Азооспермия у кроликов после внутривенного введения Vasalgel ™

Азооспермия у кроликов после внутривенного введения Vasalgel ™
Азооспермия у кроликов после внутривенного введения Vasalgel ™

Фон

Вазэктомия в настоящее время является единственным противозачаточным средством длительного действия, доступным для мужчин, несмотря на растущий спрос и потенциально значительное положительное влияние на здоровье человека дополнительных мужских противозачаточных средств. Vasalgel ™ - это высокомолекулярный гидрогелевый полимер, разработанный как негормональный обратимый мужской контрацептив длительного действия. Vasalgel состоит из стирол-альт-малеиновой кислоты, растворенной в диметилсульфоксиде, которая отличается от ранее исследованных материалов стирол-альт-малеиновый ангидрид.

методы

Цель исследования состояла в том, чтобы определить эффективность контрацепции двух испытуемых изделий с различными уровнями стирола и малеиновой кислоты (100% и 80% кислоты / 20% ангидрида). Испытуемые предметы вводили двусторонне в семявыносящий протока зрелых кроликов-самцов. Постимплантационный анализ параметров спермы был завершен в течение 12 месяцев и сравнивался с базовыми показателями концентрации сперматозоидов, подвижности и прогрессирования вперед.

Результаты

Оба тестируемых изделия были эффективны в блокировании прохождения сперматозоидов через семявыносящее отверстие у 12 субъектов, завершивших исследование. Значительное снижение концентрации сперматозоидов произошло после имплантации испытуемого материала, при этом концентрация сперматозоидов не поддалась измерению, за исключением нескольких образцов у одного животного, которые были заметно олигоспермическими. Vasalgel вызвал быстрое начало азооспермии без сперматозоидов в образцах спермы, собранных уже через 29-36 дней после имплантации, и был длительным в течение 12 месяцев.

Вывод

Это исследование показало, что Vasalgel является эффективным негормональным мужским контрацептивом длительного действия на модели кролика.

Фон

Наличие и использование противозачаточных средств имеет далеко идущие последствия для здоровья и благополучия человека. По оценкам, во всем мире ежегодно происходит 85 миллионов нежелательных беременностей, половина из которых заканчивается абортом и 13% - выкидышем (1). Неудовлетворенная потребность в современной контрацепции в развивающихся странах в 2012 году оценивалась в 222 миллиона. Удовлетворение этой потребности предотвратило бы 54 миллиона нежелательных беременностей, включая 26 миллионов абортов (2). Даже когда они доступны, методы контрацепции для мужчин и женщин часто используются непоследовательно или прекращаются на ранних стадиях по множеству причин (например, из-за отсутствия доступа к продуктам или рецептам; нежелательные побочные эффекты или проблемы со здоровьем; поиск более эффективного метода), что составляет 33 миллион случайных беременностей во всем мире (3, 4).

В то время как женщинам доступно несколько вариантов контрацепции длительного действия, вазэктомия - единственный метод длительного действия, доступный мужчинам. Вазэктомия безопасна и очень эффективна, но, как правило, считается постоянной, поскольку ее обращение технически сложно, дорого и может быть неэффективным для восстановления фертильности (например, (5)). Обратимые мужские методы контрацепции (мужской презерватив, спермицид, периодическое воздержание и абстиненция) имеют относительно высокий процент неудач и плохо воспринимаются различными группами населения (6). Было изучено большое количество потенциальных мужских контрацептивов, в том числе гормональные методы с продолжающимися клиническими испытаниями (7). Однако, учитывая риски и известные побочные эффекты для женского гормонального контроля рождаемости, начиная от венозной тромбоэмболии и заканчивая чрезмерным менструальным кровотечением, можно ожидать риска и при гормональном подходе для мужчин, и важно сосредоточить усилия на негормональных альтернативах (8), Спрос на негормональные, высокоэффективные противозачаточные средства для мужчин растет, и ожидается, что их потребление снизит частоту незапланированной беременности и связанных с ней последствий (9).

Вероятной мишенью для негормональной мужской контрацепции является семявыносящий проток, который переносит сперматозоиды из придатка яичка в эякуляторный проток. Был протестирован ряд продуктов, которые не позволяют жизнеспособным сперматозоидам проходить через семявыносящее отверстие (10). Примерами могут служить твердые устройства для окклюзии внутри сосудов (сделанные из полиуретана или силикона), зажимы для сосудов и устройства для фильтрации из медной сетки (11-15). Большинство сосудистых препаратов страдают от ограниченной обратимости, побочных эффектов или проблем с длительной эффективностью.

Внутривенные инъекции полимеров, которые становятся гидрогелями, очень перспективны в качестве устройства для мужской контрацепции. Один продукт под названием RISUG® (обратимое ингибирование сперматозоидов под руководством) на основе малеинового ангидрида стирола (ангидрида SMA) изучался в Индии более трех десятилетий (16). Исследователи сообщают о долгосрочной эффективности в доклинических и человеческих исследованиях (17, 18), причем клинические испытания III фазы продолжаются с 2002 года. Фертильность была возвращена крысам после удаления материала путем промывки бикарбонатом (19, 20) и у обезьян через пальпация и чрескожная электрическая и вибростимуляция (21-23). Сообщается, что RISUG работает, блокируя транспорт сперматозоидов, создавая несовместимый уровень pH и создавая положительный заряд, который разрывает акросомальную мембрану отрицательно заряженной головки спермы (10).

Vasalgel ™ - это высокомолекулярный полимер, разработанный в США в качестве противозачаточного устройства для мужчин. В то время как оба влекут за собой инъекцию в семявыносящий проток, Vasalgel имеет важные различия в составе и функции по сравнению с RISUG. Vasalgel состоит в основном из стирол-альт-малеиновой кислоты (кислоты SMA). Поскольку ангидриды SMA могут гидролизоваться в водных условиях, кислота SMA без ангидрида SMA обладает потенциальными преимуществами менее сложного процесса производства и долговременной стабильности, не заботясь о гидролизе, создавая более осуществимый путь регулирования. После имплантации кислота SMA образует гидрогель, который, по-видимому, прилипает к ткани, заполняет просвет семявыносящего протока и действует как механический барьер для прохождения сперматозоидов. Целью настоящего исследования было определение эффективности полимерного гидрогеля Vasalgel SMA для производства быстрой и надежной контрацепции в течение 12 месяцев на модели кролика. Поскольку эффективность препаратов, главным образом, ангидридов SMA (например, RISUG) известна, а эффективность кислотных препаратов SMA не известна и не гарантирована, сравнивали препараты кислоты SMA и смешанной кислоты SMA и ангидрида.

методы

Тестовые статьи

Испытательные изделия Vasalgel состояли из 25% -ных растворов SMA в ДМСО. Средняя молекулярная масса (Mw) ангидрида SMA (поли (стирол-малеиновый ангидрид, регистрационный номер CAS: 9011-13-6) составляла 330 кДа в соответствии с методологией стандартизированной гель-проникающей хроматографии (GPC) (Jordi Labs, Mansfield, Массачусетс, США). Кислота SMA (Poly (стирол-альт = -малеиновая кислота, регистрационный номер CAS: 25736-61-2 ) была получена гидролизом ангидрида и имела Mw 360 кДа. Тестовое изделие # 1 содержал только кислоту SMA (называемую «100% кислотой»). Испытательное изделие № 2 готовили путем взвешивания соответствующих количеств кислоты SMA и ангидрида SMA и получения смеси из 80% кислоты SMA и 20% ангидрида SMA по массе (обозначается как «смесь 80:20» в ДМСО. Конечные изделия для испытаний были подготовлены и упакованы в атмосфере азота в стеклянные флаконы по 2 мл компанией Polysciences, Inc. (Уоррингтон, Пенсильвания, США). Была выбрана смесь 80:20. обеспечить сравнение со 100% -ной кислотой SMA. Это было основано на оценке реакции материала в присутствии в физиологическом растворе. количество ангидрида в смеси приводило к получению менее гибкого и твердого материала, который был нежелателен в сосуде.

Предметы, жилье и уход

Исследования проводились с использованием 15 зрелых самцов и трех зрелых самок новозеландских белых кроликов, которые в среднем имели возраст 26, 2 недели (SD = 0, 37 недели) и весили в среднем 3, 7 кг (SD = 0, 10 кг) по прибытии из Harlan Laboratories, Оксфорд, Мичиган, Животных обследовали на предмет состояния здоровья и акклиматизировали в течение 7 дней. В протоколах содержания и ухода использовались рекомендации Национального центра по замене, переработке и сокращению животных в исследованиях (24). Кроликов по отдельности помещали в клетки из нержавеющей стали в комнатах с контролем температуры и света, отвечающих требованиям, указанным в публикации FELASA под названием Euroguide (25), и кормили Purina® Rabbit Chow ™ (Purina Mills, Сент-Луис, Миссури, США). Кролики также имели регулярный доступ к игровой площадке в той же комнате, где они могли общаться и заниматься спортом. Всех животных проверяли, по меньшей мере, два раза в день на жизнеспособность и общее состояние здоровья в течение всего периода исследования. Кроликов-самок использовали только в качестве тизеров при сборе образцов спермы. Они были размещены в той же комнате, что и самцы кроликов, и были помещены для усыновления в конце исследования. Все процедуры на животных были одобрены Чикагским комитетом по уходу за животными и их использованию при Университете Лойолы.

Экспериментальная дизайн

Была предпринята попытка взятия образца семенной жидкости у всех 15 кроликов-самцов в среднем за 6 недель (SD = 2, 7 недели) до имплантации устройства Vasalgel. Все кролики затем получали двусторонние имплантаты семявыносящего протока из 100% кислоты (n = 8) или смеси 80:20 (n = 7). Сбор спермы начинался снова в среднем через 10, 8 недели (SD = 4, 9 недели) после имплантации. Сбор спермы продолжался приблизительно еженедельно, пока не наблюдалась азооспермия. Затем сперму собирали два раза в месяц, примерно до 12 месяцев после инъекции.

Имплантация тестовых изделий

Животных взвешивали, давали антибиотик (Baytril® (Bayer Healthcare, KS, USA) 5 мг / кг) и затем анестезировали путем внутримышечной инъекции ксилазина HCl (4 мг / кг) и кетамина HCl (50 мг / кг) и подкожная инъекция малеата ацепромазина (1, 0 мг / кг). Надпубличный поперечный разрез длиной 1 см был сделан по средней линии приблизительно на 2 см выше головы до лобкового симфиза. Сперматозоиды были проделаны через разрез и изолированы. Кремастерская фасция была разрезана в продольном направлении, а семявыносящий проток был изолирован с ее кровоснабжением.

Выделенную семявыносящую правую и левую вазу увеличивали и вводили приблизительно 100-120 мкл испытуемого изделия в течение примерно 30-40 секунд, используя катетер диаметром 1, 6 см 24 размера (Quik-Cath от Baxter, Deerfield, IL). Этот объем материала должен был заполнить семявыносящий проток приблизительно до 2 см, основываясь на предварительных исследованиях у умерщвленных кроликов. Затем катетер удаляли, семявыносящие протоки мягко сжимали в течение примерно 30 с, а мышечный спазм сосудов в месте инъекции идентифицировали с помощью проленового шва 6-0. Семявыносящий проток возвращали в семенной канатик, а участок закрывали 4-0 нейлоновыми швами. Кроликам давали антибиотик Baytril® (5 мг / кг) (Bayer Healthcare, KS, USA) один раз в день в течение 7 дней после операции и обезболивающее средство бупренорфин HCl (0, 2 мл) каждые восемь часов в течение 72 часов после операции. Все хирургические процедуры были выполнены одной хирургической бригадой.

Сбор и оценка спермы

Сбор спермы проводился с использованием подогретого устройства для сбора спермы искусственного влагалища, предназначенного для использования с кроликом и самкой «тизер» для стимулирования монтажа (например, (26)). Образцы спермы оценивали по объему, общему количеству сперматозоидов, подвижности сперматозоидов и прогрессии вперед с использованием стандартных ручных методов. Кроме того, любые наблюдения за возможной спермой регистрировались, когда было слишком мало сперматозоидов для подсчета с использованием стандартных методов.

Эвтаназия и вскрытие

Кролики, умершие в течение 23-месячного исследования, получили вскрытие по стандартному протоколу с особым вниманием к репродуктивному тракту.

Семявыносящий проток от шести животных собирали и погружали в 10% нейтральный забуференный формалин для фиксации. Васа была от одного животного, которое умерло через три дня после имплантации, три животных были вскрыты в ходе исследования из-за отсутствия образцов спермы или поведенческих проблем (дни 189, 214 и 248) и два после длительного воздействия Vasalgel (дни 572 и 538). Ткани обрабатывали, разрезали и окрашивали гематоксилином и эозином с использованием стандартных методов оценки.

Анализ данных

Данные были обобщены по темам. Эффективность тестируемого изделия для блокирования сперматозоидов оценивали путем сравнения средних параметров сперматозоидов (концентрация сперматозоидов, прямое развитие и подвижность) для каждого субъекта в зависимости от состояния (базовый уровень и после имплантации) и тестируемого изделия (100% кислота, 80: 20 микс). Дисперсионный анализ повторных измерений с использованием схемы 2 × 2 был использован для статистического тестирования условия x значимости исследуемого изделия с использованием программы Statistica (StatSoft, Inc. Tulsa, OK, USA). Т-тест для независимых образцов проводился для определения любых различий в параметрах спермы на исходном уровне. Был определен уровень значимости р <0, 05. Данные представлены как среднее значение ± стандартное отклонение.

Результаты

Инъекция тестируемого материала была успешно выполнена всем субъектам мужского пола. Время для завершения операции по имплантации уменьшилось на 33% с первых пяти до последних пяти процедур (54, 0 ± 21, 6 против 36, 0 ± 10, 8 мин), так как хирург приобрел опыт выявления и введения малой и хрупкой семявыносящей вазы кролика. Экстравация небольшого количества испытуемого материала произошла в четырех семявыносящих протоках, и один раздувался, когда материал вводили.

Двенадцать животных (n = 6 в каждой из 100% кислотных и 80:20 смешанных групп) из исходных 15 были сохранены в исследовании. Три кролика умерли в послеоперационном периоде без ускорения заболевания, по-видимому, из-за хирургической травмы, поскольку операционная техника совершенствовалась. У двух субъектов (один 100% -ный кислотный, один 80:20) репродуктивный тракт наполнился кровью каудально до места инъекции, включая один семявыносящий проток у одного мужчины и оба семенника, семявыносящий проток и эпидидимиды у другого мужской. Не было никаких прямых наблюдений за воспалением из-за присутствия Vasalgel в vasa. Все остальные органы выглядели нормальными. Третий мужчина (100% кислота) был найден мертвым через три дня после операции без видимой причины. Все органы, включая репродуктивный тракт, выглядели нормальными, и место разреза заживало нормально. Не было никаких прямых наблюдений за воспалением или повреждением ткани из-за присутствия Vasalgel. Один из двенадцати испытуемых умер через шесть месяцев после операции по имплантации из-за травмы шеи, не связанной с операцией или присутствия Васалгеля. Репродуктивный тракт оказался нормальным, и его данные были включены в анализы. См. Таблицу 1 для информации по каждому предмету.

Таблица 1 Количество образцов спермы и концентрация спермы во время базовой линии и после имплантации тестируемых изделий для каждого субъекта

Таблица в натуральную величину

В общей сложности 264 образца спермы были успешно собраны (из 459 попыток) от 12 субъектов в течение исследования (Таблица 1). Самые неудачные попытки были связаны с эякуляцией вне искусственного влагалища. В среднем 2, 6 ± 0, 5 образца отбирали на субъекта в исходных условиях и 19, 4 ± 7, 6 отбирали на субъекта в течение 12 месяцев после имплантации. Объем спермы составлял 0, 30 ± 0, 07 мл в исходном состоянии и 0, 76 ± 0, 30 мл после имплантации испытуемого изделия.

Значительное снижение измерений спермы произошло у всех 12 животных после имплантации испытуемого изделия (таблица 1). Концентрация сперматозоидов в течение исходного уровня составляла 233, 1 ± 81, 2 × 10 6 сперматозоидов / мл (диапазон индивидуальных средних значений 130, 7 - 324, 0 × 10 6 сперматозоидов / мл). Образцы спермы после имплантации не содержали поддающихся измерению сперматозоидов с использованием стандартных методов в течение 12-месячного периода наблюдения, за исключением одного кролика с очень низкими концентрациями сперматозоидов, измеренными в пяти из первых 13 образцов спермы, но в конечном итоге предоставили образцы спермы без сперматозоидов в эякуляте., Средняя концентрация сперматозоидов у этого животного после имплантации составила 0, 24 × 10 6 сперматозоидов / мл.

В начале исследования средний процент подвижных сперматозоидов составлял 78, 2 ± 6, 8, а средний процент, показывающий прогрессирование вперед, составлял 42, 5 ± 7, 2. После имплантации эти параметры были нулевыми во всех образцах.

Анализ спермы также включал качественные наблюдения за небольшим количеством сперматозоидов или фрагментов в образцах, которых было слишком мало, чтобы их можно было надежно подсчитать с использованием стандартных методов. Из 233 образцов, отобранных после имплантации контрацептива, у трех кроликов в группе, получавшей смесь 80:20, было очень мало сперматозоидов в их первом образце спермы (появившихся на 29, 35 и 64 день после имплантации), что указывает на то, что практически все сперматозоиды были заблокированы.

Не было значительного различия в трех базовых параметрах спермы для двух испытуемых изделий (все p> 0, 2). Статистический анализ влияния состояния (исходное состояние по сравнению с имплантатом) по тестируемому изделию (смесь 100% против 80:20) показало значительный эффект состояния, при котором концентрация сперматозоидов значительно ниже во время состояния имплантата (F = 90, 0, р <0, 001) (Рисунок 1). Тестовая статья не оказала влияния на эти отношения, так как взаимодействия тестовой статьи и условия x тестовой статьи не были значимыми (p> 0, 05). Было невозможно провести аналогичный статистический тест на подвижность и прогрессирование вперед, потому что не было никакой изменчивости в состоянии имплантата (из-за нулевых значений подвижности и прогрессии).

фигура 1
фигура 1

Концентрация сперматозоидов в исходных условиях и в условиях имплантата для двух исследуемых изделий Разница между условиями была значимой (р <0, 001)

Изображение в полном размере

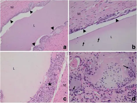
Гистологическая оценка семявыносящего протока у шести пациентов была завершена. Семявыносящий проток у одного животного после трех дней воздействия на имплантат обнаружил внутрипросветное накопление нефибриллярного, эозинофильного, амфофильного гомогенного материала (рис. 2а). Материал, накопленный в просвете, был лишен воспалительных клеток и эпителиальных клеток. У одного животного наблюдалось умеренное накопление сперматозоидов, внедренных в материал, а у остальных животных были обнаружены рассеянные сперматозоиды или отсутствие сперматозоидов, внедренных во внутрипросветный материал. Эпителий слизистой оболочки у всех животных демонстрировал некоторую степень ослабления, приобретая вид от кубовидного до уплощенного в отличие от реснитчатого столбчатого эпителия, наблюдаемого в областях, лишенных внутрипросветного материала. Наблюдалась потеря эпителия сегментарной слизистой оболочки без воспаления. У некоторых обработанных животных эпителий слизистой оболочки был заменен округлыми до многоугольных клеток с обильной эозинофильной цитоплазмой и округлыми до овальных ядер (Fig. 2b, c). Эти клетки часто демонстрировали тесную связь друг с другом и интерпретировались как эпителиоидные макрофаги. Более крупные клетки также присутствовали с похожей цитоплазмой, но содержали множество округлых или овальных ядер (в пределах от 2 до 10 ядер внутри клетки), что интерпретировалось как многоядерные гигантские клетки. Эта замена эпителия слизистой оболочки наблюдалась как сегментарным, так и периферическим образом у обработанных животных.

фигура 2
фигура 2

Семявыносящий проток кролика, содержащий гидрогель SMA. Продольный разрез (100-кратное увеличение) семявыносящего протока, содержащего гидрогель, проявляющийся как эозинофильный гомогенный просветной материал. Стрелки изображают эпителий слизистой оболочки. Muscularis (M), просвет семявыносящего протока (L). b Продольный разрез (увеличение в 400 раз) семявыносящего протока, содержащего гидрогель. В этом разделе стрелки обозначают ослабленный эпителий слизистой оболочки. Рассеянные сперматозоиды присутствуют (стрелки). Muscularis (M), просвет семявыносящего протока (L). c Поперечное сечение (увеличение в 200 раз) семявыносящего протока. Слой эпителиоидных макрофагов заменяет просветной эпителий в этом разделе (★). Muscularis (M), просвет семявыносящего протока (L). d Интерстициальный гидрогель с гранулематозным воспалением (увеличение в 400 раз). Стрелками изображены эпителиоидные макрофаги и многоядерные гигантские клетки, окружающие эозинофильный или амфофильный материал в интерстиции.

Изображение в полном размере

Подобный материал, присутствующий в просвете семявыносящего протока, также наблюдался в некоторых окружающих интерстициальных соединительных тканях, интерпретируемых как внегоральный гидрогель (Fig. 2d). Накопление этого материала часто организовывалось в многофокальную или коалесцирующую узловую структуру и ассоциировалось с окружающим ободком эпителиоидных макрофагов и многоядерных гигантских клеток. У многоядерных гигантских клеток, наблюдаемых в интерстициальном пространстве, часто обнаруживается большее число ядер, чем у слизистой поверхности семявыносящего протока. Оба испытуемых изделия (100% SMA и смесь 80:20) были одинаковыми по степени присутствия эпителиального ослабления, а также по воспалению, присутствующему на слизистой оболочке и в интерстиции.

Гистологические наблюдения, по-видимому, не зависели от продолжительности воздействия Vasalgel.

обсуждение

Несмотря на необходимость мужской контрацепции и тот факт, что сосудосуживающие устройства испытывались десятилетиями, ни один продукт не был успешно представлен на рынке. Характеристики окклюзионного материала являются критическими, и предыдущие попытки использовать твердый или полутвердый материал имели побочные эффекты или недопустимую эффективность. Например, уретановое внутривенное устройство, протестированное на 288 мужчинах в Китае, показало эффективность только на 94, 3%, не соответствуя 98, 6% эффективности вазэктомии в исследовании (12).

Характеристики тестовых образцов Vasalgel, вероятно, влияли на способность гидрогелей обеспечивать эффективную контрацепцию (16). Предыдущие исследователи противозачаточных средств на основе стирола на основе стирола сообщали об эффективности препаратов на основе ангидрида (16). Однако ангидриды со временем подвержены гидролизу до кислоты в присутствии воды. Состав на основе 100% -ной кислоты SMA, а не состав на основе малеинового ангидрида стирола, должен обеспечивать большую стабильность в условиях длительного хранения. В этом исследовании рассматривается вопрос о том, обеспечит ли препарат 100% -ной кислоты SMA такую же эффективность, как состав смеси ангидридов или кислот-ангидридов. Текущее исследование демонстрирует, что и смесь 100% кислоты и смесь 80:20, растворенные в ДМСО, были эффективны в блокировании семявыносящего протока при прохождении сперматозоидов. После имплантации исследуемого материала произошло значительное снижение концентрации спермы, при этом 99, 6% собранных образцов спермы не имели измеряемой концентрации спермы. Хотя это и не является значимым фактом, эффективность изделия, содержащего 100% кислот, подтверждается тем фактом, что единственные кролики, у которых было небольшое количество сперматозоидов в исходных пробах спермы, были из смешанной группы 80:20.

Начало азооспермии было быстрым и продолжительным в течение 12 месяцев. Кролики, у которых образцы были собраны уже через 29-36 дней после имплантации, были азооспермическими. Как описано выше, качественные наблюдения показали, что только у трех субъектов было видно несколько сперматозоидов, видимых в их первом образце. Гистологически, семявыносящий проток как из группы со 100% SMA, так и из группы 80:20 микс демонстрировал уплощение слизистой оболочки с ослаблением эпителия. Гранулематозное воспаление наблюдалось у некоторых животных в обеих группах и проявлялось либо в замещении слизистой оболочки популяцией воспалительных клеток, либо в интерстициальном узловом воспалении с помощью интраслециального полимера. Присутствие некоторого внепросветного геля могло произойти путем экстравазации материала сразу после инъекции. Однако реакция ткани, по-видимому, минимальна с характеристиками нормального ответа инородного тела. Эти изменения, похоже, похожи в васе как при кратковременном, так и при более длительном воздействии Васалгеля.

Кислотный полимер SMA, растворенный в ДМСО, обеспечивает функциональные преимущества в качестве контрацептива. Преимущества могут быть связаны со способностью ДМСО быстро проходить через водную среду, а также через клетки и ткани (27), что приводит к диффузии ДМСО из семявыносящего протока и образованию гибкого, прилипающего к ткани гидрогеля. Считается, что группы малеиновой кислоты в SMA необходимы для образования гидрогеля, и гидролиз групп малеиновых ангидридов в смеси имплантатов 80:20 до формы SMA малеиновой кислоты также может способствовать образованию гидрогеля (28). Гидрогели допускают транзит многих водорастворимых молекул, но не более крупных структур, таких как сперматозоиды, и эта гидропроницаемость может снижать гидростатическое давление в эпидидимусе и повторять яичко. Имплантат остается в мягком гелеобразном состоянии со способностью изгибаться и прилипать к семявыносящему сосуду и сводить к минимуму любое размещение сосудов в присутствии тестируемого изделия. Это отличается от устройств с твердыми пробками, которые могут выйти из строя из-за увеличения диаметра сосуда из-за присутствия твердого материала в просвете сосуда. Расширение сосудов наблюдалось в прошлых исследованиях, когда сплошная пробка вставлялась в сосуд на длительный период времени, что может затем позволить прохождение сперматозоидов вокруг сплошной пробки (Waller D (2012) Неопубликованные наблюдения).

Три кролика умерли после операции от очевидной хирургической травмы. Одному имплантировали смесь 80:20, а двум имплантировали 100% кислотные составы. По-видимому, ни одна из смертей не была связана с наличием инъецированного материала. Анатомия кролика диктует операцию на брюшной полости для доступа и введения семявыносящего протока, что влечет за собой более высокий хирургический риск и травму, чем доступ к человеческому сосуду. У людей контрацептивная имплантация Vasalgel может проводиться с использованием минимально инвазивной процедуры вазэктомии без скальпеля для доступа и введения Vasalgel (29).

Было высказано предположение, что метод контрацептивного действия материала SMA, главным образом ангидрида (RISUG), заключается в дезактивации сперматозоидов, проходящих через гель, который выстилал стенки просвета сосуда без полной окклюзии. Сообщалось, что это было достигнуто благодаря тому, что гидрогель снижал рН и вызывал нарушения электрического заряда, которые нарушали функцию акросомы (16, 30, 31). В этом исследовании мы не обнаружили никаких доказательств того, что измеримое количество сперматозоидов прошло преимущественно через кислотный материал SMA. Продукт Vasalgel, кажется, эффективен, блокируя прохождение сперматозоидов через семявыносящий проток в качестве основного способа действия.

Выводы

Как 100% -ная кислота SMA, так и испытуемые изделия из смеси 80:20, инъецированные в семявыносящую воронку кролика, вызывали быстрое начало азооспермии, которая была длительной в течение 12-месячного периода, доказывая эффективность на модели кролика. Влияние на структуру сосудов, кажется, незначительное и поддерживает возможность возврата к полной функции после удаления. Необходимы дальнейшие исследования этого нового контрацептива, в том числе успехи в вымывании геля из семявыносящего протока для возврата потока сперматозоидов, чтобы подтвердить его потенциал в качестве обратимого мужского контрацептива длительного действия.

Сокращения

GPC:
гель-проникающая хроматография
Mw:
молекулярная масса
SD:
среднеквадратичное отклонение
SMA кислота:
стирол малеиновая кислота
SMA ангидрид:
малеиновый ангидрид стирола