Визуализация гепатоцеллюлярной карциномы и терапия с использованием изображений - как мы это делаем

Визуализация гепатоцеллюлярной карциномы и терапия с использованием изображений - как мы это делаем
Визуализация гепатоцеллюлярной карциномы и терапия с использованием изображений - как мы это делаем

Варианты лечения гепатоцеллюлярной карциномы развивались в последние годы. Интервенционные радиологи и хирурги могут предложить лечебные методы лечения опухолей на ранней стадии, а местно-региональные методы лечения могут обеспечить более длительное время выживания. Ранняя диагностика с помощью скрининга УЗИ является ключевым. КТ и МРТ используются для характеристики поражений и определения степени опухолевой нагрузки. Методы визуализации обсуждаются в этой статье, так как правильные протоколы визуализации необходимы для оптимизации успешного обнаружения и определения характеристик. После лечения важно установить регулярное визуальное наблюдение с помощью КТ или МРТ, так как местные остаточные заболевания легко поддаются лечению, и рецидивы в других местах в печени являются обычным явлением.

Фон

Гепатоцеллюлярная карцинома (ГЦК) является наиболее распространенным раком печени и пятым наиболее распространенным раком в мире. Это приводит к гибели от 250 000 до 1 миллиона человек в год (1). Число смертей в год в ГЦК близко к заболеваемости во всем мире, что подчеркивает высокий уровень смертности от этого агрессивного рака (1).

80% случаев ГЦК связаны с хроническими вирусными гепатитами В и С (2). Алкогольное заболевание печени является фактором риска в более молодых возрастных группах, и сочетание алкогольного заболевания печени и вирусного гепатита существенно увеличивает риск развития цирроза и ГЦК. Эпидемия ожирения привела к росту популяции пациентов с неалкогольной жировой болезнью печени, циррозом печени и ГЦК (3).

В США ГЦК, связанный с эпидемией гепатита С, представляет собой наиболее быстро растущую причину смертности от рака в целом и вторую наиболее быстро растущую причину смертности от рака среди женщин (4).

наблюдение

Американская ассоциация по изучению заболеваний печени AASLD рекомендует проводить скрининг для следующих групп высокого риска: азиатские мужчины-носители гепатита B старше 40 лет, азиатские женщины-носители гепатита B старше 50 лет, носители гепатита B с семейной историей ГЦК, Африканцы и афроамериканцы с гепатитом B, носителями цирротического гепатита B, индивидуумы с циррозом гепатита C, индивидуумы с первичным билиарным циррозом 4 стадии, индивидуумы с генетическим гемохроматозом и циррозом печени, индивидуумы с дефицитом альфа-1-антитипсина и циррозом, индивидуумы с циррозом печени от других этиологий (5).

Мы сканируем пациентов с циррозом печени любой этиологии каждые 6 месяцев с помощью ультразвука (5, 6). Ультрасонография остается основным методом визуализации для наблюдения ГЦК. Это более рентабельно, чем КТ и МРТ, и более широко доступно. Метаанализ показал чувствительность 94% при обнаружении поражений и специфичность> 90% (7), хотя цифры были менее благоприятными для поражений размером менее 2 см. Чувствительность к раннему ГЦК составляет 63%. Хотя наша клиника по печени регулярно использует альфа-фетопротеин в качестве дополнения к скринингу изображений, признается, что он не чувствителен и не специфичен для ранней диагностики ГЦК (8).

Как только узелок обнаружен, дальнейшее наблюдение зависит от размера поражения, с Американской ассоциацией болезней печени (AASLD) и Европейской ассоциацией по изучению печени, Европейская организация исследований и лечение рака (EASL - EORTC) с использованием порога для дальнейшего лечения 1 см. Для узлов размером менее 1 см пациент возвращается к повторному УЗИ через 3 или 4 месяца. При узлах более 1 см пациент подвергается компьютерной томографии (КТ) с динамическим контрастированием или магнитно-резонансной томографии (МРТ). Диагноз ГЦК затем определяется характеристиками изображения.

КТ или МРТ

В отличие от большинства других видов рака, ГЦК может быть диагностирован только на визуальных исследованиях без подтверждения отбора образцов ткани. В настоящее время все основные консенсусные группы поддерживают диагноз ГЦК с многофазной КТ с контрастным усилением или с помощью МРТ с использованием внеклеточного контрастного вещества (5, 6). Исследования показали аналогичную или несколько лучшую диагностическую эффективность динамической МР-визуализации по сравнению с многофазной КТ (9, 10), хотя разница в чувствительности невелика (11-13).

Решение выполнить одно над другим может зависеть от институциональных предпочтений, индивидуальных потребностей пациента и доступности. Преимущества КТ по сравнению с МРТ включают более низкую стоимость, увеличенную доступность и более быстрое время сканирования. В частности, более быстрое время сканирования может быть преимуществом в контексте цирротической популяции с множественными заболеваниями и трудностями при взаимодействии с требованиями МРТ к задержке дыхания. Преимущества МРТ включают способность оценивать большее разнообразие свойств ткани, включая содержание жира, ограничение диффузии или повышенный T2-взвешенный сигнал, и все это может помочь в выявлении и характеристике повреждений. Недостаток ионизирующего излучения также может быть проблемой у молодых пациентов.

Ультразвуковая техника

Для оценки печени мы используем стандартный диагностический зонд с линейной изогнутой матрицей 3-5 МГц. Субкостальная визуализация в реальном времени выполняется для левой доли с последующим межреберным и подреберным видами правой доли. Выполняются как поперечные, так и продольные проекции. Попросите пациента принять левое боковое положение пролежня для визуализации правой доли после первоначальной визуализации в положении лежа на спине.

Первоначально оценивается информация об эхогенности и грубости эхотекстуры печени, а также гладкости или узловатости поверхности печени. Тогда мы ищем очаговые поражения. Сравнение с предыдущими исследованиями необходимо для оценки стабильности или изменения небольших гипоэхогенных или гиперэхогенных узелков. Как только новый узелок или изменение узелка идентифицированы, пациент переходит к КТ или МРТ, часто в тот же день.

Смотрим на печеночную сосудистую сеть. Хотя мы не проводим полную допплеровскую оценку печени, мы всегда смотрим на воротную вену для направления потока как с помощью цветных, так и спектральных методов, а также на любые дефекты наполнения, наводящие на мысль о опухолевом или мягком тромбе.

Интервальное увеличение степени спленомегалии может указывать на ухудшение портальной гипертензии, поэтому мы измеряем селезенку как последний компонент исследования (Таблица 1).

Таблица 1 Резюме методов визуализации для ультразвука, МРТ и КТ

Таблица в натуральную величину

МРТ техника

Мы выполняем МРТ печени при напряженности поля 1, 5 Т, хотя также можно использовать напряженность поля 3, 0 Т (14). Катушка с фазированной решеткой обычно используется. Наш протокол для визуализации цирротической печени включает в себя Т1-взвешенные градиентно-вызванные эхо-последовательности (GRE) в синфазной и противоположно-фазовой последовательностях, умеренно Т2-взвешенную последовательность FSE с временем эха 80-90 мс, диффузионно-взвешенная визуализация (DWI) и многофазные T1-взвешенные динамические гадолиниевые последовательности.

Последовательность с высокой степенью взвешивания по T2 (время эха ≥120 мс) может помочь различить кистозные и сплошные поражения и быструю последовательность, такую как однократный FSE (или полуфурье-захват, турбо-спин-эхо-полуфурье-быстрое обнаружение) с усилением релаксации), используется для этой цели.

Используемые последовательности могут варьироваться в зависимости от поставщика и личных предпочтений. Чтобы улучшить качество изображения, последовательности должны выполняться во время приостановленного дыхания или должны быть усреднены по дыханию (некоторые T2-взвешенные последовательности). Приостановление дыхания в конце выдоха приводит к более устойчивому задержке дыхания по сравнению с окончанием вдоха, но это более сложно для пациентов (15). Последовательности GRE широко используются для T1-взвешенной визуализации. Использование двойной последовательности градиент-эхо, которая позволяет одновременно получать самые ранние изображения в противофазе и в фазе, минимизирует неправильную регистрацию и улучшает характеристику очаговых поражений и диффузного заболевания печени (16). Получение самого раннего эхо-сигнала противоположной фазы (2, 2 мсек при 1, 5-Т и 1, 15 мсек при 3-Т снимках) с последующим последующим синфазным эхо-сигналом позволяет различить потерю интенсивности сигнала, вызванную присутствием липида, наблюдаемого на противоположно фазовые изображения и потеря интенсивности сигнала из-за артефакта восприимчивости от отложения железа в печени, который преувеличен на более длинном из двух эхо-сигналов (обычно в фазе).

Трехмерные последовательности GRE с гадолиниевым усилением предпочтительнее двумерных последовательностей GRE из-за более тонких полученных участков, которые улучшают обнаружение повреждений и позволяют реконструировать многоплоскостные изображения для предоперационного планирования (17). Толщина сечения не должна превышать 4 мм для трехмерных последовательностей и 6 мм для двумерных последовательностей. Настоятельно рекомендуется использовать контраст болюса контрастного вещества, основываясь на нашем опыте и обзоре литературы (18), для обеспечения последовательного захвата доминирующей артериальной фазы; фиксированная задержка не является надежным методом в этой популяции пациентов. Варианты включают использование тестового болюса и различных автоматизированных методов обнаружения (19). Гиперваскулярная ГЦК наиболее заметна в поздней артериальной фазе и может быть пропущена, если изображения с артериально-доминантной фазой получены рано (20). Временной болюс не важен, если выполняется быстрая многофазная артериальная визуализация. Для улучшения характеристики поражения, например, для выявления вымывания или задержки контрастного вещества, сохраняющего гемангиому и холангиокарциному, многофазную динамическую визуализацию с усилением гадолиния, следует включать три фазы с контрастом или более. Мы обычно получаем четыре набора изображений после введения контрастного вещества на основе гадолиния в артериально-доминантном (автоматическое время, обычно 20-35 с), венозном (60-90 с), интерстициальном (120-150 с) и отсроченном (5 мин) фазы усиления печени. Максимальное пространственное разрешение должно использоваться без ущерба для интенсивности сигнала, принимая во внимание способность пациента задерживать дыхание. Методы параллельной визуализации могут применяться для улучшения пространственного разрешения и / или сокращения времени получения. Тем не менее, эти методы должны быть реализованы с осторожностью, потому что они могут привести к артефактам изображения и уменьшению видимых повреждений (21).

Мы часто оказываемся зависимыми от визуализации с вычитанием из-за внутреннего высокого сигнала, демонстрируемого узлами в цирротической печени, включая регенеративные, диспластические и злокачественные узелки. Собственный высокий сигнал также может быть продемонстрирован в успешно пролеченном ГЦК (22). Необработанные изображения могут быть вычтены из изображений, усиленных гадолинием в артериальной фазе, для оценки артериального усиления в узелках (23). Вычитание может быть выполнено, если последовательности визуализации неусиленной и улучшенной гадолинием идентичны, если имидж-сканер не перенастраивается между приобретениями и если нет проблем с масштабированием изображения. Получение неусиленных и улучшенных гадолиний изображений в одной серии, а не в отдельных сериях сводит к минимуму эти различия и возможно с большинством систем. Пациентам следует дать указание задерживать дыхание одинаковым образом во время всех последовательностей, чтобы минимизировать артефакты неправильной регистрации, которые появляются в виде яркой линии на краю органов из-за неполного перекрытия. На этом этапе способность рентгенолога или техника МР обучать пациента имеет решающее значение. Последовательные задержки дыхания важны во многих MR-последовательностях из-за длин сканирований, но для визуализации вычитания невозможно переоценить абсолютную потребность в хорошей задержке дыхания. Если пациент, несмотря на тщательную тренировку, не может задержать дыхание, тогда КТ, несмотря на изменение модальности, может быть лучшей формой визуализации.

Диффузионно-взвешенная визуализация увеличивает частоту выявления ГЦК, особенно для небольших опухолей (24-26). Обычно используемые значения B включают одно в низком диапазоне (0-50 с / мм2) и одно в диапазоне от среднего до высокого (400-800 с / мм2). Мы находим, что последовательность DWI часто помогает нам опираться в пользу или против небольших артериальных поражений с двусмысленным вымыванием в виде ГЦК, а также помогает нам обратить наше внимание на небольшие поражения, которые незаметны на контрастно-усиленных последовательностях (27). Опухоли могут быть скрыты при DWI из-за увеличения сигнала DWI в фиброзной паренхиме печени и последующего уменьшения поражения печени по контрасту (28). Кроме того, сигнал DWI может наблюдаться при других злокачественных новообразованиях печени, таких как метастазы и внутрипеченочные холангиокарциномы (28-30).

Как внеклеточные, так и гепатобилиарные агенты могут быть использованы для визуализации печени. Мы одобряем использование более дорогих гепатобилиарных агентов только в тех особых случаях, когда необходимо принять ключевые решения в отношении трансплантации или локорегионального лечения. Действительно, гепатобилиарные агенты могут поставить рентгенологов с большими диагностическими головоломками в отличие от большей ясности.

Внеклеточные контрастные вещества на основе гадолиния (например, димеглюмин гадопентетат (Gd-DTPA), Magnevist®, Bayer HealthCare) распространяются из сосудистого пространства в интерстициальный компартмент. Стандартная доза составляет 0, 1 ммоль / кг, обычно вводимая внутривенно со скоростью 2 мл / с, с последующим «промыванием» физиологическим раствором от 20 до 50 мл.

Гепатобилиарные агенты распространяются в интерстициальном пространстве, но, что важно для печеночной визуализации, также захватываются гепатоцитами с последующей экскрецией с желчью. Компания Multihance, Bracco Diagnostics, Принстон, штат Нью-Джерси, США) была одобрена первой. Приблизительно 95% этого агента выводится почками, но от 3 до 5% поглощается нормальными гепатоцитами и выводится в желчные пути. Гадоксетат динатрия (США: Eovist, Европа: Primovist, Bayer Healthcare Pharmaceuticals, Уэйн, Нью-Джерси, США) имеет примерно 50:50 экскреции между почечной (клубочковая фильтрация) и поглощением гепатоцитов / желчевыделением. Следовательно, это можно использовать для ранней фазы динамической визуализации в печени, как описано выше, за которой следует 20-минутная T1-взвешенная фаза визуализации, когда печень имеет более высокую интенсивность сигнала, а массы, не содержащие гепатоцитов, будут иметь низкую интенсивность сигнала. Гепатоцит-специфические контрастные агенты, как было показано, во многих исследованиях увеличивают чувствительность к повреждениям для ГЦК, опираясь на доказательства того, что плохо дифференцированные ГЦК не содержат функционирующих гепатоцитов и желчных протоков, и, следовательно, демонстрируют гипоинтенсивный сигнал относительно паренхимы окружающей печени (30, 31), Сочетание усиленных контрастом функций МРТ и визуализации гепатобилиарной фазы продемонстрировало чувствительность и специфичность более 90% (31).

Потенциальные ловушки, которые относятся конкретно к Eovist / Primovist, включают переходное маркированное движение на изображениях артериальной фазы, неспособность оценить вымывание после воротной венозной фазы из-за раннего усиления паренхимы, трудности с определением «внешнего вида капсулы» из-за увеличения печеночной паренхимы и трудности с идентификацией венозной опухоли инвазия из-за более быстрого венозного клиренса и уменьшения контраста вены к печени (32, 33).

Применение гепатобилиарных агентов для диагностики ГЦК находится на переходном этапе. В некоторых основных руководствах по визуализации ГЦК не упоминаются контрастные агенты этого класса (5, 6, 34), в то время как другие общества или организации рекомендуют их использование (35). Остается неясным, будет ли гепатобилиарная фазовая контрастная гипоусилитель (32) более широко включена по сравнению с обычными характеристиками визуализации внеклеточного контрастного вещества для диагностики ГЦК (таблица 1).

Техника КТ

Мультидетекторная компьютерная томография (MDCT) обеспечивает быструю высококачественную визуализацию в тонких срезах и позволяет 3D-реконструкцию с лучшим пространственным разрешением, чем при МРТ. Высокие скорости инъекций (4-8 мл / с) обеспечивают более надежное улучшение в фазе печени и повышают чувствительность КТ к поражениям печени. Исследования показали наличие гиперсосудистых компонентов в 81-89% ГЦК (36). Для пациентов с противопоказаниями к МРТ КТ служит адекватной альтернативой.

Техника компьютерной томографии основана на тех же принципах, что и динамическая контрастная МРТ, с использованием артериального усиления, отсроченного вымывания и отсроченной усиливающей псевдокапсулы в качестве основы диагностики. Предварительно контрастные изображения служат основой для оценки последующего улучшения. После введения 100 мл Omnipaque 350 (Iohexol) мы используем систему болюсного отслеживания (пороговое ослабление в аорте 150 HU), чтобы начать визуализацию артериальной фазы дыхания через печень. Последующие серии изображений снимаются через 65 с и 240 с для получения изображения венозной и отсроченной фазы. Снимки изображения (постконтрастный минус предконтрастный) могут быть полезны для выявления усиления и оценки его степени (37) (таблица 1).

Диагностика ГЦК и написание отчета

Отличительной чертой ГЦК как при КТ, так и при МРТ является позднее усиление артерии с вымыванием относительно паренхимы печени во время венозной или отсроченной фазы (через 3-5 мин после инъекции) (рис. 1). Было показано, что этот паттерн усиления демонстрирует высокую специфичность и положительную прогностическую ценность (38-40), что делает его неинвазивным стандартом диагностики ГЦК (5, 6, 35, 41-44).

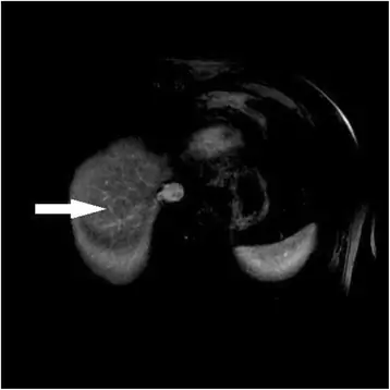
фигура 1
фигура 1

54-летний мужчина с циррозом гепатита С. КТ показывает артериальный узелок с усилением вымывания контраста в отсроченной фазе В в соответствии с гепатоцеллюлярной карциномой

Изображение в полном размере

В дополнение к паттерну усиления были описаны дополнительные признаки ГЦК, которые также специфичны для ГЦК, включая капсульное усиление (30, 45, 46). Капсулярное усиление (рис. 2) определяется как постоянный периферический усиливающий ободок, наблюдаемый на венозной и отсроченной фазах.

фигура 2
фигура 2

Мужчина 67 лет с алкогольной болезнью печени и циррозом печени. МРТ венозной фазы с гадолинием демонстрирует узелок ГЦК на куполе печени с капсульным усилением

Изображение в полном размере

Более конкретно, для МРТ диагноз ГЦК часто приписывают поражению, показывающему только усиление артерии или только вымывание и образование псевдокапсул, если поражение также демонстрирует повышенную интенсивность сигнала на T2-взвешенных магах (47, 48) или если поражение ограничивает диффузию (25, 27, 49), хотя некоторые из этих дополнений следует соблюдать осторожность, так как они могут привести к ложноположительным интерпретациям (50) (Таблица 2).

Таблица 2 Основные и вспомогательные функции МРТ для диагностики ГЦК

Таблица в натуральную величину

Внутриклеточный липид, обнаруженный в узле при двойном эхо в и противофазной МРТ, взвешенной по фазе T1, является дополнительным открытием, которое, как было показано, является достаточно специфичным для ГЦК. Это может быть полезным дополнением к набору инструментов при рассмотрении поражения с неспецифическими характеристиками усиления, поскольку внутриклеточный липид очень редко встречается в регенеративных или диспластических узлах (51) (рис. 3).

Рисунок 3
Рисунок 3

71-летний мужчина с циррозом гепатита С. Сигнал выпадает на противоположной фазе изображения (б) по сравнению с в фазе изображения (а). Результаты представляют внутриклеточный липид в опухоли ГЦК

Изображение в полном размере

В случае неуверенности консенсус приходит к мнению имеющихся специалистов отдела визуализации печени. Поражения с очаговым усилением печеночной артерии, но без вымывания, усиления капсулы или аномально повышенного сигнала Т2, считаются диспластическими узлами (если четко определен узелок) или неспецифическими гиперваскулярными поражениями (если они не начаты и субкапсулярны).

Мы рассматриваем предварительную визуализацию и клиническую информацию для всех пациентов. Понимание вариантов лечения ГЦК в соответствии с текущими рекомендациями является существенным. Мы структурируем выводы наших отчетов таким образом, чтобы междисциплинарная группа по печени могла принимать обоснованные решения в контексте доступных вариантов.

В отчетах указывается размер (наибольший диаметр осевого или венечного сечения), количество и расположение очагов ГЦК. Классификация Куено используется для анатомической ссылки (52). Хотя система была разработана для хирургического планирования, она является общепринятой, простой и более краткой, чем описательные термины для сегментарной анатомии. Корональное измерение часто пропускается в отчетах, но оно важно, поскольку оно влияет на стратификацию лечения, как для оценки трансплантата, так и для определения типа используемой локорегиональной терапии.

Мы оцениваем число опухолей от 1 до 4. Если имеется более 4 поражений, мы определяем, есть ли заболевание унилобар или билобар, и описываем, сколько поражений имеется в каждой доле, снова нумеруя их, чтобы их можно было легко обнаружить. Мы верим в важность предоставления серий и номеров изображений для каждого поражения до 4 поражений, чтобы, если радиолог-репортер не присутствовал на междисциплинарном собрании или если хирурги или специалисты по печени изучали изображения, они могли быстро найти поражения и не смущайтесь другими ошибочными выводами.

Для каждого поражения всегда описываются T1-взвешенные, T2-взвешенные, диффузионно-взвешенные и контрастные характеристики. Если имеются вспомогательные данные, например, пропадание сигнала на изображениях с противоположной фазой в отличие от изображений на фазах, то мы также добавляем их. Хотя мы не применяем строго LIRADS (Система отчетов и визуализации изображений печени) к каждому повреждению, мы сообщаем о результатах в контексте критериев LIRADS, так как это текущие наиболее полные рекомендации, используемые для стратификации риска злокачественного новообразования в контексте цирроза печени. и ГЦК (53). LIRADS - это полезная система, которая используется, когда нет тесного общения в междисциплинарной обстановке. Он легко доступен онлайн, и система полезна для тех случаев, когда существует некоторая неопределенность.

Что касается конкретных примеров, которые четко не охвачены руководящими принципами, то наш опыт показывает, что небольшие поражения, напоминающие узелковые артериальные, которые не показывают связанного вымывания, но которые увеличивают заметность с течением времени, заслуживают пристального внимания при последующей визуализации, поскольку у них часто появляются вспомогательные признаки вымывания, псевдокапсулы или ограниченной диффузии во времени. Небольшие очаги ограниченной диффузии или высокий T2-взвешенный сигнал с усилением артерии часто оказываются ГЦК, тогда как небольшие очаги или ограниченная диффузия без артериального усиления и без других вспомогательных признаков очень распространены и почти всегда не связаны с раком.

Обзор внепеченочных заболеваний важен, так как метастатическая болезнь меняет все пути лечения. Легкие должны быть визуализированы после диагностики ГЦК. Метастазирование наблюдается во многих местах, но наиболее частыми местами являются портальные лимфатические узлы, брюшина, надпочечники и кости.

Подбор и постановка

После того, как пациенту поставлен диагноз ГЦК, для определения оптимальной терапии и дальнейшего лечения принимается междисциплинарный подход. Наша группа включает хирургов-трансплантологов, гепатологов, онкологов, радиационных онкологов, а также поперечных и интервенционных радиологов. Мы готовим случаи для представления каждую неделю.

Хотя было разработано несколько схем организации, ни одна из них не была принята повсеместно. Несколько основных факторов были определены как влиятельные в прогнозе пациентов с ГЦК. Они включают функцию печени, размер и количество опухолей, степень опухоли, включая сосудистую инвазию и внепеченочное распространение, свидетельство портальной гипертензии и статус клинической эффективности. Близость опухоли к большим сосудам и основным желчным протокам также может быть уместна в отношении абляционной терапии, и стоит упомянуть, если эти обработки, вероятно, будут рассмотрены.

КТ и МРТ полезны для определения степени опухоли и внепеченочного распространения. Они также предоставляют вторичные доказательства портальной гипертензии, включая наличие спленомегалии и портосистемных коллатералей. Получение изображения грудной клетки также рекомендуется как часть начальной работы, учитывая, что легкое и кость являются распространенными участками метастазирования ГЦК. Сканирование кости также может быть выполнено, если есть подозрение на костный метастаз или если пациент рассматривается для трансплантации печени.

Система Барселонской клиники рака печени (BCLC) связывает стадию ГЦК у пациентов с циррозом печени с вариантами лечения, что делает ее наиболее распространенной системой стадирования (5, 6).

Система BCLC идентифицирует тех пациентов с ГЦК на ранней стадии, которые могут получить пользу от лечебной терапии (стадии 0 и А), тех, кто на промежуточных (стадия В) или продвинутых (стадия С) стадиях, которые могут извлечь выгоду из паллиативного лечения, и тех, кто наиболее подходит для лучшего поддерживающего ухода (стадия D). Варианты лечебного лечения, включая трансплантацию, резекцию и абляцию для пациентов с ранней стадией заболевания, зависят от местных факторов, специфических проблем пациента и предпочтений пациента. Варианты паллиативного лечения без лечения включают транскатетерную артериальную химиоэмболизацию (TACE) при заболевании стадии B, радиоэмболизацию и сорафениб при заболевании стадии C. TACE также все чаще используется в качестве «моста» для трансплантации, а в некоторых случаях и для того, чтобы вытащить пациентов, чтобы они могли стать кандидатами в список трансплантатов (54, 55).

В сомнительных случаях, когда диагноз ГЦК является неопределенным при небольших поражениях, разумным подходом является подождать 3 месяца и снова получить изображение (56, 57).

Визуализация после терапии

Поскольку многие пациенты с ГЦК не соответствуют критериям трансплантации или хирургического вмешательства, значительная часть пациентов получает местно-регионарную или системную терапию, и поэтому им требуется визуализация после терапии для оценки первоначального ответа и рецидивирующего заболевания. Не существует установленных руководящих принципов для идеальных интервалов времени наблюдения. Рецидив в 6, 5 раз чаще встречается в первый год после терапии, чем во второй год, поэтому в большинстве руководств рекомендуется 3-месячная интервальная визуализация в первый год после лечения (58). Мы проводим визуализацию с 3-месячными интервалами в течение одного года с последующими 6-месячными интервалами в течение 2 лет, а затем возвращаемся к ультразвуковому скринингу. Важно использовать одну и ту же методику для каждого последующего наблюдения, поскольку сравнение КТ и МРТ может быть сложной задачей. Мы обычно используем МРТ для наблюдения, поскольку результаты визуализации могут быть более трудными для интерпретации после лечения, и изображения вычитания могут быть действительно полезными (Рис. 4).

figure4
figure4

66-летняя женщина с циррозом гепатита С после микроволновой абляции ГЦК. Предварительно контрастное изображение после микроволновой абляции (a) показывает полость с высоким собственным сигналом при взвешенной визуализации T1. Изображение вычитания (b) удаляет высокий сигнал, что не приводит к улучшению

Изображение в полном размере

Было разработано несколько систем для объективной оценки реакции ГЦК на местную терапию. Некоторые из них основаны на размере опухоли, такие как критерии ВОЗ (Всемирная организация здравоохранения) и RECIST (Критерии оценки ответа при солидных опухолях) (59, 60), тогда как другие, такие как EASL, AASLD и mRECIST, основаны на оценка остаточного усиления ГЦК (61, 62). Следовательно, mRECIST, или модифицированный RECIST, не оценивает сам объем опухоли, как и RECIST, поскольку он не может измениться после лечения или даже может увеличиться, но оценивает объем остаточной функциональной опухоли или ткани, усиливающей артерию (63). Исследования показали, что основанные на улучшении mRECIST и EASL протоколы более точно коррелируют с остаточным бременем заболевания и выживаемостью после терапии, чем основанные на размере протоколы для пациентов, получавших абляцию, радиоэмболизацию и TACE (63-67). На наших междисциплинарных совещаниях мы используем комбинацию критериев mRECIST и EASL для количественного определения остаточной или рецидивирующей опухоли, а также информированного обсуждения членами команды (Таблица 3).

Таблица 3 Резюме ответов mRECIST и EASL

Таблица в натуральную величину

Прежде чем сообщать, мы должны удостовериться, что установили выполненные процедуры или используемые методы лечения, так как неосведомленность о них может привести к смущающим ошибкам в отчетности. Независимо от проводимой терапии, обработанная опухоль должна демонстрировать отсутствие усиления. Тонкий ободок может рассматриваться как нормальное явление после абляции и ТАСЕ из-за смежной гиперемии и фиброза (рис. 5). Тем не менее, остаточное или рецидивирующее заболевание проявляется в виде толстого или узелкового периферического артериального усиления (65, 68, 69) (рис. 6). Изменения после абляции одинаковы независимо от того, какой тип абляции выполняется. Зона абляции должна быть больше, чем исходная опухоль, на 5-10 мм. Если это не так, то необходимо уделять особое внимание тонким усиливающим поражениям. Зоны абляции могут со временем уменьшаться в размерах. Зона абляции может демонстрировать высокую интенсивность сигнала на предконтрастных T1-взвешенных изображениях в результате коагуляционного некроза, что затрудняет оценку улучшения артериального давления в отсутствие визуализации вычитания. Поэтому вычитания должны быть включены в протокол МРТ (22).

figure5
figure5

63-летний мужчина с циррозом печени и ГЦК, получавший микроволновую абляцию. Тонкий ободок усиления после абляции, соответствующий гиперемии, прилегающей к зоне абляции, является нормальным явлением и не представляет рецидив опухоли.

Изображение в полном размере

figure6
figure6

57-летняя женщина с циррозом печени и ГЦК, получавшая РФА. КТ в артериальной (а) и венозной (б) фазах показывает усиление и вымывание узелка, прилегающего к зоне аблации RFA

Изображение в полном размере

Выводы

Принятым методом скрининга гепатоцеллюлярной карциномы является ультразвуковое исследование. Если есть подозрение на ГЦК, то для подтверждения диагноза можно использовать компьютерную томографию или МРТ, чтобы определить объем опухоли для постановки. Система классификации BCLC является наиболее часто используемой для планирования лечения. Тем не менее, междисциплинарное совещание и планирование имеют важное значение для обеспечения принятия правильных путей в контексте каждого учреждения. После хирургического, локального, химиотерапевтического или радиотерапевтического лечения принимается последующая визуализация и регулярные междисциплинарные обсуждения.

Сокращения

AASLD:
Американская ассоциация по изучению заболеваний печени
BCLC:
Барселонская клиника рака печени
КТ:
Компьютерная томография
ДВИ:
Диффузионно-взвешенная визуализация
EASL-EORTC:
Европейская ассоциация по изучению печени, Европейская организация по исследованию и лечению рака
FSE:
Приобретение полуфурье турбо спин эхо
Б-г:
гадолиний
GRE:
Градиентное эхо
HCC:
Гепатоцеллюлярная карцинома
LIRADS:
Система изображения и отчетности печени
MDCT:
Мультидетекторная компьютерная томография
mRECIST:
модифицированные критерии оценки ответа при солидных опухолях
МРТ:
Магнитно-резонансная томография
RECIST:
Критерии оценки ответа при солидных опухолях
ТАХЭ:
Транскатетерная артериальная химиоэмболизация
КТО:
Всемирная организация здравоохранения