Лечение негонококкового уретрита (НГУ)

Лечение негонококкового уретрита (НГУ)
Лечение негонококкового уретрита (НГУ)

Уретрит - это воспаление уретры, обычно вызванное инфекцией. Негонококковый уретрит (НГУ) относится к случаям, которые не вызваны гонореей, инфекцией, передающейся половым путем.

Хотя существует несколько причин НГУ, наиболее распространенной является хламидиоз, еще одна инфекция, передающаяся половым путем. Часто случаи НГУ остаются невыявленными, и люди получают такое же лечение от хламидиоза.

Узнайте больше о методах лечения НГУ, которые вы можете рассчитывать на получение, которые основаны на самых последних рекомендациях по лечению инфекций, передающихся половым путем, от Центров США по контролю и профилактике заболеваний.

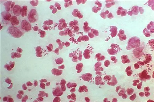
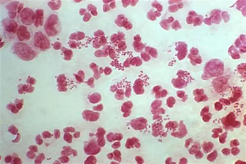
Микрофотография образца уретрального экссудата, окрашенного по Граму, от мужчины с диагнозом уретрит.
Микрофотография образца уретрального экссудата, окрашенного по Граму, от мужчины с диагнозом уретрит.

Первоначальная обработка

Поскольку НГУ остается невыявленным, люди с инфекцией, скорее всего, вместо этого получают рекомендованное лечение от хламидиоза. У взрослых с хламидиозом для начального лечения инфекции обычно используется один из следующих методов лечения:

  • Доксициклин 100 мг перорально два раза в день в течение семи дней
  • Азитромицин 1 г перорально однократно (это считается альтернативой)

Другие варианты лечения могут быть использованы для других групп населения, включая младенцев, детей и беременных.

Иногда эти методы лечения неэффективны. Это часто происходит потому, что инфекция вызвана грибковой или паразитарной инфекцией, такой как трихомониаз. (Иногда паразитарная инфекция возникает в дополнение к бактериальной!) Поэтому, если первоначальное лечение не помогает, медицинские работники будут пробовать другие варианты.

Если это лечение НГУ не работает, и вы принимали все свои лекарства в соответствии с инструкциями, вашим лечащим врачам необходимо провести дальнейшее расследование. Следующим шагом обычно является проверка вас на трихомониаз. Если этот тест отрицательный, вы можете не получить четкого ответа. (Часто НГУ вызывается микоплазмой, но на нее редко проверяют.)

Когда начальное лечение не дало результатов

Если ваш лечащий врач не может определить источник инфекции, он, как правило, будет лечить вас одним из перечисленных ниже препаратов. Это связано с тем, что некоторые бактерии, вызывающие уретрит, трудно идентифицировать. Таким образом, лечение НГУ таким образом является эффективным способом устранения наиболее распространенных подозреваемых.

Если первоначальное лечение не помогло, можно использовать один из следующих препаратов:

  • Метронидазол 2 г перорально однократно
  • Тинидазол 2 г перорально однократно
  • Азитромицин 1 г перорально однократно (если не используется для начального лечения)
  • Моксифлоксацин 400 мг перорально один раз в день в течение 7 дней (если азитромицин применялся для начального лечения)

Азитромицин и моксифлоксацин используются потому, что они более эффективны против микоплазмы, чем некоторые другие препараты. Моксифлоксацин, в частности, является относительно новой рекомендацией. На момент публикации рекомендаций по лечению в 2015 г. микоплазма считалась основной причиной НГУ. Поэтому считалось важным нацеливать лечение на микоплазму после неудачи первоначального лечения. Однако CDC с тех пор обнаружил, что более высокие дозы азитромицина не помогают при лечении микоплазмы. Вот почему они рекомендуют моксифлоксацин, а не второй курс лечения азитромицином при НГУ.

Напротив, метронидазол и тинидазол используются для лечения возможных инфекций, вызванных трихомониазом. Тестирование на эту инфекцию у мужчин не всегда доступно.

Дополнительные примечания по лечению

Как правило, во время лечения вам следует прекратить заниматься сексом. Это снижает вероятность того, что вы и ваш партнер будете передавать инфекцию туда и обратно. Любой постоянный половой партнер также должен быть направлен на обследование и лечение, если у вас диагностировано ЗППП.