Обратимость мужского контрацептива Vasalgel ™ на модели кролика

Обратимость мужского контрацептива Vasalgel ™ на модели кролика
Обратимость мужского контрацептива Vasalgel ™ на модели кролика

Фон

Разработка негормональных обратимых контрацептивов длительного действия для мужчин может оказать существенное влияние на сокращение нежелательных беременностей. Vasalgel ™ - это высокомолекулярный полимер, состоящий из стирол-альт-малеиновой кислоты (SMA), растворенной в диметилсульфоксиде, который разрабатывается как обратимое мужское противозачаточное устройство. Он образует гидрогель при имплантации в семявыносящее отверстие, что препятствует прохождению сперматозоидов. Предыдущие исследования на кролике доказали его эффективность, долговечность и быстрое начало. Это исследование оценивает способность восстанавливать концентрации сперматозоидов в эякулятах после процедуры реверса.

методы

Бикарбонат натрия вводили в семявыносящий сосуд после четырнадцати месяцев азооспермии после введения двух вариантов устройства (Vasalgel 100 и Vasalgel 80). Образцы спермы затем собирали в течение шести месяцев и сравнивали характеристики спермы с исходными уровнями. Образцы семявыносящего протока были получены для гистологического исследования.

Результаты

Сперматозоиды присутствовали во всех предметных эякулятах после процедуры реверса. Концентрация сперматозоидов и подвижность сперматозоидов были аналогичны исходным уровням после реверсии, в то время как прямое развитие сперматозоидов было значительно ниже, а нормальных акросом не наблюдалось. Процент прямого развития прогрессировал линейно в течение шести месяцев сбора спермы, однако нормальные акросомы не наблюдались в конце исследования. Гистологически несколько семявыносящих протоков были свободны от устройства и содержали неповрежденную эпителиальную оболочку. Меньшая доля тканей содержала остаточный тестируемый материал. Вторичный внутрипросветный воспалительный ответ иногда наблюдался в тканях, содержащих остаточный материал. Не было никакой разницы между двумя вариациями устройства для исследуемых параметров.

Выводы

Профилактика переноса сперматозоидов Васальгелем в течение 14 месяцев была отменена путем интравазальной инъекции бикарбоната натрия. Концентрация и подвижность сперматозоидов после реверсии вернулись к исходным уровням в течение шести месяцев наблюдения. Остаточный материал в просвете сосудов или нарушенная функция эпидидимального и семявыносящего протоков может приводить к снижению прогрессирования вперед и потере акросом при прохождении через сосуд. Снижение прогрессии вперед и отсутствие нормальных акросом настоятельно свидетельствуют о нарушении функции сперматозоидов.

Contexte

Развитие двусторонней контрацепции является обратимым, долгосрочным и не гормональным, но не оказывает значительного влияния на уменьшение количества недомоганий. Le Vasalgel ™ est un polymère de hau poid moléculaire, составляющий кислоту стирола-альт-малеик (SMA), в сочетании с необратимыми средствами контрацепции для мужчин. Une fois injecté dans les canaux déférents, il forme un hydrogel qui fait препятствие для прохождения сперматозоидов. Выступают за эти годы, когда дело доходит до детей, и их эффективность, и стремление к успеху. Представление о восстановлении потенциала восстановления концентрации сперматозоидов в жировой ткани до и после лечения.

Matériel et Méthodes

Бикарбонат натрия и канал для инъекций в Канале раз в два раза выше по сравнению с предыдущим составом лекарств для детей (Vasalgel 100 et Vasalgel 80). Изучите сперматозоида и смежного кулона «шесть месяцев назад» и сравните его со сперматозоидами. Извлечение каналов в анализ и гистологию.

Résultats

Сперматозоиды в настоящее время возвращаются к жизни и уходу за детьми. Концентрация сперматозоидов и их мобильность после реверсии. Сходные отношения, сперматозоиды, мобильность, прогресс, направленность, значимость, мотивы, ценности и качества жизни. Les pourcentages de spermatozoïdes à mobilité прогрессивное направление на расширенное линейное сопровождение на протяжении шести месяцев; Сепендант, aucun в нормальном и ретроспективном плане. В соответствии с гистологией плана, номенклатуры канадских отличий, непременных и точных, неповторимых и неповторимых границ. Неоправданный плюс достоверные пропорции содержания следов производства. По случаю наблюдения за воспламенением вторичного человека в Канаде составляется резюме. Не забывайте о разной разнице между рецептами и продукцией.

Выводы

Подвеска для транспорта сперматозоидов кулон 14 месяцев, в котором вы можете попробовать Vasalgel ™ и его инъекция внутри канала при помощи бикарбоната натрия. Возрождение, концентрация сперматозоидов и мобильность сперматозоидов, ревенентность, осознание того, как они живут, шесть месяцев жизни. Присутствие на свету на канале, посвященное анализу продуктивности, изменчивости и функциональности, изменчивости и интереса, стремление к прогрессивному развитию и развитию, нацеленное на транзитные перевозки. Снижение мобильности, прогрессивность и доступность аккордов, нормальное, форсированное развитие и изменение функциональности сперматики.

МОЛ-CLES

Контрацепция мужская, Полимер, Реверсилит, Контрацепция реверсивная из длинного дюри, Acide styrène-alt-maléique (SMA)

Фон

Методы обратимой контрацепции длительного действия (LARC) рекомендуются для предотвращения беременности из-за их высокой эффективности и низкой нагрузки на пользователей. Доступные женщинам варианты LARC (ВМС и имплантаты) были связаны с высоким уровнем продолжения (1). Хотя LARC часто стоят дороже, они являются одними из наиболее экономически эффективных методов контроля рождаемости, учитывая их высокую эффективность и длительность использования, особенно при рассмотрении расходов на нежелательную беременность (2, 3).

Наличие множества новых опций контроля рождаемости для мужчин и женщин позволит охватить людей разных возрастов и жизненных стадий (4). Наличие, разнообразие и эффективность LARC для женщин оказали значительное влияние на снижение уровня нежелательной беременности (5). Вполне вероятно, что аналогичные варианты для мужчин также окажут положительное влияние на репродуктивное здоровье. Тем не менее, в настоящее время нет LARC для мужчин. Вазэктомия, несмотря на длительное действие, как правило, считается постоянной из-за трудностей с реверсией, затрат и более низкого уровня успеха в восстановлении фертильности (6). Другие варианты (презервативы, абстиненция) - это краткосрочные решения с высокой частотой беременности для типичного использования (7).

Исследования по мужской контрацепции вращались вокруг гормональных и негормональных методов, которые подавляют выработку сперматозоидов, нарушают созревание или функцию сперматозоидов или изменяют транспорт или подвижность сперматозоидов (8). Многообещающим достижением является Vasalgel, высокомолекулярный полимер стирола-альт-малеиновой кислоты (кислоты SMA), разрабатываемый в качестве LARC для мужчин. Устройство вводится в семявыносящий проток, чтобы блокировать прохождение сперматозоидов через семявыносящий проток. Имплантат остается в мягком гелеобразном состоянии с способностью адаптироваться к внутреннему просвету семявыносящего протока и минимизировать любое размещение сосудов в присутствии материала. Он образует гидрогель, который обеспечивает транзит водорастворимых молекул, но не более крупных структур, таких как сперматозоиды.

Первоначальные исследования на кроликах подтвердили, что Vasalgel обеспечивает быстрое начало азооспермии с долговечностью в течение 12-месячного периода испытаний (9). Исследование также подтвердило эффективность кислоты SMA в Vasalgel по сравнению со стирол-малеиновым ангидридом (ангидрид SMA), который является основой аналогичного продукта под названием RISUG, который изучался в Индии более трех десятилетий (10). Состав Vasalgel дает ему важные преимущества для крупномасштабного производства и стабильности продукта, что должно способствовать утверждению регулирующих органов.

Цель настоящего исследования состояла в том, чтобы оценить эффективность инъекции бикарбоната натрия в семявыносящее отверстие для реверсии индуцированной вазальгелем азооспермии у кроликов.

методы

приборы

Аппараты Vasalgel состояли из 25% -ных по массе растворов SMA в диметилсульфоксиде (ДМСО). Средняя молекулярная масса (Mw) ангидрида SMA составляла 330 кДа на основе методологии стандартизированной гель-проникающей хроматографии (GPC) (Jordi Labs, Mansfield, MA, USA). Кислота SMA была получена гидролизом ангидрида и имела Mw 360 кДа. Одно устройство содержало только кислоту SMA и упоминалось как Vasalgel 100. Второе устройство содержало смесь 80% кислоты SMA и 20% ангидрида SMA по массе и упоминалось как Vasalgel 80. Конечные устройства были подготовлены и упакованы в азот. атмосфера в стеклянных флаконах объемом 4 мл от Polysciences, Inc. (Уоррингтон, Пенсильвания, США).

Предметы, жилье и уход

Исследование было выполнено с использованием 7 зрелых азооспермических самцов новозеландских белых кроликов (Harlan Laboratories, Oxford, MI) из исследования противозачаточной эффективности Vasalgel. Животные в среднем имели возраст 1, 9 года (SD = 0, 07 недели) и весили в среднем 4, 6 кг (SD = 0, 49 кг) (подробности ухода и содержания см. В (9)). Три зрелые женщины были использованы в качестве тизеров для сбора спермы. Все процедуры на животных были одобрены Медицинским центром Университета Лойолы, (Maywood, IL) Институциональным комитетом по уходу и использованию животных.

Экспериментальная дизайн

Исходные коллекции образцов спермы были получены до имплантации устройства Vasalgel во время исследования эффективности контрацепции (9). Все кролики получали двусторонние имплантаты vas семявыносящего Vasalgel 100 (n = 2) или Vasalgel 80 (n = 5). Через четырнадцать месяцев (SD = 0, 75 месяца) после имплантации азооспермические самцы подверглись процедуре реверсии, чтобы удалить Vasalgel и вернуть проходимость к семявыносящему сосуду. Сбор спермы начался через две недели после процедуры и продолжался в течение шести месяцев, чтобы установить наличие и качество сперматозоидов.

Имплантация устройств

Кроликам вводили устройства, как описано ранее (9). Вкратце, семявыносящий проток у анестезированных кроликов был выведен наружу и инъецирован приблизительно 100-120 мкл устройства в течение 30-40 с с использованием катетера диаметром 24 см диаметром 24 см (Quik-Cath от Baxter, Deerfield, IL). Затем катетер удаляли, семявыносящий проток мягко сжимали в течение приблизительно 30 с, а в месте инъекции идентифицировали сосудистую мускулатуру с 6-0 проленовым швом. Семявыносящий проток возвращали в семенной канатик, а участок закрывали 4-0 нейлоновыми швами.

Процедура обращения

Животных взвешивали, вводили антибиотик (Baytril® (Bayer Healthcare, KS, USA) 5 мг / кг) и затем анестезировали с помощью внутримышечной инъекции ксилазина HCl (4 мг / кг) и кетамина HCl (50 мг / кг) и подкожная инъекция малеата ацепромазина (1, 0 мг / кг). Надпубличный поперечный разрез длиной 1 см был сделан по средней линии приблизительно на 2 см выше головы до лобкового симфиза. Сперматозоиды были проделаны через разрез и изолированы. Кремастерская фасция была разрезана в продольном направлении, а семявыносящий проток был изолирован с ее кровоснабжением. Шов, отмечающий место имплантации, был идентифицирован.

Игла 19 калибра использовалась для входа в семявыносящий проток примерно в 0, 3 см от места введения Vasalgel (по направлению к эпидидимису). Затем в семявыносящий проток вводили катетер длиной 2 люмена 24 размера 15 см и продвигали его на максимальное расстояние примерно 8 см, когда возникало сопротивление дальнейшему введению. Затем катетер извлекали примерно на 1 см и 20 мл шприц прикрепляли к наружному просвету катетера, чтобы промыть сосуд с раствором бикарбоната натрия (2 М, рН 8, 0, Hospira, Lake Forest, IL, USA). Центральный просвет обеспечивал путь для любого выделения газа из-за реакции Vasalgel и бикарбоната, а также закапывания избыточной жидкости. Сначала к шприцу прикладывалось нежное давление, пока не встретилось сопротивление, давление прекратилось примерно на 15-30 с, а затем снова было приложено давление. Этот процесс повторяли несколько раз, пока легкое давление на шприц не позволило неограниченному потоку бикарбоната через сосуд. Количество повторяющихся циклов варьировало между васой и общим объемом, требуемым до первоначального получения неограниченного потока, составлявшим примерно от 2 до 5 мл раствора бикарбоната. Максимум 10 мл было введено.

Сбор и оценка спермы

Сбор спермы выполняли с использованием подогретого устройства для сбора спермы из искусственного влагалища, предназначенного для использования с кроликом и самкой «тизер» для стимулирования монтажа (11). Образцы спермы были оценены по объему, общему количеству сперматозоидов, подвижности и прогрессии вперед с использованием ручных методов.

Эвтаназия и вскрытие

В конце исследования кроликов умерщвляли с использованием стандартных процедур и вскрывали с особым вниманием к репродуктивному тракту.

Гистологическое исследование

Дефектцию сосудов у обработанных животных собирали и погружали в 10% нейтральный забуференный формалин для фиксации. Ткани обрабатывали, разрезали и окрашивали гематоксилином и эозином с использованием стандартных методов оценки.

Анализ данных

Данные были обобщены по субъекту, группе устройств (Vasalgel 100 и Vasalgel 80) и состоянию (исходное состояние и постобращение) для каждого измерения сперматозоидов. Обратимость устройства оценивали путем сравнения средних параметров сперматозоидов (концентрация сперматозоидов, прогрессия вперед и подвижность) для каждого субъекта по состоянию и по устройству. Первоначальная оценка набора данных выявила отклонения от нормального распределения. Таким образом, непараметрические тесты применялись для определения любых различий между группами Vasalgel 100 и Vasalgel 80 (U-критерий Манна-Уитни) и для оценки любых различий между показателями на исходном уровне и после постобращения (тест согласованных пар Уилкоксона) с использованием Statistica (StatSoft, Inc).., Талса, ОК, США). Был определен уровень значимости р <0, 05. Данные представлены как среднее значение ± стандартное отклонение.

Результаты

В общей сложности двенадцать семявыносящих протоков успешно промыли 2-10 мл раствора бикарбоната натрия (в среднем 6, 8 ± 4, 70 мл). Один сосуд в каждом из двух кроликов в группе Vasalgel 80 не был легко доступен или опознаваем и не мог быть смыт. Промывочная среда приводила к выделению газа CO 2 и наблюдению появления некоторой пены при ее выходе из места введения, которая протекала вокруг внешней стороны катетера. Незначительное растяжение семявыносящего протока наблюдалось при промывании у двух субъектов.

Среднее количество исходных образцов спермы, собранных до имплантации, составило 2, 4 ± 0, 5. Базовая средняя концентрация сперматозоидов до введения тестируемых устройств составляла 221 ± 46 × 10 6 сперматозоидов / мл с подвижностью 69, 4 ± 10, 2% и прогрессированием вперед 40, 9 ± 6, 0%. Животные были азооспермическими перед процедурой переворачивания. Сбор спермы начался через 14 дней после процедуры обращения, и первые образцы спермы были получены в среднем через 18, 9 ± 5, 5 дней после обращения и продолжались в среднем в течение 22, 6 ± 3, 3 недели. Восемьдесят процентов попыток сбора спермы были успешными, и количество анализируемых сборов составило 15, 9 ± 6, 3 на субъект в течение периода после обращения.

Сперматозоиды наблюдались в эякулятах всех субъектов в среднем через 23, 7 ± 9, 3 дня после процедуры реверса. Измеряемая концентрация сперматозоидов была очевидна при первом сборе спермы у четырех субъектов (два Vasalgel 100 и два Vasalgel 80), причем один из них уже через 12 дней после реверсии. Концентрация спермы была измерена у трех других кроликов после нескольких дополнительных сборов. Концентрации сперматозоидов были первоначально выше в первых коллекциях после процедуры реверсии у нескольких животных, а также выше по сравнению с исходным уровнем (в среднем 301, 9 ± 57, 2 × 10 6 сперматозоидов / мл). В среднем подвижность составила 62, 3 ± 9, 6% после разворота. Прогрессирование вперед в среднем составило 5, 3 ± 0, 9% после обращения, увеличиваясь с менее чем 3% для всех субъектов сразу после обращения до более чем 11% для всех субъектов в последней выборке.

Как показано на рис. 1, некоторые из субъектов в группе Vasalgel 80 имели низкие начальные концентрации сперматозоидов, но это наблюдение трудно интерпретировать из-за высокой разницы между индивидуумами и с течением времени, а также небольшим количеством субъектов. У двух из 80 субъектов Vasalgel был только один покрасневший семявыносящий проток. Из них один имел сперматозоиды в первом образце спермы, а другой имел сперму в пятом образце. Статистически три параметра спермы (концентрация, подвижность и прогрессия вперед) не отличались для Vasalgel 100 против Vasalgel 80 (все p> 0, 05). Поэтому все группы были объединены для дальнейших статистических испытаний.

фигура 1
фигура 1

Концентрация сперматозоидов (х 10 6) после изменения для семи кроликов, показывающая базовый средний показатель по группе и тенденции для двух разных устройств. Никаких существенных различий между устройствами обнаружено не было

Изображение в полном размере

Статистические сравнения между исходными измерениями спермы и результатами, полученными после процедуры реверса, проводились для определения того, вернулись ли значения к норме. Концентрация сперматозоидов существенно не различалась между исходным уровнем и после реверсии (Уилкоксон Z = 1, 01, р <0, 31) (см. Рис. 2). Подвижность сперматозоидов также существенно не отличалась при сравнении исходного уровня с постреверсивным (Уилкоксон Z = 1, 25, р <0, 17) (рис. 3). Прогрессия вперед была значительно ниже после процедуры разворота (Уилкоксон Z = 2, 37, р <0, 018) (рис. 3) с положительной линией тренда (R 2 = 0, 90 (см. Рис. 4)).

фигура 2
фигура 2

Концентрация сперматозоидов (х 10 6) во время базовой линии и после процедур разворота. Концентрация спермы вернулась к исходным уровням после изменения. Нет существенной разницы между исходным и постреверсивным

Изображение в полном размере

Рисунок 3
Рисунок 3

Подвижность сперматозоидов и процент прогрессии вперед на исходном уровне и после процедур разворота. Средняя подвижность вернулась к базовым уровням после обращения устройства. Вперед прогрессия была значительно ниже после обращения устройства (р <0, 02)

Изображение в полном размере

figure4
figure4

Процент сперматозоидов, показывающих прогрессирование вперед после обращения устройства для каждого кролика. Линейная линия тренда (y = 0, 089x - 0, 798, R 2 = 0, 90) показывает, что показатели продвижения вперед со временем увеличиваются

Изображение в полном размере

Нормальная крупная акросома кролика не наблюдалась на сперматозоидах во время анализа спермы после обращения. Это состояние наблюдалось в течение периода времени, в течение которого сперматозоиды были получены и проанализированы после обращения.

Общие наблюдения за репродуктивным трактом во время вскрытия показали, что яички были нормального размера и цвета. Простата и эпидидимиды выглядели нормальными, за исключением того, что у одного субъекта был затемненный эпидидимис с правой стороны, а у двух субъектов эпидидимис был меньше нормального. Другие грубые наблюдения семявыносящего протока включали спайки, припухлость или растяжение на конце около придатка (5/12) и истончение на конце простаты (8/12).

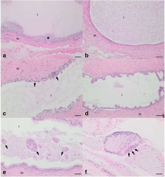
Были исследованы двадцать сегментов семявыносящего протока от пяти кроликов (два сегмента из обработанного семявыносящего левого и правого семявыносящего протока от каждого животного). В семявыносящих протоках у животных наблюдались различные внутрипросветные изменения (см. Рис. 5a - f). Остаток гидрогеля наблюдался в 4 из 20 сегментов (см. Рис. 5а, б и в). Два из этих сегментов были от одного животного с остатком, наблюдаемым в сегментах обеих семявыносящих протоков. Материал представлял собой нефибриллярный однородный амфофильный материал. Часто в этом материале наблюдалось явное разрушение, которое интерпретировалось как артефакт обработки. У этих животных эпителий слизистой оболочки попеременно заменялся округлыми до многоугольных клеток с обильной эозинофильной цитоплазмой и округлыми до овальных ядер. Эти клетки часто демонстрировали тесную связь друг с другом и интерпретировались как эпителиоидные макрофаги. Подобный материал, присутствующий в просвете семявыносящего протока этих животных, также наблюдался в окружающей интерстициальной соединительной ткани и интерпретировался как внепросветный гидрогель. Накопление этого материала часто организовывалось в многофокальную или коалесцирующую узловую структуру и ассоциировалось с окружающим ободком эпителиоидных макрофагов и многоядерных гигантских клеток (см. Рис. 5f). Это было изменение, аналогичное тому, которое наблюдалось у не обращенных животных в предыдущем исследовании (9).

figure5
figure5

Осмотр семенного кролика после процедуры обращения устройства. Продольный разрез (100-кратное увеличение) семявыносящего протока, содержащий остаточный материал в виде однородного просветного вещества. ★ изображает слой гранулематозного воспаления, который замещает эпителиальные клетки слизистой оболочки. Muscularis (M), просвет семявыносящего протока (L). Бар = 100 мкм. b Поперечное сечение (увеличение 100Х) семявыносящих протоков, содержащих фрагментированный остаточный материал. Muscularis (M), просвет семявыносящего протока (L). Бар = 100 мкм. c Продольный разрез (увеличение в 200 раз) семявыносящего протока. Фрагментированный материал присутствует в просвете. Эпителий слизистой оболочки ослаблен на этой микрофотографии (стрелка). Muscularis (M), просвет семявыносящего протока (L). Бар = 50 мкм. d Продольный разрез (100-кратное увеличение) семявыносящего протока. Просвет пустой и высокий столбчатый эпителий присутствует. Muscularis (M), просвет семявыносящего протока (L). Бар = 100 мкм. e Дополнительный продольный разрез (увеличение в 200 раз) семявыносящего протока. Скопления сперматозоидов присутствуют на этом изображении (стрелки). Muscularis (M), просвет семявыносящего протока (L). Бар = 50 мкм. f Внеочередной адвентильный материал с гранулематозным воспалением (увеличение в 200 раз). Стрелками изображены многоядерные гигантские клетки, смежные между эозинофильным и амфофильным материалом в интерстиции. Бар = 50 мкм

Изображение в полном размере

В семи из 20 сегментов был обнаружен внутрипросветный фрагментированный материал с такими же окрашивающими свойствами, что и материал, видимый в неповрежденных пробках устройства. Некоторые из этих фрагментированных областей гидрогеля содержали рассеянные сперматозоиды (см. Рис. 5д). Девять из 20 сегментов демонстрируют умеренное ослабление эпителия и уплощение, характеризующиеся от кубовидного до плоского вида. Сегментарная потеря эпителия слизистой оболочки без воспаления наблюдалась в некоторых регионах этой группы. Это изменение эпителия не всегда было связано с наличием интактной пробки или фрагментов внутрипросветного устройства (то есть было видно в сегментах прозрачных семявыносящих протоков). На остальных сегментах (7 из 20) обнаруживался неповрежденный эпителий, который казался столбчатым и часто имел ресничную апикальную поверхность (см. Рис. 5d).

обсуждение

Исторический недостаток развития контрацепции у мужчин влечет за собой культурные, финансовые и технические аспекты (12). Противозачаточные средства были направлены на женщин, которые несут ответственность за деторождение, а также традиционно за воспитание детей. С социальными изменениями в гендерных ролях и с современным тестированием отцовства мужчины взяли на себя большую ответственность родителей. Вопросы доверия партнеров-мужчин к контролю над рождаемостью также продолжают влиять на отношение к важности разработки мужских контрацептивов, однако многие комментаторы не знают, что до четверти населения мира уже полагается на современные или традиционные мужские методы. Эти изменения отражены в недавних исследованиях и опросах, свидетельствующих о том, что мужчины не только готовы разделить ответственность за контрацепцию, но и требуют большего репродуктивного контроля (8, 12). Даже при повышенном спросе на развитие контрацепции у мужчин все еще сталкиваются проблемы ответственности, политики, религии и нехватки государственных / частных инвестиций (4, 13). Несмотря на то, что в ходе исследования был изучен ряд различных вариантов мужской контрацепции, на рынке не имеется коммерчески доступных LARC для мужчин.

LARC мужского пола может снизить частоту нежелательных беременностей, предоставить мужчинам дополнительные возможности для контроля за их размножением и предложить парам альтернативу, когда женские методы контрацепции проблематичны. Vasalgel - многообещающий самец LARC, и исследования на кроликах доказывают, что Vasalgel не только обеспечивает быструю и длительную контрацепцию (9), но также возвращает сперматозоиды в эякулят вскоре после прохождения процедуры обращения с раствором бикарбоната натрия.

В текущем исследовании семявыносящие протоки вазальгель-индуцированных азооспермических кроликов промывали раствором бикарбоната натрия, чтобы восстановить проходимость для транспорта сперматозоидов. Бикарбонатные растворы использовались в предыдущих исследованиях для превращения аналогичного гидрогеля в модели на крысах (14, 15). ДМСО не рассматривался для растворения пробки гидрогеля, так как он мог вызывать усиление воспаления при длительном контакте с семявыносящим протоком (16).

Концентрации сперматозоидов нормализовались после процедуры реверса. Первоначально более высокие концентрации сперматозоидов, вероятно, были связаны с увеличением эпидидимальных запасов сперматозоидов в результате длительной блокировки транзита сперматозоидов (17, 18). Подвижность также вернулась к базовым уровням после разворота, но прогрессирование вперед было значительно ниже в период после разворота. Тенденция увеличения значений прогрессии вперед с течением времени показала, что происходил медленный процесс восстановления.

Нормальное время для сперматогенеза и перехода к эпидидимальным резервам составляет около 40 дней (19). Время прохождения от яичек до придатка яичка составляет около 10 дней (19, 20). Таким образом, сборы спермы после реверсии были выполнены после минимум 2, 5 циклов производства сперматозоидов, чтобы гарантировать эякуляцию недавно произведенных сперматозоидов.

Отсутствие нормальных акросом на сперматозоидах наблюдалось на протяжении всей оценки спермы после обращения. Предыдущие исследования других гидрогелей показали, что остаточный материал в просвете сосуда также может влиять на сперматозоиды во время прохождения вниз по сосуду (21-23). Снижение нормальной прогрессии вперед и отсутствие нормальных акросом могут указывать на нарушенную эпидидимальную и / или вазальную поддержку созревания и транспорта сперматозоидов, что может привести к снижению или полному бесплодию. Хотя процесс обращения успешно восстановил транспорт сперматозоидов в эякулят, эякулированные сперматозоиды не вернулись к норме.

Влияние пост-реверсивных характеристик спермы на показатели беременности неизвестно в этом исследовании, так как спаривание с женщинами не было включено в протокол исследования. Предыдущая работа по искусственному осеменению у кроликов показала, что для беременности требовалось около 10 миллионов подвижных сперматозоидов на образец (24). В нашем исследовании у кроликов было в среднем 187 миллионов подвижных сперматозоидов, при этом 16, 0 миллиона сперматозоидов демонстрировали прогрессирование вперед. Мы ожидаем успеха спаривания, основанного исключительно на концентрации и подвижности сперматозоидов. Тем не менее, снижение прогрессии вперед и отсутствие нормальной акросомы отрицательно скажется на фертильности. Нормальное поступательное развитие и акросомы являются важными предикторами фертильности. Тенденция восстановления прогрессирующего развития свидетельствует о том, что возвращение к полностью нормальным сперматозоидам может происходить в течение более длительного периода времени и восстанавливать фертильность.

Контакт сперматозоидов с остаточным материалом во время прохождения через семявыносящий проток может оказать негативное влияние на морфологию и функциональность сперматозоидов, что наблюдалось в предыдущих исследованиях с подобным материалом (21-23). Рождаемость у человека, скорее всего, потребует возврата всех параметров спермы в пределы нормы.

Казалось, эпителий сосудов возвращается в нормальное состояние после процедуры реверса. Хотя некоторые области наблюдались с эпителиальным ослаблением и уплощением, большая часть вазального эпителия имела неповрежденную структуру с нормальным столбчатым внешним видом и ресничной апикальной поверхностью.

Тем не менее, у всех животных сперматозоиды присутствовали в сперме после процедуры переворота, чтобы подтвердить восстановление проходимости в семявыносящих протоках.

Выводы

Блокировка транзита сперматозоидов в течение 14 месяцев после имплантации Vasalgel была быстро устранена путем интравазальной инъекции бикарбоната натрия. Количество сперматозоидов нормализовалось у всех субъектов за период наблюдения. После реверсии концентрация процента сперматозоидов и подвижности сперматозоидов вернулась к базовым уровням в течение шестимесячного периода наблюдения, при этом снижение прогрессирования сперматозоидов вперед демонстрирует тенденцию к восстановлению. Нормальные акросомы не наблюдались в течение периода оценки после обращения. Необходимы дальнейшие исследования, чтобы определить, позволит ли более длительный период времени полностью восстановить сосудистые структуры или необходимы улучшенные процедуры промывки, чтобы полностью удалить вазалгель, что приведет к возвращению нормальной морфологии сперматозоидов и прогрессированию вперед.

Результаты исследования подтверждают продолжение разработки Vasalgel как негормональной LARC для мужчин.

Сокращения

ДМСО:
Диметилсульфоксид
GPC:
Гель-проникающая хроматография
Mw:
Молекулярная масса
SD:
Среднеквадратичное отклонение
SMA кислота:
Стирол малеиновая кислота
SMA ангидрид:
Стирол малеиновый ангидрид