследование сообщает о продольном описании неврологических, нейрофизиологических и нейрорадиологических паттернов при синдроме ХХХ. В нашей когорте неизменно присутствовали пирамидальные признаки, с явной картиной спастической параплегии, обнаруживаемой в одной трети случаев. Другие клинические признаки включали когнитивные нарушения различной степени, частую дисфункцию мозжечка и реже вторичную периферическую невропатию, которая расширяет спектр тяжести фенотипического заболевания. Характерно, что клинических признаков центральной сенсорной дисфункции не наблюдалось. Нейрофизиологические данные подтвердили значительное участие первичного двигательного нисходящего пути по сравнению с длинными волокнами сенсорных путей и менее частое поражение периферического нерва. Нейрорадиологические исследования, несмотря на то, что они не были завершены методами диффузионной тензорной визуализации, подтвердили выраженное поражение областей, анатомически соответствующих пирамидному тракту (фронтальное субкортикальное белое вещество, а в наиболее тяжелых случаях также корковое серое вещество). Что касается окончательного клинического результата, наши результаты показывают неоднородные профили, которые, по-видимому, не зависят от возраста при оценке, от возраста начала лечения, а также от продолжительности течения заболевания, что особенно трудно оценить у пациентов. которые никогда не испытывали явной гипераммонемии, что соответствует одной трети нашей когорты.

Ассоциация спастичности нижних конечностей с легкими мозжечковыми признаками, когнитивными нарушениями и возможной невропатией указывает на то, что синдром HHH следует указывать среди наследственных спастических параплегий (HSP). В частности, учитывая сложную фенотипическую картину, синдром HHH отвечает диагностическим критериям сложных HSP (25).

В настоящее время HSP охватывают более 80 локусов и более 60 генов (26, 27), тем не менее, многие состояния остаются недиагностированными, что свидетельствует о том, что новые генетические детерминанты еще предстоит определить.

Что касается нейрофизиологических данных о синдроме HHH, наши данные согласуются с клинической картиной, подчеркивая преимущественное вовлечение нисходящих моторных путей по сравнению с восходящими сенсорными. MEP, зарегистрированные на нижних конечностях, показали отсроченный или не вызываемый реакцией ответ примерно у 90% наших пациентов. Это произошло как у взрослых, так и у детей, демонстрируя прогрессирующую тенденцию к ухудшению с течением времени. Замедление, вплоть до потери, вызываемого ответа CMCT было в основном выявляемым в состоянии покоя при первой оценке, но оно постепенно включало ответ также при сокращении мышц при наблюдении. Это согласуется с нейрофизиологическим ответом на прогрессирующую дегенерацию нейронов, при которой патологический ответ в покое может быть скрыт или смягчен в условиях облегчения, когда набираются более высокий порог и более быстрые пирамидные нейроны (28, 29). Далее следует, что шкала SPRS, которая оценивает спастическую параплегию в соответствии с возрастом пациента и продолжительностью заболевания, не является оптимальным инструментом для количественной оценки степени тяжести пирамидной дисфункции при синдроме HHH.

В отличие от членов Европарламента, у большинства наших пациентов результаты SSEP не изменились. Соответственно, клинические признаки сенсорных дефектов никогда не регистрировались, даже у двух пациентов, которые показали слегка задержанные значения SSEP.

Нейрорадиологические данные также подтверждают медленное прогрессирование заболевания. Атрофия в первую очередь затрагивает субкортикальное белое вещество и, в наиболее тяжелых случаях, также слегка затрагивает корковое серое вещество, тогда как мозжечок менее поражен. Эти данные соответствуют литературным отчетам о поражениях головного мозга, наблюдаемых при нарушениях цикла мочевины, которые избирательно и в первую очередь влияют на глубокое белое вещество (30). Поскольку течение заболевания при синдроме ХГЧ обычно стабильно, с низким риском гипераммонемии после начала диеты и фармакологической терапии поражения головного мозга мягче по сравнению с другими нарушениями цикла мочевины, что представляет собой более тяжелый долгосрочный курс (31, 32). Следовательно, аномалии головного мозга, обнаруженные при синдроме HHH, вероятно, зависят не только от тяжести и продолжительности одной гипераммонемии. Фактически, 4/9 пациентов в нашей группе, которые испытывали гипераммонемическую кому, показали неоднородные результаты МРТ: № 3 и № 6 имели наиболее тяжелые клинические и нейрорадиологические результаты, в то время как № 1 и № 4 имели легкие поражения, сравнимые с таковыми у пациентов, которые никогда не испытывал тяжелой гипераммонемии.

Что касается спинного мозга, изменения МРТ предполагают корреляцию с клиническим исходом, причем наиболее тяжелая атрофическая дегенерация наблюдается у пациентов с более высоким баллом SPRS (пациент № 3, привязанный к инвалидной коляске, и пациент № 2, который едва поддерживает автономную походку, только для несколько шагов). Хотя скорость прогрессирования атрофии спинного мозга не может быть определена, поскольку пациенты прошли одно исследование МРТ, продолжающаяся тенденция нейрофизиологических оценок предполагает аналогичную эволюцию.

Клинические, нейрофизиологические и нейрорадиологические результаты при синдроме HHH напоминают те, что наблюдаются при аргининемии и дефиците пирролин-5-карбоксилат-синтетазы (P5CS) (33, 34, 35, 36), двух других нарушениях метаболизма аминокислот, связанных с дистальной частью цикла мочевины. (Рис. 4).

figure4
figure4

Цикл мочевины и родственные пути. На рисунке показаны биохимические пути, связывающие синдром HHH, аргининемию и дефицит пирролин-5-карбоксилат-синтетазы (серые прямоугольники), три нарушения метаболизма аминокислот, связанные с дистальной частью цикла мочевины, которые имеют фенотипическое сходство. AGAT, l-аргинин: глицин-амидинотрансфераза; ASL, аргининосукцинат лиаза; АСС, аргининосукцинатсинтетаза; CPS, карбамилфосфатсинтетаза; GAA, гуанидиноацетат; GAMT, гуанидиноацетат N-метилтрансфераза; ОАТ, орнитинаминотрансфераза; ODC, орнитин декарбоксилаза; ORNT1, орнитин / цитруллин антипортер; ОТС, орнитин транскарбамилаза; P5C, пирролин-5-карбоксилат; P5CR, пирролин-5-карбоксилатредуктаза; P5CS, пирролин-5-карбоксилатсинтаза

Изображение в полном размере

Следует отметить, что, как и при синдроме ХХХ, эти заболевания связаны со спастической параплегией, вариабельными когнитивными нарушениями и возможными мозжечковыми признаками, что позволяет предположить возможные общие механизмы, связывающие пути, связанные с циклом мочевины, с поддержанием целостности кортикально-спинномозгового тракта (37)., Возможные общие механизмы включают нарушения метаболизма аргинина, креатина, полиаминов и пролина, а также нарушение регуляции механизма аутофагии, последнее из которых представляет известную причину некоторых HSP (38).

Выводы

Наше исследование подчеркивает прогрессирующее вовлечение кортикального отдела позвоночника в синдром HHH. Что касается нейрофизиологических данных, дисфункция кортикального отдела позвоночника была явно преобладающей по сравнению с центральной сенсорной системой и периферической нервной системой. Члены Европарламента показали патологический паттерн с прогрессирующей тенденцией к ухудшению с возрастом. Хотя причина селективного вовлечения кортикального отдела позвоночника в синдром HHH еще не выяснена, сходство с аргининемией и дефицитом P5CS позволяет предположить возможные общие патофизиологические механизмы.

Наличие пирамидных признаков / спастичности нижних конечностей, связанных с мозжечковыми признаками и когнитивными нарушениями, подчеркивает важность перечисления синдрома HHH среди сложной формы HSP.

Доступность данных и материалов

Все данные, которые были получены и проанализированы в ходе этого исследования, включены в статью.

Сокращения

AH:
Причуда похитителей
APB:
Похититель pollicis brevis
CMCT:
Время центрального мотора проводимости
HHH:
Гиперорнитинемии-гипераммониемия-homocitrullinuria
Евродепутат:
Мотор вызвал потенциалы
КУР:
Скорость нервной проводимости
P5CS:
Пирролин-5-карбоксилат синтетазы
PSE:
Popliteus sciaticus externus
PSI:
Popliteus sciaticus internus
СПРС:
Шкала спастической параплегии
ССВП:
Соматосенсорные вызванные потенциалы
TA:
Tibialis anterior