Забрюшинная лимфатическая мальформация у собаки

Забрюшинная лимфатическая мальформация у собаки
Забрюшинная лимфатическая мальформация у собаки

Фон

Лимфатические сосудистые мальформации являются редкими находками у собак-собачек. В ветеринарной литературе имеется шесть сообщений. Забрюшинные кистозные лимфатические мальформации ранее не были описаны у собачьих пациентов, и ни один из них не использовал иммуногистохимию для определения их происхождения, то есть сосудистых и лимфатических.

Презентация кейса

8-летний кастрированный кокер спаниель был направлен по поводу поллакиурии, дизурии и болезненного живота. Компьютерная томография брюшной полости показала заполненную жидкостью структуру, прилегающую к мочевому пузырю. Во время хирургического исследования была обнаружена тонкостенная кистозная структура с серогеморрагической жидкостью, распространяющаяся из забрюшинного пространства в брюшную полость. Массу вырезали и отправляли на гистопатологию, обнаруживая кистозную массу, выстланную фиброваскулярной капсулой внутри забрюшинной / брыжеечной жировой ткани. Внутренняя поверхность кисты была выстлана одним слоем плоских плоских клеток веретена. Интрамуральные кровеносные сосуды были хорошо дифференцированы с периваскулярным кровоизлиянием. Через 11 месяцев повторная масса была иссечена во второй раз, и был помещен PleuralPort (продукты Норфолкских животных). Через пятнадцать месяцев после первоначального проявления прогрессировала геморрагическая жидкость в кистозном пространстве, плевральной и брюшной полостях, и владельцы выбрали эвтаназию. Гистопатология и положительная иммуногистохимия лимфатических маркеров эндотелиального рецептора-1 гиалуроновой кислоты в лимфатических сосудах (LYVE-1) и белка-1 гомеобокса просперо (PROX-1) подтвердили лимфатическое сосудистое происхождение кистозной структуры.

Выводы

По нашему опыту, точный диагноз ретроперитонеальной кистозной мальформации лимфатического происхождения может быть сделан только путем сочетания клинической картины, передовых изображений, гистопатологии и иммуногистохимии LYVE-1 и PROX-1. Это первое сообщение о пороке развития сосудов у собаки, где для постановки окончательного диагноза была использована иммуногистохимия. Лимфатическая мальформация, даже редкая, должна быть добавлена в список дифференциального диагноза у пациента с забрюшинной кистозной структурой, содержащей серогеморрагическую жидкость. Результаты этого отчета могут помочь в диагностике будущих случаев, однако необходимы дальнейшие исследования терапии и ведения, чтобы предоставить дополнительную информацию об оптимальном лечении этих пациентов.

Фон

Сосудистые аномалии могут возникать из-за пролиферации опухолевых клеток или аномального развития эндотелия сосудов (пороков развития) (1). Врожденные пороки развития с лимфатическим происхождением редко встречаются в ветеринарной литературе и традиционно группируются под термином лимфангиома, что предполагает опухолевый процесс, но, поскольку они рассматриваются как аномалии морфогенеза, это не настоящие новообразования (2, 3). В человеческой литературе лимфангиомы переименовываются в лимфатические мальформации. Тем не менее, обе классификации по-прежнему используются одновременно и как синонимы, в зависимости от вовлеченного общества (Всемирная организация здравоохранения (ВОЗ) / Международное общество по изучению сосудистых аномалий). Поскольку обе классификации по-прежнему используются взаимозаменяемо, обзор литературы может привести к путанице и затруднить дифференциацию между пороками развития и новообразованиями (3, 4).

Обзор ветеринарной литературы показывает, что подавляющее большинство сосудистых мальформаций имеют кровеносные сосуды (5, 6, 7, 8, 9, 10, 11, 12, 13, 14, 15). Лишь несколько сообщений подтверждают возникновение сосудистых мальформаций в лимфатических сосудах кожи, кишечника, печени и молочной железы (16, 17, 18, 19, 20, 21). Ветеринарные отчеты, которые позволяют предположить наличие лимфатического происхождения, часто ссылаются на неопластическое происхождение поражения (16, 17, 18). Несоответствие в количестве зарегистрированных случаев между пороками развития сосудов по сравнению с пороками развития лимфатических узлов, вероятно, связано с отсутствием диагностических методов для адекватной дифференциации эндотелия сосудов и лимфатических сосудов. Halsey et al. (22) и Galeotti et al. (23) описывают успешное использование иммуногистохимических окрашиваний эндотелиального гиалуроновой кислоты в лимфатических сосудах (LYVE-1) и просперо-гомеобокс-протеина-1 (PROX-1) для дифференциации лимфатического и сосудистого происхождения при кожных ангиосаркомах у 20 собак и одной кошки, Эти пятна до сих пор не использовались для дифференцировки сосудистых мальформаций у собак и кошек, по сравнению с человеческой медициной, где эти пятна успешно дифференцировали лимфатические и кровеносные сосуды от сосудистых мальформаций (23, 24, 25, 26, 27, 28). Этот отчет описывает необычное кистозное лимфатическое поражение в забрюшинном пространстве у собаки.

Презентация кейса

Кокер-спаниель 8-летней кастрированной женщины был представлен ветеринарному врачу с 24-часовым анамнезом поллакиурии, дизурии и болезненного живота при клиническом осмотре. Рентгенологическое и ультразвуковое исследование брюшной полости показало наличие большой жидкости, содержащей структуру с внутрипросветными гиперэхогенными массами, которая была неверно истолкована как мочевой пузырь. Цистоцентезом дренировали объем геморрагической жидкости объемом 300 мл, и в связи с подозрением на злокачественное образование мочевого пузыря случай был передан для дальнейшей оценки.

При клиническом осмотре собака была светлой и настороженной с показателем состояния тела 6/9, нормальным дыханием, пульсом 100 / мин, Т 38, 8 ° С и розовыми слизистыми оболочками. Живот был болезненным при пальпации. Гематологические, биохимические и коагуляционные тесты (время протромбина и частичное время тромбопластина) были незначительными, за исключением легкой гиперкалиемии (5, 3 ммоль / л; референтный диапазон 3, 4-4, 9 ммоль / л). Чтобы исключить нарушение свертываемости крови, были проведены дополнительные тесты: время кровотечения слизистой оболочки щеки было нормальным, а тест легкого червя (Angiostrongylus vasorum) был отрицательным. УЗИ брюшной полости выявило свободную эхогенную жидкость, которая имела геморрагический характер при парацентезе с объемом уплотненных клеток (PCV) 17% и общим содержанием твердых веществ (TS) 32 г / л, по сравнению с периферической кровью, которая имела PCV 48% и TS 66 г. / л. Это исключало брюшное кровотечение и вызывало подозрение на кистозную массу с оккультным кровотечением в кисте.

Выполнена контрастно-контрастная томография торакоабдоминальной компьютерной томографии (КТ). В грудной полости мягкий ателектаз клинического значения не обнаружен, в то время как в брюшной полости обнаружен большой объем эхогенной перитонеальной жидкости без контрастного усиления (рис. 1). На левой стороне мочевого пузыря, внутри очагов асцита, была обнаружена фокальная область усиливающего контраст полосатого материала, прилегающая к нисходящей ободочной кишке, левой бедренной артерии, культи матки и левой стороне мочевого пузыря (рис. 2). Единственный маленький (2.5 мм в диаметре) узелок, ослабляющий мягкие ткани, был обнаружен рядом с селезенкой, дорсально с левой стороны живота. Кистозная структура не была снова удалена, и узелок селезенки был слишком мал, чтобы аспирировать. После этих результатов нашими дифференциальными диагнозами были неоплазия, фибриновый материал или гранулематозное воспаление. В качестве диагностической и терапевтической меры была выполнена вентральная срединная исследовательская лапаротомия от мечевидного отростка до лобка. Большая, тонкостенная, заполненная жидкостью структура была обнаружена в левой части брюшной полости, простираясь от левого забрюшинного пространства, которая расширила дорсальную брюшную брюшину и заставила ее отклониться, чтобы лежать дорсально по отношению к мочевому пузырю. С левой стороны жидкость расширялась в левой боковой связке мочевого пузыря и окружала левый мочеточник (рис. 3). Ножка матки не была вовлечена. Кистозная структура была дренирована, чтобы отличить патологическую стенку кисты от нормальных анатомических структур. Оба мочеточника были обнажены, поэтому они не прилипали к кистозной структуре или дорсальной брюшине. Большая часть стенки кисты (около 90%) была удалена при сохранении почек, мочеточников, мочевого пузыря и внутренней и наружной подвздошной артерии и вены. Никаких дополнительных кистозных образований в забрюшинном пространстве не выявлено, а также не было признаков метастазирования в брюшные лимфатические узлы или органы. Узелок селезенки, видимый при УЗИ брюшной полости, не может быть визуализирован макроскопически. Забрюшинное пространство было сальниковой, чтобы помочь в продолжающемся дренировании. Иссекаемая ткань была представлена на гистологическое исследование. Собака выздоровела незаметно и через 2 дня выписана после операции.

фигура 1
фигура 1

Поперечный разрез брюшной полости на КТ, без контраста. Большое количество свободной брюшной жидкости присутствует. Стрелки указывают на забрюшинное пространство, которое имеет полосатый вид, что свидетельствует о свободной жидкости

Изображение в полном размере

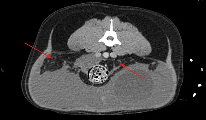
фигура 2
фигура 2

Спинной отдел брюшной полости на КТ, без контраста. Забрюшинная кистозная структура (стрелка) прилегает к толстой кишке (звездочка). Мочевой пузырь (наконечник стрелы) можно визуализировать с правой стороны ободочной кишки. R справа, L слева, Cr черепной, Ca каудальный

Изображение в полном размере

Рисунок 3
Рисунок 3

Интраоперационные фотографии строения забрюшинного пузырного пузыря и мочевого пузыря. а Показывает большую кистозную структуру в брюшной полости, которая может быть неверно истолкована как мочевой пузырь. b Однако при тщательном исследовании брюшной полости мочевой пузырь (стрелка) можно определить с правой стороны пациента. Киста отмечена звездочкой (*). Cr черепной, Ca каудальный

Изображение в полном размере

Гистологическое исследование иссеченной ткани подтвердило кистозное повреждение, состоящее из фиброваскулярной капсулы с внутренним слоем мягких сплющенных клеток веретена (рис. 4). Плотность кровеносных сосудов стенки варьировалась, но сосуды были хорошо дифференцированы с редкими более крупными артериями с расширенной средой туники. Часто возникал застой в умеренной или тяжелой степени, а также возникало многоочаговое периваскулярное кровоизлияние от легкой до умеренной степени тяжести. Небольшие очаги гемосидерин-нагруженных макрофагов наблюдались в связи с периваскулярным кровоизлиянием. Исходя из очень мягкой природы слизистых клеток, одиночной природы поражения и отсутствия признаков метастазирования, злокачественность была исключена. На этой стадии дифференциальный диагноз включал кистозное поражение сосудов и, менее вероятно, кистозную мезотелиальную пролиферацию. Иммуногистохимия была проведена, чтобы дифференцировать эти условия. Клетки выстилки показали умеренное положительное внутрицитоплазматическое окрашивание для молекулы адгезии эндотелиальных клеток тромбоцитов-1 (CD31) (фиг. 5a) и сильное положительное внутрицитоплазматическое окрашивание для фактора фон Виллебранда (vWF) (фиг. 5b) и виментина. Не было обнаружено положительного окрашивания цитокератина (антитело против кислого цитокератина-1 (AE-1) / AE3). Положительное окрашивание CD31 и vWF подтвердило подозрение на сосудистое поражение. Учитывая почти полное отсутствие крови в кисте по гистологии, подозрение на лимфатическое происхождение осталось. Из-за отсутствия коммерческой доступности специфического для лимфатического окрашивания, дальнейшая дифференциация в этот момент была невозможна.

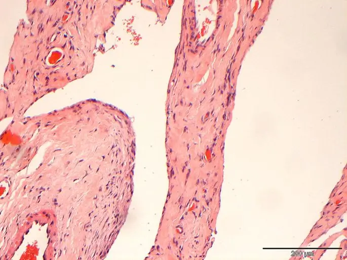
figure4
figure4

Гистопатология кистозной стенки. Стенка кисты состоит из плотной волокнистой ткани, содержащей множество хорошо развитых кровеносных сосудов. Киста выстлана мягкими очень тонкими веретенообразными клетками. Гематоксилин и Эозин

Изображение в полном размере

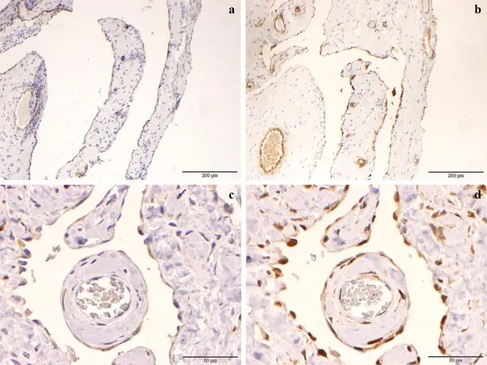
figure5
figure5

Иммуноокрашивание стенки кисты. Как клетки веретена, выстилающие кисту, так и клетки, выстилающие кровеносные сосуды, демонстрируют положительное (коричневое) внутрицитоплазматическое окрашивание на CD31 (a) и фактор Виллебранда (b). Это указывает на сосудистое происхождение кисты. c LYVE-1 окрашивание клеток, выстилающих стенку кисты, является положительным и варьируется от слабого до умеренного внутрицитоплазматического окрашивания (коричневое). Обратите внимание, что эндотелиальные клетки, выстилающие кровеносный сосуд в центральной папиллярной проекции стенки кисты, отрицательны. d Окрашивание PROX-1 клеток, выстилающих стенку кисты, является положительным, показывая умеренное или сильное внутриядерное окрашивание (коричневое). Обратите внимание, что эндотелиальные клетки, выстилающие кровеносный сосуд в центральной папиллярной проекции стенки кисты, отрицательны

Изображение в полном размере

Через четыре месяца после операции ультразвуковое исследование брюшной полости выявило локализованную многоядерную кистозную структуру в той же области, где была видна начальная киста. Эта кистозная структура была примерно вдвое меньше первоначальной. Поскольку количество жидкости в кистозном поражении было небольшим, а у собаки отсутствовали клинические признаки, было выбрано консервативное лечение и рекомендована повторная проверка через 3 месяца.

Через одиннадцать месяцев после первоначальной презентации у собаки снова появился рецидив вздутого живота. УЗИ брюшной полости выявило прогрессирование забрюшинного поражения с расширением мочеточника и умеренным гидронефрозом на левой стороне. Хирургическое исследование показало рецидив большой кистозной массы с одним просветом в левой забрюшинной области с множественными спаками мочевого пузыря, петлями тонкой кишки и терминальными ветвями аорты. Следовательно, не было возможности снять массу и частично вырезать стену, как это было в первый раз. Масса была рассечена из левого мочеточника для устранения обструкции, и киста была дренирована. Чтобы обеспечить входной порт для дренажа, была установлена имплантируемая дренажная система (PleuralPort; Norfolk Animal products, Skokie, IL, USA). Фенестрированную часть помещали в кистозную полость без наложения швов, а инъекционный порт помещали в левую паховую область. Последующие консультации были запланированы с интервалом в 3 месяца для проведения ультразвукового дренирования кисты через PleuralPort.

Повреждение показало гистоморфологию, сходную с первоначально удаленной массой. Иммуногистохимия лимфатических маркеров (LYVE-1 и PROX-1) была проведена и выявила слабую или слабую положительную внутрицитоплазматическую маркировку для LYVE-1 (Fig. 5c) и внутриядерное окрашивание от умеренной до сильной для PROX-1 (Fig. 5d), что указывает на лимфатическое происхождение до кистозной массы.

Через пятнадцать месяцев после первоначальной презентации собаку привели для обычного наблюдения. УЗИ брюшной полости показало результаты, аналогичные предыдущим, без дальнейшего прогрессирования. Жидкость не может быть слита из PleuralPort. Поскольку состояние было стабильным, было рекомендовано последующее наблюдение через 3 месяца. Через четыре дня после этого обычного наблюдения собаку представили вялостью и слабостью, с PCV 14% и TS 41 г / л. УЗИ брюшной полости выявило скопление жидкости в кистозной полости, плевральном и брюшном пространствах. Был выполнен абдоминоцентез, и геморрагическая жидкость была аспирирована с PCV 21%. Коагуляционные тесты были в пределах нормы. Владельцы не пожелали проводить дальнейшие процедуры и сделали выбор в пользу эвтаназии. Посмертная экспертиза была отклонена владельцами.

Обсуждение и выводы

Лимфатические пороки развития у людей, как правило, возникают у младенцев и, как полагают, возникают в результате врожденной неспособности примитивных лимфатических мешков развить связь с венозной системой (2). Мутации были предложены в качестве основной причины лимфатических пороков развития у людей (25).

В ветеринарной литературе было опубликовано лишь несколько сообщений о лимфатических пороках развития, и классификация сосудистых пороков развития в ветеринарной медицине не была точно установлена из-за их редкости (16, 17, 18, 19, 20, 21). Gross et al. (25) классифицирует лимфатические аномалии у собак и кошек и относится к лимфангиоматозу, когда аномалия вызвана пороком развития, тогда как лимфангиома была предложена для неопластического происхождения. Принимая во внимание, что в медицине человека лимфангиоматоз относится к диффузным порокам развития лимфатической системы с участием нескольких органов (2). Поскольку это рассеивает путаницу, авторы предлагают использовать человеческую номенклатуру от Международного общества по изучению сосудистых аномалий, где неопухолевые лимфатические поражения с предполагаемым врожденным происхождением упоминаются как лимфатические мальформации (3, 27, 29).

Лимфатические пороки развития забрюшинного пространства и внутренних органов брюшной полости встречаются редко и составляют 2% всех лимфатических пороков развития у человека (30). Хотя лимфатические пороки развития можно подразделить на микроцистные (диаметр ≤ 5 мм), макроцистичные (> 5 мм) или комбинированные; Заболевания забрюшинного пространства в основном являются макроцистичными (2, 30, 31, 32), как видно у нашего пациента. Наиболее частыми проявлениями у людей с забрюшинными кистозными лимфатическими пороками развития являются боли в животе и вздутие живота, но у пациентов также могут быть ощутимые боли, боли в спине, анорексия, лихорадка, тошнота и диарея (33, 34, 35, 36, 37, 38, 39). Часто встречаются кровоизлияния в кистозном пространстве, что указывает на недавнюю травму или самопроизвольное внутрипочечное кровотечение (27, 32); поэтому симптомы могут возникать, когда пациенты становятся старше из-за увеличения размера кистозного пространства. У нашего пациента был болезненный живот, как у людей, но также и поллакиурия и дизурия. Последние симптомы, скорее всего, являются результатом сдавления мочевого пузыря и / или уретры. Наш пациент не имел истории недавней травмы. Кровотечение в кисту может быть связано с незначительным травмирующим событием, незаметным для владельца, но спонтанное внутрицистозное кровотечение казалось более вероятным.

Первоначальная оценка кистозных структур с помощью УЗИ, КТ или магнитно-резонансной томографии рекомендуется, однако точный диагноз может быть поставлен только через гистопатологию (27, 31). КТ предоставила лучшую предоперационную информацию о нашем пациенте, поскольку она дала лучшее понимание происхождения поражения и его связи с окружающими органами по сравнению с УЗИ брюшной полости. Гистопатология показывает, что сосудистые мальформации состоят из одного слоя сплющенных до слегка извитых эндотелиальных клеток, обрамленных редкими перицитами, с макроцистическими поражениями, имеющими более толстые, нерегулярные слои гладкой мускулатуры и / или волокнистой ткани и, возможно, клапаны (26). Поскольку дифференциация между кровеносным сосудом или лимфатическим происхождением может быть сложной в гистопатологии, иммунореакции на антигены, такие как подопланин (антитело D2-40), PROX-1, LYVE-1 и рецептор-3 фактора роста эндотелия сосудов (VEGFR-3), помогают сделать окончательный диагноз (23, 24, 25, 26, 27, 28). Положительное окрашивание на CD31 и vWF и отсутствие окрашивания на цитокератин у нашего пациента указывают на сосудистое происхождение кисты и эффективно исключают мезотелиальное происхождение. CD31 и vWF использовались другими для постановки диагноза сосудистых мальформаций у собак; однако окончательный диагноз лимфатического происхождения был основан на предположениях или появлении на гистопатологии (16, 18, 19, 20, 21). Хотя PROX-1 не является специфическим для лимфатического маркера, он помогает дифференцировать кровеносный сосуд от лимфатического происхождения, так как лимфатический эндотелий использует PROX-1 в качестве фактора транскрипции во время развития, тогда как эндотелий кровеносных сосудов этого не делает. LYVE-1 является рецептором клеточной поверхности для гликозаминогликана гиалуронана (HA) внеклеточного матрикса, и рецептор HA почти исключительно экспрессируется в лимфатических сосудах от умеренной до хорошо дифференцированной и отсутствует в кровеносных сосудах (22). Следовательно, положительное окрашивание на LYVE-1 и PROX-1 подтвердило подозрение на лимфатический порок развития.

Инвазивный или инфильтративный рост обычно связан со злокачественным поведением. Тем не менее, сообщалось, что пороки развития сосудов имеют прогрессирующее поведение и имеют тенденцию распространяться в окружающие ткани (2, 25, 26). Прогрессирующий ангиоматоз хорошо известен своим инвазивным поведением, которое также описано в предыдущих случаях сосудистых и лимфатических пороков развития у собак (8, 9, 25). Таким образом, дифференциация между опухолью и пороком развития сосудов может быть сложной.

У людей идеальным лечением симптоматических или крупных забрюшинных кистозных лимфатических мальформаций является хирургическая резекция для достижения полного удаления (33, 34, 35, 36, 37, 38, 39), хотя это не всегда возможно, что приводит к частым рецидивам (23, 24, 25, 26, 27, 28, 29). Рецидив после, по-видимому, полного хирургического удаления (до 30% в некоторых сообщениях) не редкость (1, 17, 18, 32). Хирургическое вмешательство связано с риском повреждения окружающих тканей, персистирующим желчным асцитом и повторным увеличением остаточных поражений (31). Рассечение кисты у нашего пациента должно было быть выполнено с высокой точностью из-за непосредственной близости и охвата жизненно важных структур, таких как мочеточники и терминальные ветви аорты и хвостовой полой вены. Оментализация ранее не применялась в качестве терапии при мальформациях сосудов лимфы у пациентов ветеринарного или человеческого происхождения. Тем не менее, было доказано, что сальник активно участвует в иммунном ответе и обладает способностью поглощать жидкость, поэтому его использование в брюшной и грудной хирургии широко распространено (40). Как только у нашего пациента произошел рецидив, был установлен PleuralPort для периодического дренирования кисты через порт подкожного доступа. У людей закрытые всасывающие дренажи иногда попадают в крупные макроцистозные лимфатические мальформации и могут сочетаться с склерозирующей терапией (31). К сожалению, у нашего пациента состояние резко ухудшилось из-за активного самопроизвольного кровотечения в очаге с выделением жидкости в брюшную и грудную полости. Из-за связи между брюшиной и грудной полостью между диафрагмой и поясничными мышцами жидкость, скорее всего, просочилась из брюшины в грудную полость, как описано ранее (40). Поскольку состояние пациента быстро ухудшилось, владелец выбрал эвтаназию, которая также была результатом в других ветеринарных случаях из-за инфильтративного поведения пороков развития, невозможности хирургической резекции или риска рецидива (16, 21).

Несмотря на документирование рецидивов кистозных структур в некоторых случаях, долгосрочный прогноз развития пороков развития лимфатических узлов у собак не является достоверным (16, 17, 18, 19, 20, 21). Не имеется данных о долгосрочном прогнозе кистозных лимфатических мальформаций забрюшинного пространства (33, 34, 35, 36, 37, 38, 39).

Сосудистые мальформации следует принимать во внимание у пациента с забрюшинной кистой, содержащей геморрагическую жидкость. Дополнительная диагностика, гистопатология и иммуногистохимия LYVE-1 и PROX-1 могут использоваться для диагностики аномалий лимфатической системы.

Доступность данных и материалов

Все данные, полученные или проанализированные в ходе этого исследования, включены в эту статью.

Сокращения

AE-1:
Антикислотное антитело к цитокератину-1
CD31:
Тромбоцитарная молекула адгезии эндотелиальных клеток-1
КТ:
Компьютерная томография
LYVE-1:
Рецептор эндотелиальной гиалуроновой кислоты-1 лимфатического сосуда
PCV:
Объем упакованной ячейки
PROX-1:
Prospero Homeobox Протеин-1
TS:
Всего сухих веществ
VEGFR-3:
Рецептор фактора роста эндотелия сосудов-3
ФВ:
Фактор Виллебранда
КТО:
Всемирная организация здоровья