Успешный дооперационный локальный контроль воздействия на кожу при саркоме с использованием комбинации системной химиотерапии и химиохирургии Мооса

Успешный дооперационный локальный контроль воздействия на кожу при саркоме с использованием комбинации системной химиотерапии и химиохирургии Мооса
Успешный дооперационный локальный контроль воздействия на кожу при саркоме с использованием комбинации системной химиотерапии и химиохирургии Мооса

Фон

Саркомы иногда проникают в кожу и становятся открытыми, вызывая злокачественные раны, характеризующиеся кровотечением, экссудатом, запахом и инфекцией. Злокачественные кожные саркомы, как правило, неизлечимы и в конечном итоге ухудшают качество жизни пациентов. Химиохирургия Мооса - это ранее опубликованная методика химической фиксации опухоли кожи и последующего удаления.

Презентация кейса

Мы представляем случай 44-летнего мужчины с недифференцированной плеоморфной саркомой, возникающей в правой стенке грудной клетки и прорывающейся через кожу. Опухоль проявляется как злокачественная рана с изъязвлением, кровотечением, экссудатом и сильным запахом. Было начато лечение системной химиотерапией и химиотерапией по шкале Мооса. После повторных курсов опухоль продемонстрировала значительную усадку. Затем мы смогли выполнить широкую резекцию и реконструкцию с помощью мышечно-кожного лоскута прямой мышцы живота. Патологическое исследование резецированного образца подтвердило отрицательные поля.

Выводы

Химиохирургия Мооса с одновременной системной химиотерапией является эффективным и надежным вариантом лечения для достижения предоперационного местного контроля сарком, которые разрываются через кожу.

Фон

Саркомы возникают из каждой части человеческого тела, и иногда они проникают в кожу и становятся открытыми. Полученное поражение кожи часто характеризуется постоянным кровотечением, экссудатом, сильным запахом и инфекцией.

В 1941 году Фредерик Э. Моос разработал методику химической фиксации и последующего удаления кожных опухолей с использованием пасты (пасты Мооса), содержащей хлорид цинка; он опубликовал этот метод, описав его как «химический метод» (1, 2). В последнее время комбинированный эффект традиционной терапии с использованием бионанотехнологий становится все более привлекательным вариантом лечения (3). В частности, хелатор цинка, содержащийся в пасте Мооса, функционирует как ингибитор матричной металлопротеиназы, который способствует лечению сосудистых заболеваний (4). В представленном здесь случае была применена химиохирургия Мооса и параллельная системная химиотерапия, и был достигнут успешный локальный контроль кожных проявлений саркомы.

Письменное информированное согласие было получено от пациента до публикации отчета о данном случае.

Презентация кейса

За два месяца до презентации в нашей больнице 44-летний мужчина оказался в другой больнице с постепенно растущей опухолью в правой груди. Он также заметил опухоль в левой груди 20 лет назад. Он перенес резекции опухоли в обеих молочных железах одновременно. Рецидив опухоли в правой молочной железе был обнаружен через 2 недели после начальной операции. Из-за быстрого роста этой рецидивирующей опухоли он был направлен в нашу больницу для лечения. Макроскопически опухоль правой молочной железы имела диаметр 12, 0 см; оно было экссудативным, с изъязвлениями и кровотечением, с запахом (рис. 1).

фигура 1
фигура 1

Злокачественная рана была связана с опухолью правой молочной железы. Язва кожи, кровотечение, экссудат, сильный запах и инфекции были замечены

Изображение в полном размере

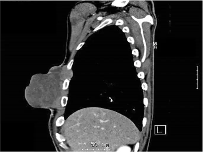
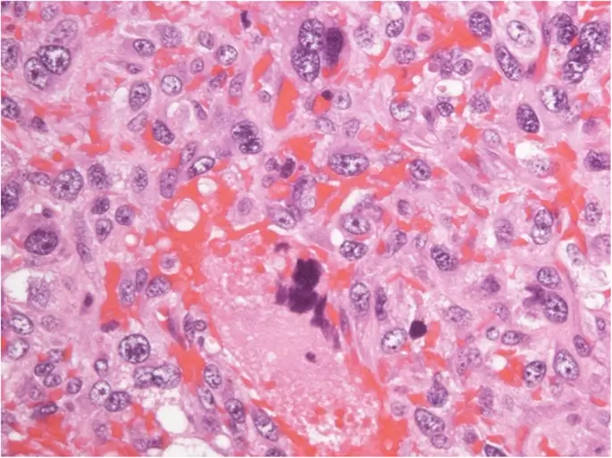
Компьютерная томография (КТ) показала массивную массу размером 10 см × 7 см × 9 см (рис. 2). Метастатических поражений не наблюдалось. Патологическими диагнозами образцов, резецированных в предыдущей больнице, были плеоморфная саркома правой молочной железы и атерома левой молочной железы, что согласуется с недифференцированной плеоморфной саркомой (рис. 3).

фигура 2
фигура 2

Сагиттальная компьютерная томография, показывающая опухоль, выступающую из стенки грудной клетки. Опухоль также проникает в межреберную область

Изображение в полном размере

Рисунок 3
Рисунок 3

Патологический диагноз подтвердил высокую степень саркомы в соответствии с недифференцированной плеоморфной саркомой (окраска гематоксилином и эозином; × 400).

Изображение в полном размере

Пациента лечили комбинированной терапией, состоящей из химиотерапии и химиохирургии Мооса. Режим химиотерапии проводился по протоколу К2 (5). До нанесения пасты Мооса мы наносили желе лидокаина на нормальную кожу, окружающую опухоль, потому что паста может вызывать боль в здоровой коже. Затем мы нанесли вазелин на нормальную кожу вокруг опухоли, чтобы паста Мохса не соприкасалась с нормальной кожей. Используя деревянные депрессоры языка, мы нарисовали пасту Мооса на опухоли, оказав давление на активные места кровотечения (рис. 4а). Потребовалось 10-20 минут для того, чтобы сочиться из саркомы, чтобы остановиться. Затем дополнительную пасту вытирали пропитанной физиологическим раствором марлей, завершая процедуру. Большинство поверхностных кровотечений можно контролировать с помощью этой краткой обработки. После обработки поверхность злокачественной раны стала сухой, черной и твердой (рис. 4б). Затем мы разрезаем дегенеративную поверхность опухоли хирургическими ножницами (рис. 4в) и снова прижимаем пасту Мохса к точкам кровотечения опухоли в течение нескольких минут. Мы повторяли эту процедуру каждые 3-4 дня.

figure4
figure4

a Поверхность опухоли была окрашена пастой Мооса. б Поверхность злокачественной раны была химически исправлена; оно стало сухим, черного цвета и твердым. c Внешний вид после разреза поверхности опухоли. d Дооперационный внешний вид грудной стенки. Опухоль заметно уменьшилась.

Изображение в полном размере

После трех курсов химиотерапии в сочетании с химиохирургией Мооса опухоль заметно уменьшилась в размерах (рис. 4d). Мы провели широкую резекцию опухоли и реконструкцию с помощью мышечно-кожного лоскута прямой кишки (рис. 5). Патологическое исследование резецированного образца подтвердило наличие фиброза и пенистых клеток в большинстве частей опухоли, что позволяет предположить, что предоперационное лечение было эффективным, но вариабельные опухолевые клетки были также обнаружены в небольшом количестве Хирургические поля были отрицательными. Пациент получил три курса химиотерапии после операции и был выписан из больницы. Однако двусторонние метастатические поражения в легких появились через 6 месяцев после операции, и пациент умер от этих метастазов через 18 месяцев после операции, несмотря на дополнительную химиотерапию.

figure5
figure5

Выполнена широкая резекция и реконструкция с помощью мышечно-кожного лоскута прямой кишки

Изображение в полном размере

Обсуждение и выводы

В представленном здесь случае пациента с инвазией кожи от плеоморфной саркомы в стенке грудной клетки сочетание химиотерапии Мохса и системной химиотерапии было эффективным и безопасным методом предоперационного местного лечения. Фредерик Э. Моос первоначально опубликовал эту технику для химической фиксации опухоли кожи (1, 2). Паста Мооса содержит смесь хлорида цинка, дистиллированной воды, цинкового порошка и глицерина. Хлорид цинка обладает множеством полезных свойств: он хорошо проникает в ткани, позволяет точно контролировать глубину фиксации, не мешает последующему заживлению при втором намерении, не является системно токсичным, безопасен в обращении и не имеет запаха (6).

Он превращается в ионы цинка в присутствии экссудата, и эти ионы цинка осаждают раневые белки. В конечном итоге ткани, сосуды и опухоль химически фиксированы (7).

Химиохирургия Мооса в основном использовалась для лечения пациентов с раком кожи (8), раком головы и шеи (9), раком молочной железы (10) и даже раком половых органов (11). На сегодняшний день имеется мало сообщений о клинических данных о применении химиотерапии Мооса для уменьшения опухоли у пациентов с саркомой в области ортопедии (12, 13). Ткань опухоли саркомы хрупкая и содержит множество патологических мелких сосудов; соответственно, саркомы, которые проникают в кожу, часто связаны с кровотечением. Такое кровотечение вредно для пациентов, и его трудно контролировать. Прямое наложение швов и электрокоагуляция имеют низкие показатели успеха в достижении гемостаза и иногда увеличивают кровотечение. Напротив, химическая фиксация с использованием пасты Мохса является безопасным и надежным методом достижения гемостаза опухоли. Кроме того, лечение сарком, расположенных на стенке грудной клетки, как и в случае, представленном здесь, представляет риск для пневмоторакса, и поэтому процедуры должны выполняться с осторожностью. Таким образом, с точки зрения безопасности, метод химической фиксации с использованием пасты Мооса, который представлен здесь, обеспечивает безопасную, выполнимую и эффективную альтернативу лечения по сравнению с ранее описанными методами (Таблица 1) (12, 13).

Таблица 1 Обзор литературы по химико-хирургической хирургии Мооса при глубокой саркоме мягких тканей

Таблица в натуральную величину

У пациентов с саркомами, которые проникают в кожу, частые изменения повязки необходимы, чтобы справиться с кровотечением, экссудатом, запахом и / или инфекцией (14). Паста Мооса эффективна в уменьшении этих симптомов, способствуя тем самым улучшению качества жизни пациентов. Кроме того, с экономической точки зрения частые изменения повязки с гемостатическими агентами являются дорогостоящими. В представленном здесь случае частота смены повязок была снижена с использованием пасты Мооса. Поэтому можно ожидать снижения медицинских расходов в связи с этим лечением.

У нашего пациента с кожной инвазией от плеоморфной саркомы мультимодальное лечение, включающее химиотерапию и химиотерапию Мооса, способствовало уменьшению опухоли, достижению успешного предоперационного локального контроля злокачественной раны и включению хирургической резекции опухоли. Наши результаты указывают на то, что химиохирургия Мооса может быть эффективным и надежным вариантом лечения сарком, которые разрываются через кожу.