Излучение сотового телефона как фактор риска опухолей головного мозга

Излучение сотового телефона как фактор риска опухолей головного мозга
Излучение сотового телефона как фактор риска опухолей головного мозга

Повышенный риск развития опухолей головного мозга от мобильных и беспроводных телефонов

Споры о возможных проблемах со здоровьем, вызванных излучением мобильных телефонов, начались примерно в то же время, когда были представлены первые мобильные телефоны. С тех пор этой теме были посвящены многочисленные исследования, но результаты в некоторых случаях были крайне противоречивыми. В то время как некоторые исследования обнаружили значительные нарушения органических тканей, другие пришли к выводу, что «нельзя ожидать негативных последствий от излучения мобильных телефонов».

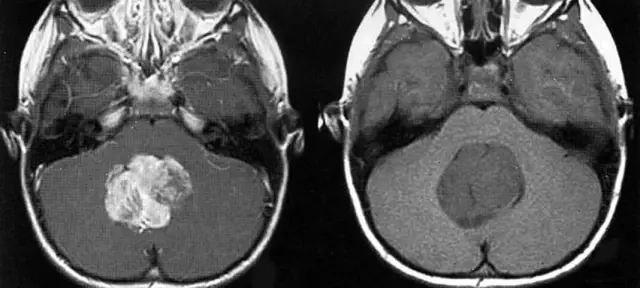
Теперь шведские исследователи Леннарт Харделл, Майкл Карлберг и Кьелл Ханссон Милд из Института онкологии при университетской больнице города Эребру опубликовали в специализированном журнале «Журнал патофизиологии» исследование, посвященное вывод о том, что с использованием мобильного телефона также связан повышенный риск возникновения так называемых глиом (злокачественных опухолей головного мозга). Аналогичным образом это относится и к беспроводным телефонам. Ученые винят в этом «высокочастотное электромагнитное излучение приборов». Дети и молодые люди особенно подвержены риску.

Image
Image

В три раза выше риск рака мозга

В рамках своего исследования ученые проанализировали возможную связь между использованием сотового или беспроводного телефона и возникновением злокачественных опухолей головного мозга. Они оценили данные 1498 пациентов с опухолью головного мозга и 3530 здоровых добровольцев из двух предыдущих исследований, чтобы определить влияние излучения мобильных телефонов на риск развития опухоли головного мозга. Шведские исследователи пришли к выводу, что как использование мобильных телефонов, так и использование беспроводных телефонов связаны с повышенным риском развития глиомы. Каждый год использования приводит к дальнейшему увеличению риска заболевания. Исследователи сообщают, что любой, кто пользуется сотовым телефоном более 25 лет, подвергается в три раза большему риску, чем средний. По словам Харделла, Карлберга и Ханссона, после 15-20 лет использования риск по-прежнему примерно в два раза выше, чем в среднем по популяции.

Дети и молодые люди, находящиеся в особой группе риска

Не только продолжительность использования сотового телефона, но и возраст, в котором он впервые им воспользовался, оказали влияние на риск возникновения опухолей головного мозга, считают ученые. Испытуемые, которые уже звонили по беспроводным и мобильным телефонам в молодом возрасте, подвергались особому риску. Риск заболевания был значительно выше при первом использовании устройств в возрасте до 20 лет, чем при их использовании позже. По словам исследователей, дети, в частности, не должны пользоваться мобильными или беспроводными телефонами, так как излучение проникает в их череп намного глубже, чем у взрослых. Кроме того, их мозг все еще развивается и поэтому особенно уязвим для вредных воздействий.

Другие исследования также указывают на повышенный риск рака

Результаты шведского исследования льют воду на мельницы критиков сотовых телефонов, особенно потому, что они дополняют более ранние исследования, которые пришли к таким же фатальным результатам. Например, новостной журнал «Фокус» сообщает об исследовании израильского врача Янива Хамзани из Тель-Авивского университета, которое в прошлом году показало, что излучение мобильного телефона также влияет на околоушную железу. В клетках слюны людей, которые много пользуются телефоном, было обнаружено значительно больше перекисей и свободных радикалов, чем у тех, кто отказывается от использования мобильных телефонов. Кроме того, исследование эпидемиологов из британского Оксфордского университета от 2013 года доказало, что у частых пользователей телефонов наблюдается скопление опухолей на слуховом нерве, сообщает «Фокус». У участвовавших в исследовании женщин в возрасте 50 лет и старше риск развития акустической невромы увеличивался в 2,5 раза, если испытуемые пользовались мобильными телефонами более десяти лет.

Контрмеры не ожидаются

Текущее исследование вызывает обеспокоенность по поводу излучения сотовых и беспроводных телефонов, но и на этот раз не следует ожидать никаких последствий. В прошлом медицинские учреждения, такие как Всемирная организация здравоохранения (ВОЗ), слишком часто предупреждали о возможных канцерогенных эффектах излучения мобильных телефонов, не давая рекомендаций по контрмерам. Как сообщает Focus, Международное агентство по изучению рака (IARC) Всемирной организации здравоохранения (ВОЗ) до сих пор считает возможной причинно-следственную связь между электромагнитными полями и раком, но это пока не доказано однозначно. Будущее, вероятно, принесет сюда просветление.