Выявление рака и классификация биопсии с использованием параллельного гистопатологического и метаболического анализа основных биопсий

Выявление рака и классификация биопсии с использованием параллельного гистопатологического и метаболического анализа основных биопсий
Выявление рака и классификация биопсии с использованием параллельного гистопатологического и метаболического анализа основных биопсий

Фон

Метаболомика, нецелевое исследование малых молекул в биологическом образце, является идеальной технологией для идентификации диагностических биомаркеров. Современные протоколы экстракции ткани включают разрушение образца, исключая дополнительное использование ткани. Это особенно проблематично для образцов высокой ценности с ограниченной доступностью, таких как клинические биопсии опухолей, которые требуют структурного сохранения для гистологической диагностики и определения агрессивности рака. Чтобы преодолеть это ограничение и увеличить объем информации, получаемой из биопсий пациентов, мы разработали и охарактеризовали рабочий процесс для проведения метаболического анализа и гистологической оценки на одном и том же образце биопсии.

методы

Биопсии десяти тканей человека (мышцы, надпочечников, толстой кишки, легких, поджелудочной железы, тонкой кишки, селезенки, желудка, предстательной железы, почек) помещали непосредственно в раствор метанола для восстановления метаболитов, осаждения белков и фиксации ткани. После инкубации биопсии были удалены из раствора и обработаны для гистологии. Опухоль почки и рак простаты и доброкачественные биопсии были окрашены гемотоксилином и эозином, а биопсия простаты была подвергнута иммуногистохимии PIN-4. Метанольные экстракты анализировали на метаболиты на платформах GC / MS и LC / MS. Файлы исходных данных масс-спектрометрии были автоматически извлечены с использованием информационной системы, которая включает программное обеспечение для идентификации пиков и метаболитов.

Результаты

Были измерены метаболиты по всем основным биохимическим классам (аминокислоты, пептиды, углеводы, липиды, нуклеотиды, кофакторы, ксенобиотики). Количество (в пределах от 260 в простате до 340 в толстой кишке) и идентичность метаболитов были сопоставимы с результатами, полученными с помощью текущего метода, требующего 30 мг измельченной ткани. Сравнивая относительные уровни метаболитов, можно выделить опухолевую опухоль из доброкачественной биопсии почки и предстательной железы. Успешный гистопатологический анализ биопсий с помощью химического окрашивания (гематоксилин, эозин) и связывания антител (PIN-4, в простате) показал, что клеточная архитектура и иммунореактивность были сохранены.

Выводы

Одновременная экстракция метаболитов и гистологический анализ интактных биопсий поддаются клиническому процессу. Фиксация метанола эффективно сохраняет широкий спектр тканей и совместима с химическим окрашиванием и иммуногистохимией. Метод дает возможность дополнить гистопатологическую диагностику и классификацию опухолей количественными показателями биохимических показателей в одном и том же образце ткани. Поскольку было показано, что определенные биохимические вещества коррелируют с агрессивностью заболевания, этот метод должен оказаться полезным в качестве дополнения для дифференциации агрессивности рака.

Фон

Золотой стандарт для диагностики и постановки многих заболеваний - гистопатология. Оценочные системы были разработаны для прогнозирования агрессивности опухоли, и в отчете патологоанатома часто приводятся клинические решения по лечению. Однако все системы оценок являются субъективными. Внутри- и меж-наблюдательная изменчивость часто встречается в качестве примера в почечно-клеточном раке, раке простаты и раке мочевого пузыря (1-6). Несоответствие между биопсией и резецированными образцами также имеет место (5, 7). Развитие методов молекулярного анализа, таких как иммуногистохимия и флуоресцентная гибридизация in situ (FISH), расширило микроскопическое исследование и позволило открыть биомаркеры. Обе методики получили широкое распространение в практике патологии (8, 9). Совсем недавно были введены высокопроизводительные методы молекулярного анализа для определения нецелевых РНК, ДНК и белков. Дополнительным к этим подходам является метаболомика, процесс каталогизации и количественной оценки низкомолекулярных (<1500 Да) компонентов биологического материала. Недавние сообщения показали, что метаболомика может также выявить специфические для заболевания признаки, которые могут помочь в диагностике и лечении заболевания (10-14). Несмотря на то, что в настоящее время предпринимаются многочисленные усилия по обнаружению и внедрению метаболомных биомаркеров в крови и моче, ткани по-прежнему находятся в центре внимания при поиске и внедрении биомаркеров.

Исторически тканевая метаболомика проводилась с использованием больших кусков ткани (> 30 мг). Чтобы добиться быстрой, полной экстракции метаболитов, ткань измельчали, разрушая клеточную и тканевую архитектуру, которая является критической для патологической оценки, включая иммуногистохимию и FISH. Эти ограничения в значительной степени препятствовали использованию метаболомики для оценки клинической биопсии. Используя метод инкубации биопсии в водном спирте (15), мы описываем и характеризуем новый рабочий процесс, который преодолевает эти ограничения и может быть реализован в стандартной практике клинической патологии. Алкоголь на протяжении многих лет был стандартным фиксатором для использования в цитологии. В качестве менее токсичной альтернативы формальдегиду фиксация на спиртовой основе все чаще используется для рутинной патологии. Анализ одной и той же биопсии с использованием как гистопатологических, так и метаболических профилей / биохимических биомаркеров может повысить точность диагнозов на основе патологии. Наши результаты демонстрируют, что метаболические профили могут усиливать патологические отчеты, добавляя количественную биохимическую метрику к информации, полученной из биопсий пациентов.

методы

Сбор образцов

Ткань почки человека, использованная для экспериментов по оптимизации метода, была получена от пациентов с нефрэктомией в соответствии с Институциональным советом по оценке медицинской школы Восточной Вирджинии (08-11-WC-0213). После нефрэктомии образцы почек были немедленно доставлены в набор патологий и отобраны образцы. Почечная опухолевая ткань была легко идентифицирована и могла быть отдельно отобрана из не пораженной не содержащей опухоли ткани почки. Нормальную ткань быстро замораживали, хранили при -80 ° С и обрабатывали, как указано ниже.

Надпочечники, толстая кишка, легкие, мышцы, поджелудочная железа, тонкая кишка, селезенка и ткани желудка были получены от бьющихся доноров сердца LifeNet Health, Отдел трансплантационных услуг (1864, Concert Drive, Вирджиния-Бич, Вирджиния, США). LifeNet является федеральной организацией по закупке органов, которая координирует восстановление и пересадку органов по всей Вирджинии, включая город Норфолк. Процесс согласия на донорство органов включает в себя возможность для ближайших родственников по отдельности дать согласие на приобретение и использование непереносимых органов и тканей для исследований. Когда такое согласие на исследование существовало, от 0, 5 до 1 см 3 частей ткани получали в соответствии с установленными протоколами отдела закупок. Ткань собирали непосредственно перед изъятием носителя и сразу помещали в 80% метанол для фиксации ткани для гистологического анализа и для извлечения метаболитов.

Для образцов «случай / контроль» после операции были получены основные биопсии у шести пациентов с раком почки и восьми пациентов с раком простаты. Биопсии почечной иглы были получены из почечной опухолевой ткани и доброкачественной почечной ткани после нефрэктомии с использованием иглы 18 калибра и помещены непосредственно в метанол. Аналогичным образом, биопсия ткани простаты была получена после простатэктомии. После взвешивания и измерения предстательной железы, перед чернилами простата была ориентирована задней поверхностью вверх с вершиной к оператору. Пистолет для биопсии 18 калибра использовался для получения 12 ядер, распределенных таким образом, который имитирует биопсию сердечника под воздействием ультразвука in vivo (по одному на левой апексе латеральной, левой апексной переходной, левой средней латеральной, левой средней середине, левой базовой боковой и левый основной переход; процесс был повторен для правой простаты). Затем ядра помещали непосредственно в метанол. Все образцы были собраны с осознанного согласия с одобрения Инспекционного совета Медицинской школы Восточной Вирджинии.

Для инкубационного периода свежезамороженную нормальную ткань почек человека закупали у Asterand (Asterand, Inc., Детройт, Мичиган, США).

Подготовка проб и экстракция метаболитов

После отбора образцов одну биопсию помещали непосредственно в криопробирку Nalgene, содержащую 2 мл растворителя (80% метанола, 20% сверхчистой воды, если не указано иное). Образцы инкубировали в течение 24 часов (если не указано иное) при комнатной температуре (от 22 до 24 ° С). После 5-минутного отжима при 2000 об / мин экстракт растворителя переносили в чистый флакон и упаривали досуха в потоке газообразного азота при 40 ° C в испарителе Turbovap LV (Zymark, Hopkinton, MA, USA). Высушенные экстракты восстанавливали в 550 мкл смеси метанол: вода (80:20), содержащей стандарты восстановления (D, L-2-фторфенилглицин, D, L-4-хлорфенилаланин, тридекановая кислота, холестерин D6). Для экспериментов, где гистологию проводили на биопсии, биопсию удаляли из растворителя и обрабатывали для гистологии, как указано ниже.

Для экспериментов по оптимизации с использованием кусочков ткани 30 мг ткань разрезали, взвешивали непосредственно во флаконе и регистрировали вес. В каждый флакон добавляли 600 мкл 80% метанола (если не указано иное), содержащего стандарты извлечения. Ткани гомогенизировали в Geno-grinder 2000 (SPEX, Metuchen, NJ, USA), и образцы вращали в течение 1 минуты при 2000 об / мин. Концентрацию измельченного экстракта регулировали путем добавления 80% метанола, чтобы эквивалентно 32 мг исходного влажного веса на миллилитр метанольного экстракта. Образцы смешивали, затем вращали в течение 5 минут при 2000 об / мин для осаждения любых частиц. Объемы 550 мкл (17, 6 мг в пересчете на ткани) восстановленного раствора анализировали с помощью метаболомики, как описано ниже. Для экспериментов по анализу наземных биопсий и наземных биопсий после экстракции к каждой биопсии добавляли 600 мкл указанных стандартов, содержащих растворитель для восстановления. Ткань гомогенизировали в Geno-grinder 2000 (SPEX) и вращали в течение 1 минуты при 2000 об / мин. К образцам добавляли дополнительные 50 мкл стандартов, содержащих метанол. Их перемешивали и вращали в течение 5 минут при 2000 об / мин. Аликвоту раствора в 550 мкл анализировали метаболомикой.

гистология

После инкубации с метанолом биопсии иглы помещали в пакеты для биопсии и кассеты, которые затем переносили в молекулярный фиксатор (UMFix, Sakura, Torrance, CA, USA) до обработки для гистологии. Биопсии обрабатывали на Tissue-Tek Xpress x50 (Sakura) в соответствии с инструкциями производителя с приблизительным временем выполнения 1, 5 часа. Все реагенты для обработки были приобретены у Sakura (Sakura-Finetek, Torrance, CA, USA). Вкратце, две 15-минутные инкубации при 40-44 ° С в растворе ацетон / спирт с перемешиванием сопровождались 15-минутной инкубацией при 64-66 ° С в вакууме в парафиновом реагенте на основе минерального масла и, наконец, еще 15-минутная инкубация при 64 ° С. до 66 ° С в вакууме в парафиновом реагенте. Ткани были заделаны сразу после обработки, были срезаны и помещены на слайды.

Срезы депарафинизировали и повторно гидратировали путем инкубации 3 × 3 минуты в ксилоле, инкубации 3 × 3 минуты в 100% этаноле, инкубации 1 × 3 минуты в 95% этаноле, инкубации 1 × 3 минуты в 80% этаноле и 1 × 5 минуты инкубация в деионизированной воде. Окрашивание гематоксилином проводили путем 3-минутной инкубации в гематоксилине, промывания в деионизированной воде, 5-минутной инкубации в воде и от 8 до 12 быстрых погружений в 0, 3% подкисленном этаноле (2800 мл этанола: 1200 мл воды: 12 мл концентрированной соляной кислоты) для удаления пятен с последующими 2 × 1-минутными инкубациями в водопроводной воде и 2-минутным промыванием в деионизированной воде. Затем предметные стекла помещали в эозин на 30 с, затем инкубировали 3 × 5 минут в 95% этаноле, инкубировали 3 × 5 минут в 100% этаноле и инкубировали 3 × 15 минут в ксилоле. Затем покровные стекла устанавливали на предметные стекла, используя Permount (Fisher Scientific, Waltham, MA, USA). Все разделы были исследованы и проанализированы патологоанатомом (DAT).

Для иммуногистохимии предварительно разведенный коктейль PIN-4 (P504S, HMW Cytokeratins и p63; Cat # PPM 225DS) был приобретен у Biocare Medical (Конкорд, Калифорния, США). Для обработки образцов использовалась автоматизированная система подготовки слайдов Ventana BenchMark XT (Ventana Medical Systems, Inc., Tuscon, AZ, USA).

Метаболическое профилирование

Глобальное метаболическое профилирование проводилось на трех независимых инструментальных платформах, одной газовой хроматографии / масс-спектрометрии (ГХ / МС) и двух сверхвысокопроизводительных жидкостных хроматографических / тандемных масс-спектрометрических (UHLC / MS / MS 2) платформах, оптимизированных как для основных видов, так и для кислотных видов., Подробные описания этих платформ, включая конфигурации и условия измерительного оборудования, сбор данных и программные подходы к обработке данных, были подробно описаны ранее (16, 17). Основные компоненты процесса приведены ниже.

После экстракции метаболитов образцы разделяли на три равные аликвоты, используя автоматизированную систему MicroLab STAR® (Hamilton Company, Солт-Лейк-Сити, Юта, США), для анализа на трех независимых платформах, как описано ниже. Образцы, предназначенные для ГХ / МС анализа, сушили в условиях вакуумного высушивания в течение минимум 24 ч и затем дериватизировали в присутствии сухого азота с использованием бистриметилсилилтрифлороацетамида (BSTFA). Образцы анализировали на быстродействующем одноквадрупольном масс-спектрометре Thermo-Finnigan Trace DSQ с использованием электронной ударной ионизации. UHPLC / MS / MS 2 проводили с использованием UHPLC Waters Acquity (Waters Corporation, Milford, MA, USA), соединенного с масс-спектрометром LTQ (Thermo Fisher Scientific Inc., Waltham, MA, USA), оборудованным источником ионизации электрораспылением. Для каждого образца были выполнены две отдельные инъекции UHPLC / MS / MS 2: одна оптимизирована для положительных ионов и одна для отрицательных ионов. Хроматографическое разделение с последующим полным сканированием масс-спектров проводили для регистрации времени удерживания, молекулярной массы (m / z) и MS / MS 2 всех обнаруживаемых ионов, представленных в образцах.

Метаболиты были идентифицированы путем автоматического сравнения ионных характеристик в экспериментальных образцах с внутренней справочной библиотекой, состоящей из более чем 3000 аутентичных стандартных химических записей, которые включали время удерживания, молекулярную массу (m / z), предпочтительные аддукты и исходный источник. фрагменты, а также связанные с ними спектры MS / MS 2. Эта библиотека позволила быстро идентифицировать метаболиты в эксперименте с высокой достоверностью.

статистический анализ

Пропущенные значения для данного метаболита были приписаны наблюдаемой минимальной величине обнаружения, исходя из предположения, что они были ниже пределов чувствительности обнаружения прибора. Все сравнения были выполнены с использованием лог-преобразованных данных. Два образца t-тестов Уэлча использовались для всех сравнений, если не указано иное. Множественные сравнения были учтены методом ложного обнаружения (FDR), и каждая FDR была оценена с использованием q-значений (18). Для удобства визуализации данных количество необработанных площадей для каждого биохимического вещества было пересчитано путем деления значения для конкретного биохимического вещества в каждом образце на медианное значение для этого конкретного биохимического вещества.

Иерархическая кластеризация, основанная на евклидовых расстояниях, была выполнена со всеми метаболитами, определенными как статистически значимые (P ≤ 0, 05) при сравнении раковой опухоли с доброкачественной. Анализ основных компонентов был выполнен с использованием матрицы корреляции значимых метаболитов, чтобы графически проиллюстрировать структуру в метаболомных данных. Из-за потенциальной возможности ложных срабатываний в этом подгруппе значимых метаболитов этот подход приводит к небольшому переизбранию данных. Случайный анализ леса (19) использовался для классификации образцов по группам (например, раковая опухоль или доброкачественная опухоль). Случайные леса дают оценку того, насколько хорошо люди в новом наборе данных могут быть классифицированы в каждую группу, в отличие от тестирования, которое проверяет, отличаются ли неизвестные средние для двух групп населения или нет. Для классификации раковых опухолей и доброкачественных образцов (предстательной железы и почек) были проведены случайные лесные анализы. Все статистические анализы были получены с использованием программного обеспечения Array Studio. Array Studio, Array Viewer и Array Server и все другие названия продуктов или услуг Omicsoft являются зарегистрированными товарными знаками или товарными знаками корпорации Omicsoft, Research Triangle Park, NC, USA.

результаты и обсуждение

Проверка метода

Чтобы сравнить этот метод с современными методами метаболической экстракции, мы подготовили образцы биопсии ex vivo (от 3 до 5 мг ткани) из свежесобранной почки человека. Чтобы оценить эффективность экстракции методом биопсии, сравнивали три стратегии отбора проб: интактные извлеченные биопсии, наземные биопсии и кусочки по 30 мг (рис. 1). Мы идентифицировали 299 метаболитов в молотых образцах почек человека, и> 92% этих соединений были также идентифицированы в образцах интактной биопсии (рис. 2). Таким образом, несмотря на в десять раз меньшее количество ткани и отсутствие разрушения ткани, метод интактной биопсии сравним со стандартными методами метаболической экстракции. Мы получили аналогичные результаты при использовании 70% метанола (Дополнительный файл 1).

фигура 1
фигура 1

Схематическая схема рабочего процесса метода. Блок-схема протокола извлечения интактной биопсии и протокола измельчения ткани для биопсии ткани и кусочка ткани 30 мг. RT, комнатная температура.

Изображение в полном размере

фигура 2
фигура 2

Количество и идентичность метаболитов, полученных методом интактной биопсии и стандартным методом экстракции измельченной ткани. Общее количество метаболитов, обнаруженных с использованием каждого протокола отбора проб и экстракции (30 мг ткани, интактная биопсия, наземная биопсия), показано в прямоугольниках внизу рисунка. Диаграмма Венна отражает совпадение идентичности метаболитов, обнаруженных с использованием каждого метода. Подавляющее большинство (266) метаболитов выявляются с использованием всех трех методов. Метаболиты были извлечены из интактных биопсий с 80% метанолом.

Изображение в полном размере

Чтобы определить эффективность извлечения интактной биопсии, мы сначала извлекли метаболиты из образцов интактной биопсии, а затем измельчили ткань и провели вторую экстракцию. Только 143 метаболита были обнаружены после этой вторичной экстракции, и уровни были снижены в среднем на 81% (медианное снижение на 93%) по сравнению с уровнем в исходном экстракте (дополнительный файл 2), что указывает на почти полное извлечение с использованием этого метода.

Чтобы оценить гистопатологию ткани биопсии после экстракции, мы перенесли ткань биопсии простаты из экстракционного растворителя (метанол или этанол) непосредственно в молекулярный фиксатор и следовали процессу фиксации формалином. Мы сравнили эти результаты с биопсийной тканью, которая была зафиксирована непосредственно в формалине. Окрашивание гематоксилином и эозином выявило незначительные различия между тканями, фиксированными в спирте и формалине, но структура ткани была одинаково хорошо сохранена во всех случаях (рис. 3). Мы также выполнили иммуногистохимический анализ ткани предстательной железы, приготовленной в соответствии с этим рабочим процессом, с использованием коктейля антител PIN4. Соответствующее окрашивание аденокарциномы предстательной железы и доброкачественных желез можно увидеть (рис. 4), подтверждая предыдущие наблюдения (15). Этот результат предполагает, что поиск антигена существенно не изменяется рабочим процессом и демонстрирует потенциальную полезность этого рабочего процесса в стандартной практике гистологии.

Рисунок 3
Рисунок 3

Гистохимическое окрашивание образцов биопсии, обработанных метанолом или этанолом в качестве экстракционного растворителя. Биопсии простаты человека из ткани доброкачественной или раковой опухоли обрабатывали с использованием метода интактной биопсии либо в 80% метаноле, либо в 70% этаноле, либо фиксировали в формалине с последующим встраиванием и разрезанием парафина. Полученные срезы затем окрашивали гематоксилином и эозином.

Изображение в полном размере

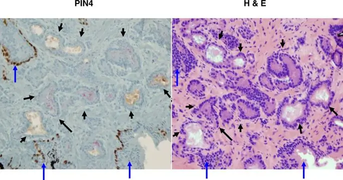
figure4
figure4

Гистология образцов биопсии простаты. Образцы биопсии простаты человека обрабатывали с использованием метода интактной биопсии в 80% метаноле с последующим встраиванием и разделением парафина. (а) Сечение простаты, обработанное для иммуногистохимии с использованием красителя PIN4, где красный цвет обозначает рацемазу, а коричневый - р63 и базальный кератин. (б) Прилегающий участок, окрашенный гематоксилином и эозином (H & E). Черные стрелки указывают на аденокарциному простаты, а синие стрелки указывают на доброкачественные железы.

Изображение в полном размере

Хотя мы показали, что этот метод совместим с одним коктейлем антител, мы признаем, что фиксация в алкоголе не является стандартным методом и что для дополнительных антител может потребоваться дополнительная проверка. Мы показали, что метаболиты могут быть легко извлечены из биопсии тканей путем замачивания в водном спирте. Протоколы фиксации формалина включают этапы инкубации с водным спиртом, поэтому одним из подходов может быть проведение анализа метаболизма экстракта из этой первой инкубации с алкоголем. Эта модификация позволила бы обрабатывать ткани с использованием фиксации формалином, сводя к минимуму отклонение от стандартной практики патологии. Исследования продолжаются, чтобы оценить осуществимость этого подхода.

Оптимизация и внедрение рабочего процесса

С помощью проверенного метода мы попытались протестировать параметры рабочего процесса. Поскольку время фиксации формалина может варьироваться в зависимости от протокола исследователя, мы провели временной курс (в диапазоне от 0, 5 до 48 часов), чтобы определить оптимальное время инкубации с метанолом. Метаболиты экстрагировали в течение 0, 5 ч после инкубации с метанолом, и количество (Таблица 1) и идентичность (Дополнительный файл 3) метаболитов, обнаруженных в каждый момент времени, оставались неизменными. Чтобы оценить изменения в уровнях метаболитов в течение времени, относительные уровни метаболитов в каждый момент времени сравнивали с 24-часовым моментом, который был временем инкубации, использованным в исследованиях валидации метода. Количество значительно измененных метаболитов для каждого сравнения представлено в таблице 2. Различия наблюдались между уровнями метаболитов при более коротких (от 0, 5 до 4 часов) инкубационных периодах по сравнению с 24-часовым моментом времени, но эти различия не наблюдались после 8 часов. инкубация (Таблица 2). Основываясь на этих результатах для почечной ткани, нет точного оптимального времени инкубации. Эти данные свидетельствуют о том, что до тех пор, пока время инкубации является постоянным, этот метод поддается протоколу исследователя.

Таблица 1 Количество метаболитов, обнаруженных после различного времени инкубации

Таблица в натуральную величину

Таблица 2 Статистическая сводка для времени инкубации метанола

Таблица в натуральную величину

Чтобы оценить этот рабочий процесс в клинических условиях, мы проанализировали панель из восьми тканей, полученных от согласованных доноров до снятия поддержки (избиение доноров сердца). Во всех случаях свежую ткань помещали непосредственно в 80% метанол для экстракции метаболитов, затем биопсию удаляли для гистологической обработки и анализа. В профилированных тканях было измерено от 260 до 340 метаболитов по всем основным биохимическим классам (Таблица 3; Дополнительный файл 4). Окрашивание гематоксилином и эозином показывает, что архитектура ткани была сохранена (Дополнительный файл 5). Эти результаты демонстрируют полезность этого рабочего процесса для множества типов тканей в клинических условиях. Кроме того, эти метаболические запасы гистологически нормальных тканей человека служат основой для будущих исследований как нормальных изменений у человека, так и вызванных болезнью изменений в метаболизме тканей. Кроме того, это первый зарегистрированный метаболический каталог тонкой кишки, надпочечников и селезенки от человека.

Таблица 3 Количество метаболитов в основных биохимических классах, обнаруженных в различных тканях человека

Таблица в натуральную величину

Клиническое применение рабочего процесса в болезненном состоянии

Чтобы продемонстрировать полезность рабочего процесса в условиях клинической диагностики, мы обработали образцы биопсии почки, содержащие доброкачественные и злокачественные опухоли, взятые у шести пациентов с нефрэктомией. Секции биопсии после экстракции были классифицированы сертифицированным патологом, и репрезентативные гистологические изображения показаны на рисунке 5. Мы также выполнили метаболомический анализ на метанольных экстрактах из тех же самых биоптатов, содержащих доброкачественные и раковые опухоли. Это первая метаболомная метка рака почки человека, полученная при биопсии. Шестьдесят девять метаболитов отличали раковые опухоли от доброкачественных образцов (Дополнительный файл 6). Эти изменения свидетельствуют об изменении метаболизма аминокислот, окислительного стресса и оборота пиримидина в трансформированной почке.

figure5
figure5

Репрезентативные гистологические изображения из биопсии почек показывают, что структура ткани сохраняется. Биопсии сопоставимой с пациентом (а) доброкачественной и (б) раковой опухоли почки обрабатывали с использованием нетронутой биопсии и окрашивали гематоксилином и эозином. Шкала баров, 50 мкм.

Изображение в полном размере

Чтобы определить, как метаболические профили этих образцов сравниваются с гистологической классификацией, мы провели различные статистические анализы метаболических данных. Иерархический кластерный анализ разделил образцы биопсии почки на два основных кластера, один из которых содержал четыре образца раковых опухолей и один доброкачественный образец, а другой кластер содержал пять образцов доброкачественных и два образца раковых опухолей (рис. 6). Этот анализ предполагает, что ткани без болезней от одного и того же пациента могут быть неотъемлемым компонентом интерпретации метаболических данных из пораженной ткани. Например, на основании метаболомной сигнатуры гистологически доброкачественная биопсия у пациента с нефрэктомией 1 находилась в том же главном кластере с биопсией раковой опухоли (рис. 6). Точно так же образцы раковой опухоли от пациентов 4 и 5 были в главном кластере с пятью доброкачественными образцами. Во всех трех случаях соответствующие раковые и доброкачественные образцы от каждого из этих пациентов объединяются в один и тот же терминальный кластер. Напротив, образцы опухолей от пациентов 2, 3 и 6 не попадают в тот же основной кластер или терминальный кластер, что и сопоставимые доброкачественные образцы. Заманчиво предположить, что эти результаты отражают разницу в метаболизме в биопсиях тканей, что может указывать на стадию или агрессивность раковой опухоли. Например, у пациента 1, хотя образец выглядит гистологически доброкачественным, метаболическая сигнатура в доброкачественной биопсии может указывать на более агрессивное состояние рака, поскольку он группируется с раковым кластером. У пациентов 4 и 5 метаболомная сигнатура для групп образцов опухоли с доброкачественным кластером, указывающая на сигнатуру, напоминает сигнатуру доброкачественных образцов, что может указывать на то, что рак был менее выраженным или менее агрессивным. Таким образом, четкие метаболические сигнатурные группировки ткани раковой опухоли могут указывать не только на раннюю стадию рака, но и отличать более агрессивный от менее агрессивного рака. Для обоснования этих гипотез потребуются более обширные исследования с подробными гистологическими оценками.

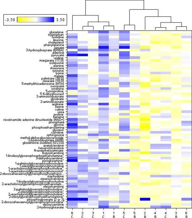
figure6
figure6

Образцы раковой опухоли и доброкачественной почки могут быть разделены с помощью иерархического кластерного анализа. 69 метаболитов, идентифицированных как значительно отличающиеся (P ≤ 0, 05) между раковой опухолью и подобранной доброкачественной тканью почки от шести пациентов, были использованы для создания кластера на основе евклидова расстояния. Рак опухоли или доброкачественные образцы были определены путем гистопатологической оценки. Метаболиты перечислены на оси Y. Каждый пациент представлен числом (от 1 до 6) на оси X. Для анализа были использованы образцы раковой опухоли (C) и соответствующие доброкачественные (B). Четыре из шести образцов раковой опухоли были отнесены к одному и тому же главному кластеру, а пять из шести доброкачественных образцов были отнесены к одному и тому же главному кластеру

Изображение в полном размере

Случайный анализ леса классифицировал образцы биопсии почки на основе их метаболических профилей по раковым опухолям или доброкачественным группам. Все шесть доброкачественных образцов были правильно классифицированы, а четыре из шести образцов раковых опухолей были правильными, что дает прогнозирующую точность 83% (Таблица 4). Мы также исследовали эти образцы с использованием анализа основных компонентов. В пяти из шести исследованных случаев наблюдалось значительное положительное смещение вдоль первого основного компонента, когда биопсия раковой опухоли сравнивалась с сопоставимым с пациентом доброкачественным образцом (рис. 7). Выполнение этого рабочего процесса с большей когортой необходимо для определения истинной клинической эффективности данных, но вместе взятые эти данные предполагают, что метаболические профили, полученные с использованием этого рабочего процесса, могут направлять и / или улучшать диагностику и ведение пациентов.

Таблица 4 Классификация образцов биопсии почки на основе метаболитов, извлеченных из интактных биопсий

Таблица в натуральную величину

figure7
figure7

Анализ основных компонентов биопсии почки для отличия раковой опухоли от доброкачественной биопсии. Метаболиты, идентифицированные как значимые (P ≤ 0, 05) между биопсией, содержащей раковые опухоли, и доброкачественные биопсии почки с помощью сопоставленных пар t-теста, были использованы для построения анализа основных компонентов. Синий, образцы раковой опухоли; желтые, доброкачественные образцы. Каждый из шести пациентов с нефрэктомией обозначен формой: круг, пациент 1; квадрат, пациент 2; восходящий треугольник, пациент 3; нисходящий треугольник, пациент 4; левый треугольник, пациент 5; прямоугольный треугольник, пациент 6.

Изображение в полном размере

Рабочий процесс также использовался для оценки метаболической сигнатуры рака предстательной железы человека и для демонстрации метаболической классификации образцов биопсии предстательной железы, содержащих доброкачественные и злокачественные опухоли, от восьми пациентов с простатэктомией. Секции биопсии после экстракции были классифицированы сертифицированным патологом. Как сообщалось, профили обилия аминокислот, нуклеотидов и липидов в трансформированных тканях были заметно изменены (15). Эти результаты согласуются с предыдущими исследованиями с использованием 100 мг ткани после простатэктомии (10), подтверждая, что, несмотря на 20-50-кратное сокращение материала, метаболическая характеристика практически сохраняется.

Чтобы визуализировать взаимосвязь между значительно измененными метаболитами в образцах биопсии простаты, мы использовали иерархическую кластеризацию (рис. 8). Два основных кластера отделили семь доброкачественных и один образец раковой опухоли от семи раковых опухолей и одного доброкачественного образца. Подходящие образцы находились в одном и том же терминальном кластере для пациентов 1 и 4, причем образцы от пациента 1 были сгруппированы в доброкачественном главном кластере, а образцы от пациента 4 - в главном кластере рака. Как обсуждалось выше, эти результаты могут указывать на различия в стадии рака и агрессивности для этих пациентов. Случайный лесной анализ классифицировал эти образцы по раковым опухолям или доброкачественным группам на основе их метаболических профилей с точностью прогнозирования 81% (Таблица 5). Для определения наличия градаций в метаболических профилях по степени тяжести заболевания потребуется анализ более обширной когорты образцов, но эти данные демонстрируют чувствительность метаболомики для дальнейшей постановки гистологического диагноза.

figure8
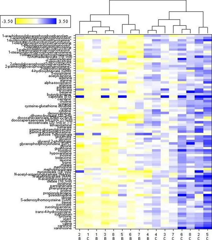
figure8

Иерархический кластерный анализ раковых опухолей и образцов доброкачественной простаты. 83 метаболитов, определяемых как существенно отличающиеся (P <0, 05) между раковой опухолью и подобранной доброкачественной тканью из восьми пациентов, использовали для создания кластера на основе евклидова расстояния. Метаболиты перечислены на оси Y. Каждый пациент представлен числом (от 1 до 8) на оси X. Для анализа использовали гистологически детерминированные опухолевые опухоли (C) и соответствующие доброкачественные (B) образцы. Раковая опухоль и доброкачественные биопсии делятся на две основные группы. Семь из восьми раковых опухолей и семь из восьми доброкачественных образцов сгруппированы, как предсказано гистологическим анализом биопсии.

Изображение в полном размере

Таблица 5 Классификация образцов биопсии простаты на основе метаболитов, извлеченных из интактных биопсий

Таблица в натуральную величину

Выводы

Мы сообщаем о рабочем процессе, который использует гистологический и метаболический анализ биопсии одноядерной иглы, чтобы помочь в диагностике заболевания в клинических условиях. Этот метод облегчит перевод исследований открытия в клинически приемлемые диагностические тесты, и эти тесты могут принести дополнительную разрешающую способность к текущим гистопатологическим диагнозам. Например, при раке предстательной железы общий вопрос заключается в том, должен ли пациент с клинической оценкой Глисона 6 или 7 пройти радикальную простатэктомию. Приблизительно от 60 до 70% из примерно 220 000 случаев рака предстательной железы, представленных в этом диапазоне баллов по шкале Глисона (20), дополнительные данные о том, является ли опухоль агрессивной, могут помочь в обсуждении между врачом и пациентом относительно выбора между выжидательной тактикой и окончательной терапией, включая радикальную терапию. лучевая терапия или радикальная операция. Помимо рака предстательной железы, существует много других видов рака (и, возможно, других заболеваний), где биохимические данные могут дополнять гистопатологию, повышая диагностическую и прогностическую полезность. Учитывая распространенность рака среди населения, применение этого рабочего процесса может лучше информировать о вариантах лечения рака для миллионов пациентов во всем мире.

Сокращения

РЫБЫ:
флуоресцентная гибридизация in situ
GC:
газовая хроматография
МИЗ:
масс-спектрометрии
MS / MS 2:
тандемная масс-спектрометрия
UHPLC:
ультраэффективная жидкостная хроматография.