Предупреждение мамы после того, как дочь подавилась частью спиннера

Предупреждение мамы после того, как дочь подавилась частью спиннера
Предупреждение мамы после того, как дочь подавилась частью спиннера

Мама Келли Йоник написала в Facebook предупреждение другим родителям о спиннерах после того, как ее дочь подавилась игрушкой и в итоге ей сделали операцию

На этой неделе (15 мая 2017 г.) Келли отправилась в Facebook, чтобы объяснить, как она и дочь Бриттон, 10 лет, провели «довольно насыщенную субботу»

Мама из Техаса сказала:

‘По дороге домой с веселого соревнования по плаванию я услышал, как Бриттон издает странные рвотные звуки на заднем сиденье, когда я вел машину.

‘Оглянувшись в зеркало, я увидел, как ее лицо покраснело, а изо рта текла слюна - она могла издавать звуки, но выглядела запаниковавшей, поэтому я немедленно остановился».

Когда Бриттон указала на ее горло, указывая на то, что она чем-то задыхалась, Келли попыталась применить маневр Геймлиха, но сказала, что «сопротивления не было».

‘Она сказала, что положила часть своего спиннера в рот, чтобы почистить его, и каким-то образом проглотила его, - сказала Келли.

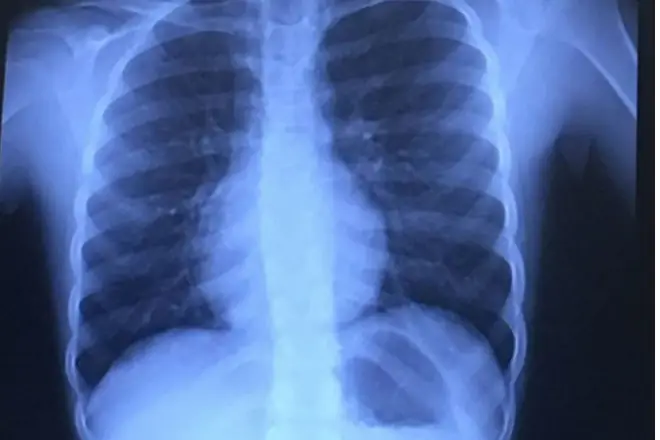
Когда Келли доставила Бриттон в отделение неотложной помощи, ее вскоре перевели в Техасскую детскую больницу, где рентген показал небольшую часть спиннера, застрявшую в ее трахее.

Непоседа спиннер
Непоседа спиннер

'Врач GI был очарован … он только что узнал о спиннерах тем утром, когда был в торговом центре со своим сыном, поэтому было неожиданностью столкнуться с одним из них несколько часов спустя..'

'К счастью, у нас положительный результат'

Когда они прибыли в детскую больницу, Бриттона отвезли в хирургию, чтобы найти и удалить часть игрушки.

' К счастью, у нас был положительный результат, но какое-то время там было довольно страшно… не только из-за первоначального проглатывания, но и из-за беспокойства о составе и структуре объекта, и, наконец, риска с общий наркоз, - сказала Келли.

Изображение
Изображение

Предупреждение родителям

Келли предупредила родителей, чтобы они знали об опасности удушья, которую эти игрушки могут представлять для детей:

‘От этого я хочу предостеречь родителей. Спиннеры Fidget - это нынешнее увлечение, поэтому они широко распространены.

‘Дети всех возрастов могут получать их, но не все спиннеры поставляются с предупреждениями, соответствующими возрасту.

‘Втулки легко выдвигаются, поэтому, если у вас есть маленькие дети (младше 8 лет), имейте в виду, что они представляют потенциальную опасность удушья».