Компонент Hippo YAP локализуется в ядре вируса папилломы человека, положительного орофарингеального плоскоклеточного рака

Компонент Hippo YAP локализуется в ядре вируса папилломы человека, положительного орофарингеального плоскоклеточного рака
Компонент Hippo YAP локализуется в ядре вируса папилломы человека, положительного орофарингеального плоскоклеточного рака

Фон

ВПЧ-инфекция вызывает рак шейки матки, частично обусловленный деградацией скриббла через онкопротеин ВПЧ Е6. Недавно было показано, что Scribble является важным регулятором каскада сигналов Hippo. Дерегуляция пути Hippo вызывает аномальную клеточную трансформацию, переход от эпителиального к мезенхимальному, которая способствует онкогенному прогрессированию. Учитывая недавний рост плоскоклеточного рака ВПЧ ротоглотки, мы попытались определить, участвуют ли сигнальные компоненты Hippo в плоскоклеточном раке ротоглотки.

методы

Молекулярные и клеточные методы, включающие иммунопреципитацию, вестерн-блоттинг и иммуноцитохимию, были использованы для идентификации ключевого белка-эффектора пути Hippo Yes-Associated Protein (YAP) 1. Ротоглоточную ткань собирали путем резекции CO 2 лазером и исследовали с помощью антитела YAP1 в опухолевых и предзлокачественных областях ткани OPSCC, положительной для HPV.

Результаты

Это исследование показывает, что белок-адаптер Scribble Nitric Oxide Synthase 1 Adapter Protein (NOS1AP) образует комплекс с YAP. Кроме того, изоформы NOS1APa и NOS1APc демонстрируют дифференциальную связь с активированным и неактивированным YAP и влияют на пролиферацию клеток. В соответствии с дерегулированной передачей сигналов Hippo в опухолях HPV OPSCC, мы видим делокализацию Scribble и повышенное накопление YAP1 в ядре в HPV-позитивной OPSCC.

Вывод

Наши предварительные данные указывают на то, что изоформы NOS1AP по-разному ассоциируются с YAP1, что, вместе с нашими предыдущими результатами, предсказывает, что потеря YAP1 усиливает клеточную трансформацию. Более того, YAP1 сильно накапливается в ядре HPV-позитивного OPSCC, что означает, что передача сигналов Hippo и, возможно, экспрессия NOS1AP де-регулируются в OPSCC. Дальнейшие исследования помогут определить, будут ли изоформы NOS1AP, компоненты Scribble и Hippo полезными биомаркерами в биологии опухолей OPSCC.

Фон

Плоскоклеточный рак ротовой глотки (OPSCC) традиционно является заболеванием, связанным с длительным употреблением табака и алкоголя. В последние десятилетия произошел сдвиг в демографии пациентов OPSCC: большинство в настоящее время моложе, в остальном здоровы, не пьют и не курят. Широко признано, что этот сдвиг является вторичным по отношению к инфекции вирусом папилломы человека (ВПЧ). ВПЧ-16 обычно ассоциируется с высоким риском канцерогенеза и обнаруживается в 90% положительных по ВПЧ OPSCCs (1-3). Молекулярный механизм канцерогенеза, вызванного ВПЧ, хорошо изучен при раке шейки матки, и существует все больше литературных источников, касающихся его влияния на ротоглотку.

ВПЧ - это небольшой вирус, который поражает плоский эпителий. Это дает начало двум кластерам белков: раннему (E1-7) и позднему (L1-2). Все ранние гены E5, E6 и E7 дают онкопротеины, а остальные гены кодируют регуляторные и структурные белки (4). Онкопротеин E6 вызывает опосредованную убиквитином деградацию опухолевого супрессора P53, что приводит к снижению скорости апоптоза (4). Онкопротеины из штаммов HPV низкого риска (например, HPV-6) не способны воздействовать на белки-супрессоры опухоли так же эффективно, как штаммы высокого риска, такие как HPV-16 (4).

В дополнение к E6, разлагающему p53, недавние исследования показали прямое взаимодействие между белком E6 HPV и белком-супрессором опухоли Scribble, приводящее к деградации Scribble (5, 6). Это взаимодействие инициирует переход от эпителиального к мезенхимальному (EMT), раннее событие в клеточной трансформации и онкогенезе (7).

Эпителиальная полярность является фундаментальным процессом в клеточном росте и контактном торможении. Нарушение клеточной полярности является основной причиной канцерогенеза. Scribble является белком-супрессором опухолей, который локализуется на базолатеральных краях поляризованных эпителиальных клеток и играет основную роль в установлении клеточной полярности (8). Scribble также был связан с путем внутриклеточной трансдукции, известным как Hippo (9, 10). Активация хорошо зарекомендовавшего себя каскада Гиппо приводит к фосфорилированию и инактивации Yes-ассоциированного белка (YAP) 1 (далее именуемого YAP) и его удержанию в цитоплазме, тогда как дефосфорилирование и активация YAP локализует его в ядре. где он стимулирует клеточную пролиферацию (10). Дерегуляция пути Бегемота происходит в широком диапазоне карцином человека, включая рак легких, колоректальный, рак молочной железы, яичников, поджелудочной железы, желудка и печени (11-19). Дерегуляция YAP была вовлечена в другие злокачественные опухоли головы и шеи (20, 21), и его экспрессия была связана с плохой выживаемостью пациентов при раке пищевода (20). Повышенные уровни YAP и ядерная секвестрация были связаны с высокоуровневым плоскоклеточным раком полости рта (OSCC) (21), но в настоящее время неизвестно, играет ли роль дерегуляция пути Hippo в OPSCC.

Повышенная выживаемость и повышенная восприимчивость HPV-положительного OPSCC к лечению привели к оптимизму. Улучшение понимания механизмов модулированного ВПЧ онкогенеза различными молекулярно-канцерогенными путями может помочь в лучшем понимании онкогенеза и может привести к более эффективной целевой терапии в будущем. Учитывая недавний рост плоскоклеточного рака, связанного с ротоглоточным ВПЧ, и связь между Scribble-NOS1AP и ВПЧ, мы попытались определить, связана ли передача сигналов Hippo с такими видами рака. Это исследование является первым, чтобы исследовать передачу сигналов Hippo и нарушение Scribble-NOS1AP в OPSCC.

методы

Выбор образцов

P16, ВПЧ-положительная ткань пациента OPSCC была выбрана случайным образом из образцов в отделении анатомической патологии Центра медицинских наук QEII. Любой пациент в возрасте до 18 лет с неопределенностью статуса ВПЧ или неорофарингеальным плоскоклеточным раком был исключен из исследования. Образцы тканей были получены с помощью широкой локальной резекции СО 2 лазером СО 2. Злокачественные области, а также прилегающий эпителий были определены при гистопатологическом исследовании на месте. Часть тканей разрезали и использовали для окрашивания гематоксилином и эозином (H & E) и иммунофлуоресцентной визуализации. Срезы (5 микрон) ткани помещали на слайды с положительно заряженным барьером OptiPlus.

Реактивы

Все химические вещества были приобретены у Sigma, если не указано иное.

Антитела

YAP представляет собой мышиное моноклональное антитело, полученное против рекомбинантного человеческого YAP (Santa Cruz, sc-101199); Scribble (H-300) (Santa Cruz - sc-28737) представляет собой кроличье поликлональное антитело с повышенными аминокислотами 1331-1630, картирующее С-конец человеческого Scribble; pLATS (Ser 909) Сотовая сигнализация (# 9157). Pan-NOS1AP и антитела против pep-NOS1APc и GST-NOS1APc были описаны ранее (22, 23).

Клеточная культура и трансфекции

Клетки эмбриональной почки человека HEK293T или MCF7 выращивали при 37 ° С с 5% углекислым газом в модифицированной Дульбекко среде Игла (DMEM) с добавлением 10% инактивированной нагреванием фетальной бычьей сыворотки (FBS), 2 мМ L-глютамина, 100 Ед / мл. пенициллин и 100 мкг / мл стрептомицина.

Иммунопреципитация и вестерн-блоттинг

Клеточные линии гомогенизировали в буфере для лизиса NP-40 (10% глицерина, 1% NP-40, 20 мМ Трис (pH 8, 0), 37, 5 мМ NaCl), содержащем 1 мМ фенилметилсульфонилфторид (PMSF), 10 мкг / мл апротинина и 10 мкг / мл лейпептина. Эксперименты по иммунопреципитации (IP) и вестерн-блоттингу проводили, как сообщалось ранее (22). Для анализа уровней YAP и фосфо-YAP в клетках HEK293T количественно определяли концентрацию белка в лизатах цельных клеток с использованием анализа Брэдфорда (24), а лизаты готовили для иммунопреципитации (IP) и вестерн-блоттинга.

Иммуногистохимия (IHC)

Ткани были залиты в парафин, затем разрезаны на тонкие срезы и сохранены для дальнейшего окрашивания. Затем срезы депарафинизировали в ксилоле с последующей регидратацией через градуированный этанол / воду до регидратации в фосфатно-солевом буфере (PBS). Затем срезы блокировали в 5% нормальной козьей сыворотке, содержащей 0, 1% Triton X-100 в PBS. Затем их инкубировали в блокирующем растворе, содержащем анти-YAP и антитело против Scribble, в течение ночи при 4 ° C. Затем их промывали 3 раза в PBS с последующей инкубацией с флуоресцентно меченными вторичными антителами в течение 1 часа при комнатной температуре. Срезы тщательно промывали в PBS, инкубировали в Hoechst 33342 (Life Science Technologies), суспендировали в PBS перед монтажом на предметные стекла и визуализацией. Все изображения были получены на инвертированном микроскопе Leica DM6100 с соответствующими наборами фильтров с использованием программного обеспечения Intelligent Imaging Innovations (3i) для получения. Все последующие изображения были сделаны с помощью Photoshop 6.0.

Исследования включения тимидина

Анализ включения тимидина использовали для анализа индуцированной сывороткой пролиферации стабильных клеточных линий YFP, YFP-NOS1APa или YFP-NOS1APc, как описано ранее (23). Включение 1 мкКи / мл радиоактивного (метил- 3 H) тимидина (Perkin-Elmer) в клеточную ДНК в течение 15-минутного импульса определяли количественно с помощью жидкостного сцинтилляционного счета. Весь анализ был повторен в двух независимых экспериментах, и данные представляют собой средние значения для четырех независимых повторений в каждом эксперименте.

Результаты

NOS1AP и Scribble ассоциируются с компонентом сигнализации Hippo YAP

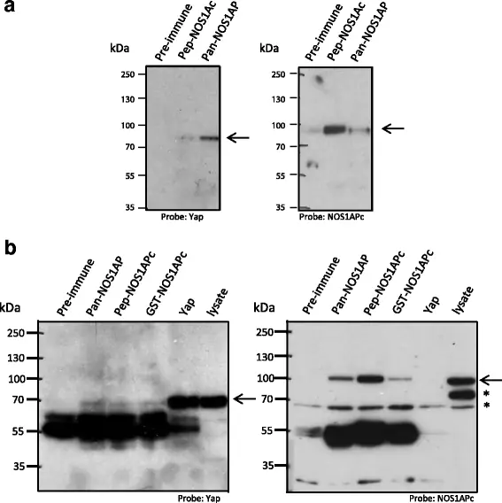
Белок-супрессор опухолей Scribble связывается с YAP и регулирует передачу сигналов Hippo (25, 26). В недавнем сообщении (23) мы показали, что адаптерный белок синтазы 1 оксида азота (NOS1AP) и расширенный вариант сплайсинга NOS1APc ассоциируются со Scribble. Кроме того, мы показали, что NOS1AP может ассоциироваться с YAP (23); однако, как NOS1APa, так и NOS1APc связываются с YAP и регулируют передачу сигналов Hippo, остается неизвестным. Это важно, поскольку как NOS1APa, так и NOS1APc имеют разные субклеточные локализации внутри клетки и ассоциируют с различными белковыми комплексами (23). Здесь мы проверили, могут ли NOS1APa и NOS1APc вызывать YAP одинаково. Чтобы проверить это, мы иммунопреципитировали равные количества лизата либо из клеток 293T (рис. 1а), либо из лизата мозга крысы (рис. 1b) либо с преиммунным антителом, изоформ-специфическим антителом NOS1APc (pep-NOS1APc), либо с пан- Антитело NOS1AP, которое обнаруживает множественные изоформы NOS1AP, включая NOS1APa (23). Полученные осадки затем исследовали на YAP. Как показано ранее, специфичные для pan-NOS1AP и NOS1APc антитела осаждали YAP (23). Однако антитело NOS1APc осаждает меньше YAP как в клетках 293T, так и в лизатах головного мозга крысы по сравнению с антителом pan-NOS1AP (стрелка, левая панель, рис. 1a), что свидетельствует о том, что NOS1APc не связывается с YAP в той же степени, что и некоторые другие изоформы NOS1AP.

фигура 1
фигура 1

Изоформы NOS1AP ассоциируют с YAP. Клеточный лизат HEK293T был иммунопреципитирован указанными антителами. Полученное блоттинг зондировали анти-YAP (стрелка, левая панель) и повторно зондировали специфическим антителом NOS1APc (pep-NOS1APc) (стрелка, правая панель). Обратите внимание, что с антителом pan-NOS1AP ассоциируется больше YAP, чем с антителом NOS1APc. b Лизат клеток мозга крысы был иммунопреципитирован указанными антителами. Полученное блоттинг зондировали антителом против YAP (стрелка, левая панель), а затем повторно зондировали специфическим антителом NOS1APc (pep-NOS1APc) (стрелка, правая панель). Звездочкой обозначены перекрестно реагирующие полосы

Изображение в полном размере

Отдельные изоформы NOS1AP ассоциируют с фосфорилированным YAP

Активация передачи сигналов Hippo индуцирует киназный сигнальный каскад, приводящий к фосфорилированию консервативных сериновых остатков в YAP. Поскольку мы обнаружили, что YAP по-разному ассоциирован с различными изоформами NOS1AP, мы затем хотели определить, могут ли изоформы NOS1AP преимущественно ассоциироваться с фосфорилированным или нефосфорилированным YAP. Чтобы проверить это, мы осаждали различные изоформы NOS1AP с помощью специфических антител к изоформе pan-NOS1AP или NOS1APc (pep-NOS1APc) и исследовали фосфорилированный YAP (pYAP). Интересно, что антитело pep-NOS1APc было способно осаждать pYAP, в то время как антитело pan-NOS1AP показало незначительное распознавание или отсутствие распознавания pYAP (стрелки, верхняя панель, фиг. 2). Поскольку было показано, что Scribble взаимодействует с YAP (27), мы хотели проверить, может ли Scribble также взаимодействовать с pYAP. Действительно, Scribble удалось связать с pYAP (верхняя панель, рис. 2). Вместе это говорит о том, что разные изоформы NOS1AP преимущественно ассоциированы либо с нефосфорилированным, либо с фосфорилированным YAP, тогда как Scribble может ассоциироваться с обоими.

фигура 2
фигура 2

NOS1APc ассоциируется с pYAP. Лизат клеток головного мозга крысы иммунопреципитировали антителами, указанными в полученном блоте, зондировали указанными антителами (верхняя панель pYAP (ser 127). Нижнюю панель, блот повторно исследовали с антителом pan-NOS1AP для идентификации NOS1APa. Звездочки обозначают крест реагирующая полоса

Изображение в полном размере

NOS1AP регулирует пролиферацию клеток

Учитывая, что передача сигналов Hippo связана с клеточной пролиферацией и что дифференциальные ассоциации изоформ NOS1AP с нефосфорилированным или фосфорилированным YAP, мы затем рассмотрели, будет ли избыточная экспрессия изоформ NOS1AP влиять на клеточную пролиферацию. Здесь клетки MCF7 использовались, поскольку дерегуляция передачи сигналов Scribble или Hippo влияет на пролиферацию в этих клетках. Клетки MCF7, стабильно экспрессирующие YFP, YFP-NOS1APa или YFP-NOS1APc, контролировали на предмет скорости пролиферации в 10% сыворотке после голодания в сыворотке. Интересно, что NOS1APa и NOS1APc показали значительно более низкие уровни включения тимидина по сравнению с YFP через 48 ч (** р <0, 01) и через 72 ч (*** р <0, 001) в 10% сыворотке (рис. 3). Однако в указанные моменты времени не наблюдалось значительного различия между YFP-NOS1APa и YFP-NOS1APc (рис. 3). Вместе они поддерживают идею о том, что обе изоформы NOS1AP влияют на пролиферацию клеток и могут функционировать как супрессор опухолей.

Рисунок 3
Рисунок 3

Изоформы NOS1AP влияют на клеточную пролиферацию. Голодные клетки MCF7, стабильно экспрессирующие YFP-NOS1APa и YFP-NOS1APc, содержат меньше меченного радиоактивным изотопом тимидина в течение 48 и 72 часов с 10% сывороткой по сравнению с клетками MCF7, стабильно экспрессирующими YFP. Различия считались значительными в t-тесте студентов при ** P <0, 01, *** p <0, 001

Изображение в полном размере

YAP накапливается в ядре HPV-OPSCCs

Было показано, что при раке шейки матки ВПЧ-инфекции приводят к деградации Scribble, что приводит к переходу EMT (18). Поскольку Scribble ассоциируется с NOS1AP, а Scribble и NOS1AP регулируют передачу сигналов Hippo, мы затем проверили, показала ли HPV-положительная OPSCC дерегулированную передачу сигналов Hippo. Здесь срезы от HPV-положительного OPSCC окрашивали YAP (фиг. 4a-f). В злокачественных клетках в ядре обнаружен ко-активатор транскрипции YAP (рис. 4д и е, стрелки). Примечательно, что в прилежащей предраковой ткани, хотя большая часть YAP была цитозольной, наблюдалось накопление некоторого количества YAP в ядре. В нераковой ткани YAP был ограничен от ядра (Fig. 4c и d).

figure4
figure4

YAP активируется в HPV + ve -OPSCC. a, b HPV + ve- OPSCC, окрашенные анти-YAP (а) и Hoechst (b). Примечание: сплошная линия - край опухоли (а, б). Помещенные в квадраты области в (a) развернуты в (c) левом поле и (e) правом поле. (c, d) Увеличенная область (левая рамка в a), показывающая Yap (c) и ядра (d). Обратите внимание, что Yap в основном локализован в маленькой пунктуре в цитозоле на краях опухоли, при этом некоторые клетки показывают накопление YAP в ядре (стрелка c, d). e, f Увеличенная область (правая рамка в a), показывающая Yap (e) и ядра (f). Обратите внимание, Yap локализован в ядре опухоли (е, е, стрелки). Шкала бар = 50um

Изображение в полном размере

обсуждение

Путь Hippo - это путь подавления опухоли, который был впервые описан у Drosophila. Он участвует в координации многочисленных белков, участвующих в разнообразных биологических процессах, которые участвуют в терминальной дифференцировке, и дерегуляция этого пути ведет к раку (8). In vitro было показано, что Scribble человека подвергается деградации белками E6 HPV высокого риска (5). Более 90% эндоцервикальных раков связано с ВПЧ (28). Накагава и соавт. был первым, кто описал связь между Scribble и HPV (17). Последующие исследования связывают поражения эндометрия человека более высокого уровня с более высокой деградацией белка Scribble (29). Недавно передача сигналов Hippo была связана с различными видами рака, и было показано, что scribble является важным медиатором передачи сигналов Hippo (25, 26). В настоящем исследовании мы пытались проверить, участвует ли человеческий гомолог Scribble в HPV-положительном OPSCC. Мы смогли продемонстрировать, что Scribble (23) и его ассоциированный белок NOS1AP оба преципитируют YAP. Кроме того, мы обнаружили, что различные изоформы NOS1AP ассоциируют с нефосфорилированным YAP и фосфорилированным YAP. Экзогенная экспрессия как NOS1APa, так и NOS1APc влияет на клеточную пролиферацию, что позволяет предположить, что обе изоформы NOS1AP вовлечены в клеточный рост. Наконец, наши предварительные результаты предполагают наличие связи между путем Hippo и осью Scribble-NOS1AP в OPSCC, связанной с HPV. Примечательно, что мы обнаружили обогащение YAP в ядре злокачественных клеток в OPSCC HPV, которое отсутствовало в доброкачественных соседних клетках (Fig. 4), что указывает на то, что YAP может обеспечить полезный биомаркер в HPV-OPSCC.

В культивируемых эпителиальных клетках формирование межклеточных контактов является важным этапом терминальной дифференцировки перед развитием отчетливых апико-базальных поверхностей (10, 30). Недавно в этот процесс был вовлечен транскрипционный ко-активатор YAP (10). В настоящее время ряд групп показал, что межклеточные контакты вызывают активацию серин / треонинкиназ LATS1 / 2, которые фосфорилируют YAP (31-33). После фосфорилирования YAP становится ограниченным от ядра, предотвращая транскрипцию генов, важных для прогрессирования клеточного цикла (9.10). Недавнее исследование рака шейки матки показало, что при поражениях шейки матки высокого уровня ядерный уровень YAP повышен (34). Кроме того, уровни ядерных YAP также увеличиваются в предраковых поражениях полости рта (35). Было установлено, что YAP является независимым прогностическим маркером общей выживаемости при раке печени (36), и Xiao et al. Показали, что YAP может функционировать в качестве прогностического маркера рака шейки матки (34). Эти соображения позволяют предположить, что определение того, в какой степени Scribble, NOS1AP и путь Hippo пересекаются с HPV-опосредованным OPSCC, будет важной целью для будущей работы.

Известно, что белок ВПЧ Е6 непосредственно ассоциируется со скрибблом и вызывает его деградацию за счет опосредуемой протеасомами деградации; однако, как это связано с сигнальной активностью Бегемота, остается неясным. Недавняя работа продемонстрировала, что как функции супрессора опухолей в Scribble, так и путь Hippo генетически связаны с регуляцией роста ткани и переходом EMT (9, 37, 38). Мы предлагаем одно важное направление исследований - сосредоточиться на белке-адаптере NOS1AP. Здесь мы показали, что изоформы NOS1AP ассоциируются с компонентами сигнализации Hippo, а также с Scribble. Кроме того, мы показываем дифференциальную связь изоформ NOS1AP с цитоплазматическим локализованным и накопленным в ядре YAP. Точно так же мы также показываем, что Scribble ассоциируется с обеими дифференциально локализованными формами YAP (рис. 1 и 2). Связано ли это взаимодействие с YAP с различными субклеточными локализациями различных изоформ NOS1AP, еще предстоит определить. Интересно, что в нейронах эндогенный NOS1APa был обнаружен в ядре, где обнаружен нефосфорилированный YAP (39). Однако стабильная экспрессия NOS1APa мембранно локализована в эпителиальных клеточных линиях и совместно распределяется с цитоплазматическим YAP (23). Таким образом, может ли YAP связываться с NOS1APa на межклеточных контактах в нефосфорилированном или фосфорилированном состоянии, еще предстоит выяснить. Несмотря на связь различных изоформ NOS1AP с различными локализованными пулами YAP, как NOS1APa, так и NOS1APc способны уменьшать пролиферацию клеток, что согласуется с предыдущими работами, показывающими, что NOS1APa функционирует в качестве супрессора опухолей на моделях рака молочной железы (40). Как NOS1AP функционирует для управления передачей сигналов Hippo, станет важным будущим направлением в биологии рака.

Недавний значительный рост количества OPSCC, связанных с ВПЧ, привел к поиску альтернативных путей, которые в будущем могли бы быть более доступными для целенаправленной терапии. Также можно предвидеть, что некоторые из вовлеченных белков могут быть предметами диагностики и прогнозирования опухолей. На сегодняшний день мы наблюдали это открытие у одного пациента с ВПЧ-положительным OPSCC с YAP, локализующимся в ядре в опухолевой ткани. Эта работа следует из другого недавнего исследования, показывающего, что уровни YAP повышены в HNSCC (41). Наша текущая работа расширяет это, демонстрируя, что у пациента с HPV-OPSCC, YAP локализован в ядре, предполагая, что передача сигналов Hippo, возможно, является важным сигнальным путем, относящимся к HPV-положительному OPSCC и к HNSCC в целом. Дальнейшее понимание путей передачи сигналов, используемых различными изоформами NOS1AP, может дать представление о базовой биологии OPSCC и может быть важным биомаркером в этом контексте. Таким образом, все больше пациентов с ВПЧ-положительным OPSCC набираются для расширения наших результатов и для понимания того, как каскад передачи сигналов Scribble-NOS1AP-Hippo может различаться в зависимости от степени рака.

Вывод

В этом исследовании белок-супрессор опухолей Scribble ассоциирует как с YAP, так и с фосфорилированным YAP. Интересно, что связывающий Scribble белок NOS1AP демонстрирует дифференциальную ассоциацию с транскрипционно активным и неактивным YAP, указывая на то, что различные изоформы взаимодействуют с путем Hippo для ингибирования YAP. Кроме того, мы показываем, что YAP локализуется в ядре в HPV-позитивной OPSCC, тогда как в предзлокачественных тканях YAP не обогащен в ядре. Вместе наше исследование указывает на потенциальную важность пути Hippo в OPSCC и указывает на изоформы NOS1AP в качестве потенциальных биомаркеров в этом процессе.

Сокращения

EMT:
Эпителиально-мезенхимальный переход
ОН:
Гематоксилин и Эозин
Hoechst 33342:
NOS1AP Nitric Oxide Synthase 1 Adapter Protein
ВПЧ:
Вирус папилломы человека
IHC:
иммуногистохимия
LATS:
Большой супрессор опухолей
OPSCC:
Ротоглоточный плоскоклеточный рак
ККОН:
Плоскоклеточный рак полости рта
PBS:
Фосфатный буферный раствор
ПЕА:
Да связанный белок