Двум нейрохирургам запрещены исследования на людях после введения бактерий в раны головы пациентов с опухолями головного мозга

Двум нейрохирургам запрещены исследования на людях после введения бактерий в раны головы пациентов с опухолями головного мозга
Двум нейрохирургам запрещены исследования на людях после введения бактерий в раны головы пациентов с опухолями головного мозга

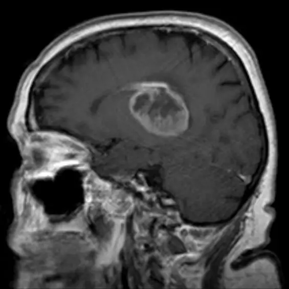
Хирурги сосредоточились на лечении злокачественной глиомы, самой опасной и распространенной формы опухоли головного мозга. Средний пациент с таким заболеванием живет всего 15 месяцев после постановки диагноза. Однако после встречи с двумя пациентами с глиобластомой, которые жили 15 и 20 лет после постановки диагноза их состояния, Муйзелаар увлекся идеей разработки лечения смертельной болезни.

В 2008 году врачи разработали идею лечения раковых опухолей пробиотиками, наносимыми на открытую рану головы, а затем прекращением приема антибиотиков, чтобы бактерии могли делать свою работу. (Большинство людей знают о пробиотиках, которые обитают в пищеварительном тракте, из-за их обычно вызываемого благотворного воздействия на желудок.) Поскольку два врача настаивали, что это был инновационный метод лечения, а не исследование, они были убеждены, что не нуждаются в одобрении. от институционального наблюдательного совета (IRB).

Их предложение дошло до Управления по санитарному надзору за качеством пищевых продуктов и медикаментов (FDA), которое предупредило, что им необходимо сначала провести исследования на животных. Сообщается, что оба доктора сделали это, хотя мне не удалось найти статью об испытаниях, опубликованную в рецензируемом журнале.

Начиная с 2010 года врачи провели процедуру у трех пациентов со злокачественными опухолями головного мозга, поместив бактерии в их открытые раны на голове. Процедура не увенчалась успехом. К публикации этой статьи все пациенты умерли. Двое умерли вскоре после этого от сепсиса; у пациента, который прожил дольше всех, действительно уменьшилась опухоль головного мозга, но была раневая инфекция. Через десять месяцев после процедуры этот пациент был вынужден принимать антибиотики и с тех пор умер.

После смерти второго пациента в 2011 году директор IRB обнаружил, что врачи запрашивали разрешение на проведение процедуры на пяти новых пациентах. Университет приказал врачам остановиться и провел шестимесячное внутреннее расследование, в ходе которого было установлено, что врачи виноваты в введении в заблуждение и неправильном понимании директив университета.

Несмотря на санкции университета, врачи настаивают на своей невиновности. Говорят, что все трое пациентов выразили свое согласие на процедуру. По крайней мере, один связался с Муйзелааром, чтобы принять в нем участие. Муизелаар также говорит, что верит в эту процедуру, заявляя, что если бы у него была глиобластома, он бы хотел, чтобы ему провели лечение.

Но этого должно быть недостаточно, по словам Артура Каплана, директора по медицинской этике Медицинского центра Лангоне при Нью-Йоркском университете. Каплан говорит, что умирающие пациенты часто отчаянно нуждаются в каких-либо признаках надежды, и поэтому их легко можно преследовать.

Муизелаар остается председателем школьного отделения неврологической хирургии "Джулиана Р. Юманса".

Его страницу на сайте Калифорнийского университета в Дэвисе можно найти здесь, хотя она периодически отключалась во время публикации.